Home Mathematics An Efficient Medical Image Watermarking Technique in E-healthcare Application Using Hybridization of Compression and Cryptography Algorithm
Article Open Access

An Efficient Medical Image Watermarking Technique in E-healthcare Application Using Hybridization of Compression and Cryptography Algorithm

  • Puvvadi Aparna EMAIL logo and Polurie Venkata Vijay Kishore
Published/Copyright: September 26, 2017
Become an author with De Gruyter Brill

Abstract

The main objective of this paper is to propose a medical image watermarking technique in E-healthcare application based on the hybridization of compression and cryptography algorithm. Basically, the proposed system consists of two stages: (i) watermark embedding process and (ii) watermark extraction process. In the embedding process, at first, we segment the tumor part separately using a region growing algorithm. Then, we encrypt the region of interest part using Secure Hash Algorithm-256 and encrypt the electronic health record (EHR) using the elliptical curve cryptography algorithm. Thereafter, we concatenate and compress the information using an arithmetic coding algorithm. Finally, we embed the compressed bit into the original image. The same process is repeated for the extraction process. The experimental results are shown for different medical images with EHR and the effectiveness of the proposed algorithm is analyzed with the help of the peak signal-to-noise ratio and normalized correlation.

1 Introduction

Privacy preservation in medical images has always been a significant problem in the management of patients’ medical records. As a part of the Health Insurance Portability and Accountability Act, the ethics to defend health data privacy, distributed with the help of the federal government, took effect in April 14, 2003 [26]. Medical data are extremely valuable because of their reputation in clinical diagnosis, treatment, research, education and other commercial/non-commercial implementations, both for private and government organizations. Digital watermarking (DWM), which gradually embeds data (watermark) within a host signal (cover) like image, audio, or video, is an emergent research method for multimedia information management [16]. Constant efforts have been made to offer security [5] such that (i) medical image transmission cannot be retrieved by unauthorized parties (confidentiality), (ii) received images are not adapted for the duration of transmission (integrity), and (iii) images are from correct sources and reach the target receivers (authentication) [10]. Watermarking methods involve numerous striking features for the healthcare business [8]. They amend image data invisibly to embed the watermark. A watermark might include the patient’s medical data together with the doctor’s information. Irrespective of the assistance, the watermarking technique may come across environs in medical images [12].

Digital watermarking is an electronic manner to embed data on any multimedia content. Digital [1] watermarks are utilized to exclusively recognize the image in order to claim for the originality of the content/image. These watermarks may be in the form of text or image [11]. The code word is embedded in a document by making a subtle alteration to the structure of the document, like modulation of line width and interword spacing, as well as a modification of character fonts. The watermark will still be extant if some lossy image processing operations like low-pass filter, re-sampling, and lossy JPEG image compression are implemented to the watermarked image. Watermarking is the practice of imperceptibly altering a piece of information in order to embed information about the data. Generally, a digital watermark is a code that is embedded inside an image. It functions as a digital signature, giving the image intellectual ownership or authenticity [3].

Electronic health record (EHR) technology has replaced the inefficient paper record paradigm and exists in numerous forms like diagnostic reports, images and vital sign signals. It can also contain the health history data of a patient, like demographic data, physical examination data, laboratory test solutions, treatment measures and prescriptions, which are extremely confidential in nature [7]. These sensitive patient data being in a common network necessitates excessive care, as one cannot afford the loss of these data for a proper diagnosis. Thus, the integrity, security, and confidentiality of this patient information are of main concern, when transferred electronically [9]. DWM plays an important role in such a scenario. DWM methods are utilized to offer confidentiality and integrity to medical images. Further copy control and tamper detection of digital information, which are the chief objectives of Digital Rights Management, can be attained by DWM [14]. When embedding additional electronic patient records (EPRs) or the digital watermark within the medical image, the image quality must not be affected [15]. DWM methods have the potential of becoming an all-in-one solution tool providing alternative and/or complementary results for a wide number of problems associated with medical data management and distribution [2].

