Home Mid-trimester preterm premature rupture of membranes (PPROM): etiology, diagnosis, classification, international recommendations of treatment options and outcome
Article Open Access

Mid-trimester preterm premature rupture of membranes (PPROM): etiology, diagnosis, classification, international recommendations of treatment options and outcome

  • Michael Tchirikov EMAIL logo , Natalia Schlabritz-Loutsevitch , James Maher , Jörg Buchmann , Yuri Naberezhnev , Andreas S. Winarno and Gregor Seliger
Published/Copyright: July 15, 2017

Abstract

Mid-trimester preterm premature rupture of membranes (PPROM), defined as rupture of fetal membranes prior to 28 weeks of gestation, complicates approximately 0.4%–0.7% of all pregnancies. This condition is associated with a very high neonatal mortality rate as well as an increased risk of long- and short-term severe neonatal morbidity. The causes of the mid-trimester PPROM are multifactorial. Altered membrane morphology including marked swelling and disruption of the collagen network which is seen with PPROM can be triggered by bacterial products or/and pro-inflammatory cytokines. Activation of matrix metalloproteinases (MMP) have been implicated in the mechanism of PPROM. The propagation of bacteria is an important contributing factor not only in PPROM, but also in adverse neonatal and maternal outcomes after PPROM. Inflammatory mediators likely play a causative role in both disruption of fetal membrane integrity and activation of uterine contraction. The “classic PPROM” with oligo/an-hydramnion is associated with a short latency period and worse neonatal outcome compared to similar gestational aged neonates delivered without antecedent PPROM. The “high PPROM” syndrome is defined as a defect of the chorio-amniotic membranes, which is not located over the internal cervical os. It may be associated with either a normal or reduced amount of amniotic fluid. It may explain why sensitive biochemical tests such as the Amniosure (PAMG-1) or IGFBP-1/alpha fetoprotein test can have a positive result without other signs of overt ROM such as fluid leakage with Valsalva. The membrane defect following fetoscopy also fulfils the criteria for “high PPROM” syndrome. In some cases, the rupture of only one membrane – either the chorionic or amniotic membrane, resulting in “pre-PPROM” could precede “classic PPROM” or “high PPROM”. The diagnosis of PPROM is classically established by identification of nitrazine positive, fern positive watery leakage from the cervical canal observed during in specula investigation. Other more recent diagnostic tests include the vaginal swab assay for placental alpha macroglobulin-1 test or AFP and IGFBP1. In some rare cases amniocentesis and infusion of indigo carmine has been used to confirm the diagnosis of PPROM. The management of the PPROM requires balancing the potential neonatal benefits from prolongation of the pregnancy with the risk of intra-amniotic infection and its consequences for the mother and infant. Close monitoring for signs of chorioamnionitis (e.g. body temperature, CTG, CRP, leucocytes, IL-6, procalcitonine, amniotic fluid examinations) is necessary to minimize the risk of neonatal and maternal complications. In addition to delayed delivery, broad spectrum antibiotics of penicillin or cephalosporin group and/or macrolide and corticosteroids have been show to improve neonatal outcome [reducing risk of chorioamnionitis (average risk ratio (RR)=0.66), neonatal infections (RR=0.67) and abnormal ultrasound scan of neonatal brain (RR=0.67)]. The positive effect of continuous amnioinfusion through the subcutaneously implanted perinatal port system with amniotic fluid like hypo-osmotic solution in “classic PPROM” less than 28/0 weeks’ gestation shows promise but must be proved in future prospective randomized studies. Systemic antibiotics administration in “pre-PPROM” without infection and hospitalization are also of questionable benefit and needs to be further evaluated in well-designed randomized prospective studies to evaluate if it is associated with any neonatal benefit as well as the relationship to possible adverse effect of antibiotics on to fetal development and neurological outcome.

Introduction

Deliveries prior to 28 weeks’ gestation (or extreme preterm deliveries) are a global health problem, according to the World Health Organization (WHO) [1]. Midtrimester preterm premature rupture of membranes (PPROM), defined as rupture of fetal membranes prior to 28 weeks of gestation, complicates approximately 0.4%–0.7% of all pregnancies and is associated with high neonatal mortality as well as with long- and short-term severe morbidity [1], [2], [3], [4], [5], [6].

The immediate survival rate of the babies born prior at 28 weeks of gestation has improved significantly over the last several decades; however, extreme preterm delivery is still often associated with subsequent neonatal death prior to 1 month of age [3], [4], [5]. About 40% of very preterm infants, who survive the initial neonatal intensive care stay, die during next 5 years of life. Furthermore, the long-term morbidity of the survivors remains high. Over 40% of surviving neonates following PPROM prior to 25 weeks of gestation develop bronchopulmonary dysplasia (BPD). Surviving children also have higher risks of physical and developmental disabilities, including chronic respiratory disease, neurodevelopmental or behavioral effects (impairment of visual/hearing/executive functioning, global developmental delay and psychiatric/behavioral sequela) and cardiovascular diseases. Prolonged anhydramnion after PPROM is associated with a four-fold increased risk of composite adverse outcomes, including death, BPD, severe neurological disorders, severe retinopathy, when compared to an age-adjusted control group [7], [8].

In this review, we summarize literature the reporting PPROM between 18 and 28 weeks and published during the time-frame 2000–2017. We summarize the data regarding the PPROM etiology, diagnostic methods, and mechanisms of disease, treatment options, maternal and neonatal outcomes.

Etiology

Anatomy of chorio-amniotic membranes

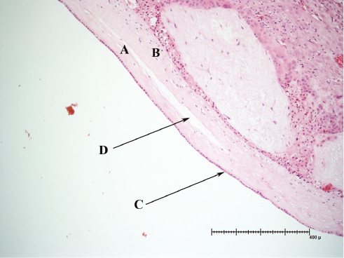
The amnion is composed of five layers. From inside closest to the fetus to outside adjacent to the maternal uterine cavity, those layers include (1) an inner amniotic epithelial layer, nearest the fetus (2) basement membrane, (3) compact layer, (4) fibroblast layer and (5) the intermediate layer which is in contact with the chorion [2]. In humans and primates, the amnion contains no blood vessels or nerves. The amniotic epithelial cells secrete collagen types III and IV, as well as the glycoproteins laminin and fibronectin which form the attachment to the next amnion layer – the basement membrane. The compact layer is formed by type I and III collagen secreted by the adjacent and thickest layer of the amnion, the (fourth) fibroblast layer, which comprises mesenchymal cells and macrophages. The outermost layer-the intermediate layer, sometimes called the spongy layer, or zona spongiosa, forms the junction between the amnion and chorion, and is comprised type III collagen, proteoglycans and glycoproteins [9]. The junctions between the amniotic and chorionic membranes are very fine and not clearly established (Figure 1); in some cases it is very difficult to avoid the separation between membranes during the preparation for a microscopoc examination [9].

The chorion is thicker than amnion but has less tensile strength. It comprises a reticular layer with collagen types I, III, IV, V and VI, basement membrane (collagen type IV, fibronectin and laminin) and trophoblast cells with polarity directed toward the maternal decidua [2].

Embryology of the chorio-amniotic membranes

Prior to the 12 weeks’ gestation, the amnion is contained within the gestational sac separated from the chorion by chorionic fluid and in turn encloses the fetus and amniotic fluid in a separate space within a sac [10]. The amnion derives oxygen and nutrition from the surrounding amniotic fluid as well as the chorionic fluid until the “fusion” of the chorionic space. These connected membranes can always be easily mechanically separated from each other, and are never truly fused, cellularly speaking [10]. This fusion of the chorionic space normally occurs between the 12th and 14th weeks of gestation [10], [11] although fusion could be delayed in some pregnancies up to 15th weeks. This persistence of separation in the second trimester is termed chorio-amniotic separation and can be detected on high resolution ultrasound. Some authors have reported a prolonged chorio-amnion separation as an aneuploidy marker [12]. Chorio-amniotic separation is frequently observed as a complication of fetal surgery [13]. After the delivery the chorioamniotic membranes can be manually separated from each other. In our opinion, the fusion between chorionic and amniotic membranes is simply the apposition of the two layers as the chorionic space is eliminated by the enlargement of the amniotic sac – a simple overlapping of the membranes during the 12th–15th weeks following by the establishment of a very fine fibrous network [9]. The situation with the defect of only one membrane frequently occurs and is related to inexistent obliteration between fetal membranes (Pre-PPROM).

Figure 1: Chorio-amniotic membranes.(A) amniotic membrane, (B) chorionic membrane, (C) amnion epithelium, (D) very fine fibrous network developing after overlapping of the membranes during the 12th–15th weeks’ gestation.
Figure 1:

Chorio-amniotic membranes.

(A) amniotic membrane, (B) chorionic membrane, (C) amnion epithelium, (D) very fine fibrous network developing after overlapping of the membranes during the 12th–15th weeks’ gestation.

Mechanisms of the premature rupture of the fetal membranes

There are multiple causes of PPROM (Figure 2) [2], [3], [4], [5], [6], [14], [15], [16], [17], [18].

Figure 2: PPROM classification in second trimester.“Pre-PPROM” with the rupture of only one of both membranes and positive PPROM tests. “High PPROM” with the defect of chorio-amniotic membranes located higher than internal cervical os. In cases with “high PPROM” the amount of amniotic fluid could be normal fetoscopy unfortunately completely achieves the diagnostic criteria of the high PPROM without leak. “Classic” PPROM” is the rupture of the chorio-amniotic membranes in the supra-cervical area with anhydramnion and, as a consequence, worse outcome. In some cases, the classic PPROM could be triggered by the high PPROM with amniotic fluid leak leading to damage of the cervical mucosal barrier.
Figure 2:

PPROM classification in second trimester.

“Pre-PPROM” with the rupture of only one of both membranes and positive PPROM tests. “High PPROM” with the defect of chorio-amniotic membranes located higher than internal cervical os. In cases with “high PPROM” the amount of amniotic fluid could be normal fetoscopy unfortunately completely achieves the diagnostic criteria of the high PPROM without leak. “Classic” PPROM” is the rupture of the chorio-amniotic membranes in the supra-cervical area with anhydramnion and, as a consequence, worse outcome. In some cases, the classic PPROM could be triggered by the high PPROM with amniotic fluid leak leading to damage of the cervical mucosal barrier.

Pathologic anatomical remodeling

Location The most prevalent site of rupture of amniotic membranes in PPROM is the supra-cervical area (membrane overlying the ostium of cervical area) [19], [20]. The amniotic membrane at this site is structurally altered, easily disrupted and is often laden with bacteria [21]. Clinical experience has shown that not all cases of PPROM follow this classic pattern of rupture. We have encountered patients with positive PPROM tests who maintain a normal amount of the amniotic fluid on ultrasound examination. The prognosis of these patients is better [22]. These patients are similar to patients experiencing PPROM as a complication of fetoscopic surgery. These patients may do better than classical PPROM patients because the underlying etiology is mechanical disruption of the membranes without the associated inflammatory and/or infectious etiology seen with classic PPROM.

Altered membrane morphology PPROM is associated with marked swelling and disruption of the collagen network within the compact, fibroblast and spongy layers [23]. The enzymes that have been implicated in the mechanisms of membrane rupture include MMP-1, MMP-8, MMP-9, and there are multiple studies to support this in which the concentration of the enzyme in the amniotic fluid has been measured with immunoassays as well as enzymatic methods. Matrix metalloproteinases (MMP), or collagenases, degrade interstitial collagens, acting preferentially on collagen type I. Maymon et al. described that preterm premature rupture of membranes (in both, the presence and absence of infection) was associated with an increase in concentrations of MMP-1 in the amniotic fluid MMP-1 concentrations [24]. Spontaneous rupture of membranes in preterm gestation, but not in term gestation, was associated with elevated amniotic fluid concentrations of MMP-8 [25].

Vadillo-Ortega et al. suggested that some cases involve the activation of MMP-9, a 92-kDa type IV collagenase.

Athayde et al. found that patients with PPROM had higher MMP-9 concentrations than those with preterm labor and intact membranes, who were delivered at term. Women with microbial invasion of the amniotic cavity had higher median MMP-9 concentrations than did those without microbial invasion regardless of membrane status (preterm labor: 54.5 ng/mL, vs. <0.4 ng/mL and in PPROM patients 179. 8 ng/mL, vs. 7.6 ng/mL, P<0.001) [26]. Maymon et al. also demonstrated that microbial invasion of the amniotic cavity in women with PPROM was associated with a significant increase in the concentration of the active forms of MMP-9 and a decrease in the concentration of the active forms of MMP-2 [27]. Preterm PROM is associated with an increased concentration of neutrophil elastase in the amniotic fluid concentration of neutrophil elastase and with a reduced concentration of secretory leukocyte protease inhibitor [28].

Romero et al. found that fetuses with preterm PROM have increased concentrations of an enzyme (MMP-9), implicated in the mechanism of membrane rupture but lower concentrations of IL-1β, sTNF-R1, and sTNF-R2 than fetuses with preterm labor and intact membranes. The authors suggested that the role for the fetus in the genesis of preterm PROM deserves consideration [29].

The exact trigger, secreted by chorio-amnionic cells to induce MMP-9 expression is not known, but bacterial products and/or the pro-inflammatory cytokines, IL-1β and tumor necrosis factor (TNF-α), may act as a paracrine or autocrine signals for these metalloproteases in pregnancies, complicated with intra-amniotic infection [30]. Romero et al. did not find TNF-α in the amniotic fluid of women without intraamniotic infection regardless of the presence or absence of term or preterm labor. On the other hand, the amniotic fluid of 11 of 15 women with preterm labor and intraamniotic infection had measurable TNF. This cytokine stimulated prostaglandin E2 biosynthesis by amnion cells in monolayer culture in a dose-dependent fashion [31]. The mean fetal plasma concentrations of soluble tumor necrosis factor receptors TNF-R1 and TNF-R2 were significantly higher in fetuses with fetal inflammatory response syndrome (FIRS) than in those without the syndrome after adjustment for gestational age and fetal membrane status. Fetuses of patients who delivered within 72 h of cordocentesis had significantly higher concentrations of TNF-R1 and TNF-R2 receptors than those with longer latency periods [32].

Cases where only one of two membranes is compromised, are difficult to differentiate from the “high-PPROM” with non-diminished amount of amniotic fluid, especially if the PPROM tests are positive. We assume that such “pre-PPROM” situations comprise a substantial proportion of cases with the incorrect diagnosis of “high-PPROM” combined with normal amount of amniotic fluid. It highly possible that in some patients with pre-PPROM without any signs of infection, the “aggressive” interventions which include systemic antibiotic therapy and hospitalization until delivery, could be avoided without any disadvantages.

Complications of invasive procedures and fetoscopic surgeries. Amniotic fluid leak after the amniocentesis or after fetoscopic surgery [33] suggests that in some cases the PPROMs could have two distinct phenotypes:

  1. “Classic PPROM” in the supra-cervical area with anhydramnion (Figure 2). In some cases, the classic PPROM could be triggered by the high PPROM with amniotic fluid leak leading to damage of the cervical mucus plug.

  2. “High PPROM” includes cases with a membrane defect remote from the internal cervical os and a normal amount of the amniotic fluid and a better neonatal outcome (with or without positive PPROM test) and high PPROM with reduced amount of amniotic fluid volume because of leakage of amniotic fluid (positive PPROM test). In our opinion, the “high-PPROM” must encompass include the cases where the defect involves both membranes, only if the defect does not occur above the cervical os (Figure 2). The positive gradient of the amniotic fluid pressure, applied to the fetal membranes surrounding the orifice, which keeps the membranes around the defect in opposition to the uterine wall, is responsible for the absence of the amniotic leak despite the presence of the defect in the amniotic membrane. In the cases with “high PPROM” the amnion, overlying the cervix could be intact and ascending infections are less likely to develop, therefore the risk of chorioamnionitis and fetal inflammatory response syndrome (FIRS) is not significantly increased.

