Abstract
Background and Objective
This study was aimed to elucidate the molecular mechanism of Momordica charantia (MCh), along with a standard drug prednisolone, in a rat model of colitis induced by trinitrobenzene sulfonic acid (TNBS).
Methods
After the induction of the experimental colitis, the animals were treated with MCh (4 g/kg/day) for 14 consecutive days by intragastric gavage. The colonic tissue expression levels of C-C motif chemokine ligand 17 (CCL-17), interleukin (IL)-1β, IL-6, IL-23, interferon-γ (IFN-γ), nuclear factor kappa B (NF-kB), and tumor necrosis factor-α (TNF-α), were determined at both mRNA and protein levels to estimate the effect of MCh. Besides, colonic specimens were analyzed histopathologically after staining with hematoxylin and eosin.
Results
The body weights from TNBS-instigated colitis rats were found to be significantly lower than untreated animals. Also, the IFN-γ, IL-1β, IL-6, Il-23, TNF-α, CCL-17, and NF-kB mRNA and protein levels were increased significantly from 1.86-4.91-fold and 1.46-5.50-fold, respectively, in the TNBS-instigated colitis group as compared to the control. Both the MCh and prednisolone treatment significantly reduced the bodyweight loss. It also restored the induced colonic tissue levels of IL-1β, IL-6, IFN-γ, and TNF-α to normal levels seen in untreated animals. These results were also supported with the histochemical staining of the colonic tissues from both control and treated animals.
Conclusion
The presented data strongly suggests that MCh has the anti-inflammatory effect that might be modulated through vitamin D metabolism. It is the right candidate for the treatment of UC as an alternative and complementary therapeutics.
Introduction
Inflammatory bowel diseases (IBD) are described by chronic relapsing inflammation in the gastrointestinal tract. They are generally divided into two main groups, Crohn’s Disease (CD) and Ulcerative Colitis (UC).[1] CD is a disease that can keep the entire digestive tract from mouth to anus in a segmental manner and transmurally, followed by remission and exacerbations.[2,3] On the other hand, UC is a chronic IBD that diffuses from the rectum to the proximal length without leaving any intact parts and diffuses the colon mucosa with remission and exacerbations.[4] Although the etiology remains a mystery, the current view is inflammation caused by inflammatory cells and cytokines via a complex network of interactions.[5]
Cytokines are essential molecules in the initiation and regulation of inflammatory immune responses. For normal colon homeostasis, anti-inflammatory [such as interleukin (IL)-4, IL-10, IL-11, and IL-13] and pro-inflammatory [such as IL-1, IL-2, IL-6, IL-8, IL-12, IL-23, tumor necrosis factor (TNF)-α, and interferon (IFN)-γ] cytokines in the colonic mucosa need to be in balance.[6,7] UC disease is associated with the elevation of inflammatory markers such as IL-1β, IL-6, TNF-α, and IFN-γ.[8, 9, 10, 11, 12] Chemokines also play an essential role in the course of inflammation. A significant increase of some chemokines is observed in the intestinal tissues of patients with UC and CD.[13] C-C motif chemokine ligand 17 (CCL-17) is a C-C motif chemokine that is expressed in the thymus and associated with the induction of chemotaxis in T cells.[14] Nuclear factor kappa B (NF-kB) is a nuclear transcription factor and plays a critical role in regulating multiple gene transcription associated with immunity and inflammation.[15, 16, 17, 18] It is recognized as one of the dominant players in the pathogenesis of UC.[19]
The utilization of plants and plant-based preparations as complementary and alternative therapeutics has attained popularity throughout the world in recent decades.[20] According to the World Health Organization, it is estimated that 80% of the population in developing countries rely on traditional medicinal plants.[21]Momordica charantia (MCh) is one such plant used as traditional medicine for various ailments such as tumors, skin diseases, wounds, eczema, scabies, rheumatism, malaria, menstrual problems, diabetes, gastric ulcer, feverish conditions, and intestinal worms.[17,21,22,23,24,25,26,27,28,29,30] In our country, MCh is widely used for the treatment of UC and peptic ulcer.[31]This study was aimed to elucidate the molecular mechanism of MCh in a rat model of colitis instigated by TNBS.
Materials and methods
Plant material
The ripened (orange-yellow) fruits of MCh were purchased from local street markets in July 2017 and identified taxonomically by G. Semiz. MCh fruits are washed with tap water, stripped of water, chopped into small pieces (approximately 0.5 cm3 pieces) and placed in a 1 L glass jar. After addition of an equal amount of virgin olive oil, the jar was tightly closed and exposed to sunlight for six weeks. At the end of the incubation period, the resulting marmalade was homogenized by passing through the blender and kept at room temperature in a dark environment. The marmalade was prepared as used by local folks, without involving any chemicals.
Animals
Thirty-five healthy male Wistar rats (twelve-week old ranging 220–250 g body weights) were purchased from the Pamukkale University Animal House. The animals were housed in small polypropylene cages with a 12-h light/12-h dark photocycle in a temperature-controlled room (22 ± 1°C) and were fed commercial rat food with water ad libitum. Animal experiments were performed under appropriate ethical administration with veterinary services within licensed projects approved by the Institutional Experimental Animal Ethics Committee (PAUHDEK-2015/18). The animal protocol was intended to minimize pain or discomfort to the animals. Intragastric gavage administration was carried out with cognizant animals, utilizing straight gavage needles fitting for animal size.
Induction of colitis
Colonic inflammation was induced based on the method of El-Salhy[32] with slight modifications. Thirty-five rats divided into five experimental groups as follows:
Group I-Normal control (NC) group: only received distilled water for 14 day.
Group II-Ulcerative colitis control (UCC) group: Anaesthetized rats were treated with rectal catheterization followed by 30 mg/0.1 mL TNBS and 0.5 mL 50% ethanol mixture to induce colitis formation. Animals are expected to be UC at the end of 7 day. At the end of this period, since MCh marmalade was prepared in olive oil, the rats were fed with olive oil by intragastric gavage for 14 d to see the solvent’s effects. In other words, the goal of the UCC group was to control for olive oil effects in treatment with MCh.
Group III-Ulcerative colitis (UC) group: Anaesthetized rats were treated with rectal catheterization followed by 30 mg/0.1 mL TNBS and 0.5 mL 50% ethanol mixture to induce colitis formation. Animals are expected to be UC at the end of 7 day. This group of animals were kept untreated for a further duration of the experiment.
Group IV-M. charantia (MCh) group: Anaesthetized rats were treated with rectal catheterization followed by 30 mg/0.1 mL TNBS and 0.5 mL 50% ethanol mixture to induce colitis formation. Animals are expected to be UC at the end of 7 day. At the end of this period, rats were fed with 4 g/kg/day of MCh marmalade for 14 days by intragastric gavage. The dose given was determined by considering the dose used among the population.
Group V-Positive drug Prednisolone (PR) group: Anaesthetized rats were treated with rectal catheterization followed by 30 mg/0.1 mL TNBS and 0.5 mL 50% ethanol mixture to induce colitis formation. Standard drug prednisolone was given on the same day by oral gavage (2 mg/kg/day, 7 day). This group of animals were kept for the duration of the experiment.
After the last treatment or day, all rats were fasted overnight (16–18 h). Once the animals were sacrificed by cervical dislocation, the colons were removed aseptically and placed on ice-cold physiological saline. Colonic specimens were washed gently with physiological saline to remove fecal residues and then immediately frozen in liquid nitrogen. Blood samples to determine the serum enzymes were taken from the aorta. Portions of colonic tissue samples were fixed in 10% paraformaldehyde solution for histochemical studies.
