A Novel Approach to the Diagnosis of Stress-Induced Cardiomyopathy
-
Jered Haynor
Abstract
Stress-induced cardiomyopathy is becoming a more commonly recognized diagnosis, accounting for 2% to 3% of patients presenting with signs and symptoms of acute anterior myocardial infarction. We present the case of a 68-year-old man with dyspnea 9 days after an unrelated operation. After hospital admission, he complained of chest pain, and an electrocardiogram demonstrated ST-segment elevation in the anterolateral and inferior leads, ST-segment depression in lead aVR, and an absence of ST-segment changes in lead V1. Cardiac biomarker levels were elevated. Transthoracic echocardiography demonstrated a left ventricular ejection fraction of 30% to 40%, basilar hyperactivity, apical dyskinesia, and distal inferior and anterior akinesia. Cardiac catheterization did not reveal any culprit obstructive lesion. He received a diagnosis of stress-induced cardiomyopathy and was treated according to established recommendations for systolic heart failure. His cardiac biomarkers returned to normal, and a repeated transthoracic echocardiogram 3 days later revealed nearly complete resolution of myocardial wall–motion abnormalities.
Stress-induced cardiomyopathy is a relatively new term for a condition that, to our knowledge, was first described in Japan 20 years ago.1 It is also referred to in the literature as apical ballooning syndrome, broken heart syndrome, and takotsubo cardiomyopathy.2 Patients who are eventually found to have stress-induced cardiomyopathy have symptoms that mimic myocardial infarction (MI). This condition most commonly occurs in postmenopausal women and is often precipitated by severe physical or emotional stress.3 However, this condition is by no means confined to postmenopausal women, as it is being described in increasing frequency in premenopausal women and in men.
We present the case of a 68-year-old white man who, after hospital admission, developed symptoms of acute coronary syndrome and was subsequently diagnosed as having stress-induced cardiomyopathy. His case is important to review for the following reasons: it describes how a man might likely present with stress-induced cardiomyopathy, it follows his course and how the diagnosis was made, and it allows for exploration of the pathophysiologic characteristics of the condition by correlating electrocardiographic (ECG) findings with the myocardial wall–motion abnormalities that are normally seen only by a cardiologist.
Report of Case
A 68-year-old man presented to the emergency department with symptoms of generalized malaise, dyspnea, and anorexia. Nine days prior to presentation, the patient had undergone a right femoropopliteal bypass surgical procedure for symptomatic claudication. At his postprocedure follow-up with a vascular surgeon, before presentation to the emergency department, he had 1+ right lower extremity swelling. A venous duplex sonogram taken the same day as the follow-up with the vascular surgeon was negative for deep venous thrombosis. Results from cardiac catheterization, performed 2 weeks prior to his surgical procedure as part of his preoperative evaluation, demonstrated nonobstructive coronary artery disease. His past medical history was notable for hypertension, hyperlipidemia, peripheral vascular disease, and a 50-pack-year smoking history.
In the emergency department, the patient's vital signs were unremarkable except for mild hypotension with a narrow pulse pressure (90/62 mm Hg). He was not using accessory respiratory muscles. His physical examination was notable only for bibasilar rales and 1+ nonpitting right lower extremity edema. In addition, the patient reported that his spouse had several severe medical problems and needed a high level of care from the patient at home.
An ECG was without ischemic changes. Posteroanterior and lateral chest radiographs revealed increased interstitial markings with pulmonary vascular prominence. A pulmonary computed tomographic angiogram was negative for pulmonary embolism. Cardiac biomarkers were within normal limits, and the patient's brain-type natriuretic peptide level was 656 pg/mL (the patient's preoperative level was 13 pg/mL). The patient was admitted to the hospital.
