An Unexpectedly Progressed Lumbar Herniated Disk
-
James A. Lipton
and Geoffrey A. McLeod
Abstract
The authors describe a case of a 26-year-old female military veteran who presented with low back pain that she attributed to a recent foot injury. The patient reported a history of lumbar pain while in the military that had been treated successfully with high-velocity, low-amplitude osteopathic manipulative treatment. The patient's current pain was improved with osteopathic manipulative treatment and gait correction. Several weeks after her initial presentation, the patient reported that she had had a herniated disk diagnosed 2 years earlier by means of magnetic resonance imaging. Updated magnetic resonance imaging was performed, the results of which revealed a large herniated disk that had caused severe stenosis. The patient was immediately referred to a neurosurgeon for consultation and subsequently underwent surgical treatment.
The American Osteopathic Association has established guidelines regarding the use of osteopathic manipulative treatment (OMT) for low back pain after other potential organic causes (eg, vertebral joint rupture, inflammation of intervertebral disks, masses in low back structures) have been ruled out or considered unlikely.1 The use of OMT has been shown to be of value in patients with subacute low back pain.2 For some patients, however, radiologic imaging may be indicated. Physicians must recognize “red flag” indicators for low back pain to determine whether imaging studies are warranted.3
We present the case of a patient with an unexpectedly large and severe herniated disk that was initially masked by a relatively unremarkable history and physical examination.
Report of Case
In February 2012, a 26-year-old athletic female military veteran was referred to our medical center's physical medicine and rehabilitation service for treatment of recurrent low back pain with radiation to the left foot.
Initial Visit
At her initial visit, the patient reported no numbness, tingling, or burning sensations accompanying her pain. She also reported no loss of bowel or bladder control. The patient recalled having low back pain for years during active military duty (2005-2011) and having a recurrence of pain just before her discharge in 2011. At that time, her pain had been successfully managed with high-velocity, low-amplitude OMT. The patient noted that she had been treated for a fracture of the left fifth metatarsal bone 6 months before presentation. She had worn an orthopedic boot and walked with crutches for 8 weeks after the injury to her left foot. She believed that the recurrence of her lumbar pain was a direct result of the difficulty she had ambulating while wearing the orthopedic boot. The patient reported pain when lying on her back, jogging, and performing yoga poses. She believed her low back pain was stable despite a recurrence of aching symptoms while training for a marathon competition. In recent visits to her civilian primary care physician, she had found no relief with nonsteroidal medications, muscle relaxants, heat, or rest.
The initial physical examination revealed lower extremity muscle strength of 5 on a 5-point scale bilaterally, intact peripheral sensation bilaterally, tendon reflexes of 2 on a 4-point scale, and a negative straight leg raise test bilaterally. The patient had no lateralizing neurologic signs. Somatic dysfunction was present within the cervical, thoracic, and lumbar areas of the spine; a prominent gait dysfunction due to leg length inequality and an un-level sacral base were also found. Specifically, the patient was found to have a posteriorly rotated left anterior superior iliac spine, a right-on-right forward sacral torsion, and a physiologic short left leg as determined with palpation.
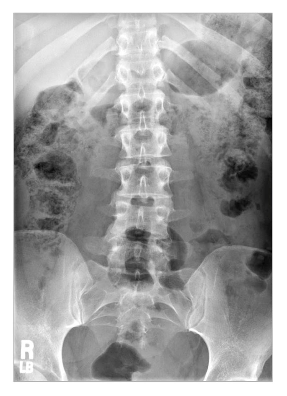
A plain radiograph (Figure 1) of the lumbosacral spine revealed a mild left convex scoliosis. All lumbar disk spaces were found to be normal, and no degenerative changes were present. No acute findings were noted. A radiograph of the patient's hips did not reveal any abnormalities.

Lumbosacral plain radiograph exhibiting mild left convex scoliosis.