Histopathological analysis
Histopathological analysis was carried out by a histopathologist from the Faculty of Medicine at Pamukkale University as described elsewhere.[33] Basically, the colon samples were fixed in 10% formalin in phosphate buffer for 24 h, processed routinely for paraffin embedding, sectioned at 3–4 μm, and stained with hematoxylin and eosin (H&E). Histological scoring was based on three parameters as described below: a) severity of inflammation: 0 = no inflammation; 1 = mild; 2 = moderate; 3 = severe; b) depth of inflammatory involvement: 0 = no inflammation; 1 = mucosa; 2 = mucosa and submucosa; 3 = transmural; c) crypt damage: 0 = intact crypts; 1 = loss of the basal one-third; 2 = loss of the basal two-thirds; 3 = entire crypt loss and change of epithelial surface with erosion.[34] Five random fields were evaluated for each section.
Determination of serum AST and ALT and LDH activities
In order to evaluate the toxic potential of the MCh marmalade, levels of serum transaminases [Alanine aminotransferase (ALT) and Aspartate aminotransferase (AST)] and Lactate dehydrogenase (LDH) were determined using procedures based on the methods described.[35,36] Blood samples were centrifuged for 10 min at 4000 r/min at 4°C to separate serum.
RNA isolation and cDNA synthesis
Total RNA was isolated from about 100 mg colonic samples with the RNeasy lipid tissue universal mini kit (Qiagen) according to the instructions provided by the manufacturer and as optimized in our laboratory.[37] The extracted RNA was quantified by measuring the absorbance at 260/280 nm, and RNA integrity was analyzed by 1% agarose gel. RNA was reverse transcribed using a RevertAid Reverse Transcriptase (ABM).[38]
RT-PCR of mRNAs
Semi-quantitative RT-PCR was carried out using gene-specific primers (Table 1). Beta-actin (ACTB) gene was used to normalize gene expressions. The PCR amplification conditions were applied as described.[20] The PCR products were detected on 1.5% agarose gels, and the bands were visualized using GelQuant Image Analysis Software in the DNR LightBIS Pro Image Analysis System. The relative intensity of the bands was reported relative to ACTB expression. All gene analyses were performed in triplicate and repeated at least three times.
Primer sequences and amplification conditions
| Gene | Primer Sequence (5’ -> 3’) | Annealing Temperature (oC) |
|---|---|---|
| IFN-γ | F→ GCCGCGTCTTGGTTTTGCAG | 65 |
| R→ TACCGTCCTTTTGCCAGTTCCTCCA | ||
| IL-1β | F→ CATCAGCACCTCTCAAGCAGA | 63 |
| R→CATTCTCGACAAGGGGGCTC | ||
| IL-6 | F→TCTCTCCGCAAGAGACTTCC | 60 |
| R→TCTTGGTCCTTAGCCACTCC | ||
| IL-23 | F→AAAGGAGGTTGATAGAGGGT | 57 |
| R→TCTTAGTAGATCCATTTGTCCC | ||
| TNF-α | F→GCCAATGGCATGGATCTCAAAG | 59 |
| R→CAGAGCAATGACTCCAAAGT | ||
| CCL-17 | F→ACCTTCACCTCAGCTTTTGGTACCATG | 68 |
| R→GCGTCTCCAAATGCCTCAGCGGGAAGG | ||
| NF-kB | F→ACCTGGAGCAAGCCATTAGC | 55 |
| R→CGGACCGCATTCAAGTCATA | ||
| ACTB | F→TGCAGAAGGAGATTACTGCC | 65 |
| R→CGCAGCTCAGTAACAGTCC |
Preparation of tissue homogenate
Colon samples were cut to small pieces and granulated in liquid nitrogen by mortar and pestle. Powdered colon samples were weighed (100 mg) into plastic tubes with 10% TCA (2,4,6-trichloroanisole) and 20 mmol/L DTT (dithiothreitol). The mixture was incubated on ice for 1 h and was centrifuged at 12,500 r/min for 20 min at 4°C. Finally, the pellet was dissolved in cold solubilization buffer [7 mol/L urea, 2 mol/L thiourea, 2% CHAPS (3-[(3-cholamidopropyl)dimethylammonio]-1-propanesulfonate), protease inhibitor cocktail, and 2 mmol/L DTT]. The amounts of protein were measured with the Bicinchoninic acid (BCA) method using the bovine serum albumin (BSA) standard.[39]
Gel electrophoresis and western blotting
SDS-PAGE and Western blotting analyses were carried out as described previously.[40,41] Briefly, samples (80 μg protein) were resolved on 8.5% polyacrylamide gel with a discontinuous buffer system of Laemmli.[42] The dissociated proteins were transferred onto polyvinylidene difluoride (PVDF) membrane with the Hoefer blotting system (90 V, 90 min at 4°C). Following the transfer, the membranes were blocked with 5% non-fat dry milk in TBST [20 mmol/L Tris-HCl, pH 7.4, 400 mmol/L NaCl, and 0.1% (v/v) Tween 20] for 40 min. Blot was incubated sequentially with primary antibodies (1/1000) and HRP-conjugated secondary antibodies (1/5000) in TBST containing 5% non-fat for 2 h and 1 h, respectively, while constant shaking at room temperature. Blot were then incubated with Pierce ECL western blotting substrate solution to detect immunoreactive proteins. The bands were visualized using GelQuant Image Analysis Software in the DNR LightBIS Pro Image Analysis System. The protein bands were quantified by measuring band density using Scion Image Version Beta 4.0.2 software.
Statistical analysis
All results were expressed as means, including their Standard Error of Means (SEMs). A comparison between groups was performed using Student’s t-test, and P< 0.05 was selected as the level required for statistical significance. These statistical analyses were carried out using the Minitab 13 statistical software package.
Results
During the treatment protocol, TNBS-instigated UC rats showed significant reductions in body weight compared to the NC group (Table 2). Nevertheless, both MCh and PR treated groups showed significant improvements in body weight loss. The effects of MCh on the serum transaminases and LDH in control and experimental colitis rats are given in Table 2. Significant differences were observed between the mean transaminases (ALT and AST) and LDH values of the control and UC groups. However, no differences were observed between control and MCh-treated rats
Blood serum LDH, AST, and ALT enzyme activities in control, colitis, and treated rats
| Groups | Enzyme Activities (U/L) | Body Weights (g) | |||
|---|---|---|---|---|---|
| LDH | AST | ALT | Begin | End | |
| Normal control | 608 ± 96 | 36 ± 08 | 30 ± 6 | 236 ± 30 | 235 ± 30 |
| UC control | 1503a ± 125 | 82a ± 12 | 85a ± 13 | 226 ± 7 | 221 ± 11 |
| UC | 1516a,b ± 166 | 85a,b ± 15 | 85a ± 13 | 228 ± 30 | 204 ± 28a |
| MCh-treated | 610a,b ± 90 | 25a,b ± 02 | 23a,b ± 02 | 238 ± 27 | 249 ± 28a,b |
| PR-treated | 580a,b ± 67 | 37a,b ± 05 | 35a,b ± 07 | 257 ± 17 | 266 ± 24a,b |
aSignificantly different from the respective control value P < 0.05
bSignificantly different from the respective UC control value P < 0.05
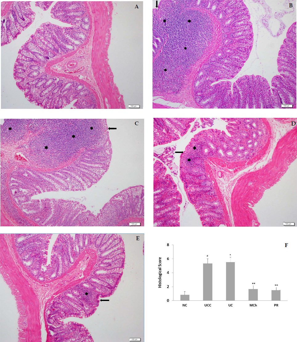
The paraffin sections of colonic specimens were subjected to H&E staining for the detection of ulceration and sign of colitis. It was observed that the H&E stained control group had healthy histological structure (Figure 1A). However, histopathological changes such as the presence of diffuse areas of inflammation and loss of cryptic structures in the UC and UCC groups as compared to the NC group (Figure 1B and 1C). Besides, it was found that there was a decrease in the areas of inflammatory cell infiltration in the treatment groups (MCh and PR treated) when compared with the UC and UCC groups as shown in Figure 1D and 1E. All treatment groups had significantly lower histological scores than that observed in the UC group (Figure 1F).