Fetoscopy with the use of a relatively big sheath for the optic and operative canals and the resultant defect in the choroiamniotic membranes, which persists till delivery (33), unfortunately completely achieves the diagnostic criteria of the high PPROM without leaking.

The situations with the rupture or incomplete damage of only one of both membranes – the “pre-PPROM” should also take place in pathogenesis of PPROM (see section Pathologic anatomical remodeling). These situations are extremely difficult to differentiate form the “high-PPROM” with normal amount of amniotic fluid, especially if the PPROM tests are positive.

Inflammation

Histological chorioamnionitis complicates almost half of all PPROM cases that occur prior to 34 weeks’ gestation [33]. Yu et al. published a report of pregnancies with PPROM at <34 weeks and noted a rate of chorioamnionitis of 17.8% [34]. The latency period exceeded 7 days in only 24.3% of cases.

(a) Microbial involvement

Romero et al. found that FIRS (defined as a fetal plasma IL-6 concentration of >11 pg/mL) was present in 20% (19/95) of patients with preterm labor and intact membranes and in 38.4% (15/39) of patients with PPROM [32]. The prevalence of microorganisms-positive cultures of amniotic fluid cultures was 21.6% (29/134). The FIRS was associated with a significant increase in the fetal plasma concentrations of TNF-R1 and TNF-R2 [32]. The authors suggested that microbial products and cytokines released during the fetal inflammatory response syndrome may be responsible for the increased availability of soluble TNF receptors, because endotoxin and TNF-α administration induces the shedding of soluble TNF-α receptors. The changes in fetal plasma concentrations of soluble TNF-α receptors could be related to the development of a systemic FIRS rather than colonization of the amniotic cavity with microorganisms [32].

DiGiulio et al. investigated the amniotic fluid from 204 subjects with PPROM with cultivation and polymerase chain reaction (PCR) methods. The prevalence of microbial invasion of the amniotic cavity was 34% (70/204) by culture, 45% (92/204) by PCR, and 50% (101/204) by both methods combined. The number of bacterial species revealed by PCR (44 species-level phylotypes) was greater than that by culture (14 species) and included as-yet uncultivated taxa. The relative risk for histologic chorioamnionitis was 2.1 for a positive PCR and 2.0 for a positive culture. A positive PCR was associated with lower mean birthweight, and with higher rates of respiratory distress syndrome and necrotizing enterocolitis (NEC) [35].

Kacerovsky et al. demonstrated, that the presence of non-Lactobacillus bacterial species in the cervical microbial community of PPROM patients, was associated with a strong cervical inflammatory response and increased rates of microbial invasion of the amniotic cavity. Both, microbial invasion and histological chorioamnionitis, represent a PPROM subtype with pronounced inflammation [36]. The earlier the gestational age at PPROM, the higher is the likelihood of microbial associated and sterile intra-amniotic inflammation. The prevalence of microbial inflammation in cases with PPROM at <25 weeks’ gestation was 64% vs. about 17% between 33 and 35 weeks [37]. Sneathia amnii (28.5%) and Ureaplasma species (14.3%) are the most commonly identified bacteria in PPROM patients [37]. Viral invasion of amniotic cavity has also been observed in rare cases [38]. Interestingly, from the evolutionary perspective, the microbial causes of PPROM differ between humans and their close relatives – non-human primates [39]. Bacterial culture remains an important method to detect the bacteriologic cause of amniotic membrane rupture. However, recent publications have demonstrated that bacterial culture had a lower rate of detection (27.1%) compared to PCR (up to 72.9%) [35], [40]. The use of amniotic fluid culture alone could miss up to 91% of genital mycoplasma [41]. PCR methodology offers a number of advantages over bacterial culture techniques: species- and serovar-specific identification even in the absence of viable organisms (positivity even after antibiotic treatment), higher sensitivity and quicker results (within 24 h). DiGiulio et al. published a prevalence of microbial invasion of the amniotic cavity after PPROM of 34% by culture, and 45% by PCR and 50% by both methods combined. Some taxa, detected by PCR, have been previously reported in the gastrointestinal tract (e.g. Coprobacillus sp.), the oral cavity (e.g. Rothia dentocariosa), or in the vagina in the setting of bacterial vaginosis (e.g. Atopobium vaginae). The relative risk for histologically confirmed chorioamnionitis was 2.1 for a positive PCR and 2.0 for a positive culture. Positive PCR results were associated with lower mean birthweight, and with higher rates of respiratory distress syndrome (RDS) and NEC [35]. Microorganisms can gain access to the amniotic cavity even in patients with intact membranes [35], [42].

The bacterial community of the amniotic cavity could be different from those, identified in the cervical culture. Baldwin et al. demonstrated, that the placental microbiome of PPROM patients had high individual variability and weak correlation with the maternal vaginal microbiome [43]. The authors were able to identify the common pathogens such as Prevotella spp. and Peptoniphilus spp. in the PPROM patients. The antibiotic treatment, administered for PPROM, did not eliminate the presence of these pathogenic species until the time of delivery, as did the deficiency in Lactobacilli species.

(b) Inflammatory mediators (IMs)

IMs play a causative role in disruption of FM integrity and in triggering of uterine contractility. They are produced as a part of physiologic maternal defense mechanism in response to a pathogens’ invasion. Reactive oxygen species and IMs, such as prostaglandins, cytokines and proteinases are playing an important role in the FM thinning and apoptosis [21], [44], [45]. Apoptosis follows the onset of extracellular matrix degradation, suggesting that it is a consequence and not a cause of FM disruption [2]. In patients with chorioamnionitis, apoptotic amniotic epithelial cells are attached to granulocytes, suggesting that the immune response might accelerate cell death in the FM [2]. Dutta et al. analyzed the DNA damage in PPROM patients and found higher numbers of cells with DNA damage, pro-senescence stress kinase (p38 MAPK) activation and signs of senescence [46]. The inflammatory response induced in these cases is secondary to cytokines production. The inflammatory mediators and production of matrix degrading enzymes such as matrix metallo-proteinases, elastases, catepsins, (which induce amniotic epithelial cell apoptosis), and TNFs are implicated in mechanisms, responsible for the PPROM in the second trimester [6], [37]. Despite the obvious involvement of inflammatory mediators in PPROM, the maternal serum C-reactive protein in women with PPROM is not correlated with subsequent chorioamnionitis and has a poor prognostic value for development of intrauterine inflammation [47].

(c) Mechanical stretch

Chorioamniotic membranes at term contain a weak zone in the region, overlaying the cervix, which exhibits characteristics of increased collagen remodeling and apoptosis. Preterm FM also have a weak region but are stronger overall, than term FM [48]. Preterm uterine contractions or over distention of fetal membranes in polyhydramnios situations increase the risk of PPROM [2], [6]. The developmental events, leading to early contractions, could be different from those, leading to early rupture of the membranes [48]. Kumar et al. postulated, that the stretch forces alone are not entirely responsible for FM weakening, as the force generated by contractions are not adequate to rupture FM without pre-weakening [48]. This point of view supports our definition of the pre-PPROM (Figure 2). Stretch forces, including acute stretch, induce a number of genes related to apoptosis and MMP activation [48]. The separation of the amnion from choriodecidua occurs as an integral part of the FM rupture process [49]. Moore et al. found that fibulins 1, 3 and 5, involved in making bridges in the extracellular matrix, were co-localized with major microfibrillar networks in amnion. Each fibulin type showed decreased abundance in the amniotic component of the FM weak zone. Amniotic epithelial and mesenchymal cells produced all three fibulins and their abundance was inhibited by TNF-α [50]. A possible mechanism for the increased degradation rate of FM collagen could be explained by enzymatic breakdown of a given collagen molecules caused the remaining stress in the tissue, which has to be transferred to a neighboring molecules, which may then rupture. If this is a widespread event, rapid break down of the collagen fibers could ultimately result in a catastrophic failure of the tissue [49]. Thus is it possible, that mechanical stress may facilitate weakening of the collagen fibers by attacking the molecules, that organize collagen Type 1, such as decorin, biglycan, the fibulin family. Joyce et al. speculated that enzymatic degradation of the FM collagen may be also accentuated by mechanical stress [49].

Genetic and iatrogenic factors

(a) Genetic components

The single-nucleotide polymorphism of the tissue inhibitor of MMP-2 in mothers and haplotypes for alpha-3 type-IV collagen isoform precursor are associated with a higher rate of PPROM [51], [52]. Fujimoto et al. investigated, whether polymorphism at −1607 MMP-1 promoter in the MMP-1 is functionally significant for MMP-1 expression in amnion cells and in case of PPROM [53]. The authors found a significant difference in alleles and genotypes frequencies of the neonates, diagnosed with for the −1607 MMP-1 promoter polymorphism, between patients with PPROM and those in the control group. The 2G allele has stronger promoter activity in amnion cells. This allele confers increased responsiveness of amnion cells to stimuli that induce MMP-1, and this polymorphism contributes to the risk of PPROM [53]. Ehlers-Danlos syndrome types I and II involve mutations in COL5A1 (9q34-q34.3) and COL5A2 (2q14-q32), which encode α chains in type V collagen, and EDS type IV is caused by mutations in COL3A1 (2q31). When the fetus is affected by these mutations there is a 40%–58% risk of PPROM, far exceeding the risk in the normal population [54]. Haplotypes of COL4A3 single-nucleotide polymorphisms (SNPs) in the mother were associated with PPROM [54]. There are cell host-dependent differences in MMP-9 promoter activity related to CA-repeat number. That fetal carriage of the 14 CA-repeat allele is associated with PPROM in the African-American population [55]. An initial case-control study demonstrated that the SERPINH1 −656 T allele is significantly more frequent in African-American neonates born from pregnancies complicated by PPROM as compared with controls [55]. The SERPINH1 −656 minor T allele had a greater frequency in African populations and African Americans than in European Americans (12.4% vs. 4.1%). Wang et al. identified a novel 12-bp deletion NT_033927.7: g.5495364_5495375del in the 5′-flanking region of the SERPINH1 gene, that increases promoter activity. The 12-bp deletion is in linkage disequilibrium with the minor “T” allele of the −656 C/T SNP, that reduces promoter activity in amnion fibroblast cells and is associated with a significantly increased risk of preterm birth as a result of PPROM. In a case-control study, 12-bp deletion was found to protect against PPROM, apparently overcoming the influence of the SERPINH1 −656 “T” allele [56]. A functional SNP in the promoter of the SERPINH1 gene increases risk of preterm premature rupture of membranes in African Americans [57]. Genetic variation in the MMP1 promoter is associated with the risk of PPROM [58]. DNA methylation at a particular site (−1538) in the MMP1 promoter in amnion was reduced in fetal membranes that ruptured prematurely [58]. Wang et al. identified a new T>C single SNP [AF007878.1 (MMP1):g.3447T>C] in the MMP1 promoter. In a case-control study, the minor C allele was found to be protective against PPROM, consistent with its reduced promoter function [58]. The authors concluded that in addition to genetic variation, epigenetic modifications such as DNA methylation play a role in control of MMP1 expression and risk of an adverse obstetrical outcome.

(b) Iatrogenic preterm premature rupture of membrane (iPPROM)

After the introduction of chromosome analysis to clinical medicine [59], the mid-trimester amniocentesis has become the most common invasive prenatal diagnostic technique offered to pregnant women at increased risk of chromosomal abnormalities [60]. Various studies have examined the procedure-related complication rate and fetal loss rate following amniocentesis. The estimated procedure related risk is generally reported to be 1% and 0.06%, respectively [61], [62], but the rate is affected by various factors [21] such as the presence of vaginal bleeding in early pregnancy [63], [64] and operator’s experience [65]. The risk of fluid leak (PPROM) after amniocentesis is relative low (1%–2%). Risk of PPROM after the fetoscopy correlates with the degree of FM damage: the smaller the fetoscopic sheath, the lower the risk of the PPROM [66], [67], [68], [69], [70]. The ability of chorio-amniotic membranes to repair themselves following injury is limited in humans and animals [67], [71]. Gratacos et al. did not find any evidence of spontaneous membrane healing after fetoscopy in humans suggesting that the membrane defect persists until delivery [33]. Recent studies found that there is a relationship between the access hole size and the rate of PPROM as a complication of fetoscopic surgery [68], [72]. We demonstrated a four-fold reduction in the rate of the access trauma of chorio-amniotic membranes by application of smaller fetoscopic devices with a 1 mm flexible optic [66], however, the risk of PPROM before 32/0 weeks could not be reduced to less than 10% of our cohort [67]. Other factors, such as number of interventions, number of entries to the uterine cavity, duration and difficulty of the procedure, operator experience, membrane friction by the manipulation during the procedure, gestational age at intervention and placental location, cervix length, presence of vaginal infection are also important factors in iPPROM [67], [72].

Diagnosis of PPROM

Routine diagnostic procedure

A report of watery leakage from the vagina, confirmed by sterile speculum examination and by the observation of either fluid accumulation in the posterior vaginal fornix or direct leakage from the cervical canal with pressure from uterine fundus or a cough attempt, is evidence of rupture. Additional testings, such as nitrazine or the ferning tests, may be applied, if the diagnosis is uncertain; however, contaminating substances could produce a false-positive result in the presence of blood, semen after coitus, alkaline-based antiseptics or bacterial vaginosis. Normal vaginal pH varies between 4.4 and 6.0, whereas pH of amniotic fluid is 8.0 [18]. A manual vaginal examination should be contraindicated in the presence of PPROM because of its association with an increased risk of chorioamnionitis by ascending infection and reduction of the latency period by 9 days on average [21], [73].

Amnio-infusion of indigo carmine

Additional diagnostic procedures include invasive methods with amniocentesis and infusion of indigo carmine into the amniotic cavity, the so-called amnio-dye (tampon) test. The test is considered positive when the blue color can be visualized on the tampon within 30 min after injection [17]. After the injection of dye in the amniotic sac, the maternal urine may also turn blue, which might lead to a false-positive result. Sosa et al. described the amnio-dye test with a 12-h interval after intraamniotic indigo carmine instillation [74].

Adekola et al. reported, that the patients with a positive amnio-dye test had a procedure-to-delivery interval of 2 days (1–10.5 days) and a histologic acute chorioamnionitis and funisitis in 78% of cases [17]. Fetal swallowing of some microbial-colorized solutions might lead to the possible adverse effect on fetal development [20]. The use of methylene blue dye is contraindicated due to risk of fetal methemoglobinemia (hyperbilirubinemia and hemolytic anemia) and increases neonatal morbidity [20].

A negative amnio-dye test could support the diagnosis of “pre-PPROM” if the positive PPROM-tests are combined with the normal amount of amniotic fluid. In some cases, the diagnosis of “High-PPROM” may allow less aggressive treatment regimes.

Immunoassay of placental alpha macroglobulin 1

More recently, the US Food and Drug Administration (FDA) has approved the use of placental alpha macroglobulin 1 (PAMG-1), a 34-kDa placental glycoprotein synthesized by the decidua, for the diagnosis of PPROM. This glycoprotein presents abundantly in amniotic fluid (2000–25,000 ng/mL), and at much lower concentrations in maternal blood (5–25 ng/mL) and in cervix without PPROM (0.005–0.2 ng/mL). The prospective usefulness as an adjunct test for PPROM, remains to be validated in clinical trials, but the test is already in clinical use in some hospitals. Sosa et al. published, that the PAMG-1 test in patients with PROM and positive amnio-dye test after 12 h from intraamniotic trans-abdominal dye injection, had a sensitivity of 100.0%, specificity of 99.1, positive predictive value of 96.3%, negative predictive value of 100.0% and ± likelihood ratios of 74.6. Thus the PAMG-1 immunoassay in vaginal fluid yielded results, that were comparable to those of the instillation of indigo carmine into the amniotic cavity [74].