In this paper, we propose an efficient medical image watermarking technique in E-healthcare application using hybridization of compression and cryptography algorithm. Here, at first, we segment the region of interest (ROI) part from the input tumor image by using a region growing (RG) algorithm. Then, we encrypt the ROI part using the Secure Hash Algorithm (SHA)-256. Similarly, we encrypt the EHR using the elliptical curve cryptography (ECC) algorithm. To improve security, we concatenate the image and EHR information, and compress the information using an arithmetic coding (AC) algorithm. Finally, we embed the compressed bit stream into the original image. The same process is repeated in the extraction process. Watermarking is done by combining lossless data compression and encryption techniques, and by scattered embedding of the watermark bits in the embedding region. All these aspects make the proposed scheme an effective novel medical image watermarking technique. The rest of this paper is organized as follows: Section 2 describes the detail of the literature survey. Section 4 describes the methods used in the proposed approach. The proposed image watermarking process is explained in Section 5. The experimental results are presented in Section 6. Section 7 gives the conclusion of this work.

2 Literature Survey

In medical diagnosis, numerous researchers have proposed many methods for medical image watermarking. A handful of significant researchers are presented in this section. Qin et al. [17] elucidated self-embedding fragile watermarking on the basis of reference information interleaving and adaptive selection of the embedding mode. Throughout watermark embedding, reference bits were derived from the interleaved, scrambled most significant bits of the original image, and then were collected with verification bits to form the watermark bits for least significant bits embedding. Also, detailed investigations were done to offer the theoretical values of watermarked image quality, flawless recovery probability, and improved image quality, to conclude the optimal choice of inserting modes. Moreover, Singh et al. [25] explained multiple watermarking techniques for securing online social network contents using a back-propagation neural network. This work addresses the issue of ownership identity authentication. Multiple watermarks are embedded instead of a single watermark into the same multimedia objects simultaneously, which offer an extra level of security and reduced storage and bandwidth requirements in important applications areas such as E-health, secure multimedia contents in online social networks, secure E-voting systems, digital cinema, education and insurance companies, and driver’s license/passport. Similarly, Sharma et al. [20] explained a robust and secure ROI and region of non-interest (RONI)-based watermarking method for medical images. The proposed method applies the combination of discrete wavelet transform (DWT) and discrete cosine transform (DCT) on the cover medical image for the embedding of image and EPR watermark simultaneously.

Furthermore, Rasti et al. [18] reported on a robust and imperceptible non-blind color video frame watermarked algorithm. The technique divides frames into moving and non-moving portions. The non-moving portion of each color channel was processed separately with the help of a block-based watermarked system. Blocks with entropy lower than the average entropy of all blocks were subjected to a further procedure for implanting the watermark image. Lastly, a watermarked frame was produced by adding moving portions to it. Identification of fundus images at the time of transmission and storage in the database for teleophthalmology implementations was a significant problem in the modern era. Moreover, Zear et al. [27] described a secure multiple watermarking technique based on DWT, DCT and singular value decomposition (SVD) for application in medicine. Additionally, a new robust hybrid multiple watermarking technique using a fusion of DWT, DCT and SVD instead of applying DWT, DCT and SVD individually, or a combination of DWT-SVD/DCT-SVD, was explained in Ref. [21]. Moreover, Pandey et al. [13] described an iris-based secure RONI multiple eye image watermarking for teleophthalmology. SHA-512 was used for generating hash corresponding to the iris part of the cover digital eye image, and this unique hash parameter was used for enhancing the security feature of the proposed watermarking technique.

In Ref. [4], Hasnaoui and Mitrea brought to light the conceptual framework enabling binary quantization index modulation (QIM) implanting approaches that had to be prolonged toward multiple-symbol QIM. The elementary detection method was optimized in relation to the minimization of the average error probability under the guise of white, additive Gaussian conduct for the attacks. Similarly, Singh et al. [22] described multilevel encrypted text watermarking on medical images using spread spectrum in DWT domain. The algorithm was based on a secure spread spectrum technique for digital images in DWT domain. Moreover, Singh et al. [24] described robust and secure multiple watermarking in the wavelet domain. Additionally, Singh et al. [23] demonstrated multiple watermarking on medical images using selective DWT coefficients. This paper presents a new spread-spectrum-based secure multiple watermarking scheme for medical images in the wavelet transform domain by using selective DWT coefficients for embedding.

