Abstract
Spinocerebellar ataxias (SCAs) are a group of neurodegenerative diseases with ataxia as the main clinical manifestation. The phenotypes, gene mutations, and involved sites of different subtypes show a high degree of heterogeneity. The incidence of SCA varies greatly among different subtypes and the case of SCA40 is extremely rare. The aim of this study is to report a rare case of SCA40 and systematically review the incidence, gene mutation, and phenotype of SCAs, especially SCA40.
1 Introduction
Autosomal dominant cerebellar ataxias (ADCAs), including spinocerebellar ataxias (SCAs) and episodic ataxias (EAs), are a group of neurodegenerative diseases with ataxia as the main clinical manifestation [1,2]. SCAs present a hereditary and progressive course of the disease, while EA presents paroxysmal and intermittent ataxias. SCAs account for the majority of ADCA, and ADCA usually refers to SCAs [3].
According to different pathogenic genes, SCAs can be divided into different subtypes. With the maturity of DNA sequencing technology and polymerase chain reaction (PCR) technology, more than 40 different subtypes of SCA have been discovered [5]. The incidence of SCAs is about 3/100,000. SCA3 is the most common subtype of SCA worldwide [3,6], followed by SCA1, SCA2, SCA7, and SCA17. These subtypes account for more than 60% of SCAs [7]. The incidence rate of different subtypes varies greatly in different regions due to founder effects [8]. In different races, the prevalence of different subtypes is also different. Through a survey of 14 provinces in Cuba, Velázquez Pérez et al. [9,10] concluded that the prevalence of SCA2 in Holguin was 40.18 per 100,000 inhabitants, which was much higher than 13–18% [11] in the world. And, dentatorubral-pallidoluysian atrophy (DRPLA) is more researched in Japan, and SCA10 has been reported in Mexico [12]. The incidence of other subtypes is very low, which can be considered as rare.
The main clinical manifestation of SCAs is cerebellar ataxia, often accompanied by non-ataxia signs. Rossi et al. analyzed 3,945 patients and found that ataxia is the most common symptom, followed by dysarthria [13]. In addition, the common non-ataxia signs include Parkinson’s syndrome, pyramidal signs retinitis pigmentosa, cognitive dysfunction, epilepsy, peripheral neuropathy, and so on [14]. The phenotypes of different subtypes of SCA have great overlap, especially in the later stage of the disease. So, it is difficult to distinguish different subtypes only by clinical manifestations. However, the presence of certain non-ataxia signs may be instructive for the diagnosis. For example, retinopathy may indicate SCA7 [3], seizures may indicate SCA10, mental retardation may indicate SCA13, and myoclonic epilepsy and dementia may indicate DRPLA [15].
In 2014, Tsoi first reported type 40 SCA caused by coiled-coil domain containing 88c (CCDC88C) gene mutation [16]. This gene is located in 14q32.11-q32.12, and this locus is named SCA40 by the human genome organization (Hugo). CCDC88C is highly expressed in the cerebellum, so the first symptom is usually cerebellar ataxia. Imaging examination usually shows varying degrees of cerebellar atrophy. Cases of SCA 40 are extremely rare. Only Leńska-Mieciek et al. [17] reported one SCA40 family. This study reports a very rare case of SCA40. The incidence, gene mutation, and phenotype of SCA40 were analyzed based on published literatures.
2 Case presentation
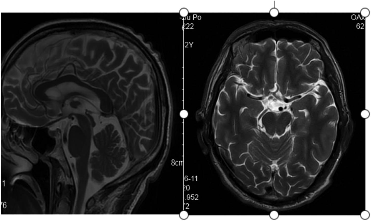
The pedigree of this research is shown in Figure 1. The proband (II-3) is a 61-year-old male who suffered from hypothyroidism and cervical spondylopathy. Two years ago, he experienced shaking of his right hand in a static state, and the shaking was aggravated when he was nervous, accompanied by unresponsiveness. One year ago, he developed speech and swallowing disturbances, and occasionally choking on drinking water. Physical examination revealed involuntary shaking of the right upper limb and clumsy fast alternating hand movements. MRI showed mild cerebellar and pons atrophy (Figure 2). The Mini-Mental State Examination (MMSE) score is 20/30 points (with high school degree). The Hamilton Anxiety Scale (HAMA) score was 16 points, affirming the state of anxiety. A score of 21 on the Hamilton Depression Scale (HAMD) confirmed depression. The Assessment and Rating of Ataxia (SARA) score was 18/40 (Table 1). Inventory of Non-Ataxia Signs (INAs) scored 7 points (Table 2), among which hyperreflexia, spasticity, rigidity, chorea/dyskinesia, dystonia, resting tremor, and cognitive dysfunction were positive. This suggests that the non-ataxia symptoms of the proband are also obvious. Genetic testing of the proband showed a missense mutation in the CCDC88C gene located at 14q32.11 (Figure 3). This mutation is c.1886G > A, so the encoded amino acid changes from arginine to glutamine. The proband’s parents were dead. After detailed inquiry, the parents did not show similar clinical manifestations. The genetic tests revealed heterozygous mutations in the gene CCDC88C in five of the proband’s families (Figure 3), but none of them showed any clinical manifestations so far. The five carriers are as follows: Individual II-2 (the sister of the proband), a 57-year-old female; Individual III-4 (the son of the proband), a 28-year-old male; Individual III-5 (daughter of the proband), a 30-year-old female; Individual IV-1, a 6-year-old boy and Individual IV-2, a 3-year-old boy.