The predictive values of diagnostic tests are summarized in Table 1.

Table 1:

Diagnostic PPROM tests.

Test/referencesName of testCutoffSensitivity (%)Specificity (%)PPVNPV
Nitrazin (pH)Positive/negative90–9716–7063–7580–93
Ferning and/or poolingPositive/negative51–9870–8884–9387–97
AFPROM check>30 μg/L90–9495–10094–10091–94
Fetal fibronectin>50 ng/mL97–9870–9774–9398–100
IGFBP-1PROM-test>3 μg/L74–9774–9773–9256–87
Prolactin>30–50 μIU/mL70–9576–7872–8475–93
β-hCG>40–65 μIU/mL68–9570–9573–9178–97
Urea and creatinine>0.12–0.6 mg/dL90–10087–10094–10091–100
LactateLac test≥4.5 mmol/L79–8688–9288–9278–87
PAMG-1Amnisure>5.0 ng/mL98–9988–10098–10091–99
IGFBP-1/alpha fetoproteinAmnioquick duo+®97.6%97.9%97.9%
  1. AFP=Alpha fetoprotein, β-hCG=beta-subunit of human chorionic gonadotropin, IGFBP-1=insulin like growth factor binding protein 1, NPV=negative predictive value, PAMG-1=placental alpha-microglobulin 1, PPV=positive predictive value [20], [75], [76], [77].

Ultrasound examination

The ultrasound examination plays an important role in the diagnosis of PPROM as well as the prediction of the fetal outcome. The presence of oligo or anhydramnion with deepest vertical amniotic pocket <2 cm related to the PPROM in mid-trimester, worsens the already poor neonatal outcome by increasing the risk of pulmonary hypoplasia [78]. In cases with “classic” PPROM, complicated by breech or transverse fetal presentation, anhydramnion is a common finding. However, in cases with a vertex presentation, the fetal head could temporarily occlude the site of the ruptured membranes leading to the presence of transient and sometimes intermittent amniotic fluid pockets after fetal urination.

Amniotic fluid sampling from vaginal secretions

Lee et al. described a transcervical amniotic fluid collector for the assessment of amniotic fluid in PPROM patients [79]. Paired amniotic fluid (AF) samples were collected in patients with PROM by transabdominal amniocentesis and with the transcervical AF collector (Yoon’s AF Collector™), which was developed and patented by the authors (patent number: Korea 10-1170053-0000). Three proteins α-fetoprotein (AFP), β-human chorionic gonadotrophin (β-hCG), and prolactin were measured. There was a strong correlation between the concentrations of proteins in AF collected by amniocentesis or with the transcervical device. Amniotic fluid was assayed for AFP, -hCG, and prolactin by immunoradiometric assays (IRMA) with commercially available kits (AFP: Immunotech, Prague, Czech Republic; -hCG: Shinjin, Seoul, Korea; prolactin: Shinjin, Seoul, Korea).

Kunze et al. measured AI-6 and TNF-α in vaginal secretions of 99 patients with PPROM [80]. The median vaginal concentrations of AI-6 and TNF-α were significantly higher in the FIRS group. Amniotic fluid IL-6 and TNF-α seem to be good predictors for fetal inflammatory response syndrome and for histologic funisitis and may improve the clinical management of patients with PPROM. The noninvasive techniques of sampling amniotic fluid from vaginal secretions facilitates daily measurements and bedside assessment of cytokines and could be in this respect preferable to invasive amniocentesis [80]. With the implementation of a vaginal fluid collector it is possible to detect the vaginal fluid cytokine in everyday routine clinical procedures.

At University Medical Center in Halle, Germany, we started a prospective randomized “MuMFI-PPROM” study with daily monitoring of vaginal fluid IL-6, AFP and fetal ECG followed by post-partum evaluation of FIRS, fetal cord blood IL-6, CRP and histological signs of chorioamnionitis (Clinical Trials.gov ID: NCT02702297).

Maternal and neonatal outcomes

One third of preterm births in the USA are associated with PPROM [81]. Maternal chorio-amnionitis after PPROM is associated with higher risks of early-onset neonatal sepsis (EONS) (10.0% vs. 2.8%; aOR 3.102; 95% CI 2.306–4.173; P<0.001) and NEC (11.2% vs. 7.7%; aOR 1.300; 95% CI 1.021–1.655; P<0.033) in neonates [82]. Chronic placental inflammation, acute fetal inflammation and neonatal inflammation-related complications contribute to the damage of the developing brain in newborns delivered very preterm [83]. After the occurrence of the PPROM in the second trimester, bacteria rapidly colonize the surfaces of amniotic membrane, chorion, decidua, fetal skin and mucosa, as well as the umbilical cord (Figure 3). The PCR-based assays for bacterial presence in the amniotic fluid have a superior sensitivity compared to standard culture methods and the positive predictive value for predicting the incidence of neonatal complications of 60% vs. 35% for the standard test [41], [84], [85].

Figure 3: PPROM situation under antibiotic treatment. marks bacteria colonization. Fetal urine containing antibiotic from maternal circulation leaves amniotic cavity through membrane rupture without having a sufficient effect to eliminate bacteria. Histological examination with PPROM related chorioamnionitis. (With permition of S. Karger AG, Medical and Scientific Publishers, [67]).
Figure 3:

PPROM situation under antibiotic treatment.

marks bacteria colonization. Fetal urine containing antibiotic from maternal circulation leaves amniotic cavity through membrane rupture without having a sufficient effect to eliminate bacteria. Histological examination with PPROM related chorioamnionitis. (With permition of S. Karger AG, Medical and Scientific Publishers, [67]).

Walker et al. [86] found that only 33% of infants remained undelivered after one week following a PPROM history. In this report, infants with a longer latency were more likely to die compared with age-matched controls. However, Test et al. [87] did not find any correlation between prolonged latency periods (more than 72 h) and increased neonatal mortality rate.

PPROM, followed by prolonged oligo/anhydramnion, could lead to the development of bronchopulmonary dysplasia (BPD) with a perinatal mortality up to 80% [6]. Linehan et al. analyzed the neonatal and maternal outcome in women after PPROM, diagnosed between 14 and 23+6 weeks’ gestation: only 23% of infants were born alive and the overall mortality rate was 95% [88], [89], [90]. In this study chorioamnionitis was found in 69% and 12% patients developed post-partum hemorrhage [88].

In contrast to prolonged oligohydramnios, a shorter duration of reduced amount of amniotic fluid after PPROM during the period of time <2 days (median <38 h; range 4–151 h, 24/0 −36/6 weeks), did not have any significant adverse impact on neonatal outcome in recently published data from the Czech Republic [36]. PPROM with oligohydramnios increases the rate of C-section from 26% to 52%. Pregnancies, complicated by early vaginal bleeding, had a higher neonatal mortality (14% vs. 6.4%) and morbidity (51% vs. 38%) compared to the cohort without a history of bleeding. Higher levels of residual amniotic fluid after PPROM was associated with improved fetal survival and increased latency to delivery without an increase in maternal complications [91].

In a small retrospective report, Gezer et al. also demonstrated, that the prolongation of the PPROM-to-delivery interval could be associated with an increase in the neonatal morbidity and mortality [90]. Severe pulmonary hypoplasia is one of the main problems related to PPROM with anhydramnion in second trimester. However, the ultrasound diagnosis of lethal pulmonary hypoplasia secondary to mid-trimester PPROM by ultrasound evaluation is still challenging [92].

Drassinower et al. was not able to demonstrate an increased risk of neonatal sepsis with prolonged PPROM in a recent report on 1596 cases. In fact, prolonged PPROM ≥4 weeks was associated with a decreased risk of neonatal sepsis [93].

Oligohydramnios after PPROM is associated with shorter interval to delivery, higher rate of clinical chorioamnionitis, higher rate of emergency cesarean delivery and lower 1-min Apgar score [94].

A Canadian group recruited women with PPROM without clinical chorioamnionitis, between 22 and 36 weeks’ gestation, and analyzed inflammatory biomarkers in the AF. Vaginal fluid was collected on admission for the measurement of MMP-8, IL-6, lactate and glucose concentration. Histological chorioamnionitis and adverse neonatal neurological outcomes were observed in 33%. In univariate analysis, MMP-8, IL-6, glucose and lactate concentrations in vaginal fluid were associated with the risk of chorioamnionitis, but after adjustment for gestational age at PPROM, MMP-8 concentration was the only biomarker associated with adverse neurological outcome (P=0.02) [77].

Chaemsaithong et al. analyzed IL-6 concentration in the AF collected by AC of 56 patients with PPROM [95]. The primary outcome was intra-amniotic inflammation, defined as AF IL-6 concentration more than 2600 pg/mL for an enzyme-linked immuno-assay (ELISA) and 745 pg/mL for point-of-care (POC) testings. The IL-6 POC test had 97% sensitivity and 96% specificity for the identification of intra-amniotic inflammation.

There is an increasing evidence, that PPROM is associated with an elevated risk for adverse neurodevelopmental outcomes through multiple mechanisms, including preterm birth and its etiologies [86]. Korzeniewski et al. found a two-fold increased rate of ventriculomegaly in very preterm live-born neonates <32 weeks with acute chorioamnionitis or neonatal inflammation-initiated illnesses, such as bacteremia, surgical NEC or other infections [96]. In a recently published report of 53 neonatal ICUs in Spain, using data from 2008 to 2011, the presence of maternal clinical chorioamnionitis was associated with significantly increased RDS (69% vs. 60.2%), early-onset neonatal sepsis (10.2% vs. 2.8%, OR 3.1), NEC (11.2% vs. 7.7%, OR 1.3), severe intraventricular hemorrhage (IVH) (14.5% vs. 8.4%), periventricular leukomalacia (PVL) (8.4% vs. 5.7%) and retonopathy of prematurity (ROP, stage>2) (5.3% vs. 3.2%) in live-born infants ≤1500 g. Half of neonates from mothers with chorioamnionitis required oxygen at 28 days (46% vs. 30%), they had a higher rate of BPD (23.2% vs. 14.9%) as well. Chorioamnionitis was associated with increased infant mortality (14.2% vs. 22.6%) and reduced survival without major morbidity, including IVH, PVL, BPD, NEC or ROP >2 from 57.1% to 42.0% [82].

Mercer et al. reported that about 76% of PPROM patients delivered the baby within a week after diagnosis and the use of antibiotic therapy reduced the delivery rate to 62% [6]. Gomez et al. stated that antibiotics could not eliminate the amniotic infection in 83% of PPROM cases [89].

Soylu et al. found, that infants with a PPROM history more than 7 days, that occurred before 24 weeks of pregnancy developed RDS in 97% of cases, 21% experienced persistent pulmonary hypertension, 24% had severe intraventricular hemorrhage and the overall mortality rate was 24% [8].

Storness-Bliss et al. compared the outcome between two groups of patients: with a deepest vertical pocket of AF≥1 cm and <1 cm [91]. Six of 10 subjects in the first group had a live delivery without neonatal death, whereas only one of 12 subjects in the second group had a live delivery (P=0.02). Additional complications included placental abruption (63% vs. 45%), chorioamnionitis (50% vs. 70%), and postpartum endometritis (0% and 9%), (first vs. second group respectively). respectively. The second, or oligo/anhydramnion, group was associated with a shorter gestational age at delivery (23 weeks vs. 27.5 weeks [P=0.07]).

Van Teeffelen et al. tried to estimate the ability of imaging parameters in the prediction of lethal pulmonary hypoplasia secondary to mid-trimester prelabor rupture of fetal membranes. The authors concluded that the estimated ROC curves for the chest circumference/abdominal circumference ratio and other parameters showed limited accuracy in the prediction of pulmonary hypoplasia [92].

PPROM management

The management of PPROM requires an approach to balance the benefits of prolongation of the pregnancy against the risk of intra-amniotic infection and its consequences for the mother and infant [37], [97].

Antibiotics and probiotics

Identification of potentially modifiable risk factors and strategies, which are associated with successful prolongation of pregnancy, complicated by pre-viable PPROM and oligohydramnios, are needed for the improvement of treatment strategies [83]. Expectant management is applied to prolong the latency period of pregnancy, when leakage of fluid occurs as a complication of minimally-invasive fetoscopic surgery. Monitoring of initial signs of infection is necessary (maternal and fetal heart rate, maternal body temperature and laboratory findings), when procedure-related leakage occurs, but in general, leakage of amniotic fluid after a sterile invasive procedure is less likely to result in an obstetrical problem compared to spontaneous PPROM. Prolongation of pregnancy beyond completion 34 weeks of pregnancy to reduce the risk of neonatal complication and demise has been reported following procedure-related PPROM [73], [95], [98], [99], whereas labor induction is recommended following spontaneous PPROM after 34 weeks’ gestation.

Yudin et al. published recommendations of antibiotic therapy in PPROM in Canada (Society of Obstetricians and Gynaecologists [SOGC]) [100]. Following PPROM at ≤32 weeks’ gestation, antibiotics should be administered to women, who are not in labor, in order to prolong pregnancy and to decrease maternal and neonatal morbidity. The summary of the expectant management of PPROM is presented on Table 2

Table 2:

International guidelines of expectant management of PPROM.

OrganizationAntibioticsComment
ACOG (USA) [14]Penicillin
Ampicillin (alternative)
Erythromycin (up to 32% resistance)Not commended
ClindamycinOnly if the isolate is susceptible 04 sensitive
DGGG (Germany) [16]Penicillin G5 Mio. E. IV initial, then 2.5 Mio. E. IV 4 h until delivery
Mezlocillin, piperacillin, clindamycin, ampicillin,

erythromycin or cefazolin (alternative)
RANZCOG (Australia and New Zealand) [101], [102], [103]Ampicillin/amoxicillin and erythromycin (for PPROM ≤32 weeks)2 g IV 6 h and then 250 mg PO 8 h for 5 days; 250 mg PO 6 h for 48 h, then 500 mg PO 8 h for 5 days
Erythromycin (alternative single use)250 mg PO every 6 h for 10 days
IAP regime for GBS colonized women: penicillin or alternative ampicillin IV; with penicillin allergy clindamycin and erythromycin after sensitivity testing because of resistants! Alternative cefazolin or vancomycin (20 mg/kg IV every 8 h – maximum 2 g)
RCOG (UK) [104], [105]Penicillin
Erythromycin (may be used if allergic to penicillin)For 10 days
IAP regime for GBS colonized women: benzylpenicillin (3 g IV and 1.5 g 4-h until delivery) or clindamycin (900 mg IV 8-h) if allergic to penicillin; alternative vancomycin by resistant
SOGC (Canada) [100], [106]Ampicillin

and/or

erythromycin (alone if allergic to penicillin)
2 g IV every 6 h for 48 h and amoxicillin 250 mg PO every 8 h for 5 days

250 mg IV every 6 h for 48 h following by 333 mg PO every 8 h for 5 days or 250 mg PO every 6 h for 10 days
IAP regime for GBS colonized women:

penicillin G 5 million units IV, then 2.5 million 4 h instead of ampicillin

or

cefazolin (2 g IV then 1 g IV 8 h) if penicillin allergic but not at risk of anaphylaxis

or

erythromycin (500 mg IV every 6 h) or clindamycin (900 mg IV every 8 h) if penicillin allergic and at risk of anaphylactic shock

Lee et al. found that the combination of ceftriaxone, clarithromycin and metronidazole prolonged the latency period, reduced acute histologic chorioamnionitis/funisitis, and improved neonatal outcomes in patients with PPROM, especially with a intra-amniotic infection/inflammation assessing by positive amniotic fluid culture and/or an elevated amniotic fluid MMP-8 concentration (>23 ng/mL) [107], [108]. This antibiotic combination was also associated with a more successful eradication of intra-amniotic inflammation/infection and prevented secondary intra-amniotic inflammation/infection more frequently than an antibiotic regimen which included ampicillin and/or cephalosporins in patients with PPROM [108].

