Trauma-Induced Pneumothorax After “Bear-Hug Back Crack” Home Remedy: Attempted Spinal Manipulation by a Layperson
-
David A. Masneri
, Jeremy S. Helphenstine , Shannon M. Masneri , Michael A. Miller and Marc E. Levsky
Abstract
Spinal manipulation, as practiced by US-trained osteopathic physicians, is a safe and effective method of resolving patient pain and encouraging desirable physiologic improvement— often without pharmacologic intervention. Though novices, laypeople, and other clinicians also use manual techniques with similar goals in mind, their results are varied and sometimes dangerous to those they would help. The authors describe a case in which a layperson attempted spinal manipulation on a 20-year-old woman who later required a chest tube thoracostomy and hospitalization as a result of a pneumothorax. Osteopathic physicians are encouraged to consider patient risk factors for pneumothorax as a contraindication for the use of thoracic thrust techniques.
Abstract
The authors describe an improvised, at-home manual treatment used by the patient's boyfriend to relieve her back pain. Unfortunately, this adapted “thrust technique” as used by a layperson resulted in a trauma-induced pneumothorax. Better patient education regarding all at-home treatment options is recommended. Osteopathic physicians are encouraged to consider patient risk factors for pneumothorax as a contraindication for the use of thoracic thrust techniques.
Millions of patients seek manual treatment to help manage thoracolumbar pain each year.1,2 Although some life-threatening complications of manual treatment are described in the medical literature (eg, vertebral artery dissection, stroke, and cauda equina syndrome), such incidents with osteopathic physicians are rare.1-5 However, serious complications have typically been observed after the use of high velocity thrust maneuvers, primarily to the cervical spine.6,7 We describe a delayed presentation of a pneumothorax in a 20-year-old woman after a layperson attempted manual treatment for the patient's back pain. To our knowledge, this is the first such case to be reported in the literature.
Report of Case
A 20-year-old woman presented to the emergency department complaining of thoracic back pain and vague chest discomfort. The pain, which was located in the midregion of her anterior and posterior right thorax, began the previous day when her boyfriend used a “bear hug” to “crack” her back. She reported a dull, nonradiating pain that was persistent and which she rated as a 5 on a 10-point pain severity scale. The patient denied any palliative factors and reported that inspiration was provocative. In addition, she denied cough, shortness of breath, dyspnea (both at rest and on exertion), and palpitations. She had no history of lung disease or thoracic injury. She smoked half a pack of cigarettes daily for the previous 4 years. The patient's vital signs were normal, including an oxygen saturation of 98% in room air as measured by pulse oximetry.
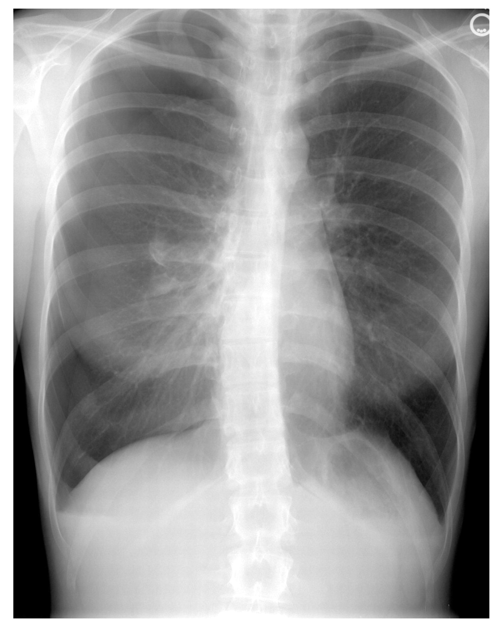
Physical examination revealed a healthy but slender white woman in no obvious distress. Although the patient had symmetric rise and fall of the chest with respiration, she had decreased breath sounds to auscultation and hyperresonance to percussion over the right lung fields. There was no evidence of ecchymosis, edema, or erythema of the thorax. Tactile fremitus, egophony, and bronchophony were not assessed. Tenderness to palpation was present at ribs 4 through 7 on the patient's right side. The remainder of her physical examination was unremarkable. A chest radiograph revealed a pneumothorax greater than 50% on the right side. There were neither bony fractures nor evidence of tension pneumothorax (Figure 1).
The patient was administered 100% oxygen using a non-rebreather face mask. Informed consent for surgical intervention was obtained. Procedural sedation and analgesia were provided using titrated intravenous midazolam and fentanyl. Intervention was performed with a needle thoracostomy kit, French size 8 (Arrow International, Reading, Pa). The “pig tail” catheter was positioned in the midclavicular line at the second intercostal space and was connected to a Heimlich flutter valve, which was also included in the kit, and initially placed on light wall suction.
Postprocedure radiographic evidence demonstrated complete reexpansion of the right lung with the catheter in the appropriate position (Figure 2). The patient tolerated the procedure well and was admitted to the hospital for observation. Complete resolution of the pneumothorax was observed, and the catheter was removed. The patient was discharged on hospital day 3 in good condition. Both the patient and her boyfriend were educated regarding the dangers of the home remedy they used. They were encouraged to refrain from future self-treatments.

Diagnostic chest radiograph of a 20-year-old woman who received a “bear hug” manual home remedy and was seen by physicians at Carl R. Darnall Army Medical Center (Fort Hood, Tex). This radiographic image reveals a pneumothorax greater than 50% on the right side with no bony fractures or evidence of tension pneumothorax.
Comment
To our knowledge, this is the first description of potentially life-threatening sequela as a result of spinal manipulation provided by a layperson. Although the patient had risk factors for pneumothorax, including frail body habitus with a relatively large thorax and a history of cigarette smoking, this diagnosis was not anticipated. In this instance, a simple pneumothorax had the potential to develop into a tension pneumothorax that would certainly have required more intensive and prolonged medical care.