Pedigree of the family with SCA40. Squares indicate males; circles indicate females; an arrow indicates the propositus. Slash marks indicate subjects who are deceased. Roman numerals indicate generations, and Arabic numbers indicate subjects. SCA40, spinocerebellar ataxia type 40.

Flat pons, not full and mild cerebellar atrophy in T2-weighted MRI.
Patient’s clinical characteristics according to the scale for the assessment and rating of ataxia (SARA)
Characteristics | Scores |
---|---|
Total motor score (range, 0–40) | 18 |
Gait (range, 0–8) | 3 |
Stance (range, 0–6) | 3 |
Sitting (range, 0–4) | 2 |
Speech disturbance (range, 0–6) | 3 |
Finger chase (range, 0–4) | 2 |
Nose-finger test (range, 0–4) | 2 |
Fast alternating hand movements (range, 0–4) | 2 |
Heel-shin slide (range, 0–4) | 1 |
Result of INAS count of the proband
Characteristics | Scores |
---|---|
Hyperreflexia | 1 |
Areflexia | 0 |
Extensor plantar | 0 |
Spasticity | 1 |
Paresis | 0 |
Muscle atrophy | 0 |
Fasciculations | 0 |
Myoclonus | 0 |
Rigidity | 1 |
Chorea/dyskinesia | 1 |
Dystonia | 1 |
Resting tremor | 1 |
Sensory symptoms | 0 |
Urinary dysfunction | 0 |
Cognitive dysfunction | 1 |
Brainstem oculomotor signs | 0 |

CCDC88C gene mutation sequencing results of II-2, II-3, III-4, III-5, IV-1, and IV-2.
-
Informed consent: Informed consent has been obtained from all individuals included in this study.
-
Ethical approval: The research related to human use has been complied with all the relevant national regulations, institutional policies, and in accordance with the tenets of the Helsinki Declaration, and has been approved by the Biomedical Research Ethic Committee of Jinan Shizhong District People’s Hospital (approval number 20210429).
3 Discussion
SCAs are a group of neurodegenerative diseases with ataxia as the main clinical manifestation. Its core symptoms [18] are ataxia, nystagmus/retinal damage, and dysarthria. In addition to ataxia, SCAs also manifest as a variety of non-ataxia symptoms, which makes different subtypes show a high degree of heterogeneity. According to the genetic variation, SCAs are divided into three categories [19].
The first type is SCA caused by CAG repetitive amplification of the coding region [5]. Repeatedly amplified CAG is translated into polyglutamine (polyQ). PolyQ SCA includes SCA1, SCA 2, SCA3, SCA6, SCA7, SCA17, and DRPLA [20]. This category is the most common and widely studied. These subtypes show high regularity. First of all, in successive generations, when the number of repeated expansions of CAG gradually increases, the age of onset gradually decreases, and the phenotype gradually becomes serious. If the number of amplifications exceeds 100 times, multiple systemic lesions may appear in infancy [21]. Second, there is a threshold for the number of CAG amplifications, and it will be manifested if it exceeds this threshold. Generally, CAG amplification times within 35–40 can maintain a stable state [2]. Third, the variation in paternal origin leads to more serious consequences, especially in SCA7 [3]. But there are exceptions. For example, the number of amplifications of SCA8 tends to expand in maternal inheritance, but shrinks in paternal inheritance. The toxicity of the amplified polyQ protein is clearly present. Inhibiting the expression of the mutant protein in transgenic mice can alleviate the phenotype of SCA7 [1]. Toxicity mainly includes regulation of transcription levels, abnormal protein aggregation, degradation disorder, and other aspects [22,23]. (1) Yi-Cheng Lin believes that the toxicity of polyQ protein is first caused by abnormal transcription. The mechanism of action includes protein-protein or protein-DNA interaction, acetylation, phosphorylation, and RNA interference. It has been found that most ataxia proteins can bind to transcription factors, leading to changes in gene expression [4]. (2) The extremely long polyglutamine chain formed by translation will misfold and form aggregates. Aggregates can be located in the cytoplasm or nucleus, but the nucleus seems to be the place where the aggregates play a role [4]. Aggregates in the nucleus are considered to be a prerequisite for the negative effects of the mutant protein [24]. This seems to support the toxic effect of the mutant protein at the transcriptional level from the side [19]. CACNA1A, the C-terminal fragment of SCA6 protein, must enter the nucleus to induce disease [25]. (3) The degradation of abnormal proteins depends on two pathways: the ubiquitin-proteasome system (UPS) and autophagy [26]. UPS labeled the abnormal proteins first, and then degraded them. Mutant proteins may not affect the labeling of misfolded proteins by ubiquitin, but affect the degradation process [27], and even destroy the structure in UPS [28]. Autophagy is another way to degrade mutant proteins and reduce toxicity. Inducing autophagy and reducing toxicity through drugs can be used as a strategy to treat some SCAs [22]. The autophagy pathway through the phagosome-lysosome system plays a key role in the elimination of toxic proteins [23]. However, studies have shown that the autophagy in SCA3 is also inhibited. At the same time, autophagy may also damage normal neurons. Both these pathways are inhibited, which causes the abnormal protein to not be degraded, but to further aggregate, thereby aggravating the toxic effect.
The second type is the repetitive amplification of non-coding regions, including SCA8, 10, 12, 31, and 36 [1]. SCA8, which may be caused by repetitive amplification of non-coding CTG, is also classified as polyglutamine SCAs [29]. SCA8, SCA10, and SCA12 are caused by repeat expansion of non-coding CTG, ATTCT, and CAG, respectively [30,31], although the pathogenicity of SCA8 mutations is still controversial [32].
The third type is classic mutations, including point mutations of SCA13 and SCA27, deletion of SCA15, and frameshift mutation of SCA11 [1]. This type of SCAs may be the result of a combination of multiple mechanisms. Maintaining calcium homeostasis is almost the basis of all biological activities in cells. Alterations of calcium homeostasis in neurons can cause some SCA. Inositol 1,4,5-trisphosphate (IP3) receptors (IP3Rs) play a key role in regulating intracellular calcium concentration [33]. IP3R1 type (IP3R1) is widely distributed in Purkinje cells of the cerebellum. SCA15 and SCA29 lead to mutations in the ITPR1 gene encoding IP3R1 due to deletion or missense mutations, which in turn leads to disorders of calcium homeostasis [33].
With the widespread application of next-generation sequencing, this type of SCAs has been continuously discovered. Nibbeling et al. discovered FAT2 [34], Watson et al. studied GRM1 [35], and Tsoi H and Yu ACS reported the CCDC88C gene.
The proband in this report belongs to this type of classic mutation. Point mutant gene CCDC88C can encode coiled-coil domain containing protein 88 C, which activates the c-Jun N-terminal kinase (JNK) pathway and induces apoptosis by regulating the hyperphosphorylation of the JNK pathway. The clinical manifestations are mainly spastic ataxia. There is no specific age of onset. Both the proband II-3 and his sister II-2 have a heterozygous mutation in this gene, so it can be inferred that this mutation originated from their father or mother. The proband II-3 passed this mutant gene to his son III-4 and his daughter III-5. II-2 passed the mutant gene to her son III-3. Strangely, her daughter III-2 did not carry the mutant gene, but the sons of III-2, that is, both IV-1 and IV-2 carried heterogeneous variation. Is it because the boys’ father III-1 carries the same mutation, or do the two boys have the same point mutation as II-3? The probability of carrying the mutant gene in normal population was 0.000097. Therefore, generally speaking, the probability of these two conjectures is very small.
In clinical diagnosis of SCAs, in addition to the continuous development of genetic testing methods, related scales are also indispensable. SARA is used to semi-quantitatively assess the severity of a patient’s ataxia. The scale has a total score of 40 points. The higher the score, the more serious the ataxia [15]. Inventory of Non-Ataxia Symptoms (INAS) is commonly used to assess patients’ non-ataxia symptoms.
From the perspective of imaging, SCAs can be divided into three categories: simple cerebellar atrophy, olivopontocerebellar atrophy, and whole brain atrophy [12]. The degree of cerebellar atrophy matches the severity of ataxia [36]. Theoretically, the severity of cerebellar atrophy can be predicted through the SARA score. Although different subtypes tend to have different locations of atrophy, in general, cerebellar atrophy is the initial stage of intracranial lesions, gradually developing to structures outside the cerebellum, and eventually involving the whole brain.