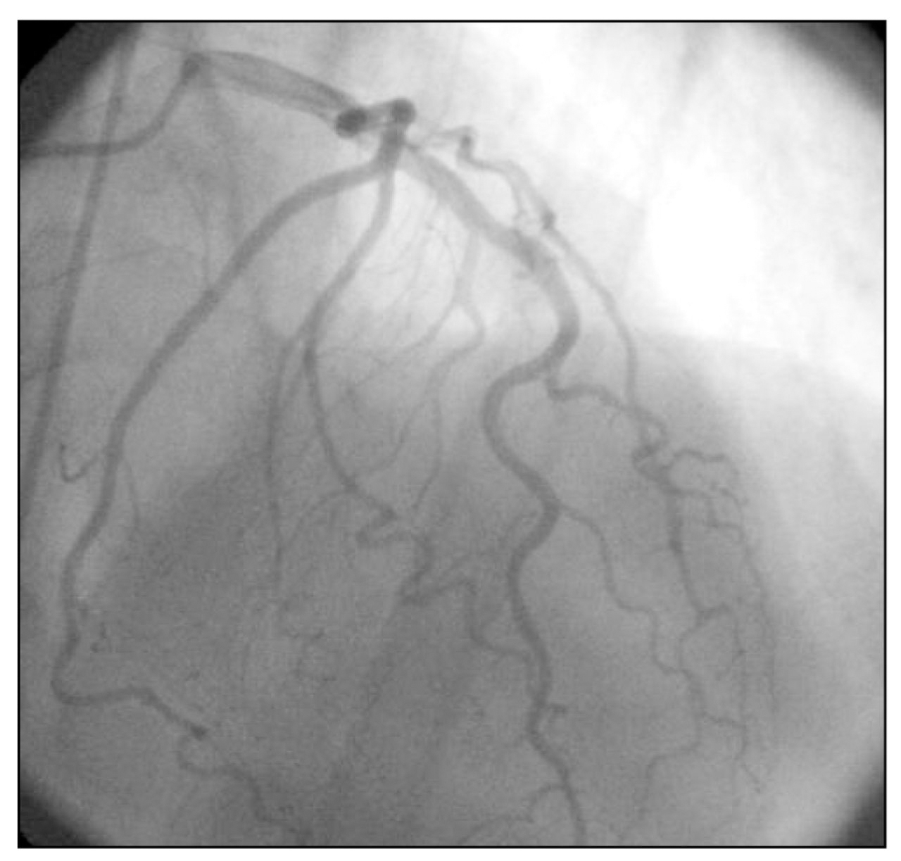
On the night of hospital day 1, the patient complained of midsternal chest pressure radiating to his neck. A second ECG demonstrated diffuse ST-segment elevation in the anterolateral and inferior leads, along with ST-segment depression in lead aVR and absence of ST-segment changes in lead V1 (Figure 1). Cardiac biomarkers revealed a creatinine kinase-MB fraction of 0.192 ng/mL and a troponin I level of 3.23 ng/mL. Immediate cardiac catheterization was performed (early morning of day 2), which revealed no new obstructive lesions in the patient's coronary artery anatomy (Figure 2). Ventriculography was deferred because of renal insufficiency and the recently performed computed tomographic pulmonary angiography. After cardiac catheterization, the patient underwent transthoracic echocardiography, results of which demonstrated a left ventricular ejection fraction of 30% to 40%, basilar hyperactivity, apical dyskinesia, and distal inferior and anterior akinesia (Figure 3).

Electrocardiogram obtained on the night after hospital admission of a 68-year-old man shows ST-segment elevation in the inferior and anterolateral leads. This image also demonstrates ST-segment depression in lead aVR and absence of ST-segment elevation in lead V1—findings that are highly sensitive and specific for the diagnosis of stress-induced cardiomyopathy.

Cardiac catheterization showing anatomy of the left coronary artery and its main branches. Minimal (<50%), nonobstructive coronary artery disease was noted.

Long-axis precordial end diastolic (A) and end systolic (B) views from transthoracic echocardiogram immediately after cardiac catheterization demonstrate basilar hyperactivity (line arrows), apical dyskinesia (block arrows), and distal inferior and anterior wall akinesia. The ejection fraction was estimated to be 30% to 40%.
On the basis of these findings, stress-induced cardiomyopathy was diagnosed. The stressor believed to be most likely the cause of the patient's presentation was the right femoropopliteal bypass procedure. Although the patient's spouse was not acutely ill during this period, stress from the high level of care that she required at home may have contributed.
To our knowledge, no strict criteria for the initial management of stress-induced cardiomyopathy exist. Treatment is largely supportive, and attempts should be made to alleviate the triggering physical or emotional stress, if possible. Most experts favor at least the short-term use of standard medications for heart failure when systolic dysfunction is present.4 These medications should be continued until resolution of systolic function is observed, and perhaps indefinitely. Diuretics are effective in treating concurrent congestive heart failure. If dynamic left ventricular outflow tract obstruction is seen on echocardiography, intravenous fluids can be given in the absence of heart failure. Systemic anticoagulation can be initiated if severe left ventricular systolic dysfunction is present and can be continued for a few weeks when resolution of systolic function is prolonged. Therefore, on day 2, the patient was treated according to established guidelines for systolic heart failure, with up-titration of his β-blocker (metoprolol succinate, increased from 50 mg/d to 100 mg/d) and initiation of an angiotensin-receptor blocker (candesartan, 8 mg/d). The patient also received diuretic therapy (one-time intravenous dose of furosemide, 20 mg) on day 3. Aspirin (81 mg/d) was continued throughout the patient's course.