Histopathological images of colon tissues stained with H&E. (A) The appearance of normal colonic mucosa in the normal control group. (B and C) Inflamed ulcerative colitis mucosa in colitis control and colitis groups, associated with mucosal layer destruction, crypt damage and intense inflammatory cell infiltration in the mucosa and submucosa. Colitis tissue treated with (D) MCh (4 g/kg/day) and (E) PR (2 mg/kg/day) showing improved histopathological signs of colon damage including the decrease of infiltration areas in the lamina propria layer of mucosa and loss of crypts seen less than colitis group. ( :
infiltration areas,
: loss of crypts). (F) Histopathological analysis showed tissue degradation. #P < 0.001 vs. the control group; *P < 0.01, **P < 0.001 vs. the model group.
The effect of MCh marmalade on the mRNA levels of inflammatory cytokines/chemokines/transcription factors (such as IFN-γ, IL-1β, IL-6, IL-23, TNF-α, CCL-17, and NF-kB) was also determined throughout in this study (Table 3). IFN-γ, IL-1β, IL-6, Il-23, TNF-α, CCL-17, and NF-kB mRNA levels were increased significantly, from 1.38-2.23-fold, in the UC group compared to the control, as shown in Table 3. On the other hand, treatment with MCh reduced mRNA expressions significantly, from 2.123.54-fold, concerning the UC rats (Table 3). Group V rats treated with the standard drug (PR) also shown decreased levels in IFN-γ, IL-1β, IL-6, Il-23, TNF-α, CCL-17, and NF-kB, as shown in Table 3.
The expression level of the selected genes in the control, colitis, and treatment groups
| Genes | NC | UCC | UC | NC vs. UC | MCh | PR | UC vs. MCh |
|---|---|---|---|---|---|---|---|
| IFN-γ | 100 ± 3 | 151a ± 4 | 151a ± 6 | 1.51x ↑ | 56.34a,b ± 5 | 56.1a,b ± 2 | 2.68x ↓ |
| CCL-17 | 100 ± 6 | 220a ± 4 | 223a,b ± 5 | 2.23x ↑ | 63.0a,b ± 4 | 60.0a,b ± 7 | 3.54x ↓ |
| TNF-α | 100 ± 5 | 137a ± 6 | 141a,b ± 4 | 1.41x ↑ | 63.8a,b ± 7 | 65.1a,b ± 5 | 2.21x ↓ |
| Il-23 | 100 ± 3 | 134a ± 2 | 138a,b ± 5 | 1.38x ↑ | 65.6a,b ± 4 | 53.4a,b ± 7 | 2.12x ↓ |
| IL-1β | 100 ± 5 | 178a ± 8 | 183a,b ± 5 | 1.83x ↑ | 62.6a,b ± 7 | 56.5a,b ± 3 | 2.92x ↓ |
| IL-6 | 100 ± 2 | 151a ± 5 | 158a,b ± 4 | 1.58x ↑ | 75.2a,b ± 3 | 77.2a,b ± 6 | 2.10x ↓ |
| NF-kB | 100 ± 3 | 169a ± 1 | 172a,b ± 4 | 1.72x ↑ | 61.8a,b ± 2 | 61.3a,b ± 2 | 2.78x ↓ |
NC: normal control; UCC: ulcerative colitis control; UC: ulcerative colitis; MCh: M. charantia treated; PR: prednisolone treated.
Control was taken as 100%
aSignificantly different from the respective control value P < 0.05
bSignificantly different from the respective UC control value P < 0.05
To determine the extent of the ameliorative effect of MCh marmalade at the protein level of the selected genes, proteins were initially resolved on polyacrylamide gels and then analyzed on immunoblots probed with different antibody preparations (Figure 2). The densitometric scanning of western blot results showed that the protein levels of inflammatory cytokines/chemokines/ transcription factors (IFN-γ, IL-1β, IL-6, IL-23, TNF-α, CCL-17, and NF-kB) were increased significantly, from 1.46-5.50-fold, in the UC group compared to the NC group (Table 4). On the contrary, treatment with MCh reduced protein levels of these cytokines/chemokines/ transcription factors significantly, from 1.31-3.22-fold, concerning the UC rats (Table 4). Besides, the treatment with MCh and PR reduced the protein levels significantly compared with the UC group, as shown in Figure 2.

Quantification of proteins in rat colon tissues from various groups by western blot analysis. Rats were treated and proteins were extracted as described in Materials and Methods section. The proteins were separated by SDS-PAGE and western blot analysis was performed as described. Each lane contained 100 μg protein. Proteins were detected using chemiluminescent substrate and bands were visualized and recorded using a DNR Light IS Pro Image Analysis System.
Relative expressions of the selected genes at the protein level in the control, colitis and treatment groups
| Proteins | NC | UCC | UC | NC vs. UC | MCh | PR | UC vs. MCh |
|---|---|---|---|---|---|---|---|
| IFN-γ | 100 ± 7 | 201a ± 9 | 198a,b ± 8 | 1.98x ↑ | 103a,b ± 5 | 97a,b ± 6 | 1.91x ↓ |
| CCL-17 | 100 ± 8 | 555a ± 11 | 549a,b ± 9 | 5.50x ↑ | 170a,b ± 6 | 117a,b ± 7 | 3.22x ↓ |
| TNF-α | 100 ± 4 | 143a ± 9 | 146a,b ± 8 | 1.46x ↑ | 111a,b ± 7 | 107a,b ± 8 | 1.31x ↓ |
| IL-23 | 100 ± 8 | 221a ± 8 | 205a,b ± 10 | 2.05x ↑ | 118a,b ± 5 | 103a,b ± 7 | 1.74x ↓ |
| IL-1β | 100 ± 4 | 282a ± 8 | 317a,b ± 13 | 3.16x ↑ | 114a,b ± 7 | 159a,b ± 4 | 2.78x ↓ |
| IL-6 | 100 ± 5 | 227a ± 10 | 241a,b ± 5 | 2.40x ↑ | 92a,b ± 7 | 121a,b ± 8 | 2.62x ↓ |
| NF-kB | 100 ± 6 | 257a ± 10 | 305a,b ± 6 | 3.06x ↑ | 186a,b ± 4 | 144a,b ± 9 | 1.64x ↓ |
NC: normal control; UCC: ulcerative colitis control; UC: ulcerative colitis; MCh: M. charantia treated; PR: prednisolone treated.
Control was taken as 100%
aSignificantly different from the respective control value P < 0.05
bSignificantly different from the respective UC control value P < 0.05
Discussion
Genetic, environmental, and especially immunological factors are thought to play an essential role in the pathogenesis of ulcerative colitis. Therefore, drugs targeting immuno-inflammatory pathways have been used in the treatment of UC for the last 15 years. Although many new drugs have been developed for this purpose, aminosalicylates and corticosteroids are the most commonly used drugs in the treatment of UC. However, alternative plant-based therapies are also used by the public in the treatment of the disease. Plants have natural potentials to promote healing mechanism with fewer side effects.[21,43] The simplicity of establishing experimental UC model in rats has enabled the investigation of various agents in the treatment of this disease. In our country, M. charantia is widely used in the treatment of peptic ulcer and UC.[24,32]
In this study, molecular mechanisms of the potential therapeutic effect of MCh in TNBS-instigated colitis model were investigated. The most important and useful aspects of the TNBS-instigated colitis model is the similarity of inflammation to IBD.[44,45] Moreover, the changes in body weight and weight loss in the TNBS-instigated colitis model are shown to arise as similar to human UC.[46,47] In our study, it was observed that there was a significant decrease in mean body weight in the TNBS-instigated experimental UC group compared to the NC group in accordance with the literature. In addition, both MCh and PR treatment not only restored body weight loss but also causes a significant increase in body weight, which might be considered as a sign of recuperation (Table 2).