There are several defects in this study. First of all, because of doubts about the results of individuals IV-1 and IV-2, we wanted to retest, but their mother III-2 refused. Probably because of the high cost and conservative thinking, the people in this pedigree did not actively cooperate with the examination. Second, due to economic and social reasons, the proband refused to further improve cognition and invasive examination. Third, the observation time is shorter. Although individuals II-2, III-4, III-5, IV-1, and IV-2 are heterozygous carriers, they did not show any discomfort. This may be because the age of onset has not yet been reached. Members of the Hong Kong family reported by Tsoi had a concealed onset after the age of 40, while the Polish case reported by Leńska-Mieciek had an onset after the age of 33. The age of several carriers (II-3, III-4, III-5, IV-1, and IV-2) is less than 30 years old. Therefore, we suspect that the five carriers in the case have not reached the age of onset. This requires long-term follow-up and observation by doctors.
Acknowledgments
We thank all the individuals who participated in this study.
-
Funding information: The National Natural Science Fund of China (81771263). The Key Research and Development Program of Shandong Province (2019GSF108030).
-
Author contributions: Fengyue Han is responsible for writing this article and designing tables and images. Dan Su was responsible for communicating with subjects and collecting data. Chuanqiang Qu provides guidance for the whole process.
-
Conflict of interest: Authors state no conflict of interest.
-
Data availability statement: The datasets generated during and/or analyzed during the current study are available from the corresponding author on reasonable request.
Reference
[1] Seidel K, Siswanto S, Brunt ER, den Dunnen W, Korf HW, Rüb U. Brain pathology of spinocerebellar ataxias. Acta Neuropathol. 2012;124:1–21. 10.1007/s00401-012-1000-x.Search in Google Scholar
[2] Rüb U, Schöls L, Paulson H, Auburger G, Kermer P, Jen JC, et al. Clinical features, neurogenetics and neuropathology of the polyglutamine spinocerebellar ataxias type 1, 2, 3, 6 and 7. Prog Neurobiol. 2013;104:38–66. 10.1016/j.pneurobio.2013.01.001.Search in Google Scholar
[3] Tan EK. Autosomal dominant spinocerebellar ataxias: an Asian perspective. Can J Neurol Sci. 2003;30:361–7. 10.1017/s0317167100003085.Search in Google Scholar
[4] Verbeek DS, van de Warrenburg BP. Genetics of the dominant ataxias. Semin Neurol. 2011;31:461–9. 10.1055/s-0031-1299785.Search in Google Scholar
[5] Szpisjak L, Zadori D, Klivenyi P, Vecsei L. Clinical characteristics and possible drug targets in autosomal dominant spinocerebellar ataxias. CNS Neurol Disord Drug Targets. 2019;18:279–93. 10.2174/1871527318666190311155846.Search in Google Scholar
[6] Ramachandra NB, Kusuma L. An understanding of spinocerebellar ataxia. Indian J Med Res. 2015;141(2):148–50. 10.4103/0971-5916.155537.Search in Google Scholar
[7] Margolis RL. The spinocerebellar ataxias: order emerges from chaos. Curr Neurol Neurosci Rep. 2002;2:447–56. 10.1007/s11910-002-0072-8.Search in Google Scholar
[8] Schöls L, Bauer P, Schmidt T, Schulte T, Riess O. Autosomal dominant cerebellar ataxias: clinical features, genetics, and pathogenesis. Lancet Neurol. 2004;3:291–304. 10.1016/s1474-4422(04)00737-9.Search in Google Scholar
[9] Velázquez Pérez L, Cruz GS, Santos Falcón N, Enrique Almaguer Mederos L, Escalona Batallan K, Rodríguez Labrada R, et al. Molecular epidemiology of spinocerebellar ataxias in Cuba: insights into SCA2 founder effect in Holguin. Neurosci Lett. 2009;454(2):157–60. 10.1016/j.neulet.2009.03.015.Search in Google Scholar PubMed