Along with expectant management and antenatal corticosteroids, broad-spectrum antibiotics are routinely used with relative limited success in mid-trimester PPROM to prevent bacteremia, chorioamnionitis and FIRS. The amniotic membranes and the umbilical cord do not have an effective capillary net and the antibiotic from the maternal circulation does not reach the bacteria which is colonized on the surfaces in sufficient concentrations (Figure 3). Unfortunately, fetal urine containing antibiotic leaves the amniotic cavity through membrane rupture too quickly and is therefore unable to eliminate the bacteria in the amniotic cavity (Figure 3) [14], [16], [18].

This seems redundant despite multiple studies showing a prolongation of pregnancy and reduction in neonatal morbidity, an analysis of children at age 7 years born to the 4148 women who had completed the ORACLE-1 trial after the prescription of erythromycin, with or without clavulanic acid, did not show any reduction in functional impairment and educational outcomes compared to the placebo group (38.3% vs. 40.4%) [109]. Neither antibiotic had a significant effect on the overall level of behavioral difficulties experienced, on specific medical conditions, or on the proportions of children achieving each level in reading, writing, or mathematics at key stage one. Antibiotics used for women in spontaneous preterm labour without overt infection, in contrast to those with PPROM, are associated with altered functional outcomes in their children at 7 ears of age but not on educational test scores and special needs at 11 years [110], [111].

Cousens et al. suggested that antibiotic treatment would decrease the complications of prematurity and post-natal infection in high-income settings. There is moderate quality evidence that, in low-income settings, where access to other interventions (antenatal steroids, surfactant therapy, ventilation, antibiotic therapy) may be low, antibiotics for PPROM could prevent 4% of neonatal deaths due to complications of prematurity and 8% of those due to infection [97].

Kenyon et al. published, that more children born to mothers without PPROM, who received erythromycin or amoxacillin clavulinic acid during pregnancy, developed cerebral palsy than did those born to mothers who did not receive erythromycin or amoxacillin clavulinic acid, respectively [erythromycin: 53 (3.3%) of 1611 vs. 27 (1.7%) of 1562, 1.93, 1.21–3.09; co-amoxacillin clavulinic acid: 50 (3.2%) of 1587 vs. 30 (1.9%) of 1586, 1.69, 1.07–2.67] [111]. Meeraus et al. also described the increased association between macrolide prescribed during pregnancy and increased risk of cerebral palsy or epilepsy (adj. HR 1.78, 95% CI 1.18–2.69; number needed to harm 153, 95% CI 71–671) [112].

Combs et al. [45] found, that compared with placebo, weekly 17-hydroxyprogesterone caproate injections did not prolong pregnancy or reduce perinatal morbidity in patients with PROM <30 (6/7) weeks’ gestation [78].

Placenta is a selective barrier which can protect the fetus from some foreign substances. Table 3 shows the significant amount of bioavailability among antibiotics. Some papers have discussed the minimum inhibitory effect to protect the fetus from sepsis. Infectious complications remain a major problem in obstetrical fields because of the inability to eradicate the colonization of bacteria.

Table 3:

Placental transfer of antibiotics.

AuthorYear of publicationAntibioticTransplacental transfer (%)Dosage/perfusion rateMethod
β-lactam group
 Müller et al. [113]2009Amoxicillin182 g IV initial, then 1 g IV/4 hPreterm human placenta
 Ozyuncu et al. [114]2010Cefixime37.6400 mg, 4×1Amniocentesis
 Hnat et al. [115]2005Meropenem25Ex vivo human placenta
Macrolides group
 Heikkinen et al. [116]2000Erythromycin32 μg/mLIn vitro term human placenta
 Heikkinen et al. [116]2000Roxithromycin4.32 μg/mLIn vitro term human placenta
 Heikkinen et al. [116]2000Azithromycin2.60.3 μg/mLIn vitro term human placenta
 Park et al. [117]2012Clarithromycin8500 mg, 2×1Preterm human placenta
Lincosamides group
 Muller et al. [113]2010ClindamycinToo low900 mg IV 3×1Preterm human placenta
Glycopeptides group
 Onwuchuruba et al. [118]2014Vancomycin91 g IV 2×1Preterm human placenta
Fluoroquinolones group
 Polachek et al. [119]2005Ciprofloxacin3.220 μg/mLIn vitro term human placenta
 Polachek et al. [119]2005Ofloxacin3.710 μg/mLIn vitro term human placenta
 Polachek et al. [119]2005Levofloxacin3.910 μg/mLIn vitro term human placenta
 Ozyuncu et al. [114]2010Levofloxacin15.67500 mg oral 4×1Amniocentesis
 Ozyuncu et al. [114]2010Moxifloxacin7.83400 mg oral 4×1Amniocentesis

Corticosteroids

Administration of corticosteroids for lung maturation is part of routine obstetrical practice for impending delivery <34 gestational weeks. The choice of therapy is a single injection of betamethasone (12 mg IV/IM 24 h apart) or dexamethasone (6 mg IV/IM for every 12 h) for two consecutive days. Although dexamethasone is characterized by a greater affinity to glucocorticoid receptors, betamethasone has a longer half-life [120]. Betamethasone is superior for the prevention of RDS in comparison to dexamethasone; but not for reduction of intraventricular hemorrhage [121]. The combined use of these two corticosteroids has not been tested. A single repeat rescue course of antenatal betamethasone, given after the first completion of the course to women with threatened preterm labour, reduces RDS and other short-term health problems, however, these effected are paralleled by the reduced birth weight [122], [123].

Tocolysis

Tocolytic agents can be an important intervention to prolong the latency period for at least the first 48 h of impending labor. This additional time allows for the full effects of lung maturation, following the administration of corticosteroids.

Every country has its own preferred therapy for tocolysis. In the USA, the calcium channel blocker (CCB), nifedipine, is considered as a first line tocolytic with fewer side effects and perhaps a better safety profile compared to other agents. The starting dose of nifedipine for tocolysis is 10 mg sublingually and repeated the same dose every 15 min for the first 1 h. The purpose of the low dose is to achieve a reduction in uterine contractions while minimizing the side effects of CCB such as headache (common), as well as rare side effects including maternal hypotension, orthostatic vertigo, non-reassuring fetal heat rate tracing and fetal death. The maintenance dose is 20 mg every 6–8 h a day with a maximal dose is 120–150 mg/day. Magnesium sulfate is also commonly used as a first line tocolysis therapy in the USA and a second line intervention in Japan. Magnesium is a competitive inhibitor for calcium influx into the cell membrane through the modulation of calcium uptake and the reduction of myosin light chain kinase activities. The American Congress of Obstetricians and Gynecologists (ACOG) recommends magnesium as neuroprotection of the fetus in pregnancy less than 32 weeks’ gestation. Dose recommendation for neuroprotection is 4 or 6 g as initial bolus during 20–30 min followed by 1–2 g hourly for a maintenance dose up to 24 h. Therapeutic dosing of tocolysis has different recommendation from one center to another. In Germany the magnesium therapy was excluded from the guidelines for the treatment of preterm labor [124].

The combination of CCB and magnesium sulfate (IV) could increase almost 4–5 times the risk of the development of maternal pulmonary edema.

The oxytocin receptor antagonist, atosiban, is the first line tocolytic in Germany. The administration of atosiban for 48 h has been shown to inhibit uterine contractions for about 7 days. β-mimetics, such as fenoterolhydrobromid, are also a first line therapy for the first 48 h (Germany). The most common side-effects are tachycardia, jitteriness, hyperglycemia, chest pain and shortness of breath. The recent Black Box warning, concerning the use of beta agonists by the FDA has substantially curtailed the use of these agents as a tocolytic in the USA.

Van Vliet et al. recently published, that in women with threatened preterm birth, 48 h of tocolysis with nifedipine or atosiban resulted in similar perinatal outcomes [125]. However, more cases of intrauterine fetal demise (IUFD) were registered in the nifidipine group (5% vs. 2% in the atosiban group; RR 2.20, 95% CI 0.91–5.33, n.s.).

Prostaglandin inhibitors (PGI), either non-selective, such as COX-1 and COX-2 inhibitors (indomethacin), or selective COX-2 inhibitors (celecoxib and rofecoxib), can be used as tocolytic agents. However, some authors have recommended that the use should be restricted to <32 weeks of gestation and for short-term unless there is ongoing monitoring of the AFI and flow in the ductus arteriosus by ultrasound.

Fetal membrane repair

Numerous attempts to seal the rupture of the membrane including the use of collagen or gelatin plugs, slurry of platelets/fibrinogens and also endoscopic closure of fetal membrane defects have been investigated [19], [33], [126], [127], [128], [129], [130].

The effect of 24 amniopatch procedures for iPPROM during 20.4 weeks of gestation (16.4–25.5), including intraamniotic injection of 15–30 mL of platelets, 15–30 mL fresh frozen plasma and in 18 cases of 100 mL of Hartmann solution, was analyzed by Richter et al. [130]. Complete success in sealing the rupture was observed only in seven cases. Eight (33%) patients were delivered before 24/0 weeks’ gestation. In only four cases the pregnancy was prolonged to 32 weeks’ gestation. The repeated amniopatch procedures also did not have complete success in this study. Two women developed sepsis with positive blood cultures for Escherichia coli. There were five cases of IUFD. In the group with iPPROM (13 cases), treated by the amniopatch, four of 13 fetuses survived. In the fetoscopic intervention group 13 out 18 fetuses survived the treatment.

Amniopatch was introduced by Quintero et al. in 1996 [128], [129]. The authors described that overall, re-sealing of membranes occurred in 8/12 (66%) patients, treated with an amniopatch. Fibrinous intra-amniotic bands developed in 5/10 (50%) of patients, treated with an interim amniopatch. The fibrinous bands were constricting an extremity or the umbilical cord of the fetus in all cases. Three infants were diagnosed with neurological morbidity, one with microcephaly, one with perisylvian syndrome. The third infant was removed from life support due to severe brain damage from prematurity [128]. But Deprest et al. reported that amniopatch has a more favorable safety profile following iPPROM and its use may be an option [131]. Chmait et al. were able to improve the neonatal outcome in patients with iPPROM combined with twin-to-twin transfusion syndrome within 15 days of laser surgery, using the aminopatch in almost two-thirds of cases [127]. We also used this method in PPROM patients after fetoscopic laser treatment in our center of fetal surgery 8 years ago without sufficient success.

The optimal management strategy, concerning retention of cervical cerclage after PPROM is controversial. In the case of chorioamnionitis, immediate delivery is inarguable, but the outcome of immediate delivery in EPD extreme premature delivery is often poor. Removal of the stitch following PPROM has been shown to significantly decrease the likelihood of remaining undelivered at 24 and 48 h ratio [odds ratio (OR) 6.27] but retention of the stitch is also associated with a slight increased risk of maternal chorioamnionitis (OR 1.78) [132]. There is no clear consensus on optimal management in this situation and the management must be tailored on a case by case basis.

The prolongation of pregnancy after PPROM (latency period) could be associated with a higher incidence of maternal and fetal infection [90], [97]. Pulmonary hypoplasia following previable PPROM which occurs before the embryologic development of a terminal gas exchange membrane is a concern especially in the setting of oligo/anhydramnion.

Drassinower et al. recently published, that prolonged exposure to an intrauterine environment of PPROM is an independent risk factor for adverse neurodevelopmental outcomes, associated with motor and mental Bayley scores of <70 [93].

Amnio-infusion techniques

Recently, additional treatment with amnioinfusion (AI) emerged as an option to prolong the latency period after the PPROM. The amnioinfision does not appear to increase the risk of FIRS and associated adverse neurodevelopmental outcomes (Figure 4) [66], [67], [68], [69], [70], [133]. Porat et al. suggested that serial transabdominal amnioinfusions for early PPROM may improve early PPROM-associated morbidity and mortality rates. Continuous amnioinfusion via a subcutaneously implanted port-system with an amniotic fluid-like hypotonic solution may work to “flush out” bacterial contaminates (Figure 4) (Tables 4 and 5) [67], [68], [70].

Figure 4: “Flush out” option: continuous amnio-infusion with hypotonic saline solution related to human amniotic fluid (100 mL/h, 2400 mL/day) via subcutaneously implanted perinatal port system.
Figure 4:

“Flush out” option: continuous amnio-infusion with hypotonic saline solution related to human amniotic fluid (100 mL/h, 2400 mL/day) via subcutaneously implanted perinatal port system.

Table 4:

Comparison of PPROM studies without certain days after PPROM for the exclusion criteria.

AuthorYear of publicationLatency (days)Mean week of PPROMMean week of deliveryMean of AIVolume infused (mL)IUFD and stillbirthLive born
1Tchirikov et al. [68]20134920 (14–26)29 (24–34)Continuous AI via port-system2000–2400 hypotonic amniotic fluid like solution16.7% (n=1/6) – refusal of resuscitation83.3% (n=5/6)
2Patkai et al. [134]201330.818.7±2.423.1±2.0ExpectantExpectant71.8% (n=56/78)28.2% (n=22/78)
  Patients with labor during first 48 h after PPROM or neonatal death 3 days after delivery were excluded for this study
3Kwak et al. [135]20133021.425.3150–200 saline; platelet concentrate; cryoprecipitate14.3% (n=1/7)85.7% (n=6/7)
4Chauleur et al. [73]200923.521+224+4ExpectantExpectant54% (n=7/13)46% (n=6/13)
5Tranquilli et al. [136]200521N/A27±4.5N/A250 saline100% (n=17/17)
6van der Heyden et al. [137]201316.821.924.3ExpectantExpectant31% (n=36/118)69.5% (n=82/118)
7Kwak et al. [135]20131422.324.4ExpectantExpectant9.1% (n=2/22)100% (n=23/23)
8Falk et al. [138]20041222–23N/AExpectantExpectant15% (n=3/20)85% (n=17/20)
9Tan et al. [139]20039.519N/A1.7200–400 saline64.7% (n=11/17)35.3% (n=6/17)
10Tranquilli et al. [136]20058N/A29.8±4.2ExpectantExpectant100% (n=17/17)
11Falk et al. [138]20048<20N/AExpectantExpectant66.7% (n=14/21)33.3 (n=7/21)
12Falk et al. [138]20044.520–21N/AExpectantExpectant81.3% (n=13/16)18.8% (n=3/16)
13Pristauz et al. [140]2008414+0 to 24+6N/AExpectantExpectant65% (n=46/71)35% (n=25/71)
14Verma et al. [141]20062.618–23N/AExpectantExpectant69.7% (n=46/66)30.3% (n=20/66)
15Newman et al. [142]2009N/A23–2724.5±4ExpectantExpectant18.2% (n=43/236)81.8% (n=193/236)
Table 5:

Comparison of studies with the minimal interval of 1 week after PPROM [9].