As shown in Table 2, blood serum AST, ALT and LDH activities were increased in the colitis group compared to the control rats. The elevated activities of these serum marker enzymes are indicative of loss of functional integrity in liver.[48, 49, 50] The absence of any increase in the levels of these enzymes in the treatment groups implies that MCh does not pose any toxicity, particularly to tissues such as erythrocytes, heart muscle, liver and lungs.
Microscopic assessment of H&E stained sections showed healthy histological structure in the control group. The mucosal surface was covered with a single-layer prismatic epithelium containing multiple goblet cells. When H&E stained sections from UC and UCC groups were examined, histopathological changes, such as the presence of diffuse areas of inflammation and loss of cryptic structures, were detected as reported by different researchers.[35,51, 52, 53] In addition, thinning of the mucosal layer, erosion and deterioration were observed in the surface epithelium covering the mucosa. However, when UC and UCC groups were compared with the treated with MCh and PR treated group, it was found that there was a decrease in the areas of inflammatory cell infiltration. The observed anti-inflammatory and healing effects of M. charantia may be attributed to hindering leukocyte infiltration and preventing edema as reported by other studies.[54, 55, 56]
IL-6 produced in response to TNF and IL-1 is one of the crucial cytokines acting in the inflammatory response and cancer pathogenesis.[57,58] It is known that IL- 6 and IL-1 released by active macrophages are increased in UC, CD and experimental colitis models.[59, 60, 61, 62] Similarly, other studies have shown that levels of pro-inflammatory cytokines, such as TNF-α, IL-1β, and IL-6, are elevated in IBD and are directly proportional to the severity of inflammation and levels of these cytokines.[1,21,63,64] The present findings that the MCh treatment reduced IL-1β and IL-6 mRNA and protein levels 2.10- and 2.90-fold and 2.62- and 2.78-fold, respectively, further support the anti-inflammatory action of MCh.
TNF-α is vital in the host’s normal response to viral, bacterial and parasitic infections, but insufficient or overproduction is harmful to the host.[65] In IBD, TNF-α act as the main constituent and increased colonic TNF-α expression in TNBS-instigated colitis model is well documented.[18,21,63,66,67] Increased activation of innate and adaptive immune system cells in IBD causes increased cytokines of TNF-α, IL-1β and IL-23/Th17 pathway.[68] IL-23 is a member of a small family of pro-inflammatory cytokines and plays a vital role in the pathogenesis of many immune-mediated inflammatory diseases, including IBD.[69, 70, 71, 72] Numerous studies have shown that IL-23 is essential for the development of IBD.[73, 74, 75] Significant reductions in levels of TNF-α, IFN-γ and IL-6 pro-inflammatory cytokines have been identified in IL-23 deficiency.[72, 73, 74] The current study manifested that MCh treatment significantly reduced the TNBS-instigated TNF-α inductions in rats, which is a well-known and significant player of systemic inflammation.
Another cytokine, interferon-gamma (IFN-γ) secreted by Th1 lymphocytes, is involved in the pathogenesis of colitis. [18,76,77] When intestinal epithelial cells are damaged, IFN-γ aggregates in the damaged intestinal mucosa to participate in epithelial immune response.[18,78] Anti-IFN-γ antibody treatment significantly reduced the damage in the TNBS-colitis model.[79] In our study, colonic IL-1β, IL-6, IL-23, TNF-α, and IFN-γ protein and mRNA expression levels were significantly higher in the colitis group compared to the control group in accordance with the literature. The treatment with MCh fruit marmalade has also optimally reduced the TNBS-induced levels of inflammatory mediators, IL-1β, IL-6, IL-23, TNF-α, and IFN-γ, which are comparable to those achieved by the standard drug (PR) treatment.
In inflammation, blood chemokines lead to the passage of leukocytes into the tissue and accumulation and activation at the site of inflammation.[80] CCL-17 is a C-C chemokine and expressed in the thymus.[14] While CCL-17 shows upregulation in stress, injury or inflammation, overexpression is seen in autoimmune disorders including UC and CD.[13,81,82] In human CCL-17 is induced by IFN-γ and TNF-α stimulation.[13] CCL-17 was the highest increased gene (5.5-fold and 2.23-fold for protein and mRNA level, respectively) in our study and returned to almost control values with the MCh treatment.
NF-kB is a protein complex that controls transcription, cytokine production associated with immunity and inflammation and cell viability[15,83]. It is found in almost all animal cell types and is involved in the regulation of cellular responses to many stimuli, such as stress.[84,85] In the literature, experimental studies are emphasizing the importance of NF-kB in the pathogenesis of IBD.[86] Our results were in agreement with the literature, wherein an up-regulation of NF-kB mRNA and protein levels in experimental colitis,[86] whose mRNA levels were decreased to even lower than the untreated control level with MCh treatment.
Inflammation is the physiological response against infectious agents, which is also involved in the pathophysiologies of many diseases.[18,87] The inflammatory stimuli cause activation of NF-kB signaling, and it acts as a transcription factor for different pro-inflammatory cytokines such as IL-1β, IL-6, IL-8, IL-12, IL-23, TNF-α, and IFN-γ.[18,88] Therefore, suppression of NF-kB signaling would be one of the therapeutic approaches to alleviate inflammation. In our experiment, we administered MCh orally after induction of colitis with TNBS and evaluated the therapeutic effect of MCh. Experimental colitis model induced with TNBS caused the loss of body weight, histological changes of the colon, and finally, the change of the tissue mRNA and protein levels of inflammatory cytokines (IL-1β, IL-6, IL-23, IFN-γ, TNF-α, and CCL-17). In conclusion, mRNA expressions, histological analyses and changes in protein levels of genes associated with the disease show that MCh exhibited the protective effect on TNBS-instigated ulcerative colitis by inhibiting inflammation via NF-kB mediated inflammatory responses and this suppression effect at least associated with the expression of some pro-inflammatory cytokines, including IL-1β, IL-6, IL-23, IFN-γ, TNF-α, and CCL-17.
We have further analyzed the protein-protein interaction network of IL-1β, IL-6, IL-23, IFN-γ, TNF-α, and CCL-17 (Figure 3).[89] It was found that these proteins have more interactions among themselves and involved in cytokine and chemokine mediated signaling pathway as expected. On the other hand, functional annotations of these proteins interestingly yielded another pathway, namely regulation of calcidiol 1-monooxygenase activity. Five out of the seven proteins investigated here were found to be involved in positive regulation of calcidiol 1-monooxygenase. It is also called 25-hydroxyvitamin D3 1-alpha-hydroxylase or cytochrome P450 27B1 (CYP27B1) and involved in the synthesis of active vitamin D3 [1a,25-dihydroxyvitamin D3 (1,25(OH)2D3)].[90] It is known that 1,25(OH)2D3 inhibits the production of inflammatory cytokines.[91,92] Studies have shown that induction of colonic CYP27B1, enhancing the local production of 1,25(OH)2D3, is a protective mechanism for colonic inflammation.[93,94] Collectively, these data suggest that MCh may exert its anti-inflammatory action through inducing the production of 1,25(OH)2D3 so as to protect the mucosal barrier and decrease colonic inflammation, though it might be an exaggerated inference but highly probable in the light of current literature. Further studies are required for a better understanding of the role of either CYP27B1 or 1,25(OH)2D3 in the pathogenesis of UC.