[10] Velázquez-Pérez L, Medrano-Montero J, Rodríguez-Labrada R, Canales-Ochoa N, Campins Alí J, Carrillo Rodes FJ, et al. Hereditary ataxias in Cuba: a nationwide epidemiological and clinical study in 1001 patients. Cerebellum. 2020;19(2):252–64. 10.1007/s12311-020-01107-9.Search in Google Scholar PubMed
[11] Klockgether T, Mariotti C, Paulson HL. Spinocerebellar ataxia. Nat Rev Dis Primers. 2019;5:24. 10.1038/s41572-019-0074-3.Search in Google Scholar PubMed
[12] Manto MU. The wide spectrum of spinocerebellar ataxias (SCAs). Cerebellum. 2005;4:2–6. 10.1080/14734220510007914.Search in Google Scholar PubMed
[13] Rossi M, Perez-Lloret S, Doldan L, Cerquetti D, Balej J, Millar Vernetti P, et al. Autosomal dominant cerebellar ataxias: a systematic review of clinical features. Eur J Neurol. 2014;21:607–15. 10.1111/ene.12350.Search in Google Scholar PubMed
[14] Mundwiler A, Shakkottai VG. Autosomal-dominant cerebellar ataxias. Handb Clin Neurol. 2018;147:173–85. 10.1016/B978-0-444-63233-3.00012-9.Search in Google Scholar PubMed
[15] Matilla-Duenas A. The ever expanding spinocerebellar ataxias. Editorial. Cerebellum. 2012;11:821–7. 10.1007/s12311-012-0376-4.Search in Google Scholar PubMed
[16] Tsoi H, Yu AC, Chen ZS, Ng NK, Chan AY, Yuen LY, et al. A novel missense mutation in CCDC88C activates the JNK pathway and causes a dominant form of spinocerebellar ataxia. J Med Genet. 2014;51:590–5. 10.1136/jmedgenet-2014-102333.Search in Google Scholar PubMed PubMed Central
[17] Leńska-Mieciek M, Charzewska A, Królicki L, Hoffman-Zacharska D, Chen ZS, Lau KF, et al. Familial ataxiatremorand dementia in a polish family with a novel mutation in the CCDC88C gene. Mov Disord. 2019;34(1):142–4.10.1002/mds.27536Search in Google Scholar PubMed
[18] Sullivan R, Yau WY, O’Connor E, Houlden H. Spinocerebellar ataxia: an update. J Neurol. 2019;266:533–44. 10.1007/s00415-018-9076-4.Search in Google Scholar PubMed PubMed Central
[19] Soong BW, Paulson HL. Spinocerebellar ataxias: an update. Curr Opin Neurol. 2007;20:438–46. 10.1097/WCO.0b013e3281fbd3dd.Search in Google Scholar PubMed
[20] Margolis Russell L. Dominant spinocerebellar ataxias: a molecular approach to classification, diagnosis, pathogenesis and the future. Expert Rev Mol Diagn. 2003;3(6):715–32. 10.1586/14737159.3.6.715.Search in Google Scholar PubMed
[21] Karam A, Trottier Y. Molecular mechanisms and therapeutic strategies in spinocerebellar ataxia type 7. Adv Exp Med Biol. 2018;1049:197–218. 10.1007/978-3-319-71779-1_9.Search in Google Scholar PubMed
[22] Matilla-Dueñas A, Ashizawa T, Brice A, Magri S, McFarland KN, Pandolfo M, et al. Consensus paper: pathological mechanisms underlying neurodegeneration in spinocerebellar ataxias. Cerebellum. 2014;13:269–302. 10.1007/s12311-013-0539-y.Search in Google Scholar PubMed PubMed Central
[23] Duenas AM, Goold R, Giunti P. Molecular pathogenesis of spinocerebellar ataxias. Brain. 2006;129:1357–70. 10.1093/brain/awl081.Search in Google Scholar PubMed
[24] Costa Lima MA, Pimentel MM. Dynamic mutation and human disorders: the spinocerebellar ataxias (review). Int J Mol Med. 2004;13(2):299–302.10.3892/ijmm.13.2.299Search in Google Scholar
[25] Kordasiewicz HB, Thompson RM, Clark HB, Gomez CM. C-termini of P/Q-type Ca2+ channel alpha1A subunits translocate to nuclei and promote polyglutamine-mediated toxicity. Hum Mol Genet. 2006;15:1587–99. 10.1093/hmg/ddl080.Search in Google Scholar PubMed
[26] Kordasiewicz HB, Thompson RM, Clark HB, Gomez CM. C-termini of P/Q-type Ca2+ channel alpha1A subunits translocate to nuclei and promote polyglutamine-mediated toxicity. Hum Mol Genet. 2006;15:1587–99. 10.1093/hmg/ddl080.Search in Google Scholar
[27] Zoghbi HY. Spinocerebellar ataxias. Neurobiol Dis. 2000;7:523–7. 10.1006/nbdi.2000.0346.Search in Google Scholar PubMed