Fascial release and craniosacral OMT techniques were initiated at the first appointment and reduced the patient's self-reported pain from 7 to 0 on a 10-point scale. High-velocity, low-amplitude was not used in this case. A 6-mm shoe lift was also provided to address the patient's un-level sacral base.
Follow-up and Treatment
The patient was followed up weekly by a physician in the physical medicine and rehabilitation department (J.A.L.) for the next 45 days. During this time, she continued using her 6-mm shoe lift. The same soft tissue OMT techniques were used to relieve her ongoing pain; each OMT session reduced the patient's self-reported pain score from 7 to 0 on a 10-point scale.
In late February 2012, the patient reported that she was now aware that she had had a disk herniation at L4-5 2 years earlier that was diagnosed by means of magnetic resonance (MR) imaging. The findings of her previous MR image yielded no indications for surgical treatment, and the patient stated that her pain had been alleviated with chiropractic and osteopathic manipulative treatments. An updated MR image was obtained (Figure 2), the results of which revealed a large central posterior disk protrusion at L4-5, which had obliterated the thecal sac and caused substantial central canal stenosis.

Lumbosacral magnetic resonance images (A and B) exhibiting intervertebral disk herniation at L4-5 (arrows).
The patient was immediately referred to a neurosurgeon for consultation. The neurosurgeon advised an open bilateral L4-5 diskectomy because of the severe stenosis. In accordance with the patient's request, the same physician in physical medicine and rehabilitation continued to provide OMT to control the patient's pain. Additional OMT techniques were limited to lumbar fascial release and sacral distraction in an attempt to ease tissue restriction and decrease intradiscal pressures. The OMT sessions continued to provide pain relief for the patient up until her scheduled surgical procedure in late March 2012.
Comment
In the present case, follow-up MR imaging revealed an unexpectedly large lumbar herniated disk, and the patient was successfully referred for surgical treatment despite her apparently unremarkable presentation.
To help physicians identify patients who should be evaluated further, the American College of Radiology has put forth a list of “red flag” indications for patients with low back pain (Figure 3).3 Soft tissue imaging is specifically indicated in patients who exhibit radiculopathy or spinal stenosis that may need surgical correction.4,5

“Red flags” for potentially serious underlying causes of low back pain. Adapted from ACR Appropriateness Criteria: Low Back Pain.3
Responsibility is on the physician to reevaluate patients with continued symptoms when initial conservative therapies are ineffective or when symptoms are persistent or progressive. Magnetic resonance imaging can be indicated for patients exhibiting lumbosacral radiculopathy, infection, metastases, or cauda equina syndrome.4,5 This imaging modality has been shown to have high specificity and accuracy (approximately 90%) in the evaluation of benign and malignant masses.6 Hegarty et al7 found that findings of MR imaging offer important information regarding the location and size of herniated disks.
The present case illustrates the benefit of obtaining an updated MR image in a patient with low back pain, particularly when a prior herniated disk is suggested. Although the patient's pain improved with OMT and gait correction, an updated MR image revealed an unexpectedly severe herniated disk for which surgical treatment was indicated.
Conclusion
The present case illustrates that severe disk herniation may be present in a patient with a seemingly unremarkable presentation. Physicians should weigh patient history and examination findings carefully in accordance with existing guidelines when considering the need for an updated MR image.
-
The views expressed in this article are those of the authors and do not reflect the official policy or position of the Department of the Air Force, Department of Defense, or the US Government.
-
Financial Disclosures: None reported.