Hsu and Hu [6] elucidated a blind image watermarking technique based on block-wise DCT. To form a block structure in the DCT domain, partition a host image into non-overlapping blocks of size 8×8 and then implement DCT to each block distinctly. The watermarking turns out to be a procedure of adjusting the relationship between the envisioned coefficients and their back-propagation neural network predictions subject to the just noticeable distortion.

3 Contribution of this Research

The main contribution of this paper is a robust and efficient watermarking scheme for medical images and records for an E-healthcare application that is able to meet all of the following four challenges:

  • The proposed scheme combines lossless data compression and encryption technique to embed EHR and image hash in the medical image, which secures the information from malicious attacks;

  • The ROI is separated from the input image using an RG algorithm that accurately segments the image;

  • The proposed scheme should increase the security of patient information without any distortion;

  • The proposed scheme should be robust against diverse types of attacks that a malicious entity could launch to corrupt the embedded watermark.

4 Methods Used in the Proposed Watermarking Approach

Medical data are highly valuable and critical because of their significance in clinical diagnosis, treatment, research, education and other commercial/non-commercial implementations, both for private and government administrations. In these areas, watermarking is a challenging mission. To overcome the difficulties in watermarking, we used different approaches in this article, as elucidated below.

4.1 Medical Image Segmentation

The ROI is the most significant portion of a medical image. It contains the most valuable data in the medical image and should not undergo any modification. There can be numerous disjoint ROIs and numerous manners to describe them in a medical image. In this article, to segment the ROI portion from the image, we utilize the RG algorithm. Consider the input image I(x, y) that has the size of 256×256. Initially, we segment the ROI from the input image. The projected RG technique segments the input image with respect to a point, called seed. In RG segmentation, the chief point is to regulate the initial seed points. A seed point is the commencement stage for RG, and its selection is significant for the segmentation solution. The technique of mathematical morphology is used in order to attain an initial seed point. The detailed procedure of the projected RG-based image segmentation procedure is elucidated below.

Step 1: Calculate the gradient of the input image I for both x axis (IRx) and y axis (IRy).

Step 2: Thereafter, compute gradient vector IG by obtaining the hybrid of the gradient values with the help of the following equation:

(1)IG=11+(IRx2+IRy2).

Step 3: Then, change the gradient vector values that are typically in radians into degrees to attain the values of orientation.

Step 4: Divide the image into grids Gi.

Step 5: Set the intensity threshold (TIN) and orientation threshold (TOR).

Step 6: For every grid Gi, repeat the subsequent processes in step 7 until the number of grids reached the total number of grids for an image.

Step 7(a): Find the histogram H of each pixel in Gi.

Step 7(b): Regulate the most frequent histogram of the Gith grid and represent it as FH.

Step 7(c): Select any pixel, according to FH, and allocate that pixel as a seed point that has the intensity INp and orientation ORp.

Step 7(d): Consider the adjacent pixel having intensity INn and orientation ORn.

Step 7(e): Find the intensity and orientation difference of those pixels, p and n.

That is,

(2)DIN=INpINn
(3)and DOR=INpINn.

Step 7(f): If DINTIN and DORTOR, then add the consistent pixel to the region and the region is grown; else, move to step 7(h).

Step 7(g): Check whether all pixels are added to the region. If true, go to step 6 then go to step 7(h).

Step 7(h): Re-estimate the region and detect the new seed points, and do the procedure from step 7(a).

Step 8: Stop the whole procedure.

With the help of this RG procedure, the input images are segmented. The segmented image output is shown in Figure 1.

Figure 1: Segmentation Output.(A) Input image. (B) Segmented tumor part.
Figure 1:

Segmentation Output.

(A) Input image. (B) Segmented tumor part.

4.2 Hash of the ROI

In the segmentation phase, we separate the ROI region from the input image with the help of the RG algorithm. After the segmentation, we compute the hash value of the ROI. In this paper, the hash of the ROI is computed with the help of SHA-256, which yields a 64-character (256-bit) message digest. This algorithm produces a unique code for any input and is a one-way function. The intended hash value of ROI is utilized to authenticate ROI. In this work, we only concentrated on a single ROI; nevertheless, the projected technique can also work on multiple ROIs. Figure 2 displays the hash value calculation using SHA-256.