A typical association network of IL-1β, IL-6, IL-23, IFN-γ, TNF-α, NF-kB, and CCL-17 in STRING. IL: interleukin; IFN-γ: interferon γ; TNF: tumor necrosis factor α; NF-kB: nuclear factor kappa B
Our data presented here demonstrated compelling pieces of evidence that the MCh marmalade is an efficient alternative and complementary therapeutics for the treatment of ulcerative colitis by alleviating the inflammation in colonic tissues. It suppressed the inflammation induced by TNBS and ameliorated the tissue damage, which was positively reflected in the preservation of animals’ body weight and lower histochemical scores along with a reduction in inflammatory cytokine/chemokine productions. Additionally, MCh marmalade effects were in many characteristics equivalent to those attained by the standard drug (PR) treatment.
Conclusion
In conclusion, M. charantia is an essential alternative therapeutic or prophylactic agent for ulcerative colitis due to its low cost and lack of side effects as well as its ease of use. However, it should be kept in mind that individual dose adjustment is essential, and further pharmacokinetics and pharmacodynamics investigations are required to prevent possible drug and diet interactions. Besides, further supportive evaluation is required to elucidate the exact mechanism of MCh as an anti-inflammatory agent in the management of IBD.
Conflict of Interest
The authors declared that they have no conflict of interest.
Acknowledgements
This work was supported by a grant from The Scientific and Technological Research Council of Turkey (TUBITAK 216Z093).
References
1 Strober W, Fuss IJ. Pro-inflammatory cytokines in the pathogenesis of IBD. Gastroenterology 2013; 140: 1756–67.10.1053/j.gastro.2011.02.016Search in Google Scholar PubMed PubMed Central
2 Kuhnen A. Genetic and environmental considerations for inflammatory bowel disease. Surg. Clin. North Am 2019; 99: 1197–207.10.1016/j.suc.2019.08.014Search in Google Scholar PubMed
3 Flynn S, Eisenstein S. Inflammatory bowel disease presentation and diagnosis. Surg. Clin. North Am 2019; 99: 1051–62.10.1016/j.suc.2019.08.001Search in Google Scholar PubMed
4 Satsangi J, Jewell DP, Rosenberg WM, Bell JI. Genetics of inflammatory bowel disease. Gut 1994; 35: 696–700.10.1136/gut.35.5.696Search in Google Scholar PubMed PubMed Central
5 Chen L, Deng H, Cui H, Fang J, Zuo Z, Deng J, et al. Inflammatory responses and inflammation-associated diseases in organs. Oncotarget 2018; 9: 7204–28.10.18632/oncotarget.23208Search in Google Scholar PubMed PubMed Central
6 Itoh J, Dela Motte C, Strong SA, Levine AD, Fiocchi C. Decreased Bax expression by mucosal T cells favours resistance to apoptosis in Crohn’s disease. Gut 2001; 49: 35–41.10.1136/gut.49.1.35Search in Google Scholar PubMed PubMed Central
7 Muzes G, Molnár B, Tulassay Z, Sipos F. Changes of the cytokine profile in inflammatory bowel diseases. World J Gastroenterol 2012; 18: 5848–461.10.3748/wjg.v18.i41.5848Search in Google Scholar PubMed PubMed Central
8 Aggarwal BB. Signalling pathways of the TNF superfamily: A double-edged sword. Nat Rev Immunol 2003; 3: 745–56.10.1038/nri1184Search in Google Scholar PubMed
9 Sartor RB. Mechanisms of disease: Pathogenesis of Crohn’s disease and ulcerative colitis. Nat. Clin. Pract. Gastroenterol Hepatol 2006; 3: 390–407.10.1038/ncpgasthep0528Search in Google Scholar PubMed
10 He J, Liang J, Zhu S, Zhao W, Zhang Y, Sun W. Protective effect of taurohyodeoxycholic acid from Pulvis Fellis Suis on trinitrobenzene sulfonic acid induced ulcerative colitis in mice. Eur J Pharmacol 2011; 670: 229–35.10.1016/j.ejphar.2011.08.036Search in Google Scholar PubMed
11 Motavallian A, Minaiyan M, Rabbani M, Mahzouni P, Andalib S, Abed A, et al. Does cisapride, as a 5HT 4 receptor agonist, aggravate the severity of TNBS-induced colitis in rat? Gastroenterol Res Pract 2012; 362536.10.1155/2012/362536Search in Google Scholar PubMed PubMed Central
12 Motaghi E, Hajhashemi V, Mahzouni P, Minaiyan M. The effect of memantine on trinitrobenzene sulfonic acid-induced ulcerative colitis in mice. Eur J Pharmacol 2016; 793: 28–34.10.1016/j.ejphar.2016.10.032Search in Google Scholar PubMed
13 Heiseke AF, Faul AC, Lehr H, Förster I, Schmid RM, Krug AB, et al. CCL17 promotes intestinal inflammation in mice and counteracts regulatory T cellmediated protection from colitis. Gastroenterology 2012; 142: 335–45.10.1053/j.gastro.2011.10.027Search in Google Scholar PubMed
14 Ritter M, Göggel R, Chaudhary N, Wiedenmann A, Jung B, Weith A, et al. Elevated expression of TARC (CCL17) and MDC (CCL22) in models of cigarette smoke-induced pulmonary inflammation. Biochem. Biophys. Res Commun 2005; 334: 254–62.10.1016/j.bbrc.2005.06.084Search in Google Scholar
15 Blackwell TS, Christman JW. The role of nuclear factor-κB in cytokine gene regulation. Am J Respir Cell Mol Biol 1997; 17: 3–9.10.1165/ajrcmb.17.1.f132Search in Google Scholar PubMed
16 Chen T, Guo ZP, Jiao XY, Jia RZ, Zhang YH, Li JY, et al. Peoniflorin suppresses tumor necrosis factor-α induced chemokine production in human dermal microvascular endothelial cells by blocking nuclear factor-κB and ERK pathway. Arch Dermatol Res 2011; 303: 351–60.10.1007/s00403-010-1116-6Search in Google Scholar PubMed
17 Bhattacharjee N, Barma S, Konwar N, Dewanjee S, Manna P. Mechanistic insight of diabetic nephropathy and its pharmacotherapeutic targets: An update. Eur J Pharmacol 2016; 791: 8–24.10.1016/j.ejphar.2016.08.022Search in Google Scholar PubMed
18 Gu P, Zhu L, Liu Y, Zhang L, Liu J, Shen H. Protective effects of paeoniflorin on TNBS-induced ulcerative colitis through inhibiting NF-kappaB pathway and apoptosis in mice. Int Immunopharmacol 2017; 50: 152–60.10.1016/j.intimp.2017.06.022Search in Google Scholar PubMed
19 Yun J, Xu C-T, Pan B-R. Epidemiology and gene markers of ulcerative colitis in the Chinese. World J Gastroenterol 2009; 15: 788.10.3748/wjg.15.788Search in Google Scholar PubMed PubMed Central
20 Agus HH, Tekin P, Bayav M, Semiz A, Sen A. Drug interaction potential of the seed extract of Urtica urens L. (dwarf nettle). Phyther Res 2009; 23: 1763-70.10.1002/ptr.2848Search in Google Scholar PubMed
21 Suluvoy JK, Sakthivel KM, Guruvayoorappan GC, Berlin BG. Protective effect of Averrhoa bilimbi L. fruit extract on ulcerative colitis in wistar rats via regulation of inflammatory mediators and cytokines. Biomed Pharmacother 2017; 91: 1113–21.10.1016/j.biopha.2017.05.057Search in Google Scholar PubMed
22 Gürlek Kisacik Ö, Güneş Ü, Yaprakçi MV, Altunbaş K. Effectiveness of bitter melon extract in the treatment of ischemic wounds in rat. Turkish J Biol 2018; 42: 506–16.10.3906/biy-1804-36Search in Google Scholar