AuthorYear of publicationMinimal interval after PPROM as inclusion criteria (days)PPROM-delivery interval (days)Mean week of PPROMMean week of deliveryMean of AIVolume infused (mL)IUFD and stillbirthLive born
1Roberts et al. [143]2014≥10 days74.219.22±2.2129.82±4.33ExpectantExpectant39.3% (n=11/28)60.7% (n=17/28)
2Robers et al. [144]2014≥10 days64.6819.21±2.0028.45±4.43190–285 saline17.9% (n=5/28)82.1% (n=23/28)
3Locatelli et al. [145]2006≥4 days62.318.927.93190–280 saline42.9% (n=15/35)57.1% (n=20/35)
4Shah et al. [146]2011≥14 days53±32.219.3±2.827.8±5.3ExpectantExpectant23% (n=6/26)77% (n=20/26)
5Hsu et al. [147]2009≥4 days46.9+9.623.2 (first AI)29.91.33358.6 saline23.8% (n=5/21)76.2% (n=16/21)
6Williams et al. [148]2009≥14 days46.321.728.8ExpectantExpectant26.1% (n=6/23)73.9% (n=17/23)
7Santis et al. [149]2003≥7 days41.6±29.720.1±2.826.0±4.04.0±8.9208.0±89.4 saline35.1% (n=13/37)64.8% (n=24/37)
8Santis et al. [149]2003≥7 days18.2±15.119.8±3.222.4±3.7ExpectantExpectant67.7% (n=23/34)32.3% (n=11/34)
9Williams et al. [150]2012≥14 days2922.429ExpectantExpectantN/A100% (n=18/18)

Tranquilli et al. reported that serial transabdominal AI could prolong the latency period to a median of 21 days [136]. De Santis et al. reported that the patients with PPROM did not appear to demonstrate any benefit from this repetitive AF replacement (250 mL per intervention) as measured by post procedure AFI because fluid loss occurred within 6 h of instillation [136], [149]. Locatelli et al. found that the serial AI could improve the neonatal outcome primarily by prolonging latency [145], [151]. The patients with PPROM and oligohydramnios had a significantly shorter interval to delivery, lower neonatal survival of 20%, 62% of pulmonary hypoplasia and 60% rate of neurological handicap.

Roberts et al. concluded that serial transabdominal amnioinfusions showed no significant difference in the outcome of maternal and perinatal outcome. The perinatal mortality was 19/28 vs. 19/28. The positive fetal survival effect of serial AI was unfortunately counterbalanced by an increased risk of neonatal death: 14 neonates died in the AI group vs. nine in control group [9], [143]. It is possible that their choice of saline solution [pH is 5.0 (4.5–7.0) with 9 g/L NaCl with an osmolarity of 308 mOsmol/L] for AI was inappropriate due to its large deviations from normal human amniotic fluid. The use of solutions with higher sodium chloride level could change fetal programming. Secondly, fetal skin is still very permeable to the change of amniotic fluid electrolyte concentrations. Third, accumulation of sodium and chloride would disturb the sodium potassium pump located in plasma membrane of human cells and could be influencing organs’ performance, e.g. cardiac, lung and brain. These adverse effects of the instillation fluid could explain the high mortality rate after AI in this study. Moreover, repetitive puncture in the AI method would increase the risk of separation of amniotic membrane from the uterus, abruption of the placenta, and injured umbilical cord causing a trauma to the fetus. A new trial with intraamniotic Ringers lactate instillation in PPROM patients with oligohydramnios has been started 2014 in the Netherlands (NTR3492 Dutch Trial Register [152]).

Transcervical amnioinfusion and cerclage has been shown to increase the risks of ascending infection and mechanical damage to the fetus, including the amniotic sac structures, after the occurrence of PPROM [132].

“Flush out” method for the treatment of classic PPROM

The continuous long-time amnio-infusion through a subcutaneously implanted port system is a method to establish a chronic lavage of the amniotic cavity (Figure 4) [66], [67], [68]. A subcutaneous pouch for the port capsule is prepared under local anesthesia. The catheter is inserted through a needle into the amniotic cavity under guided ultrasonography control. The port capsule is then connected with the catheter and then inserted into the prepared pouch. The skin is closed and the port capsule is punctured transcutaneously by 25-gauge needle connected to the infusion system containing the hypo-osmotic saline solution like human amniotic fluid: [Na 143.8 (mmol/L), K 3.9 mmol/L, Ca 1.9 mmol/L, Mg 0.57 mmol/L, Cl 109.5 mmol/L, P 3.3 mg/dL, lactate 9.1 mmol/L, citrate 66.5 mg/dL, HCO 16.9 mmol/L, Cu 16 μg/dL, Se <13.3 μg/dL, Zn 10–24 μg/dL, pH 8.35, osmolality <271 [66], [67], [68].

The use of normal saline solutions for the long-time continuous amnioinfusion has been shown to be associated with adverse effects for the mothers and probably for the fetuses because of fetal overload with salts and flush out of trace elements and other components of amniotic fluid [68]. Gilbert and Brace published that the fetus swallows 200–250 mL/kg/day of amniotic fluid [153]. Continuous amnioinfusion with normal saline solution significantly increased plasma Na+ and Cl concentrations in fetal sheep [154].

We call the effect in Germany the “Salzgurken” effect, which could occur with increased risk of damage of fetal kidneys, skin, eyes and bronchio-pulmonary system, inducing epigenetic changes due to DNA methylation resulting in the development of chronic diseases such as arterial hypertonia, asthma, skin, eczema, etc.

After changing to a hypo-osmotic saline solution, similar to natural human amniotic fluid, we have not observed any reactions similar to these previously reported adverse effects. Preliminary retrospective studies have shown that continuous AI of hypotonic solution (2400 mL/day or 100 mL/h) through the port system in humans with both PPROM and oligo/anhydramnion during the 2nd trimester is effective in the prolongation of the latency period to 49 days (range 9–69 days) on average, prevention of lung hypoplasia and reduction of neonatal septicemia. Continuous lavage prevents the development of chorioamnionitis in most cases [67], [68] (Figure 4). The described “Continuous amnio-infusion via a subcutaneously implanted port-system” – the “flush out” method was included into the “International classification of procedures in medicine” for the treatment of PPROM: OPS 2013, Nr. 5-754.7 [155].

The prospective international randomized multicenter study, including “flush out” with the port-system, in 24 PPROM patients with oligo/anhydramnion between 22/0 and 27/6 weeks’ gestation vs. control is expected to be finished by the end of 2018 [156].

Irrigation and debridement plays an important role in the management of contaminated wounds and the body’s cavities and has been practiced for several centuries. In fact, antibiotic administration without evacuating pus formation could increase the rate of multi-resistant bacteria [21]. The intra-amniotic application of an antibiotic targeted to the colonized bacteria combined with “flush out” amnio-infusion via a port-system could also work in some cases [67]. The influence of this kind of therapy on the fetal development and processes of fetal programming must be investigated in future prospective randomized studies.

We had some positive experience with combination of “flush out” port-method with daily intra-amniotic surfactant-application in cases <26/0 weeks’ gestational age in PPROM patients with anhydramnion. The cost problem of this treatment has been previously discussed [68].

Recommendations

The primary first step in the management of PPROM is to correctly identify the type of PPROM (clinical investigation and immunoassay of vaginal fluid).

Classic PPROM with oligo/anhydramnios should be clearly distinguished from the “high” PPROM or pre-PPROM (clinical investigation, sonography, immunoassay and, if indicated, indigo carmine-amnio-dye tampon) test.

After clinical assessment, a management strategy should be developed, which will clarify the question, whether to prolong the pregnancy vs. delivery because of signs of chorioamnionitis and/or FIRS.

The short-term benefit of conservative management of PPROM with antenatal corticoids and maternal systemic antibiotic treatment are well established. Corticosteroids administration for the lung maturation between 24/0 (23/0) and 34/0 weeks’ gestation is the gold standard.

First line of antibiotic therapy is a lactam group and macrolides, erythromycin or clarithromycin (see the North-American recommendations ACOG (USA) and SOGC (Canada) (Table 2). However, the very low trans-placental transfer of erythromycin should be evaluated in future studies. Probably, the best choice will be a combination of antibiotics. The antibiotic therapy perhaps should be tailored to address the results of amniotic fluid and/or cervical smear bacteriologic investigation and the presence of bacterial resistance.

Tocolysis may be an option for initial treatment, at least to allow completion of course of corticosteroids for RDS prevention.

Neuroprotection with magnesium sulfate approximately 24–32/0 weeks could be considered.

Close monitoring for signs of chorioamnionitis (CRP, leucocytes, IL-6, procalcitonine, temperature, CTG, in some cases amniotic fluid examinations) is necessary to avoid neonatal and maternal complications, associated with infection.

The repetitive or continuous intra-amniotic infusion of any saline solutions, which are sufficiently differ from physiologic amniotic fluid, could irreversibly change the fetal programming and/or damage some fetal organs, especially the fetal kidney, skin, eyes, gut and bronchopulmonary system. We would avoid the use of solutions, which deviate from the composition of human amniotic fluid. The positive effect of continuous amnio-infusion “flush out” method through the subcutaneously implanted perinatal port system with amniotic fluid-like hypo-osmotic solution in “classic PPROM” <28/0 weeks’ gestation with oligo/anhydramnion shows promise, but must be proved in future prospective randomized studies before it can be recommended as part of the standard of care treatments for classic PPROM [156]. Similarly, the combination of the “flush out” method with intra-amniotic applications of antibiotic and/or surfactant needs to be proved in future clinical trials before it can be recommended for the wider clinical use.

Lastly, women who experience PPROM should be informed that they are at higher risk of a similar complication in a subsequent pregnancy and that early initiation of prenatal care in future pregnancies could reduce the risk of another preterm delivery.


Corresponding author: Michael Tchirikov, MD, PhD, Prof. Department of Obstetrics and Prenatal Medicine, Center of Fetal Surgery, Martin Luther University of Halle-Wittenberg, Ernst-Grube Strasse 40, 06120 Halle (Saale), Germany, Tel.: +49-345 - 557 3250, Fax: +49-345 - 557 3251

Acknowledgment

The authors are thankful to Ms. Melissa Waggoner (TTUHSC, USA) for her help with the manuscript editing. Funders: Center of Fetal Surgery, Martin Luther University of Halle-Wittenberg, Germany and RSF Grant 15-15-00137.

  1. Author’s statement

  2. Conflict of interest: Authors state no conflict of interest.

  3. Material and methods: Informed consent: Informed consent has been obtained from all individuals included in this study.

  4. Ethical approval: The research related to human subject use has complied with all the relevant national regulations, and institutional policies, and is in accordance with the tenets of the Helsinki Declaration, and has been approved by the authors’ institutional review board or equivalent committee.

References

[1] March of Dimes, PMNCH, Save the Children, WHO. Born Too Soon: The Global Action Report on Preterm Birth. Geneva: World Health Organization; 2012 [cited 2016 Dec 11]. Available from: http://www.who.int/pmnch/media/news/2012/201204_borntoosoon-report.pdf.Search in Google Scholar

[2] Parry S, Strauss JF. Premature rupture of the fetal membranes. N Engl J Med. 1998;338:663–70.10.1056/NEJM199803053381006Search in Google Scholar

[3] Waters TP, Mercer BM. The management of preterm premature rupture of the membranes near the limit of fetal viability. Am J Obstet Gynecol. 2009;201:230–40.10.1016/j.ajog.2009.06.049Search in Google Scholar

[4] Crane JMG, Magee LA, Lee T, Synnes A, von Dadelszen P, Dahlgren L, et al. Maternal and perinatal outcomes of pregnancies delivered at 23 weeks’ gestation. J Obstet Gynaecol Can. 2015;37:214–24.10.1016/S1701-2163(15)30307-8Search in Google Scholar

[5] Goldenberg RL, Culhane JF, Iams JD, Romero R. Epidemiology and causes of preterm birth. Lancet. 2008;371:75–84.10.1016/S0140-6736(08)60074-4Search in Google Scholar

[6] Mercer BM. Preterm premature rupture of the membranes. Obstet Gynecol. 2003;101:178–93.Search in Google Scholar

[7] Manuck TA, Varner MW. Neonatal and early childhood outcomes following early vs. later preterm premature rupture of membranes. Am J Obstet Gynecol. 2014;211:308.e1-6.10.1016/j.ajog.2014.05.030Search in Google Scholar

[8] Soylu H, Jefferies A, Diambomba Y, Windrim R, Shah PS. Rupture of membranes before the age of viability and birth after the age of viability: comparison of outcomes in a matched cohort study. J Perinatol. 2010;30:645–9.10.1038/jp.2010.11Search in Google Scholar

[9] Malak TM, Ockleford CD, Bell SC, Dalgleish R, Bright N, Macvicar J. Confocal immunofluorescence localization of collagen types I, III, IV, V and VI and their ultrastructural organization in term human fetal membranes. Placenta. 1993;14:385–406.10.1016/S0143-4004(05)80460-6Search in Google Scholar

[10] Benirschke K, Burton GJ, Baergen RN. Pathology of the Human Placenta. 6th ed. Berlin, Heidelberg: Springer Berlin Heidelberg; 2012.10.1007/978-3-642-23941-0Search in Google Scholar

[11] Boyd JD, Hamilton WJ. The human placenta: Heffer; 1970. Available from: https://books.google.de/books?id=dKtqAAAAMAAJ.10.1007/978-1-349-02807-8Search in Google Scholar

[12] Bromley B, Shipp TD, Benacerraf BR. Amnion-chorion separation after 17 weeks’ gestation. Obstet Gynecol. 1999;94:1024–6.10.1016/S0029-7844(99)00457-3Search in Google Scholar

[13] Adzick NS, Thom EA, Spong CY, Brock JW, Burrows PK, Johnson MP, et al. A randomized trial of prenatal versus postnatal repair of myelomeningocele. N Engl J Med. 2011;364:993–1004.10.1056/NEJMoa1014379Search in Google Scholar

[14] American College of Obstetricians and Gynecologists Committee on Obstetric Practice. ACOG Committee Opinion No. 485: Prevention of early-onset group B streptococcal disease in newborns. Obstet Gynecol. 2011;117:1019–27.10.1097/AOG.0b013e318219229bSearch in Google Scholar

[15] Lannon SMR, Vanderhoeven JP, Eschenbach DA, Gravett MG, Adams Waldorf KM. Synergy and interactions among biological pathways leading to preterm premature rupture of membranes. Reprod Sci. 2014;21:1215–27.10.1177/1933719114534535Search in Google Scholar

[16] Deutsche Gesellschaft für Gynäkologie und Geburtshilfe (DGGG), Ragosch V, Dudenhausen W, Grauel L, Schneider K, Vetter K, et al. Empfehlungen zum Vorgehen beim vorzeitigen Blasensprung; 2006 [cited 2016 Dec 11]. Available from: http://www.awmf.org/uploads/tx_szleitlinien/015-029_S1_Empfehlungen_zum_Vorgehen_beim_vorzeitigen_Blasensprung_06-2006_06-2011_01.pdf.Search in Google Scholar

[17] Adekola H, Gill N, Sakr S, Hobson D, Bryant D, Abramowicz JS, et al. Outcomes following intra-amniotic instillation with indigo carmine to diagnose prelabor rupture of membranes in singleton pregnancies: a single center experience. J Matern Fetal Neonatal Med. 2016;29:544–9.10.3109/14767058.2015.1015982Search in Google Scholar

[18] van Adama Scheltema PN, In’t Anker PS, Vereecken A, Vandenbussche FPHA, Deprest JA, Devlieger R. Biochemical composition of fluids for amnioinfusion during fetoscopy. Gynecol Obstet Invest. 2008;66:227–30.10.1159/000147168Search in Google Scholar

[19] Quintero RA, Morales WJ, Kalter CS, Allen M, Mendoza G, Angel JL, et al. Transabdominal intra-amniotic endoscopic assessment of previable premature rupture of membranes. Am J Obstet Gynecol. 1998;179:71–6.10.1016/S0002-9378(98)70252-2Search in Google Scholar

[20] Beckmann MW, Wiegratz I, Dereser MM, Baier P, Born HJ. Diagnostik des Blasensprungs: Vergleich des vaginalen Nachweises von fetalem Fibronectin und der intraamnialen Injektion von Indigo Carmine. Geburtshilfe Frauenheilk. 1993;53:86–91.10.1055/s-2007-1023643Search in Google Scholar PubMed