Figure 2: Calculating ROI Using SHA-256.
Figure 2:

Calculating ROI Using SHA-256.

4.3 ECC

ECC is a cryptographic method based on the algebraic edifice of elliptic curves over finite fields. It fits public-key cryptography in that each consumer regularly has a pair of keys, a public key and a private key, and also a group of operations related to the keys to perform the cryptographic operations [19]. The architecture offers a four-step technique for guaranteeing the authenticity of the user (Figure 3). The first phase is ordaining the connection, second is account creation, third is authentication, and the last one is data alteration. We utilized ECC as the computational speed of this algorithm has very low association with prevailing linear algorithms. One more benefit is that it has a sub-exponential time difficulty that makes it challenging to crack. The sensitive information is delivered to the encryption algorithm to encode the dependable information to the cloud. The users can clarify the sensitive information using the permission of the information owner via the key. The steps in the procedure of ECC are as follows.

Figure 3: Process of Encryption Based on ECC.
Figure 3:

Process of Encryption Based on ECC.

Step 1: In digital signature, the data/document will be crunched down into a few lines called message digests using the hashing algorithm.

Step 2: The message digest is determined with the private key to provide a digital signature.

Step 3: By using the ECC algorithm, the digitally engaged signature is scrambled with the user’s public key.

Step 4: The data owner will decrypt the digital signature into a message digest by using a sensitive information public key, and convert the cipher text to plain text with this private key, as shown in Figure 3.

The elliptical curve cryptosystem works on the ethics of an elliptic curve. For current cryptographic resolves, an elliptic curve is a plane curve that encompasses the points satisfying the equation. The equation of an elliptic curve over a field K measured in our work is expected as follows:

(4)x3=y3+ay+b,

where x, y are the coordinates and a, b are the elements of K.

There are three phases of the process, i.e. key generation, encryption, and decryption.

Key generation: Key generation is a significant process in that we have to provide both public key and private key. The sender will program the message within the development proprietor’s public key and the data owner will decrypt by using the private key. Currently, we have to select a number f inside the range of m. We can provide the public key by using the following equation:

(5)H=f*q,

where f is a random number that we have nominated within the range of (1 to m−1), q is the point on the curve, H is the public key, and f is the private key.

Encryption: Consider p to be the message that is sensitive. We have to characterize this message on the curve. Consider p as the point M on the curve E. Arbitrarily pick k from [1−(m−1)]. Ciphertexts will be fashioned after encryption; let them be R1 and R2.

(6)R1=k*q.
(7)R2=M+k*H.

Decryption: The message M that was sent is transliterated as the following equation:

(8)M=R2f*R1.

Thus, the sensitive data are encrypted and the authorized users can receive the information based on the connected query. If needed, the user can also access the sensitive information by using the access credentials from the data owner.

4.4 AC

AC is a method that is utilized to compress the bit stream. AC [1, 9, 14] is a statistical coder and it is very effective for lossless data compression. The goal of AC is to define a technique that gives code words with an ideal length. Like for every other entropy coder, it is required to know the probability for the appearance of the individual symbols. The average code length is very close to the possible minimum given by data theory. The AC allocates an interval to each symbol whose size replicates the probability for the appearance of this symbol. The code word of a symbol is an arbitrary rational number belonging to the conforming interval. The whole group of data is characterized by a rational number that is always placed within the interval of each symbol. With information being added, the number of important digits increases continuously. The algorithm for encoding a file using AC works conceptually as follows:

  1. We begin with a “current interval” (L, H) initialized to (0, 1).

  2. For each event in the file, we perform two steps:

    1. We subdivide the current interval into subintervals, one for each possible event. The size of an event’s subinterval is proportional to the estimated probability that the event will be the next event in the file, according to the model of the input.

    2. We select the subinterval corresponding to the event that actually occurs next, and make it the new current interval.

    3. We output enough bits to distinguish the final current interval from all other possible final intervals.

The length of the final subinterval is clearly equal to the product of the probabilities of the individual events, which is the probability P of the particular sequence of events in the file.