23 Chao CY, Sung PJ, Wang WH, Kuo YH. Anti-inflammatory effect of momordica charantia in sepsis mice. Molecules 2014; 19: 12777–88.10.3390/molecules190812777Search in Google Scholar
24 Gürbüz I, Akyüz Ç, Yeşilada E, Şener B. Anti-ulcerogenic effect of Momordica charantia L. fruits on various ulcer models in rats. J Ethnopharmacol 2000; 71: 77–82.10.1016/S0378-8741(99)00178-6Search in Google Scholar
25 Scartezzini P, Speroni E. Review on some plants of Indian traditional medicine with antioxidant activity. J Ethnopharmacol 2000; 71: 23–43.10.1016/S0378-8741(00)00213-0Search in Google Scholar
26 Beloin N, Gbeassor M, Akpagana K, Hudson J, de Soussa K, Koumaglo K, et al. Ethnomedicinal uses of Momordica charantia (Cucurbitaceae) in Togo and relation to its phytochemistry and biological activity. J Ethnopharmacol 2005; 96: 49–55.10.1016/j.jep.2004.08.009Search in Google Scholar
27 Cipriani TR, Mellinger CG, de Souza LM, Baggio CH, Freitas CS, Marques MCA, et al. A polysaccharide from a tea (Infusion) of Maytenus ilicifolia leaves with anti-ulcer protective effects. J Nat Prod 2006; 69: 1018–21.10.1021/np060045zSearch in Google Scholar
28 Semiz A, Sen A. Antioxidant and chemoprotective properties of Momordica charantia L. (bitter melon) fruit extract. African J Biotechnol 2007; 6: 273-7.Search in Google Scholar
29 Kumar KPS, Bhowmik D. Traditional medicinal uses and therapeutic benefits of Momordica charantia Linn. Int J Pharm Sci Rev Res 2010; 4: 23–8.Search in Google Scholar
30 Ullah M, Chy FK, Sarkar SK, Islam MK, Absar N. Nutrient and phyto-chemical analysis of four varieties of bitter gourd Momordica charantia grown in chittagong hill tracts, Bangladesh. Asian J Agric Res 2011; 5: 186–93.10.3923/ajar.2011.186.193Search in Google Scholar
31 Yeşilada E, Gürbüz I, Shibata H. Screening of Turkish anti-ulcerogenic folk remedies for anti-Helicobacter pylori activity. J Ethnopharmacol 1999; 66: 289–93.10.1016/S0378-8741(98)00219-0Search in Google Scholar
32 El-Salhy M, Wendelbo IH, Gundersen D, Hatlebakk JG, Hausken T. Evaluation of the usefulness of colonoscopy with mucosal biopsies in the follow-up of TNBS-induced colitis in rats. Mol Med Rep 2013; 8: 446–50.10.3892/mmr.2013.1528Search in Google Scholar PubMed
33 Ozgun-Acar O, Celik-Turgut G, Gazioglu I, Kolak U, Ozbal S, Ergur BU, et al. Capparis ovata treatment suppresses inflammatory cytokine expression and ameliorates experimental allergic encephalomyelitis model of multiple sclerosis in C57BL/6 mice. J Neuroimmunol 2016; 298: 106-16.10.1016/j.jneuroim.2016.07.010Search in Google Scholar PubMed
34 Luo S, Wen R, Wang Q, Zhao Z, Nong F, Fu Y, et al. Rhubarb Peony Decoction ameliorates ulcerative colitis in mice by regulating gut microbiota to restoring Th17/Treg balance. J Ethnopharmacol 2019; 231: 39-49.10.1016/j.jep.2018.08.033Search in Google Scholar PubMed
35 Reitman S, Frankel S. A colorimetric method for the determination of serum glutamic oxalacetic and glutamic pyruvic transaminases. Am J Clin Pathol 1957; 28: 56–63.10.1093/ajcp/28.1.56Search in Google Scholar
36 Wroblewski F, Ladue JS. Lactic dehydrogenase activity in blood. Proc Soc Exp Biol Med 1955; 90: 210–3.10.3181/00379727-90-21985Search in Google Scholar
37 Sen A, Ayar B, Yilmaz A, Ozgun-Acar O, Celik-Turgut G, Topçu G. Natural diterpenoid alysine A isolated from Teucrium alyssifolium exerts antidiabetic effect via enhanced glucose uptake and suppressed glucose absorption. Turkish J Chem 2019; 43: 1350–64.10.3906/kim-1904-57Search in Google Scholar
38 Yavuz S, Cetin A, Akdemir A, Doyduk D, Disli A, Celik-Turgut G, et al. Synthesis and functional investigations of computer designed novel cladribine-like compounds for the treatment of multiple sclerosis. Arch. Pharm (Weinheim) 2017; 350: 201700185.10.1002/ardp.201700185Search in Google Scholar
39 Smith PK, Krohn RI, Hermanson GT, Mallia AK, Gartner FH, Provenzano MD, et al. Measurement of protein using bicinchoninic acid. Anal. Biochem. 1985; 150: 76–85.10.1016/0003-2697(85)90442-7Search in Google Scholar
40 Sen A, Arinc E. Purification and characterization of cytochrome P450 reductase from liver microsomes of feral laping mullet Liza saliens J Biochem Mol Toxicol 1998; 12: 103–13.10.1002/(SICI)1099-0461(1998)12:2<103::AID-JBT5>3.0.CO;2-PSearch in Google Scholar
41 Sen A, Arinc E. Further immunochemical and biocatalytic characterization of CYP1A1 from feral leaping mullet liver Liza saliens microsomes. Comp Biochem Physiol - C Pharmacol Toxicol Endocrinol 2000; 126: 235–44.10.1016/S0742-8413(00)00117-1Search in Google Scholar
42 Laemmli UK. Cleavage of structural proteins during the assembly of the head of bacteriophage T4. Nature 1970; 227: 680–5.10.1038/227680a0Search in Google Scholar
43 Ekor M. The growing use of herbal medicines: Issues relating to adverse reactions and challenges in monitoring safety. Front Neurol 2014; 177: 2013.00177.10.3389/fphar.2013.00177Search in Google Scholar
44 Neurath BMF, Fuss I, Kelsall BL, Presky DH, Waegell W, Strober W. Experimental granulomatous colitis in mice is abrogated by induction of TGF-beta-mediated oral tolerance. J Exp Med 1996; 183: 2605–16.10.1084/jem.183.6.2605Search in Google Scholar
45 Stallmach A, Wittig B, Giese T, Pfister K, Hoffmann JC, Bulfone-Paus S, et al. Protection of trinitrobenzene sulfonic acid-induced colitis by an interleukin 2-IgG2b fusion protein in mice. Gastroenterology 1999; 117: 866–76.10.1016/S0016-5085(99)70345-8Search in Google Scholar
46 Bliss DZ, Sawchuk L. Nursing management: Lower gastrointestinal problems. In: Medical surgical nursing, Lewis SM, Heitkemper MM, and Dirksen SR (eds.). 5th ed. Mosby 1999; pp. 1136–90.Search in Google Scholar
47 Antoniou E, Margonis GA, Angelou A, Pikouli A, Argiri P, Karavokyros I, et al. The TNBS-induced colitis animal model: An overview. Ann Med Surg 2016; 11: 9–15.10.1016/j.amsu.2016.07.019Search in Google Scholar PubMed PubMed Central
48 Zimmerman HJ. Experimental Hepatotoxicity. In: Experimental Production of Diseases. Springer Berlin Heidelberg; 1976; 1–120.10.1007/978-3-642-45483-7_1Search in Google Scholar
49 Giannini EG, Testa R, Savarino V. Liver enzyme alteration: A guide for clinicians. Cmaj 2005; 172: 367–79.10.1503/cmaj.1040752Search in Google Scholar PubMed PubMed Central
50 Celik G, Semiz A, Karakurt S, Arslan S, Adali O, Sen A. A comparative study for the evaluation of two doses of ellagic acid on hepatic drug metabolizing and antioxidant enzymes in the rat. Biomed Res Int 2013; 2013: 358945.10.1155/2013/358945Search in Google Scholar PubMed PubMed Central