The patient's cardiac biomarkers quickly returned to normal, and a repeated transthoracic echocardiogram 3 days later (day 5) revealed nearly complete resolution of myocardial wall–motion abnormalities (Figure 4). The patient was discharged from the hospital on day 6, and the regimen of metorprolol, 100 mg/d, and candesartan, 8 mg/d, was continued. A repeated ECG approximately 3 weeks later demonstrated resolution of anterior ST-segment elevation and deep, diffuse T-wave inversions in the inferior and precordial leads (Figure 5). Three months after hospital admission, the patient's ECG results had returned to normal (Figure 6).

Long-axis precordial end diastolic (A) and end systolic (B) views obtained on day 5 of hospital admission demonstrate near-complete resolution of apical dyskinesia and distal inferior and anterior wall akinesia. The ejection fraction was estimated at 60% to 65%.

Electrocardiogram obtained 19 days after patient's initial hospital admission date demonstrates resolution of ST-segment elevation in the inferior and anterolateral leads. Deep, diffuse T-wave inversions can now be seen in these leads.

Electrocardiogram obtained 3 months after the patient's admission demonstrates complete resolution of ST-segment and T-wave abnormalities.
Comment
Stress-induced cardiomyopathy accounts for 2% to 3% of patients presenting with signs and symptoms of acute anterior MI.2,5,6 It is characterized by minimal coronary artery obstruction, regional cardiomyopathy with wall-motion abnormalities extending beyond the distribution of a single vascular territory, and the occurrence of a precipitating stressor.7 The following criteria are required to establish the diagnosis of stress-induced cardiomyopathy8:
transient, reversible akinesis or dyskinesis of the left ventricular apical and midventricular segments with regional wall-motion abnormalities extending beyond a single vascular territory at left ventriculography
absence of obstructive coronary artery stenosis (>50% of the luminal diameter) or angiographic evidence of acute plaque rupture
new electrocardiographic abnormalities consisting of ST-segment elevation or T-wave inversion
absence of recent head trauma, intracranial bleeding, pheochromocytoma, obstructive epicardial coronary artery disease, myocarditis, and hypertrophic cardiomyopathy
Elevations in serial cardiac biomarker measurements are small compared with the degree of wall-motion abnormality seen. In addition, cardiac biomarker measurements generally do not follow the kinetics seen with acute anterior MI, and a small proportion of patients do not have any rise in their troponin levels.2 Wall-motion abnormalities generally return to normal within days of diagnosis, with nearly all patients returning to normal within 4 weeks.10
Treatment of patients with stress-induced cardiomyopathy involves initiation of an angiotensin-converting enzyme inhibitor (or angiotensin-II receptor blocker), β-blocker therapy, or both in patients with substantial left ventricular dysfunction who can tolerate therapy. Rarely, treatment will involve inotropic support if hemodynamic compromise is clinically significant. Acute complications (eg, cardiogenic shock, heart failure, pulmonary edema, arrhythmia, left ventricular thrombus formation, free wall rupture, death) occur in about 1 of 5 patients with stress-induced cardiomyopathy.7,11 Mortality is uncommon, as is recurrence of the condition.8
Conclusion
The present case provides a review for hospitalists of how a patient with stress-induced cardiomyopathy may present and how the condition is diagnosed and managed. It also provides an introduction to the topic for physicians with strictly outpatient practices. Stress-induced cardiomyopathy is becoming more commonly diagnosed in the hospital setting. Establishing it firmly in the physician's differential diagnosis for acute coronary syndrome will no doubt allow for quicker evaluation, diagnosis, and initiation of appropriate medical therapy.
-
Financial Disclosures: The authors have no potential conflicts of interest with any companies or organizations whose products or services may be discussed in this article.