5 Proposed Watermarking Process

The aim of this paper is to propose lossless medical image watermarking based on the hybridization of a compression algorithm and an encryption method. Watermarking is particularly used for privacy applications to protect secret messages from an unauthorized person. Basically, the proposed system consists of two phases: (i) embedding and (ii) extraction. Here, we watermark both the medical image information and the patient information. The overall process of the proposed system is given in Figure 4. The embedding and extraction processes are explained in the following subsections.

Figure 4: Overall Process of the Proposed Watermarking Scheme.
Figure 4:

Overall Process of the Proposed Watermarking Scheme.

5.1 Embedding Process

In this paper, the embedding process is performed based on the hybridization of compression and encryption processes. The overall diagram of the embedding process is shown in Figure 5.

Figure 5: Proposed Watermark Embedding Process.
Figure 5:

Proposed Watermark Embedding Process.

Step 1: Consider the input image I with a size of 256×256. Here, at first, we segment the ROI region (IROI) from the input image using the RG algorithm, which was explained in Section 4.1.

Step 2: After the segmentation process, we calculate the hash function of ROI (HashROI) using SHA-256 (refer to Section 4.2).

Step 3: Then, we directly calculate the binary of HashROI (BROI) and change BROI to its hexadecimal value, HROI.

Step 4: To improve the quality of the watermarking, we further directly convert the IROI into binary format (RBROI) and convert the binary image into a hexadecimal value (RHROI).

Step 5: Then, we consider another part of the input, which is the EHR. Here, we encrypt the EHR using the ECC algorithm. The EHR consists of patient reference number, name of the doctor, name of the patient, age of the patient, and date of addition. By using the ECC algorithm, we obtain encrypted EHR (Eencrypt).

Step 6: Thereafter, we convert the Eencrypt information into binary data BEHR. For the purpose of analysis, we further convert the binary information into an equivalent hexadecimal value, HEHR.

Step 6: After the encryption process, we concatenate the image information with EHR. Here, by concatenating HROI, HEHR and RHROI, we obtain CONI.

Step 7: To increase the efficiency of the embedding process, we compress CONI using the AC method. Here, we obtain the compressed bit stream of CBS.

Step 8: Then, we generate the initial random matrix R using the following steps.

The pixel values in the input image I is summed and denoted as Iseed.

(9)Iseed=i=1nj=1nIij.

A random matrix R is generated with the size of input image with the aid of the pseudo-random matrix generation with Iseed:

(10)R=PRMG[Rseed](2×2).

Step 9: Then, we generate the final random matrix RM through R by using the following steps:

  1. The value of 0.5 is subtracted from the generated random matrix R and the resultant matrix is multiplied by 2. The final resultant matrix is denoted as Rt.

    (11)Rt=(R0.5)×2.
  2. Finally, the intended random matrix RM is generated using the pseudo-random matrix generator, with Rt matrix as a seed value.

    (12)RM=PRMG[Rt](2×2).

Step 10: Then, we embed CBS into original image I. Finally, we obtain the watermarked image IW. The embedding process is given below.

  1. If the watermark bit is 0, it means the random matrix RM is multiplied by the embedding strength β and the resultant matrix is added to the original image I.

    (13)[IM]=[IM]+(β*[RM]), where β=2.
  2. If the watermark bit is 1, it means no operation is performed.

Step 11: Repeat steps 9 and 10 until all the watermark pixels are embedded. The initial random matrix R for every iteration is generated from the PRMG initiated with seed Iseed.

5.2 Extraction Process

During the extraction process, an operation reverse to the embedding operation is performed, to extract the compressed bit CBS from a suspicious watermarked image IW and compare it to the original image I and information EHR. In order to discover the original information, in the beginning, the extraction algorithm performs the same operation as the embedding algorithm. At first, the embedded watermark image IW is given to the input of the extraction operation. The extraction process is given in Figure 5 and the step-by-step process is explained below.

Step 1: In the extraction process, first, generate a random matrix RM using steps 8 and 9 cited in the previous subsection. In accordance with the previous subsection, the initial random matrix R for every iteration is generated from the PRMG initiated with seed Iseed.