[21] Akolekar R, Beta J, Picciarelli G, Ogilvie C, D’Antonio F. Procedure-related risk of miscarriage following amniocentesis and chorionic villus sampling: a systematic review and meta-analysis. Ultrasound Obstet Gynecol. 2015;45:16–26.10.1097/OGX.0000000000000214Search in Google Scholar

[22] Souza ASR, Patriota AF, Guerra GVDQL, Melo BCPD. Evaluation of perinatal outcomes in pregnant women with preterm premature rupture of membranes. Rev Assoc Med Bras (1992). 2016;62:269–75.10.1590/1806-9282.62.03.269Search in Google Scholar PubMed

[23] Malak TM, Bell SC. Structural characteristics of term human fetal membranes: a novel zone of extreme morphological alteration within the rupture site. Br J Obstet Gynaecol. 1994;101:375–86.10.1111/j.1471-0528.1994.tb11908.xSearch in Google Scholar PubMed

[24] Maymon E, Romero R, Pacora P, Gervasi MT, Bianco K, Ghezzi F, et al. Evidence for the participation of interstitial collagenase (matrix metalloproteinase 1) in preterm premature rupture of membranes. Am J Obstet Gynecol. 2000;183:914–20.10.1067/mob.2000.108879Search in Google Scholar

[25] Maymon E, Romero R, Pacora P, Gomez R, Athayde N, Edwin S, et al. Human neutrophil collagenase (matrix metalloproteinase 8) in parturition, premature rupture of the membranes, and intrauterine infection. Am J Obstet Gynecol. 2000;183:94–9.10.1016/S0002-9378(00)99072-0Search in Google Scholar

[26] Athayde N, Edwin SS, Romero R, Gomez R, Maymon E, Pacora P, et al. A role for matrix metalloproteinase-9 in spontaneous rupture of the fetal membranes. Am J Obstet Gynecol. 1998;179:1248–53.10.1016/S0002-9378(98)70141-3Search in Google Scholar

[27] Maymon E, Romero R, Pacora P, Gervasi MT, Gomez R, Edwin SS, et al. Evidence of in vivo differential bioavailability of the active forms of matrix metalloproteinases 9 and 2 in parturition, spontaneous rupture of membranes, and intra-amniotic infection. Am J Obstet Gynecol. 2000;183:887–94.10.1067/mob.2000.108878Search in Google Scholar

[28] Helmig BR, Romero R, Espinoza J, Chaiworapongsa T, Bujold E, Gomez R, et al. Neutrophil elastase and secretory leukocyte protease inhibitor in prelabor rupture of membranes, parturition and intra-amniotic infection. J Matern Fetal Neonatal Med. 2002;12:237–46.10.1080/jmf.12.4.237.246Search in Google Scholar

[29] Romero R, Chaiworapongsa T, Espinoza J, Gomez R, Yoon BH, Edwin S, et al. Fetal plasma MMP-9 concentrations are elevated in preterm premature rupture of the membranes. Am J Obstet Gynecol. 2002;187:1125–30.10.1067/mob.2002.127312Search in Google Scholar

[30] Vadillo-Ortega F, Estrada-Gutierrez G. Role of matrix metalloproteinases in preterm labour. Br J Obstet Gynaecol. 2005;112(Suppl 1):19–22.10.1111/j.1471-0528.2005.00579.xSearch in Google Scholar

[31] Romero R, Manogue KR, Mitchell MD, Wu YK, Oyarzun E, Hobbins JC, et al. Infection and labor. IV. Cachectin-tumor necrosis factor in the amniotic fluid of women with intraamniotic infection and preterm labor. Am J Obstet Gynecol. 1989;161:336–41.10.1016/0020-7292(90)91071-WSearch in Google Scholar

[32] Romero R, Maymon E, Pacora P, Gomez R, Mazor M, Yoon BH, et al. Further observations on the fetal inflammatory response syndrome: a potential homeostatic role for the soluble receptors of tumor necrosis factor alpha. Am J Obstet Gynecol. 2000;183:1070–7.10.1067/mob.2000.108885Search in Google Scholar PubMed

[33] Gratacos E, Sanin-Blair J, Lewi L, Toran N, Verbist G, Cabero L, et al. A histological study of fetoscopic membrane defects to document membrane healing. Placenta. 2006;27:452–6.10.1016/j.placenta.2005.03.008Search in Google Scholar PubMed

[34] Yu H, Wang X, Gao H, You Y, Xing A. Perinatal outcomes of pregnancies complicated by preterm premature rupture of the membranes before 34 weeks of gestation in a tertiary center in China: a retrospective review. Biosci Trends. 2015;9:35–41.10.5582/bst.2014.01058Search in Google Scholar PubMed

[35] DiGiulio DB, Romero R, Kusanovic JP, Gomez R, Kim CJ, Seok KS, et al. Prevalence and diversity of microbes in the amniotic fluid, the fetal inflammatory response, and pregnancy outcome in women with preterm pre-labor rupture of membranes. Am J Reprod Immunol. 2010;64:38–57.10.1111/j.1600-0897.2010.00830.xSearch in Google Scholar PubMed PubMed Central

[36] Kacerovsky M, Vrbacky F, Kutova R, Pliskova L, Andrys C, Musilova I, et al. Cervical microbiota in women with preterm prelabor rupture of membranes. PLoS One. 2015;10:e0126884.10.1371/journal.pone.0126884Search in Google Scholar PubMed PubMed Central

[37] Romero R, Miranda J, Chaemsaithong P, Chaiworapongsa T, Kusanovic JP, Dong Z, et al. Sterile and microbial-associated intra-amniotic inflammation in preterm prelabor rupture of membranes. J Matern Fetal Neonatal Med. 2015;28: 1394–409.10.3109/14767058.2014.958463Search in Google Scholar PubMed PubMed Central

[38] Gervasi M-T, Romero R, Bracalente G, Chaiworapongsa T, Erez O, Dong Z, et al. Viral invasion of the amniotic cavity (VIAC) in the midtrimester of pregnancy. J Matern Fetal Neonatal Med. 2012;25:2002–13.10.3109/14767058.2012.683899Search in Google Scholar PubMed PubMed Central

[39] Schlabritz-Loutsevitch N, Gygax SE, Dick E, Jr, Smith WL, Snider C, Hubbard G, et al. Vaginal dysbiosis from an evolutionary perspective. Sci Rep. 2016;6:26817.10.1038/srep26817Search in Google Scholar PubMed PubMed Central

[40] Kasper DC, Mechtler TP, Bohm J, Petricevic L, Gleiss A, Spergser J, et al. In utero exposure to Ureaplasma spp. is associated with increased rate of bronchopulmonary dysplasia and intraventricular hemorrhage in preterm infants. J Perinat Med. 2011;39:331–6.10.1515/jpm.2011.022Search in Google Scholar PubMed

[41] Oh KJ, Lee SE, Jung H, Kim G, Romero R, Yoon BH. Detection of ureaplasmas by the polymerase chain reaction in the amniotic fluid of patients with cervical insufficiency. J Perinat Med. 2010;38:261–8.10.1515/jpm.2010.040Search in Google Scholar PubMed PubMed Central

[42] DiGiulio DB, Romero R, Amogan HP, Kusanovic JP, Bik EM, Gotsch F, et al. Microbial prevalence, diversity and abundance in amniotic fluid during preterm labor: a molecular and culture-based investigation. PLoS One. 2008;3:e3056.10.1371/journal.pone.0003056Search in Google Scholar PubMed PubMed Central

[43] Baldwin EA, Walther-Antonio M, MacLean AM, Gohl DM, Beckman KB, Chen J, et al. Persistent microbial dysbiosis in preterm premature rupture of membranes from onset until delivery. PeerJ 2015;3:e1398.10.7717/peerj.1398Search in Google Scholar PubMed PubMed Central

[44] Beck V, Lewi P, Gucciardo L, Devlieger R. Preterm prelabor rupture of membranes and fetal survival after minimally invasive fetal surgery: a systematic review of the literature. Fetal Diagn Ther. 2012;31:1–9.10.1159/000331165Search in Google Scholar PubMed

[45] George RB, Kalich J, Yonish B, Murtha AP. Apoptosis in the chorion of fetal membranes in preterm premature rupture of membranes. Am J Perinatol. 2008;25:29–32.10.1055/s-2007-1004828Search in Google Scholar PubMed

[46] Dutta EH, Behnia F, Boldogh I, Saade GR, Taylor BD, Kacerovsky M, et al. Oxidative stress damage-associated molecular signaling pathways differentiate spontaneous preterm birth and preterm premature rupture of the membranes. Mol Hum Reprod. 2016;22:143–57.10.1093/molehr/gav074Search in Google Scholar PubMed

[47] Stepan M, Cobo T, Musilova I, Hornychova H, Jacobsson B, Kacerovsky M. Maternal serum C-reactive protein in women with preterm prelabor rupture of membranes. PLoS One. 2016;11:e0150217.10.1371/journal.pone.0150217Search in Google Scholar PubMed PubMed Central

[48] Kumar D, Moore RM, Mercer BM, Mansour JM, Redline RW, Moore JJ. The physiology of fetal membrane weakening and rupture: insights gained from the determination of physical properties revisited. Placenta. 2016;42:59–73.10.1016/j.placenta.2016.03.015Search in Google Scholar PubMed

[49] Joyce EM, Moore JJ, Sacks MS. Biomechanics of the fetal membrane prior to mechanical failure: review and implications. Eur J Obstet Gynecol Reprod Biol. 2009;144(Suppl 1):S121–7.10.1016/j.ejogrb.2009.02.014Search in Google Scholar PubMed PubMed Central

[50] Moore RM, Redline RW, Kumar D, Mercer BM, Mansour JM, Yohannes E, et al. Differential expression of fibulin family proteins in the para-cervical weak zone and other areas of human fetal membranes. Placenta. 2009;30:335–41.10.1016/j.placenta.2009.01.007Search in Google Scholar PubMed PubMed Central

[51] Capece A, Vasieva O, Meher S, Alfirevic Z, Alfirevic A. Pathway analysis of genetic factors associated with spontaneous preterm birth and pre-labor preterm rupture of membranes. PLoS One. 2014;9:e108578.10.1371/journal.pone.0108578Search in Google Scholar PubMed PubMed Central

[52] Romero R, Friel LA, Velez Edwards DR, Kusanovic JP, Hassan SS, Mazaki-Tovi S, et al. A genetic association study of maternal and fetal candidate genes that predispose to preterm prelabor rupture of membranes (PROM). Am J Obstet Gynecol. 2010;203:361.e1–30.10.1016/j.ajog.2010.05.026Search in Google Scholar PubMed PubMed Central

[53] Fujimoto T, Parry S, Urbanek M, Sammel M, Macones G, Kuivaniemi H, et al. A single nucleotide polymorphism in the matrix metalloproteinase-1 (MMP-1) promoter influences amnion cell MMP-1 expression and risk for preterm premature rupture of the fetal membranes. J Biol Chem. 2002;277: 6296–302.10.1074/jbc.M107865200Search in Google Scholar PubMed

[54] Strauss JF. Extracellular matrix dynamics and fetal membrane rupture. Reprod Sci. 2013;20:140–53.10.1177/1933719111424454Search in Google Scholar

[55] Ferrand PE, Parry S, Sammel M, Macones GA, Kuivaniemi H, Romero R, et al. A polymorphism in the matrix metalloproteinase-9 promoter is associated with increased risk of preterm premature rupture of membranes in African Americans. Mol Hum Reprod. 2002;8:494–501.10.1093/molehr/8.5.494Search in Google Scholar

[56] Wang H, Sammel MD, Tromp G, Gotsch F, Halder I, Shriver MD, et al. A 12-bp deletion in the 5″-flanking region of the SERPINH1 gene affects promoter activity and protects against preterm premature rupture of membranes in African Americans. Hum Mutat. 2008;29:332.10.1002/humu.9522Search in Google Scholar

[57] Wang H, Parry S, Macones G, Sammel MD, Kuivaniemi H, Tromp G, et al. A functional SNP in the promoter of the SERPINH1 gene increases risk of preterm premature rupture of membranes in African Americans. Proc Natl Acad Sci USA. 2006;103:13463–7.10.1073/pnas.0603676103Search in Google Scholar

[58] Wang H, Ogawa M, Wood JR, Bartolomei MS, Sammel MD, Kusanovic JP, et al. Genetic and epigenetic mechanisms combine to control MMP1 expression and its association with preterm premature rupture of membranes. Hum Mol Genet. 2008;17:1087–96.10.1093/hmg/ddm381Search in Google Scholar

[59] Steele MW, Breg WR. Chromosome analysis of human amniotic-fluid cells. Lancet. 1966;1:383–5.10.1016/S0140-6736(66)91387-0Search in Google Scholar

[60] The Canadian Early and Mid-Trimester Amniocentesis Trial (CEMAT) Group. Randomised trial to assess safety and fetal outcome of early and midtrimester amniocentesis. The Canadian Early and Mid-trimester Amniocentesis Trial (CEMAT) Group. Lancet. 1998;351:242–7.10.1016/S0140-6736(97)12346-7Search in Google Scholar

[61] Eddleman KA, Malone FD, Sullivan L, Dukes K, Berkowitz RL, Kharbutli Y, et al. Pregnancy loss rates after midtrimester amniocentesis. Obstet Gynecol. 2006;108:1067–72.10.1097/01.AOG.0000240135.13594.07Search in Google Scholar

[62] Tabor A, Philip J, Madsen M, Bang J, Obel EB, Norgaard-Pedersen B. Randomised controlled trial of genetic amniocentesis in 4606 low-risk women. Lancet. 1986;1:1287–93.10.1016/S0140-6736(86)91218-3Search in Google Scholar

[63] Corrado F, Cannata ML, La Galia T, Magliarditi M, Imbruglia L, D’anna R, et al. Pregnancy outcome following mid-trimester amniocentesis. J Obstet Gynaecol. 2012;32:117–9.10.3109/01443615.2011.633717Search in Google Scholar PubMed

[64] Enzensberger C, Pulvermacher C, Degenhardt J, Kawacki A, Germer U, Gembruch U, et al. Fetal loss rate and associated risk factors after amniocentesis, chorionic villus sampling and fetal blood sampling. Ultraschall Med. 2012;33:E75–9.10.1055/s-0031-1299388Search in Google Scholar PubMed

[65] Margioula-Siarkou C, Karkanaki A, Kalogiannidis I, Petousis S, Dagklis T, Mavromatidis G, et al. Operator experience reduces the risk of second trimester amniocentesis-related adverse outcomes. Eur J Obstet Gynecol Reprod Biol. 2013;169:230–3.10.1016/j.ejogrb.2013.03.027Search in Google Scholar PubMed

[66] Tchirikov M, Oshovskyy V, Steetskamp J, Falkert A, Huber G, Entezami M. Neonatal outcome using ultrathin fetoscope for laser coagulation in twin-to-twin-transfusion syndrome. J Perinat Med. 2011;39:725–30.10.1515/jpm.2011.091Search in Google Scholar PubMed

[67] Tchirikov M, Zhumadilov Z, Winarno AS, Haase R, Buchmann J. Treatment of preterm premature rupture of membranes with oligo-/anhydramnion colonized by multiresistant bacteria with continuous amnioinfusion and antibiotic administrations through a subcutaneously implanted intrauterine port system: a case report. Fetal Diagn Ther. 2015. DOI: 10.1159/000438483.10.1159/000438483Search in Google Scholar PubMed