References
1 Dote K Sato H Tateishi H Uchida T Ishihara M . Myocardial stunning due to simultaneous multivessel coronary spasms: a review of 5 cases [in Japanese]. J Cardiol.1991;21(2):203-214.Search in Google Scholar
2 Abdulla I Kay S Mussap C et al. . Apical sparing in tako-tsubo cardiomyopathy. Internal Med J.2006;36(7):414-418.10.1111/j.1445-5994.2006.01095.xSearch in Google Scholar PubMed
3 Sharkey SW Lesser JR Zenovich AG et al. . Acute and reversible cardiomyopathy provoked by stress in women from the United States. Circulation. 2005;111(4):472-479.10.1161/01.CIR.0000153801.51470.EBSearch in Google Scholar PubMed
4 Prasad A Lerman A Rihal CS . Apical ballooning syndrome (Tako-Tsubo or stress cardiomyopathy): a mimic of acute myocardial infarction. Am Heart J.2008;155(3):408.10.1016/j.ahj.2007.11.008Search in Google Scholar PubMed
5 Gianni M Dentali F Grandi AM Sumner G Hiralal R Lonn E . Apical ballooning syndrome of takotsubo cardiomyopathy: a systematic review. Eur Heart J.2006;27(13):1523-1529. doi:10.1093/eurheartj/ehl032.10.1093/eurheartj/ehl032Search in Google Scholar PubMed
6 Wang K Asinger RW Marriott HJ . ST-Segment elevation in conditions other than acute myocardial infarction. N Engl J Med.2003;349(22):2128-2135.10.1056/NEJMra022580Search in Google Scholar PubMed
7 Hurst RT Prasad A Askew JW III Sengupta PP Tajik AJ . Takotsubo cardiomyopathy: a unique cardiomyopathy with variable ventricular morphology. JACC Cardiovasc Imaging. 2010;3(6):641-649.10.1016/j.jcmg.2010.01.009Search in Google Scholar PubMed
8 Bybee KA Kara T Prasad A et al. . Systematic review: transient left ventricular apical ballooning: a syndrome that mimics ST-segment elevation myocardial infarction. Ann Intern Med.2004;141(11):858-865.10.7326/0003-4819-141-11-200412070-00010Search in Google Scholar PubMed
9 Kosuge M Ebina T Hibi K et al. . Simple and accurate electrocardiographic criteria to differentiate takotsubo cardiomyopathy from anterior acute myocardial infarction. J Am Coll Cardiol.2010;55(22):2514-2516.10.1016/j.jacc.2009.12.059Search in Google Scholar PubMed
10 Wittstein IS Thiemann DR Lima JA et al. . Neurohumoral features of myocardial stunning due to sudden emotional stress. N Engl J Med.2005;352(6):539-548.10.1056/NEJMoa043046Search in Google Scholar PubMed
11 Donohue D Movahed MR . Clinical characteristics, demographics, and prognosis of transient left ventricular apical ballooning syndrome. Heart Fail Rev.2005;10(4):311-316.10.1007/s10741-005-8555-8Search in Google Scholar PubMed
© 2012 The American Osteopathic Association
This work is licensed under the Creative Commons Attribution-NonCommercial-NoDerivatives 4.0 International License.
Articles in the same Issue
- Letters
- Osteopathic Manipulative Treatment: Much More Than Simply a “Hands-on” Phenomenon
- Response
- Evidence-Based Clinical Review
- Management of Primary Knee Osteoarthritis and Indications for Total Knee Arthroplasty for General Practitioners
- Original Contributions
- Bibliometric Measures and National Institutes of Health Funding at Colleges of Osteopathic Medicine, 2006-2010
- Self-Reported Physical Health, Mental Health, and Comorbid Diseases Among Women With Irritable Bowel Syndrome, Fibromyalgia, or Both Compared With Healthy Control Respondents
- Special Communication
- Still Relevant: The Profession's Characteristics of Yesterday and Today
- Case Report
- A Novel Approach to the Diagnosis of Stress-Induced Cardiomyopathy
- Clinical Images
- Erythema Migrans in Early Disseminated Lyme Disease
- In Your Words
- Practicing Medicine Is About More Than Standing on Your Own 2 Feet
- Book Reviews
- Guidelines for Cardiac Rehabilitation and Secondary Prevention Programs
- CME Quiz
- CME Quiz
Articles in the same Issue
- Letters
- Osteopathic Manipulative Treatment: Much More Than Simply a “Hands-on” Phenomenon
- Response
- Evidence-Based Clinical Review
- Management of Primary Knee Osteoarthritis and Indications for Total Knee Arthroplasty for General Practitioners
- Original Contributions
- Bibliometric Measures and National Institutes of Health Funding at Colleges of Osteopathic Medicine, 2006-2010
- Self-Reported Physical Health, Mental Health, and Comorbid Diseases Among Women With Irritable Bowel Syndrome, Fibromyalgia, or Both Compared With Healthy Control Respondents
- Special Communication
- Still Relevant: The Profession's Characteristics of Yesterday and Today
- Case Report
- A Novel Approach to the Diagnosis of Stress-Induced Cardiomyopathy
- Clinical Images
- Erythema Migrans in Early Disseminated Lyme Disease
- In Your Words
- Practicing Medicine Is About More Than Standing on Your Own 2 Feet
- Book Reviews
- Guidelines for Cardiac Rehabilitation and Secondary Prevention Programs
- CME Quiz
- CME Quiz