Step 2: Then, compute the correlation coefficient RCor between the watermarked image IW and the generated random matrix [RM] using the following equation:

(14)RCor=mn(IWmnIW¯)(BmnB¯)(mn(IWmnIW¯)2)(mn(BmnB¯)2),

where IWmn represents the watermarked image, Bmn represents the random matrix RM, IW¯ represents the mean value of IW, and B̅ represents the mean value of B.

Step 3: Divide the calculated correlation coefficient value RCor by two and denote the resultant value as RZ.

(15)RZ=RCor/2.

Step 4: Repeat steps 1 to 3 for the size of watermark image and store the resultant values RZ in a vector VRZ.

Step 5: Then, calculate the mean value of the vector VRZ.

(16)VRZ¯=i=1kVRZi/k, where k|VRZ|.

Step 6: Compare the elements of the vector VRZ against the mean value VRZ¯ for the extraction of watermark image pixels. If the value of the element is greater than the mean value, the extracted watermark image pixel is 0; otherwise, the pixel value is 1. The above process is described as follows:

(17)EBS(x,y)={0,        VRZi>VRZ¯1,        Otherwise, where n=|VRZ|.

Step 7: Decompress the bit stream EBS. Using the arithmetic decoder method, obtain the original bit stream DBS.

Step 8: From the original bit stream DBS, extract HROI, HEHR, RHROI.

Step 9: Convert HEHR into the corresponding bit stream representation as BEHR. Then, change BEHR into the original representation as Eencrypt.

Step 10: Decrypt Eencrypt with K using the ECC method to get EHR.

Step 11: Similarly, calculate the hash for HROI to obtain the original ROI image.

6 Results and Discussion

We offer the results of our proposed methodology and examine our presentation in this section. The proposed watermarking system is executed in a Windows machine with the following configurations: Intel (R) Core i5 processor, 3.20 GHz, 4 GB RAM, and Microsoft Windows 7 Professional operating system platform. The software used for implementation is MATLAB. In our experiment, we used five types of brain tumor images. The input images are shown in Table 1, and an example of EHR used in the experiment is given in Table 2.

Table 1:

Embedding Algorithm.

Input:
 Original image I, EHR, secret key KS
Output:
 Watermarked image IW
Start
1. Get the input from the user
2. Use the RG algorithm to segment the ROI
3. Use SHA-256 to calculate the hash of ROI
4. Use the ECC algorithm to encrypt the EHR
5. Calculate the binary value of ROI
6. Use the concatenation process to concatenate the image and EHR information
7. Use the arithmetic coder to compress the information
8. Use the embedding process to embed the bit into original image
End
Output
Watermarked image IW
Table 2:

Experimental Approach to Input Image.

6.1 Evaluation Measures

The evaluation of the proposed technique is carried out using the following metrics as suggested by equations below.

6.1.1 Peak Signal-to-Noise Ratio (PSNR)

The PSNR is used to measure the quality of the watermarked image. The PSNR is the ratio between the source image and the watermarked image. The PSNR is identified using the mean square error (MSE). The MSE gives the cumulative squared error between the corrupting noise and the maximum power of the signal. Higher PSNR and lower MSE values mean improved quality of watermarking.

PSNR=10log10(2552MSE),

MSE=1MNx=1My=1N[I(i,j)I(i,j)]2,

where I(i, j)→original image and I′(i, j)→ watermarked images.

6.1.2 Normalized Correlation (NC)

NC measures the similarity between the original watermark image and the watermark extracted from the attacked image.

NC=x=1ny=1mI(i,j)I(i,j)x=1ny=1mI2(i,j),

where I(i, j) is the pixel value of the original image and I′(i, j) is the pixel value of the embedded image.