The at-home use of manual thrust techniques to “treat” pain in the thoracic region, such as that described in the present report, are likely commonplace as a result of the large burden of somatic dysfunction in the United States.2,3 Individuals may encourage or be subject to well-meaning—but ultimately misguided—attempts to relieve pain. Friends or family members may see themselves as “good Samaritans” when using this kind of “shotgun” methodology, providing “bear hugs” or “walking” on another's back in an attempt to relieve a loved one's discomfort. However, the people providing these manual “home remedies” generally have (1) no medical training, (2) no understanding of the physiologic mechanisms behind observed or improvised manual techniques, and (3) no comprehension of the role of the respiratory cycle in manual therapeutic models.

Postprocedure chest radiograph of a 20-year-old woman who required a chest tube thoracostomy and hospitalization as a result of a pneumothorax. This radiographic image demonstrates the complete reexpansion of the patient's right lung with the catheter appropriately positioned.
The layperson's shotgun approach typically includes an exaggerated thrust mechanism, results in poor “patient” preparation and positioning, and disregards the effects of the respiratory cycle—all of which can lead to serious complications. Physicians are cautioned to remain aware of the potential for adverse effects of manual treatments, specifically thrust techniques, as used in manual home remedies.1-3
Osteopathic physicians are taught to remain vigilant for potential sequela that may arise in patients posttreatment. While the safety and efficacy of manual treatment has been described, the present case demonstrates the need for a thorough understanding of individual techniques and the risks associated with each of them.
Manipulative medicine, though noninvasive and often medication-free, is certainly not risk-free. Traditionally, contraindications to this treatment modality are malignancy or a bone-deteriorating disease (eg, osteopenia, osteoporosis). However, the present case may demonstrate another contraindication: patients who have risk factors for pneumothorax. For osteopathic physicians, it is imperative that any manual techniques used in clinical encounters are coordinated appropriately—and with full awareness of and sensitivity to—the patient's unique respiratory cycle.
The current report highlights an ongoing need for patient education regarding home remedies and self-care of all kinds.8 Osteopathic physicians must continue to promote the benefits of osteopathic medical care and to educate the public in many areas, including the dangers and possible adverse outcomes of manual home treatments.
-
The statements and opinions herein are solely those of the authors and do not necessarily represent those of the Carl R. Darnall Army Medical Center, the US Army, the US Department of Defense, or the United States Government.
1 Reeves RR, McWilliams ME. Unusual complications of manipulative treatment reported elsewhere. J Am Osteopath Assoc. 1996;96:206-207.Search in Google Scholar
2 Vick DA, McKay C, Zengerle CR. The safety of manipulative treatment: review of the literature from 1925 to 1993. J Am Osteopath Assoc. 1996;96:113-115.10.7556/jaoa.1996.96.2.113Search in Google Scholar
3 Kappler RE. Thrust Techniques: An Introduction. In: Ward RC, ed. Foundations for Osteopathic Medicine. Williams and Wilkins; 1997: 661-666.Search in Google Scholar
4 Di Duro JO. Life-threatening complications from spinal manipulation are rare. Stroke. 2001;32:2440 .10.1161/str.32.10.2440-aSearch in Google Scholar
5 Haldeman S, Carey P, Townsend M, Papadopoulos C. Clinical perceptions of the risk of vertebral artery dissection after cervical manipulation: the effect of referral bias. Spine J. 2002;2:334-342.10.1016/S1529-9430(02)00411-4Search in Google Scholar
6 Oppenheim JS, Spitzer DE, Segal DH. Nonvascular complications following spinal manipulation. Spine J. 2005;5:660-666.10.1016/j.spinee.2005.08.006Search in Google Scholar PubMed
7 Haldeman S, Kohlbeck FJ, McGregor M. Stroke, cerebral artery dissection, and cervical spine manipulation therapy. J Neurol. 2002;249:1098-1104.10.1007/s00415-002-0783-4Search in Google Scholar PubMed
8 Marinac JS, Buchinger CL, Godfrey LA, Wooten JM, Sun C, Willsie SK. Herbal products and dietary supplements: a survey of use, attitudes, and knowledge among older adults. J Am Osteopath Assoc. 2007;107:13-20. Available at: http://www.jaoa.org/cgi/content/full/107/1/13. Accessed September 12, 2007.Search in Google Scholar
The American Osteopathic Association
This work is licensed under the Creative Commons Attribution-NonCommercial-NoDerivatives 4.0 International License.
Articles in the same Issue
- CLINICAL PRACTICE
- Overactive Bladder: Treatment Options in Primary Care Medicine
- ORIGINAL CONTRIBUTIONS
- Role of Osteopathic Manipulative Treatment in Altering Pain Biomarkers: A Pilot Study
- SPECIAL COMMUNICATIONS
- Gender Differences and Alcohol Use in the US Army
- CASE REPORTS
- Trauma-Induced Pneumothorax After “Bear-Hug Back Crack” Home Remedy: Attempted Spinal Manipulation by a Layperson
- Chronic Psoas Syndrome Caused by the Inappropriate Use of a Heel Lift
Articles in the same Issue
- CLINICAL PRACTICE
- Overactive Bladder: Treatment Options in Primary Care Medicine
- ORIGINAL CONTRIBUTIONS
- Role of Osteopathic Manipulative Treatment in Altering Pain Biomarkers: A Pilot Study
- SPECIAL COMMUNICATIONS
- Gender Differences and Alcohol Use in the US Army
- CASE REPORTS
- Trauma-Induced Pneumothorax After “Bear-Hug Back Crack” Home Remedy: Attempted Spinal Manipulation by a Layperson
- Chronic Psoas Syndrome Caused by the Inappropriate Use of a Heel Lift