[28] Bence NF, Sampat RM, Kopito RR. Impairment of the ubiquitin-proteasome system by protein aggregation. Science. 2001;292(5521):1552–5. 10.1126/science.292.5521.1552.Search in Google Scholar PubMed
[29] Chen C, Fang X, Sun S. Diagnosis of polyglutamine spinocerebellar ataxias by polymerase chain reaction amplification and Sanger sequencing. Mol Med Rep. 2018;18:1037–42. 10.3892/mmr.2018.9043.Search in Google Scholar PubMed
[30] Holmes SE, O’Hearn EE, McInnis MG, Gorelick-Feldman DA, Kleiderlein JJ, Callahan C, et al. Expansion of a novel CAG trinucleotide repeat in the 5’ region of PPP2R2B is associated with SCA12. Nat Genet. 1999;23(4):391–2. 10.1038/70493.Search in Google Scholar PubMed
[31] Matsuura T, Yamagata T, Burgess DL, Rasmussen A, Grewal RP, Watase K, et al. Large expansion of the ATTCT pentanucleotide repeat in spinocerebellar ataxia type 10. Nat Genet. 2000;26(2):191–4. 10.1038/79911.Search in Google Scholar PubMed
[32] van de Warrenburg Bart PC, Sinke Richard J, Kremer B. Recent advances in hereditary spinocerebellar ataxias. J Neuropathol Exp Neurol. 2005;64(3):171–80. 10.1093/jnen/64.3.171.Search in Google Scholar PubMed
[33] Tada M, Nishizawa M, Onodera O. Roles of inositol 1,4,5-trisphosphate receptors in spinocerebellar ataxias. Neurochem Int. 2016;94:1–8. 10.1016/j.neuint.2016.01.007.Search in Google Scholar PubMed
[34] Nibbeling E, Duarri A, Verschuuren-Bemelmans CC, Fokkens MR, Karjalainen JM, Smeets C, et al. Exome sequencing and network analysis identifies shared mechanisms underlying spinocerebellar ataxia. Brain. 2017;140:2860–78. 10.1093/brain/awx251.Search in Google Scholar PubMed
[35] Watson LM, Bamber E, Schnekenberg RP, Williams J, Bettencourt C, Lickiss J, et al. Dominant mutations in GRM1 cause spinocerebellar ataxia type 44. Am J Hum Genet. 2017;101:451–8. 10.1016/j.ajhg.2017.08.005.Search in Google Scholar PubMed PubMed Central
[36] Li M, Ma Q, Zhao X, Wang C, Wu H, Li J, et al. Dilemma of multiple system atrophy and spinocerebellar ataxias. J Neurol. 2018;265:2764–72. 10.1007/s00415-018-8876-x.Search in Google Scholar PubMed
© 2021 Fengyue Han et al., published by De Gruyter
This work is licensed under the Creative Commons Attribution 4.0 International License.
Articles in the same Issue
- Research Articles
- Ulinastatin alleviates traumatic brain injury by reducing endothelin-1
- IKBIP is a novel EMT-related biomarker and predicts poor survival in glioma
- Pelargonidin ameliorates MCAO-induced cerebral ischemia/reperfusion injury in rats by the action on the Nrf2/HO-1 pathway
- Vertebral plate and ligament composite laminoplasty in spinal cord tumor surgery: Analysis of 94 patients
- Anti-inflammatory genes in PBMCs post-spontaneous intracerebral hemorrhage
- Calumenin contributes to epithelial-mesenchymal transition and predicts poor survival in glioma
- The effect of dietary supplementation with high- or low-dose omega-3 fatty acid on inflammatory pathology after traumatic brain injury in rats
- Dysregulated gene-associated biomarkers for Alzheimer’s disease and aging
- Inhibition of lncRNA H19/miR-370-3p pathway mitigates neuronal apoptosis in an in vitro model of spinal cord injury (SCI)
- Euxanthone inhibits traumatic spinal cord injury via anti-oxidative stress and suppression of p38 and PI3K/Akt signaling pathway in a rat model
- Role of exosomal miRNAs in brain metastasis affected by radiotherapy
- Resveratrol against 6-OHDA-induced damage of PC12 cells via PI3K/Akt
- A new surgical method of treatment spontaneous intracranial hemorrhage
- Chronic restraint stress impairs cognition via modulating HDAC2 expression
- Naringin attenuates cerebral ischemia-reperfusion injury in rats by inhibiting endoplasmic reticulum stress
- Intracerebral hemorrhage with tentorial herniation: Conventional open surgery or emergency stereotactic craniopuncture aspiration surgery?