[68] Tchirikov M, Bapayeva G, Zhumadilov ZS, Dridi Y, Harnisch R, Herrmann A. Treatment of PPROM with anhydramnion in humans: first experience with different amniotic fluid substitutes for continuous amnioinfusion through a subcutaneously implanted port system. J Perinat Med. 2013;41:657–63.10.1515/jpm-2012-0296Search in Google Scholar PubMed

[69] Tchirikov M. Aktueller Stand der Behandlung des feto-fetalen Transfusionssyndoms. Gynäkol Prax. 2015;39:215–28.Search in Google Scholar

[70] Steger F, Tchirikov M, Ehm S, editors. Pränatale Diagnostik und Therapie in Ethik, Medizin und Recht. Berlin Germany: Springer; 2014. Available from: http://link.springer.com/book/10.1007/978-3-642-45255-0.10.1007/978-3-642-45255-0Search in Google Scholar

[71] Devlieger R, Millar LK, Bryant-Greenwood G, Lewi L, Deprest JA. Fetal membrane healing after spontaneous and iatrogenic membrane rupture: a review of current evidence. Am J Obstet Gynecol. 2006;195:1512–20.10.1016/j.ajog.2006.01.074Search in Google Scholar PubMed PubMed Central

[72] Petersen SG, Gibbons KS, Luks FI, Lewi L, Diemert A, Hecher K, et al. The impact of entry technique and access diameter on prelabour rupture of membranes following primary fetoscopic laser treatment for twin-twin transfusion syndrome. Fetal Diagn Ther. 2016;40:100–9.10.1159/000441915Search in Google Scholar PubMed

[73] Chauleur C, Rochigneux S, Seffert P, Chene G, Billiemaz K, Collet F. Neonatal outcomes and four-year follow-up after spontaneous or iatrogenic preterm prelabor rupture of membranes before 24 weeks. Acta Obstet Gynecol Scand. 2009;88:801–6.10.1080/00016340902971433Search in Google Scholar PubMed

[74] Sosa CG, Herrera E, Restrepo JC, Strauss A, Alonso J. Comparison of placental alpha microglobulin-1 in vaginal fluid with intra-amniotic injection of indigo carmine for the diagnosis of rupture of membranes. J Perinat Med. 2014;42:611–6.10.1515/jpm-2013-0245Search in Google Scholar PubMed

[75] Eleje GU, Ezugwu EC, Eke AC, Ikechebelu JI, Obiora CC, Ojiegbe NO, et al. Comparison of the duo of insulin-like growth factor binding protein-1/alpha fetoprotein (Amnioquick duo+(R)) and traditional clinical assessment for diagnosing premature rupture of fetal membranes. J Perinat Med. 2017;45:105–12.10.1515/jpm-2016-0204Search in Google Scholar PubMed

[76] Caughey AB, Robinson JN, Norwitz ER. Contemporary diagnosis and management of preterm premature rupture of membranes. Rev Obstet Gynecol. 2008; 1:11–22.Search in Google Scholar

[77] Dorfeuille N, Morin V, Tetu A, Demers S, Laforest G, Gouin K, et al. Vaginal fluid inflammatory biomarkers and the risk of adverse neonatal outcomes in women with PPROM. Am J Perinatol. 2016;33:1003–7.10.1055/s-0036-1582130Search in Google Scholar PubMed

[78] Combs CA, Garite TJ, Maurel K, Abril D, Das A, Clewell W, et al. 17-hydroxyprogesterone caproate for preterm rupture of the membranes: a multicenter, randomized, double-blind, placebo-controlled trial. Am J Obstet Gynecol. 2015;213:364.e1–12.10.1016/j.ajog.2015.05.009Search in Google Scholar PubMed

[79] Lee SM, Romero R, Park JS, Chaemsaithong P, Jun JK, Yoon BH. A transcervical amniotic fluid collector: a new medical device for the assessment of amniotic fluid in patients with ruptured membranes. J Perinat Med. 2015;43:381–9.10.1515/jpm-2014-0276Search in Google Scholar PubMed PubMed Central

[80] Kunze M, Klar M, Morfeld CA, Thorns B, Schild RL, Markfeld-Erol F, et al. Cytokines in noninvasively obtained amniotic fluid as predictors of fetal inflammatory response syndrome. Am J Obstet Gynecol. 2016;215:96.e1–8.10.1016/j.ajog.2016.01.181Search in Google Scholar PubMed

[81] Clark EAS, Varner M. Impact of preterm PROM and its complications on long-term infant outcomes. Clin Obstet Gynecol. 2011;54:358–69.10.1097/GRF.0b013e318217ee18Search in Google Scholar PubMed

[82] Garcia-Munoz Rodrigo F, Galan Henriquez G, Figueras Aloy J, Garcia-Alix Perez A. Outcomes of very-low-birth-weight infants exposed to maternal clinical chorioamnionitis: a multicentre study. Neonatology. 2014;106:229–34.10.1159/000363127Search in Google Scholar PubMed

[83] Kozinszky Z, Sikovanyecz J, Pasztor N. Severe midtrimester oligohydramnios: treatment strategies. Curr Opin Obstet Gynecol. 2014;26:67–76.10.1097/GCO.0000000000000051Search in Google Scholar PubMed

[84] Xiao L, Glass JI, Paralanov V, Yooseph S, Cassell GH, Duffy LB, et al. Detection and characterization of human Ureaplasma species and serovars by real-time PCR. J Clin Microbiol. 2010;48:2715–23.10.1128/JCM.01877-09Search in Google Scholar PubMed PubMed Central

[85] Debieve F, Ska S, Williams O, Hutchings G, Bernard P, Grandjean P, et al. Evaluation of a universal real-time polymerase chain reaction for detection of amniotic fluid infection in premature rupture of membranes. Am J Perinatol. 2011;28:501–8.10.1055/s-0030-1271212Search in Google Scholar PubMed

[86] Walker MW, Picklesimer AH, Clark RH, Spitzer AR, Garite TJ. Impact of duration of rupture of membranes on outcomes of premature infants. J Perinatol. 2014;34:669–72.10.1038/jp.2014.73Search in Google Scholar

[87] Test G, Levy A, Wiznitzer A, Mazor M, Holcberg G, Zlotnik A, et al. Factors affecting the latency period in patients with preterm premature rupture of membranes. Arch Gynecol Obstet. 2011;283:707–10.10.1007/s00404-010-1448-7Search in Google Scholar

[88] Linehan LA, Walsh J, Morris A, Kenny L, O’Donoghue K, Dempsey E, et al. Neonatal and maternal outcomes following midtrimester preterm premature rupture of the membranes: a retrospective cohort study. BMC Pregnancy Childbirth 2016;16:25.10.1186/s12884-016-0813-3Search in Google Scholar

[89] Gomez R, Romero R, Nien JK, Medina L, Carstens M, Kim YM, et al. Antibiotic administration to patients with preterm premature rupture of membranes does not eradicate intra-amniotic infection. J Matern Fetal Neonatal Med. 2007;20:167–73.10.1080/14767050601135485Search in Google Scholar

[90] Gezer A, Parafit-Yalciner E, Guralp O, Yedigoz V, Altinok T, Madazli R. Neonatal morbidity mortality outcomes in pre-term premature rupture of membranes. J Obstet Gynaecol. 2013;33:38–42.10.3109/01443615.2012.729620Search in Google Scholar

[91] Storness-Bliss C, Metcalfe A, Simrose R, Wilson RD, Cooper SL. Correlation of residual amniotic fluid and perinatal outcomes in periviable preterm premature rupture of membranes. J Obstet Gynaecol Can. 2012;34:154–8.10.1016/S1701-2163(16)35158-1Search in Google Scholar

[92] van Teeffelen ASP, van der Heijden J, Oei SG, Porath MM, Willekes C, Opmeer B, et al. Accuracy of imaging parameters in the prediction of lethal pulmonary hypoplasia secondary to mid-trimester prelabor rupture of fetal membranes: a systematic review and meta-analysis. Ultrasound Obstet Gynecol. 2012;39:495–9.10.1097/01.ogx.0000421450.35232.24Search in Google Scholar

[93] Drassinower D, Friedman AM, Obican SG, Levin H, Gyamfi-Bannerman C. Prolonged latency of preterm premature rupture of membranes and risk of neonatal sepsis. Am J Obstet Gynecol. 2016;214:743.e1–6.10.1016/j.ajog.2015.12.031Search in Google Scholar PubMed

[94] Ekin A, Gezer C, Taner CE, Ozeren M. Perinatal outcomes in pregnancies with oligohydramnios after preterm premature rupture of membranes. J Matern Fetal Neonatal Med. 2015;28:1918–22.10.3109/14767058.2014.972927Search in Google Scholar PubMed

[95] Chaemsaithong P, Romero R, Korzeniewski SJ, Martinez-Varea A, Dong Z, Yoon BH, et al. A point of care test for interleukin-6 in amniotic fluid in preterm prelabor rupture of membranes: a step toward the early treatment of acute intra-amniotic inflammation/infection. J Matern Fetal Neonatal Med. 2016;29:360–7.10.3109/14767058.2015.1006621Search in Google Scholar PubMed PubMed Central

[96] Korzeniewski SJ, Romero R, Cortez J, Pappas A, Schwartz AG, Kim CJ, et al. A “multi-hit” model of neonatal white matter injury: cumulative contributions of chronic placental inflammation, acute fetal inflammation and postnatal inflammatory events. J Perinat Med. 2014;42:731–43.10.1515/jpm-2014-0250Search in Google Scholar

[97] Cousens S, Blencowe H, Gravett M, Lawn JE. Antibiotics for pre-term pre-labour rupture of membranes: prevention of neonatal deaths due to complications of pre-term birth and infection. Int J Epidemiol. 2010;39(Suppl 1):i134–43.10.1093/ije/dyq030Search in Google Scholar

[98] Chai M, Barker G, Menon R, Lappas M. Increased oxidative stress in human fetal membranes overlying the cervix from term non-labouring and post labour deliveries. Placenta. 2012;33:604–10.10.1016/j.placenta.2012.04.014Search in Google Scholar

[99] Xiao C, Gangal M, Abenhaim HA. Effect of magnesium sulfate and nifedipine on the risk of developing pulmonary edema in preterm births. J Perinat Med. 2014;42:585–9.10.1515/jpm-2013-0340Search in Google Scholar

[100] Yudin MH, van Schalkwyk J, van Eyk N, Boucher M, Castillo E, Cormier B, et al. Antibiotic therapy in preterm premature rupture of the membranes. J Obstet Gynaecol Can. 2009;31:863–7, 868–74.10.1016/S1701-2163(16)34305-5Search in Google Scholar

[101] Evidence Based Clinical Guidelines Co-ordinator. Preterm Prelabour rupture of membranes (PPROM): Clinical practice guideline: government of Western Australia, North Metropolitan Health Service; 2016 [cited 2016 Dec 11]. Available from: http://www.kemh.health.wa.gov.au/development/manuals/O&G_guidelines/sectionb/2/b2.6.1.pdf.Search in Google Scholar

[102] The royal womens hospital. Rupture of the Membranes – Preterm Premature (PPROM): Policy, Guideline and Procedure Manual; 2014 [cited 2016 Dec 11]. Available from: https://thewomens.r.worldssl.net/images/uploads/downloadable-records/clinical-guidelines/rupture-of-membranes-preterm-premature-pprom.pdf.Search in Google Scholar

[103] Robson S. Maternal Group B Streptococcus in pregnancy: screening and management: the Royal Australian and New Zealand College of Obstetricians and Gynaecologists; 2016 [cited 2016 Dec 11]. Available from: https://www.ranzcog.edu.au/RANZCOG_SITE/media/DOCMAN-ARCHIVE/Maternal%20Group%20B%20Streptococcus%20in%20pregnancy%20screening%20and%20management%20(C-Obs%2019)%20Review%20March%202016.pdf.Search in Google Scholar

[104] Smith NC, Roberts D, Kenyon S, Taylor DJ, Morris J, Edwards D, et al. Preterm Prelabour Rupture of Membranes: Green–top Guideline No. 44: Royal College of Obstetricians and Gynaecologists; 2010 [cited 2016 Dec 11]. Available from: https://www.rcog.org.uk/globalassets/documents/guidelines/gtg_44.pdf.Search in Google Scholar

[105] Hughes RG, Brocklehurst P, Heath P, Stenson B. The Prevention of Early-onset Neonatal Group B Streptococcal Disease: Green–top Guideline No. 36: Royal College of Obstetricians and Gynaecologists; 2012 [cited 2016 Dec 11]. Available from: https://www.rcog.org.uk/globalassets/documents/guidelines/gtg_36.pdf.Search in Google Scholar

[106] Money DM, Dobson S. The prevention of early-onset neonatal group B streptococcal disease. J Obstet Gynaecol Can. 2004;26:826–40.10.1016/S1701-2163(16)30157-8Search in Google Scholar

[107] Lee J, Romero R, Kim SM, Chaemsaithong P, Yoon BH. A new antibiotic regimen treats and prevents intra-amniotic inflammation/infection in patients with preterm PROM. J Matern Fetal Neonatal Med. 2016;29:2727–37.10.3109/14767058.2015.1103729Search in Google Scholar

[108] Lee J, Romero R, Kim SM, Chaemsaithong P, Park C-W, Park JS, et al. A new anti-microbial combination prolongs the latency period, reduces acute histologic chorioamnionitis as well as funisitis, and improves neonatal outcomes in preterm PROM. J Matern Fetal Neonatal Med. 2016;29:707–20.10.3109/14767058.2015.1020293Search in Google Scholar

[109] Kenyon S, Pike K, Jones, Brocklehurst P, Marlow N, Salt A, et al. Childhood outcomes after prescription of antibiotics to pregnant women with preterm rupture of the membranes: 7-year follow-up of the ORACLE I trial. Lancet. 2008;372: 1310–8.10.1016/S0140-6736(08)61202-7Search in Google Scholar

[110] Marlow N, Bower H, Jones D, Brocklehurst P, Kenyon S, Taylor D, et al. The ORACLE Children Study: educational outcomes at 11 years of age following antenatal prescription of erythromycin or co-amoxiclav. Arch Dis Child Fetal Neonatal Ed. 2017;102:F131–5.10.1136/archdischild-2015-310144Search in Google Scholar PubMed PubMed Central

[111] Hutzal CE, Boyle EM, Kenyon SL, Nash JV, Winsor S, Taylor DJ, et al. Use of antibiotics for the treatment of preterm parturition and prevention of neonatal morbidity: a metaanalysis. Am J Obstet Gynecol. 2008;199:620.e1–8.10.1016/j.ajog.2008.07.008Search in Google Scholar PubMed

[112] Meeraus WH, Petersen I, Gilbert R. Association between antibiotic prescribing in pregnancy and cerebral palsy or epilepsy in children born at term: a cohort study using the health improvement network. PLoS One. 2015;10:e0122034.10.1371/journal.pone.0122034Search in Google Scholar PubMed PubMed Central

[113] Muller AE, Oostvogel PM, DeJongh J, Mouton JW, Steegers EAP, Dorr PJ, et al. Pharmacokinetics of amoxicillin in maternal, umbilical cord, and neonatal sera. Antimicrob Agents Chemother. 2009;53:1574–80.10.1128/AAC.00119-08Search in Google Scholar PubMed PubMed Central

[114] Ozyuncu O, Beksac MS, Nemutlu E, Katlan D, Kir S. Maternal blood and amniotic fluid levels of moxifloxacin, levofloxacin and cefixime. J Obstet Gynaecol Res. 2010;36:484–7.10.1111/j.1447-0756.2010.01246.xSearch in Google Scholar PubMed

[115] Hnat M, Bawdon RE. Transfer of meropenem in the ex vivo human placenta perfusion model. Infect Dis Obstet Gynecol. 2005;13:223–7.10.1155/2005/961356Search in Google Scholar