51 Yamamoto M, Yoshizaki K, Kishimoto T, Ito H. IL-6 is required for the development of Th1 cell-mediated murine colitis. J Immunol 2000; 164: 4878–82.10.4049/jimmunol.164.9.4878Search in Google Scholar PubMed
52 Santiago C, Pagán B, Isidro AA, Appleyard CB. Prolonged chronic inflammation progresses to dysplasia in a novel rat model of colitis-associated colon cancer. Cancer Res 2007; 67: 10766–73.10.1158/0008-5472.CAN-07-1418Search in Google Scholar PubMed
53 Okayasu I. Development of ulcerative colitis and its associated colorectal neoplasia as a model of the organ-specific chronic inflammation-carcinoma sequence. Pathol Int 2012; 62: 368–80.10.1111/j.1440-1827.2012.02807.xSearch in Google Scholar PubMed
54 Ilhan M, Bolat IE, Süntar I, Kutluay Köklü H, Uʇar Çankal DA, Keleş H, et al. Topical application of olive oil macerate of Momordica charantia L. promotes healing of excisional and incisional wounds in rat buccal mucosa. Arch Oral Biol 2015; 60: 1708–13.10.1016/j.archoralbio.2015.09.006Search in Google Scholar PubMed
55 Ozbakiş Dengiz G, Gürsan N. Effects of Momordica charantia L. (Cucurbitaceae) on indomethacin-induced ulcer model in rats. Turkish J Gastroenterol 2005; 16: 85–8.Search in Google Scholar
56 Raish M, Ahmad A, Ansari MA, Alkharfy KM, Aljenoobi FI, Jan BL, et al. Momordica charantia polysaccharides ameliorate oxidative stress, inflammation, and apoptosis in ethanol-induced gastritis in mucosa through NF-kB signaling pathway inhibition. Int J Biol Macromol 2018; 111: 193–9.10.1016/j.ijbiomac.2018.01.008Search in Google Scholar PubMed
57 Tanaka T, Narazaki M, Kishimoto T. Il-6 in inflammation, immunity, and disease. Cold Spring Harb. Perspect Biol 2014; 6: a016295.10.1101/cshperspect.a016295Search in Google Scholar
58 Lesina M, Wörmann SM, Neuhöfer P, Song L, Algül H. Interleukin-6 in inflammatory and malignant diseases of the pancreas. Semin Immunol 2014; 26: 80–7.10.1016/j.smim.2014.01.002Search in Google Scholar
59 Hyams JS, Fitzgerald JE, Treem WR, Wyzga N, Kreutzer DL. Relationship of functional and antigenic interleukin 6 to disease activity in inflammatory bowel disease. Gastroenterology 1993; 104: 1285–92.10.1016/0016-5085(93)90336-BSearch in Google Scholar
60 Youngman KR, Simon PL, West GA, Cominelli F, Rachmilewitz D, Klein JS. et al. Localization of intestinal interleukin 1 activity and protein and gene expression to lamina propria cells. Gastroenterology 1993; 104: 749–58.10.1016/0016-5085(93)91010-FSearch in Google Scholar
61 Rachmilewitz D, Simon PL, Schwartz LW, Griswold DE, Fondacaro JD, Wasserman MA. Inflammatory mediators of experimental colitis in rats. Gastroenterology 1989; 97: 326–37.10.1016/0016-5085(89)90068-1Search in Google Scholar
62 Ligumsky M. Role of interleukin 1 in inflammatory bowel disease-enhanced production during active disease. Gut 1990; 31: 686–9.10.1136/gut.31.6.686Search in Google Scholar PubMed PubMed Central
63 Yang M, Lin HB, Gong S, Chen PY, Geng LL, Zeng YM, et al. Effect of Astragalus polysaccharides on expression of TNF-α, IL-1β and NFATc4 in a rat model of experimental colitis. Cytokine 2014; 70: 81–6.10.1016/j.cyto.2014.07.250Search in Google Scholar PubMed
64 Funakoshi K, Sugimura K, Anezaki K, Bannai H, Ishizuka K, Asakura H. Spectrum of cytokine gene expression in intestinal mucosal lesions of Crohn’s disease and ulcerative colitis. Digestion 1998; 59: 73–8.10.1159/000007470Search in Google Scholar PubMed
65 Appay V, Sauce D. Immune activation and inflammation in HIV-1 infection : causes and consequences. J Pathol 2008; 214: 231–41.10.1002/path.2276Search in Google Scholar PubMed
66 Mouzaoui S, Djerdjouri B, Makhezer N, Kroviarski Y, El-Benna J, Dang PMC. Tumor necrosis factor-α-induced colitis increases NADPH oxidase 1 expression, oxidative stress, and neutrophil recruitment in the colon: Preventive effect of apocynin. Mediators Inflamm 2014; 2014: 312484.10.1155/2014/312484Search in Google Scholar PubMed PubMed Central
67 Zhou YH, Yu JP, Liu YF, Teng XJ, Ming M, Lv P, et al. Effects of Ginkgo biloba extract on inflammatory mediators (SOD, MDA, TNF-α, NF-κBp65, IL-6) in TNBS-induced colitis in rats. Mediators Inflamm 2006; 2006: 92642.10.1155/MI/2006/92642Search in Google Scholar
68 Abraham C, Cho JH. Inflammatory bowel disease. N Engl J Med 2009; 361: 2066–78.10.5005/jp/books/11070_14Search in Google Scholar
69 Iwakura Y, Ishigame H. The IL-23 / IL-17 axis in inflammation. J Clin Invest 2006; 116: 1218–22.10.1172/JCI28508Search in Google Scholar
70 Oppmann B, Lesley R, Blom B, Timans JC, Xu Y, Hunte B, et al. Novel p19 protein engages IL-12p40 to form a cytokine, IL-23, with biological activities similar as well as distinct from IL-12. Immunity 2000; 13: 715–25.10.1016/S1074-7613(00)00070-4Search in Google Scholar
71 Langrish CL, Chen Y, Blumenschein WM, Mattson J, Basham B, Sedgwick JD. et al. IL-23 drives a pathogenic T cell population that induces autoimmune inflammation. J Exp Med 2005; 201: 233–40.10.1084/jem.20041257Search in Google Scholar PubMed PubMed Central
72 Zenewicz LA, Antov A, Flavell RA. CD4 T-cell differentiation and inflammatory bowel disease. Trends Mol Med 2009; 15: 199–207.10.1016/j.molmed.2009.03.002Search in Google Scholar PubMed
73 Kullberg MC, Jankovic D, Feng CG, Hue S, Gorelick PL, McKenzie BS, et al. IL-23 plays a key role in Helicobacter hepaticus-induced T cell-dependent colitis. J Exp Med 2006; 203: 2485–94.10.1084/jem.20061082Search in Google Scholar PubMed PubMed Central
74 Yen D, Cheung J, Scheerens H, Poulet F, McClanahan T, Mckenzie B, et al. IL-23 is essential for T cell-mediated colitis and promotes inflammation via IL-17 and IL-6. J. Clin Invest 2006; 116: 1310–6.10.1172/JCI21404Search in Google Scholar PubMed PubMed Central
75 Yu LZ, Wang HY, Yang SP, Yuan ZP, Xu FY, Sun C, et al. Expression of interleukin-22/STAT3 signaling pathway in ulcerative colitis and related carcinogenesis. World J Gastroenterol 2013; 19: 2638–49.10.3748/wjg.v19.i17.2638Search in Google Scholar PubMed PubMed Central
76 Sartor R. Cytokine regulation of experimental intestinal inflammation in genetically engineered and T-lymphocyte reconstituted rodents. Aliment Pharmacol Ther 1996; 10: 36–42.10.1046/j.1365-2036.1996.22164018.xSearch in Google Scholar PubMed
77 Simpson SJ, Shah S, Comiskey M, De Jong YP, Wang B, Mizoguchi E, et al. T cell-mediated pathology in two models of experimental colitis depends predominantly on the interleukin 12/signal transducer and activator of transcription (Stat)-4 pathway, but is not conditional on interferon γ expression by T cells. J Exp Med 1998; 187: 1225–34.10.1084/jem.187.8.1225Search in Google Scholar PubMed PubMed Central