- miR-380-5p facilitates NRF2 and attenuates cerebral ischemia/reperfusion injury-induced neuronal cell death by directly targeting BACH1
- Nervonic acid amends motor disorder in a mouse model of Parkinson’s disease
- Lepidium sativum as candidate against excitotoxicity in retinal ganglion cells
- circ_0030018 promotes glioma proliferation and metastasis
- Vitamin D3 reduces hippocampal NR2A and anxiety in nicotine withdrawal mice
- Frontoparietal anodal tDCS reduces ketamine-induced oscillopathies
- Tripchlorolide attenuates β-amyloid generation by inducing NEP activity in N2a/APP695 cells
- Canstatin represses glioma growth by inhibiting formation of VM-like structures
- WNK3 promotes the invasiveness of glioma cell lines under hypoxia by inducing the epithelial-to-mesenchymal transition
- miR-485-5p alleviates Alzheimer’s disease progression by targeting PACS1
- Toxic effects of formaldehyde and the protective effect of docosahexaenoic acid in Drosophila
- Chopstick operation training with the left non-dominant hand
- Labor Analgesia reduces the risk of postpartum depression: A cohort study
- Nicotine induced ototoxicity in rat cochlear organotypic cultures
- Altered cerebellum functional network on newly diagnosed drug-naïve Parkinson’s disease patients with anxiety
- Therapeutic value of the metabolomic active neurotransmitter isorhynchophylline in the treatment of spontaneously hypertensive rats by regulating neurotransmitters
- Risky decision-making following prefrontal D1 receptor manipulation
- Cerebrospinal fluid electrolytes and acid-base in diabetic patients
- circ_0082375 promotes the progression of glioma by regulating Wnt7B
- Cryptotanshinone ameliorates CUS-induced depressive-like behaviors in mice
- A novel strategy for driving car brain–computer interfaces: Discrimination of EEG-based visual-motor imagery
- Galvanic vestibular stimulation with low intensity improves dynamic balance
- Neuropeptide changes in an improved migraine model with repeat stimulations
- Neuroprotective effects of the Chrysophyllum perpulchrum extract against an Alzheimer-like rat model of β amyloid1-40 intrahippocampal injection
- Bone marrow mesenchymal stem cells overexpressing hepatocyte growth factor ameliorate hypoxic–ischemic brain damage in neonatal rats
- Leaky gut biomarkers in casein- and gluten-rich diet fed rat model of autism
- Altered sleep intensity upon DBS to hypothalamic sleep–wake centers in rats
- Review Articles
- The potential antiepileptogenic effect of neuronal Cx36 gap junction channel blockage
- Acupuncture and oxytocinergic system: The promising treatment for autism
- Hormones in experimental autoimmune encephalomyelitis (EAE) animal models
- Immunoregulation and antidepressant effect of ketamine
- Review: Pelvic nerves – from anatomy and physiology to clinical applications
- Sustained delivery of neurotrophic factors to treat spinal cord injury
- Benefits of vitamin D supplementation to attenuate TBI secondary injury?
- Effects of gut microbiota and probiotics on Alzheimer’s disease
- Functional roles of the microbiota-gut-brain axis in Alzheimer’s disease: Implications of gut microbiota-targeted therapy
- Commentary
- Evaluating the translational value of postmortem brain reperfusion technology
- Case Report
- A novel KCNT1 mutation in a Chinese family with severe autosomal-dominant nocturnal frontal lobe epilepsy
- Spinocerebellar ataxia type 40: A case report and literature review
- Basal ganglia infarction and COVID-19 infection in an elderly patient: A case report
- Rapid Communication
- Ultrasound-guided ethyl alcohol injection to the deep branch of the ulnar nerve to relieve hand spasticity in stroke patients: A case series
- Erratum
- Erratum to “Ulinastatin alleviates traumatic brain injury by reducing endothelin-1”
- Special Issue “Neuroinflammation: from basic to clinical perspectives”
- The clinical significance of glutathione peroxidase 2 in glioblastoma multiforme
Articles in the same Issue
- Research Articles
- Ulinastatin alleviates traumatic brain injury by reducing endothelin-1
- IKBIP is a novel EMT-related biomarker and predicts poor survival in glioma
- Pelargonidin ameliorates MCAO-induced cerebral ischemia/reperfusion injury in rats by the action on the Nrf2/HO-1 pathway
- Vertebral plate and ligament composite laminoplasty in spinal cord tumor surgery: Analysis of 94 patients
- Anti-inflammatory genes in PBMCs post-spontaneous intracerebral hemorrhage
- Calumenin contributes to epithelial-mesenchymal transition and predicts poor survival in glioma
- The effect of dietary supplementation with high- or low-dose omega-3 fatty acid on inflammatory pathology after traumatic brain injury in rats
- Dysregulated gene-associated biomarkers for Alzheimer’s disease and aging
- Inhibition of lncRNA H19/miR-370-3p pathway mitigates neuronal apoptosis in an in vitro model of spinal cord injury (SCI)
- Euxanthone inhibits traumatic spinal cord injury via anti-oxidative stress and suppression of p38 and PI3K/Akt signaling pathway in a rat model
- Role of exosomal miRNAs in brain metastasis affected by radiotherapy
- Resveratrol against 6-OHDA-induced damage of PC12 cells via PI3K/Akt
- A new surgical method of treatment spontaneous intracranial hemorrhage
- Chronic restraint stress impairs cognition via modulating HDAC2 expression
- Naringin attenuates cerebral ischemia-reperfusion injury in rats by inhibiting endoplasmic reticulum stress
- Intracerebral hemorrhage with tentorial herniation: Conventional open surgery or emergency stereotactic craniopuncture aspiration surgery?