[116] Heikkinen T, Laine K, Neuvonen PJ, Ekblad U. The transplacental transfer of the macrolide antibiotics erythromycin, roxithromycin and azithromycin. Br J Obstet Gynaecol. 2000;107:770–5.10.1111/j.1471-0528.2000.tb13339.xSearch in Google Scholar PubMed

[117] Park HS, Ahn B-J, Jun JK. Placental transfer of clarithromycin in human pregnancies with preterm premature rupture of membranes. J Perinat Med. 2012;40:641–6.10.1515/jpm-2012-0038Search in Google Scholar PubMed

[118] Onwuchuruba CN, Towers CV, Howard BC, Hennessy MD, Wolfe L, Brown MS. Transplacental passage of vancomycin from mother to neonate. Am J Obstet Gynecol. 2014;210:352.e1–4.10.1016/j.ajog.2014.01.019Search in Google Scholar PubMed

[119] Polachek H, Holcberg G, Sapir G, Tsadkin-Tamir M, Polachek J, Katz M, et al. Transfer of ciprofloxacin, ofloxacin and levofloxacin across the perfused human placenta in vitro. Eur J Obstet Gynecol Reprod Biol. 2005;122:61–5.10.1016/j.ejogrb.2004.11.031Search in Google Scholar PubMed

[120] Romejko-Wolniewicz E, Teliga-Czajkowska J, Czajkowski K. Antenatal steroids: can we optimize the dose? Curr Opin Obstet Gynecol. 2014;26:77–82.10.1097/GCO.0000000000000047Search in Google Scholar PubMed PubMed Central

[121] Brownfoot FC, Gagliardi DI, Bain E, Middleton P, Crowther CA. Different corticosteroids and regimens for accelerating fetal lung maturation for women at risk of preterm birth. Cochrane Database Syst Rev. 2013;8:CD006764. DOI: 10.1002/14651858.CD006764.pub3.10.1002/14651858.CD006764.pub3Search in Google Scholar

[122] Crowther CA, McKinlay CJD, Middleton P, Harding JE. Repeat doses of prenatal corticosteroids for women at risk of preterm birth for improving neonatal health outcomes. Cochrane Database Syst Rev. 2015:CD003935. DOI: 10.1002/14651858.CD003935.pub3.10.1002/14651858.CD003935.pub3Search in Google Scholar

[123] Sweet DG, Carnielli V, Greisen G, Hallman M, Ozek E, Plavka R, et al. European consensus guidelines on the management of neonatal respiratory distress syndrome in preterm infants – 2013 update. Neonatology 2013;103:353–68.10.1159/000349928Search in Google Scholar

[124] ACOG. Committee opinion No 652: magnesium sulfate use in obstetrics. Obstet Gynecol. 2016;127:e52–3.10.1097/AOG.0000000000001267Search in Google Scholar

[125] van Vliet EOG, Nijman TAJ, Schuit E, Heida KY, Opmeer BC, Kok M, et al. Nifedipine versus atosiban for threatened preterm birth (APOSTEL III): a multicentre, randomised controlled trial. Lancet. 2016;387:2117–24.10.1016/S0140-6736(16)00548-1Search in Google Scholar

[126] Papanna R, Mann LK, Moise KY, Johnson A, Moise KJ, Jr. Absorbable gelatin plug does not prevent iatrogenic preterm premature rupture of membranes after fetoscopic laser surgery for twin-twin transfusion syndrome. Ultrasound Obstet Gynecol. 2013;42:456–60.10.1002/uog.12487Search in Google Scholar

[127] Chmait RH, Kontopoulos EV, Chon AH, Korst LM, Llanes A, Quintero RA. Amniopatch treatment of iatrogenic preterm premature rupture of membranes (iPPROM) after fetoscopic laser surgery for twin-twin transfusion syndrome. J Matern Fetal Neonatal Med. 2016;30:1–6.10.1080/14767058.2016.1214123Search in Google Scholar

[128] Quintero RA, Kontopoulos EV, Chmait R, Bornick PW, Allen M. Management of twin-twin transfusion syndrome in pregnancies with iatrogenic detachment of membranes following therapeutic amniocentesis and the role of interim amniopatch. Ultrasound Obstet Gynecol. 2005;26:628–33.10.1002/uog.2600Search in Google Scholar

[129] Quintero RA, Romero R, Dzieczkowski J, Mammen E, Evans MI. Sealing of ruptured amniotic membranes with intra-amniotic platelet-cryoprecipitate plug. Lancet. 1996;347:1117.10.1016/S0140-6736(96)90316-5Search in Google Scholar

[130] Richter J, Henry A, Ryan G, DeKoninck P, Lewi L, Deprest J. Amniopatch procedure after previable iatrogenic rupture of the membranes: a two-center review. Prenat Diagn. 2013;33:391–6.10.1002/pd.4080Search in Google Scholar PubMed

[131] Deprest J, Emonds M-P, Richter J, DeKoninck P, van Mieghem T, van Schoubroeck D, et al. Amniopatch for iatrogenic rupture of the fetal membranes. Prenat Diagn. 2011;31:661–6.10.1002/pd.2780Search in Google Scholar PubMed

[132] Pergialiotis V, Gkioka E, Bakoyiannis I, Mastroleon I, Prodromidou A, Perrea D. Retention of cervical cerclage after preterm premature rupture of the membranes: a critical appraisal. Arch Gynecol Obstet. 2015;291:745–53.10.1007/s00404-014-3551-7Search in Google Scholar PubMed

[133] Porat S, Amsalem H, Shah PS, Murphy KE. Transabdominal amnioinfusion for preterm premature rupture of membranes: a systematic review and metaanalysis of randomized and observational studies. Am J Obstet Gynecol. 2012;207:393.e1–11.10.1016/j.ajog.2012.08.003Search in Google Scholar PubMed

[134] Patkai J, Schmitz T, Anselem O, Mokbat S, Jarreau P-H, Goffinet F, et al. Neonatal and two-year outcomes after rupture of membranes before 25 weeks of gestation. Eur J Obstet Gynecol Reprod Biol. 2013;166:145–50.10.1016/j.ejogrb.2012.10.014Search in Google Scholar PubMed

[135] Kwak H-M, Choi H-J, Cha H-H, Yu H-J, Lee J-H, Choi S-J, et al. Amniopatch treatment for spontaneous previable, preterm premature rupture of membranes associated or not with incompetent cervix. Fetal Diagn Ther. 2013;33:47–54.10.1159/000342418Search in Google Scholar PubMed

[136] Tranquilli AL, Giannubilo SR, Bezzeccheri V, Scagnoli C. Transabdominal amnioinfusion in preterm premature rupture of membranes: a randomised controlled trial. Br J Obstet Gynaecol. 2005;112:759–63.10.1111/j.1471-0528.2005.00544.xSearch in Google Scholar PubMed

[137] van der Heyden JL, van der Ham DP, van Kuijk S, Notten KJB, Janssen T, Nijhuis JG, et al. Outcome of pregnancies with preterm prelabor rupture of membranes before 27 weeks’ gestation: a retrospective cohort study. Eur J Obstet Gynecol Reprod Biol. 2013;170:125–30.10.1016/j.ejogrb.2013.06.012Search in Google Scholar PubMed

[138] Falk SJ, Campbell LJ, Lee-Parritz A, Cohen AP, Ecker J, Wilkins-Haug L, et al. Expectant management in spontaneous preterm premature rupture of membranes between 14 and 24 weeks’ gestation. J Perinatol. 2004;24:611–6.10.1038/sj.jp.7211163Search in Google Scholar PubMed

[139] Tan L-K, Kumar S, Jolly M, Gleeson C, Johnson P, Fisk NM. Test amnioinfusion to determine suitability for serial therapeutic amnioinfusion in midtrimester premature rupture of membranes. Fetal Diagn Ther. 2003;18:183–9.10.1159/000069375Search in Google Scholar PubMed

[140] Pristauz G, Bauer M, Maurer-Fellbaum U, Rotky-Fast C, Bader AA, Haas J, et al. Neonatal outcome and two-year follow-up after expectant management of second trimester rupture of membranes. Int J Gynaecol Obstet. 2008;101:264–8.10.1016/j.ijgo.2007.12.007Search in Google Scholar PubMed

[141] Verma U, Goharkhay N, Beydoun S. Conservative management of preterm premature rupture of membranes between 18 and 23 weeks of gestation – maternal and neonatal outcome. Eur J Obstet Gynecol Reprod Biol. 2006;128:119–24.10.1016/j.ejogrb.2005.12.005Search in Google Scholar

[142] Newman DE, Paamoni-Keren O, Press F, Wiznitzer A, Mazor M, Sheiner E. Neonatal outcome in preterm deliveries between 23 and 27 weeks’ gestation with and without preterm premature rupture of membranes. Arch Gynecol Obstet. 2009;280:7–11.10.1007/s00404-008-0836-8Search in Google Scholar

[143] Roberts D, Vause S, Martin W, Green P, Walkinshaw S, Bricker L, et al. Amnioinfusion in preterm premature rupture of membranes (AMIPROM): a randomised controlled trial of amnioinfusion versus expectant management in very early preterm premature rupture of membranes – a pilot study. Health Technol Assess. 2014;18:1–135.10.3310/hta18210Search in Google Scholar

[144] Roberts D, Vause S, Martin W, Green P, Walkinshaw S, Bricker L, et al. Amnioinfusion in very early preterm prelabor rupture of membranes (AMIPROM): pregnancy, neonatal and maternal outcomes in a randomized controlled pilot study. Ultrasound Obstet Gynecol. 2014;43:490–9.10.1002/uog.13258Search in Google Scholar

[145] Locatelli A, Ghidini A, Verderio M, Andreani M, Strobelt N, Pezzullo J, et al. Predictors of perinatal survival in a cohort of pregnancies with severe oligohydramnios due to premature rupture of membranes at <26 weeks managed with serial amnioinfusions. Eur J Obstet Gynecol Reprod Biol. 2006;128:97–102.10.1016/j.ejogrb.2006.02.003Search in Google Scholar

[146] Shah DM, Kluckow M. Early functional echocardiogram and inhaled nitric oxide: usefulness in managing neonates born following extreme preterm premature rupture of membranes (PPROM). J Paediatr Child Health. 2011;47:340–5.10.1111/j.1440-1754.2010.01982.xSearch in Google Scholar

[147] Hsu T-Y, Hsu J-J, Fu H-C, Ou C-Y, Tsai C-C, Cheng B-H, et al. The Changes in Doppler Indices of Fetal Ductus Venosus and Umbilical Artery After Amnioinfusion for Women With Preterm Premature Rupture of Membranes Before 26 Weeks’ Gestation. Taiwan J Obstet Gynecol. 2009;48:268–72.10.1016/S1028-4559(09)60302-8Search in Google Scholar

[148] Williams O, Hutchings G, Debieve F, Debauche C. Contemporary neonatal outcome following rupture of membranes prior to 25 weeks with prolonged oligohydramnios. Early Hum Dev. 2009;85:273–7.10.1016/j.earlhumdev.2008.11.003Search in Google Scholar PubMed

[149] Santis M de, Scavo M, Noia G, Masini L, Piersigilli F, Romagnoli C, et al. Transabdominal amnioinfusion treatment of severe oligohydramnios in preterm premature rupture of membranes at less than 26 gestational weeks. Fetal Diagn Ther. 2003;18:412–7.10.1159/000073134Search in Google Scholar PubMed

[150] Williams O, Michel B, Hutchings G, Debauche C, Hubinont C. Two-year neonatal outcome following PPROM prior to 25 weeks with a prolonged period of oligohydramnios. Early Hum Dev. 2012;88:657–61.10.1016/j.earlhumdev.2012.01.012Search in Google Scholar PubMed

[151] Locatelli A, Andreani M, Ghidini A, Verderio M, Pizzardi A, Vergani P, et al. Amnioinfusion in preterm PROM: effects on amnion and cord histology. J Perinatol. 2008;28:97–101.10.1038/sj.jp.7211876Search in Google Scholar PubMed

[152] van Teeffelen ASP, van der Ham DP, Willekes C, Al Nasiry S, Nijhuis JG, van Kuijk S, et al. Midtrimester preterm prelabour rupture of membranes (PPROM): expectant management or amnioinfusion for improving perinatal outcomes (PPROMEXIL – III trial). BMC Pregnancy Childbirth. 2014;14:128.10.1186/1471-2393-14-128Search in Google Scholar PubMed PubMed Central

[153] Gilbert WM, Brace RA. Amniotic fluid volume and normal flows to and from the amniotic cavity. Semin Perinatol. 1993;17:150–7.Search in Google Scholar

[154] Shields LE, Moore TR, Brace RA. Fetal electrolyte and acid-base responses to amnioinfusion: lactated Ringer’s versus normal saline in the ovine fetus. J Soc Gynecol Investig. 1995;2:602–8.10.1177/107155769500200404Search in Google Scholar

[155] Kaiser D. Operationen- und Prozedurenschlüssel (OPS): Deutsches Institut für Medizinische Dokumentation und Information (DIMDI); 2012 [cited 2016 Dec 13]. Available from: https://www.dimdi.de/static/de/klassi/ops/kodesuche/onlinefassungen/opshtml2013/block-5-72…5-75.htm.Search in Google Scholar

[156] Goebel S, Naberezhnev Y, Seliger G, Tchirikov M. Continuous amnioinfusion via a subcutaneously implanted port system with PPROM and anhydramnios <28+0 weeks of gestation: an international prospective randomized trial: abstracts of the ISPD 20th International Conference on Prenatal Diagnosis and Therapy, Berlin, Germany, 10–13 July 2016. Prenat Diagn. 2016;36(S1):75.10.1055/s-0036-1587974Search in Google Scholar

Received: 2017-1-23
Accepted: 2017-5-19
Published Online: 2017-7-15
Published in Print: 2018-7-26

©2018 Michael Tchirikov et al., published by De Gruyter, Berlin/Boston

This work is licensed under the Creative Commons Attribution-NonCommercial-NoDerivatives 3.0 License.

Articles in the same Issue

  1. Frontmatter
  2. Editorial
  3. A transformative icon for modern perinatology
  4. Highlight: Preterm Labor
  5. Editorial
  6. What’s new in preterm birth prediction and prevention?
  7. Review articles
  8. Pulmo uterinus: a history of ideas on fetal respiration
  9. Mid-trimester preterm premature rupture of membranes (PPROM): etiology, diagnosis, classification, international recommendations of treatment options and outcome
  10. Highlight articles
  11. A soft cervix, categorized by shear-wave elastography, in women with short or with normal cervical length at 18–24 weeks is associated with a higher prevalence of spontaneous preterm delivery
  12. Association between genital mycoplasmas, acute chorioamnionitis and fetal pneumonia in spontaneous abortions
  13. Methylation differences reveal heterogeneity in preterm pathophysiology: results from bipartite network analyses
  14. Understanding fetal factors that contribute to preterm birth: Sjögren-Larsson syndrome as a model
  15. Safety and efficacy of the cervical pessary combined with vaginal progesterone for the prevention of spontaneous preterm birth
  16. Risk of preterm birth by maternal age at first and second pregnancy and race/ethnicity
  17. Infant mortality and causes of death by birth weight for gestational age in non-malformed singleton infants: a 2002–2012 population-based study
  18. Perinatal outcomes after previable preterm premature rupture of membranes before 24 weeks of gestation
  19. Letter to the Editor
  20. Fundal pressure: risk factors in uterine rupture. The issue of liability: complication or malpractice?
Downloaded on 18.10.2025 from https://www.degruyterbrill.com/document/doi/10.1515/jpm-2017-0027/html?lang=en&srsltid=AfmBOop6maCV07R_SV7y_vR_QATliaxOTQFnbcw3ZjkQ2cOC86AHajac
Scroll to top button