78 Boyaka PN. Inducing mucosal IgA: A challenge for vaccine adjuvants and delivery systems. J Immunol 2017; 199: 9–16.10.4049/jimmunol.1601775Search in Google Scholar PubMed PubMed Central
79 Neurath MF, Fuss I, Pasparakis M, Alexopoulou L, Haralambous S, Meyer Zum Büschenfelde KH, et al. Predominant pathogenic role of tumor necrosis factor in experimental colitis in mice. Eur J Immunol 1997; 27: 1743–50.10.1002/eji.1830270722Search in Google Scholar PubMed
80 Sokol CL, Luster AD. The chemokine system in innate immunity. Cold Spring Harb Perspect Biol 2015; 7: 1–20.10.1101/cshperspect.a016303Search in Google Scholar PubMed PubMed Central
81 Homey B, Meller S, Savinko T, Alenius H, Lauerma A. Modulation of chemokines by Staphylococcal superantigen in atopic dermatitis. Chem. Immunol. Allergy 2007; 93: 181–94.10.1159/000100895Search in Google Scholar
82 Kristensen NN, Brudzewsky D, Gad M, Claesson MH. Chemokines involved in protection from colitis by CD4+CD25+ regulatory T cells. Inflamm. Bowel Dis 2006; 12: 612–8.10.1097/01.ibd.0000225342.44850.d5Search in Google Scholar PubMed
83 Gilmore TD. Introduction to NF-κB: Players, pathways, perspectives. Oncogene 2006; 25: 6680–4.10.1038/sj.onc.1209954Search in Google Scholar PubMed
84 Luqman S, Pezzuto JM. NFκB: A promising target for natural products in cancer chemoprevention. Phyther Res 2010; 24: 949–63.10.1002/ptr.3171Search in Google Scholar PubMed
85 Liu T, Zhang L, Joo D, Sun SC. NF-κB signaling in inflammation. Signal Transduct Target Ther 2017; 2: 1702310.1038/sigtrans.2017.23Search in Google Scholar PubMed PubMed Central
86 García-Mediavilla V, Crespo I, Collado PS, Esteller A, Sánchez-Campos S, Tuñón MJ, et al. The anti-inflammatory flavones quercetin and kaempferol cause inhibition of inducible nitric oxide synthase, cyclooxygenase-2 and reactive C-protein, and down-regulation of the nuclear factor kappaB pathway in Chang Liver cells. Eur J Pharmacol 2007; 557: 221–9.10.1016/j.ejphar.2006.11.014Search in Google Scholar PubMed
87 Azab A, Nassar A, Azab AN. Anti-inflammatory activity of natural products. Molecules 2016; 21: 1–19.10.3390/molecules21101321Search in Google Scholar PubMed PubMed Central
88 Chen T, Mou Y, Tan J, Wei L, Qiao Y, Wei T, et al. The protective effect of CDDO-Me on lipopolysaccharide-induced acute lung injury in mice. Int Immunopharmacol 2015; 25: 55–64.10.1016/j.intimp.2015.01.011Search in Google Scholar PubMed
89 Szklarczyk D, Gable AL, Lyon D, Junge A, Wyder S, Huerta-Cepas J, et al. STRING v11: Protein-protein association networks with increased coverage, supporting functional discovery in genome-wide experimental datasets. Nucleic Acids Res 2019; 47: D607–13.10.1093/nar/gky1131Search in Google Scholar PubMed PubMed Central
90 Prosser DE, Jones G. Enzymes involved in the activation and inactivation of vitamin D. Trends Biochem Sci 2004; 29: 664–73.10.1016/j.tibs.2004.10.005Search in Google Scholar PubMed
91 Verstuyf A, Carmeliet G, Bouillon R, Mathieu C. Vitamin D. A pleiotropic hormone. Kidney Int 2010; 78: 140–5.10.1038/ki.2010.17Search in Google Scholar PubMed
92 Aranow C. Vitamin D and the immune system. J Invest Med 2011; 59: 881–6.10.2310/JIM.0b013e31821b8755Search in Google Scholar PubMed PubMed Central
93 Du J, Wei X, Ge X, Chen Y, Li YC. Microbiota-dependent induction of colonic Cyp27b1 is associated with colonic inflammation: Implications of locally produced 1,25-Dihydroxyvitamin D3 in inflammatory regulation in the colon. Endocrinology 2017; 158: 4064–75.10.1210/en.2017-00578Search in Google Scholar PubMed PubMed Central
94 Sen A, Stark H. Role of cytochrome P450 polymorphisms and functions in development of ulcerative colitis. World J Gastroenterol 2019; 25: 2846–62.10.3748/wjg.v25.i23.2846Search in Google Scholar PubMed PubMed Central
© 2020 Asli Semiz, Ozden Ozgun Acar, Hulya Cetin, Gurkan Semiz, Alaattin Sen, published by Sciendo
This work is licensed under the Creative Commons Attribution-NonCommercial-NoDerivatives 4.0 International License.
Articles in the same Issue
- Editorial
- Corticosteroids: A controversial therapy for coronavirus disease 2019
- Highlight
- A P4 medicine perspective of gut microbiota and prediabetes: Systems analysis and personalized intervention
- Sex, sleep, steroids, and lifestyle: Unraveling the coronavirus disease 2019 conundrum
- Review Article
- Advances in the prevention and treatment of esophageal stricture after endoscopic submucosal dissection of early esophageal cancer
- Mycophenolate for the treatment of primary Sjögren’s syndrome
- Pulmonary complications in patients with liver cirrhosis
- Original Article
- Safety and efficacy of extracorporeal shock wave lithotripsy for difficult-to-retrieve common bile duct stones: A ten-year experience
- Renal function is a major determinant of ICU-acquired hypernatremia: A balance study on sodium handling
- Suppression of inflammatory cytokines expression with bitter melon (Momordica charantia) in TNBS-instigated ulcerative colitis
- Barefoot running: Between fashion and real way to prevent joint osteo lesions?
- Case Report
- Perinephric hematoma induced by factor Xa inhibitor in a patient with a vascular renal mass
- Letter to Editor
- Comment on “Potential role of ACE2 in coronavirus disease 2019 (COVID-19) prevention and management”
Articles in the same Issue
- Editorial
- Corticosteroids: A controversial therapy for coronavirus disease 2019
- Highlight
- A P4 medicine perspective of gut microbiota and prediabetes: Systems analysis and personalized intervention
- Sex, sleep, steroids, and lifestyle: Unraveling the coronavirus disease 2019 conundrum
- Review Article
- Advances in the prevention and treatment of esophageal stricture after endoscopic submucosal dissection of early esophageal cancer
- Mycophenolate for the treatment of primary Sjögren’s syndrome
- Pulmonary complications in patients with liver cirrhosis
- Original Article
- Safety and efficacy of extracorporeal shock wave lithotripsy for difficult-to-retrieve common bile duct stones: A ten-year experience
- Renal function is a major determinant of ICU-acquired hypernatremia: A balance study on sodium handling
- Suppression of inflammatory cytokines expression with bitter melon (Momordica charantia) in TNBS-instigated ulcerative colitis
- Barefoot running: Between fashion and real way to prevent joint osteo lesions?
- Case Report
- Perinephric hematoma induced by factor Xa inhibitor in a patient with a vascular renal mass
- Letter to Editor
- Comment on “Potential role of ACE2 in coronavirus disease 2019 (COVID-19) prevention and management”