- miR-380-5p facilitates NRF2 and attenuates cerebral ischemia/reperfusion injury-induced neuronal cell death by directly targeting BACH1
- Nervonic acid amends motor disorder in a mouse model of Parkinson’s disease
- Lepidium sativum as candidate against excitotoxicity in retinal ganglion cells
- circ_0030018 promotes glioma proliferation and metastasis
- Vitamin D3 reduces hippocampal NR2A and anxiety in nicotine withdrawal mice
- Frontoparietal anodal tDCS reduces ketamine-induced oscillopathies
- Tripchlorolide attenuates β-amyloid generation by inducing NEP activity in N2a/APP695 cells
- Canstatin represses glioma growth by inhibiting formation of VM-like structures
- WNK3 promotes the invasiveness of glioma cell lines under hypoxia by inducing the epithelial-to-mesenchymal transition
- miR-485-5p alleviates Alzheimer’s disease progression by targeting PACS1
- Toxic effects of formaldehyde and the protective effect of docosahexaenoic acid in Drosophila
- Chopstick operation training with the left non-dominant hand
- Labor Analgesia reduces the risk of postpartum depression: A cohort study
- Nicotine induced ototoxicity in rat cochlear organotypic cultures
- Altered cerebellum functional network on newly diagnosed drug-naïve Parkinson’s disease patients with anxiety
- Therapeutic value of the metabolomic active neurotransmitter isorhynchophylline in the treatment of spontaneously hypertensive rats by regulating neurotransmitters
- Risky decision-making following prefrontal D1 receptor manipulation
- Cerebrospinal fluid electrolytes and acid-base in diabetic patients
- circ_0082375 promotes the progression of glioma by regulating Wnt7B
- Cryptotanshinone ameliorates CUS-induced depressive-like behaviors in mice
- A novel strategy for driving car brain–computer interfaces: Discrimination of EEG-based visual-motor imagery
- Galvanic vestibular stimulation with low intensity improves dynamic balance
- Neuropeptide changes in an improved migraine model with repeat stimulations
- Neuroprotective effects of the Chrysophyllum perpulchrum extract against an Alzheimer-like rat model of β amyloid1-40 intrahippocampal injection
- Bone marrow mesenchymal stem cells overexpressing hepatocyte growth factor ameliorate hypoxic–ischemic brain damage in neonatal rats
- Leaky gut biomarkers in casein- and gluten-rich diet fed rat model of autism
- Altered sleep intensity upon DBS to hypothalamic sleep–wake centers in rats
- Review Articles
- The potential antiepileptogenic effect of neuronal Cx36 gap junction channel blockage
- Acupuncture and oxytocinergic system: The promising treatment for autism
- Hormones in experimental autoimmune encephalomyelitis (EAE) animal models
- Immunoregulation and antidepressant effect of ketamine
- Review: Pelvic nerves – from anatomy and physiology to clinical applications
- Sustained delivery of neurotrophic factors to treat spinal cord injury
- Benefits of vitamin D supplementation to attenuate TBI secondary injury?
- Effects of gut microbiota and probiotics on Alzheimer’s disease
- Functional roles of the microbiota-gut-brain axis in Alzheimer’s disease: Implications of gut microbiota-targeted therapy
- Commentary
- Evaluating the translational value of postmortem brain reperfusion technology
- Case Report
- A novel KCNT1 mutation in a Chinese family with severe autosomal-dominant nocturnal frontal lobe epilepsy
- Spinocerebellar ataxia type 40: A case report and literature review
- Basal ganglia infarction and COVID-19 infection in an elderly patient: A case report
- Rapid Communication
- Ultrasound-guided ethyl alcohol injection to the deep branch of the ulnar nerve to relieve hand spasticity in stroke patients: A case series
- Erratum
- Erratum to “Ulinastatin alleviates traumatic brain injury by reducing endothelin-1”
- Special Issue “Neuroinflammation: from basic to clinical perspectives”
- The clinical significance of glutathione peroxidase 2 in glioblastoma multiforme