References
1 Clinical Guideline Subcommittee on Low Back Pain . American Osteopathic Association guidelines for osteopathic manipulative treatment (OMT) for patients with low back pain. J Am Osteopath Assoc.2010;110(11):653-666. http://www.jaoa.org/content/110/11/653.full. Accessed October 25, 2013.Search in Google Scholar
2 Andersson GB Lucente T Davis AM Kappler RE Lipton JA Leurgans S . A comparison of osteopathic spinal manipulation with standard care for patients with low back pain. N Engl J Med.1999;341(19):1426-1431.10.1056/NEJM199911043411903Search in Google Scholar PubMed
3 American College of Radiology . ACR Appropriateness Criteria: Low Back Pain. Reston, VA: American College of Radiology; 2011. http://www.acr.org/~/media/ACR/Documents/AppCriteria/Diagnostic/LowBackPain.pdf. Accessed October 22, 2013.Search in Google Scholar
4 Chou R Qaseem A Snow V et al. . Diagnosis and treatment of low back pain: a joint clinical practice guideline from the American College of Physicians and the American Pain Society. Ann Intern Med.2007;147(7):478-491.10.7326/0003-4819-147-7-200710020-00006Search in Google Scholar PubMed
5 Chou R Qaseem A Owens DK et al. . Diagnostic imaging for low back pain: advice for high value health care from the American College of Physicians. Ann Intern Med.2011;154(3):181-189.10.7326/0003-4819-154-3-201102010-00008Search in Google Scholar PubMed
6 Berguist TH Ehman RL King BF Hodgman CG Ilstrup DM . Value of MR imaging in differentiating benign from malignant soft-tissue masses: study of 95 lesions. AJR Am J Roentgenol.1990;155(6):1251-1255.10.2214/ajr.155.6.2122675Search in Google Scholar PubMed
7 Hegarty D O’Connor OJ Moore M O’Regan KN Shorten G Maher MM . Association between preoperative magnetic resonance imaging, pain intensity and quantitative sensory testing in patients awaiting lumbar diskectomy. J Med Imaging Radiat Oncol.2011;55(1):4-10. doi:10.1111/j.1754-9485.2010.02222.x.10.1111/j.1754-9485.2010.02222.xSearch in Google Scholar PubMed
© 2013 The American Osteopathic Association
This work is licensed under the Creative Commons Attribution-NonCommercial-NoDerivatives 4.0 International License.
Articles in the same Issue
- Letters
- Osteopathic Graduate Medical Education: A Way Forward
- On the Oft-Debated Question of What It Means to Be an Osteopathic Physician
- Correction
- Correction
- Original Contribution
- Preventive Osteopathic Manipulative Treatment and Stress Fracture Incidence Among Collegiate Cross-Country Athletes
- Effect of Inpatient Electroencephalography on Clinical Decision Making
- Medical Education
- Correlates and Changes in Empathy and Attitudes Toward Interprofessional Collaboration in Osteopathic Medical Students
- Special Communication
- Axioms, Osteopathic Culture, and a Perspective From Geriatric Medicine
- Peer Review Guidance: How Do You Write a Good Review?
- Case Report
- Subcutaneous Pellet Testosterone Replacement Therapy: The “First Steps” in Treating Men With Spinal Cord Injuries
- An Unexpectedly Progressed Lumbar Herniated Disk
- Clinical Images
- Pelvic Hematoma With Suprapubic Distention
- In Your Words
- Beyond the Medicine
Articles in the same Issue
- Letters
- Osteopathic Graduate Medical Education: A Way Forward
- On the Oft-Debated Question of What It Means to Be an Osteopathic Physician
- Correction
- Correction
- Original Contribution
- Preventive Osteopathic Manipulative Treatment and Stress Fracture Incidence Among Collegiate Cross-Country Athletes
- Effect of Inpatient Electroencephalography on Clinical Decision Making
- Medical Education
- Correlates and Changes in Empathy and Attitudes Toward Interprofessional Collaboration in Osteopathic Medical Students
- Special Communication
- Axioms, Osteopathic Culture, and a Perspective From Geriatric Medicine
- Peer Review Guidance: How Do You Write a Good Review?
- Case Report
- Subcutaneous Pellet Testosterone Replacement Therapy: The “First Steps” in Treating Men With Spinal Cord Injuries
- An Unexpectedly Progressed Lumbar Herniated Disk
- Clinical Images
- Pelvic Hematoma With Suprapubic Distention
- In Your Words
- Beyond the Medicine