6.2 Experimental Results of the Proposed Methodology

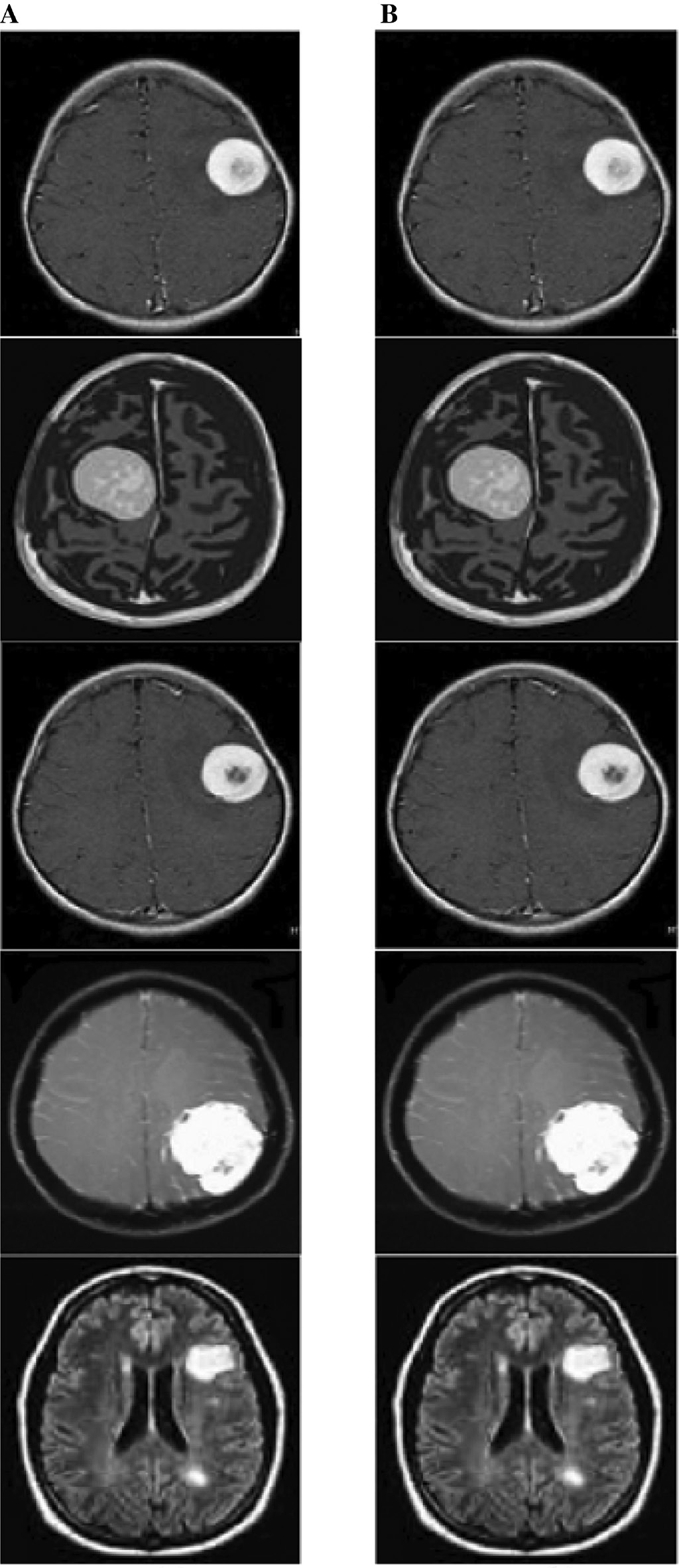
In this proposed watermarking, we hybridize lossless data compression and encryption techniques to embed EHR and image hash in medical images. The hybrid approach increases the security of the information (Table 3). Here, at first, we segment the ROI part from the image using the RG algorithm. Then, we encrypt the ROI part using SHA-256 and encrypt the EHR using the ECC algorithm. Thereafter, we concatenate the information and then compress it using the AC algorithm. The compressed bit stream is embedded into the medical image. Finally, we obtain the watermarked image. We used medical images of size 256×256. Figure 6 shows the original and watermarked images, and Figure 7 shows the experimental results of segmentation.

Figure 6: Experimental Output.(A) Input image. (B) Watermarked image.
Figure 6:

Experimental Output.

(A) Input image. (B) Watermarked image.

Figure 7: Segmentation Output.(A) Input image. (B) Segmented ROI region.
Figure 7:

Segmentation Output.

(A) Input image. (B) Segmented ROI region.

Table 3:

An Example of EHR Used in the Experiment.

The heart foundation: Kolkata
Patient reference number: 019181918
Name of the doctor: Dr. Pratap Singh
Name of the patient: Ms. Rakhi
Age in years: 45
Date of admission: 12.09.2008

The practical implication of our proposed approach is explained in depth in this section. In this work, we hide the ROI and EHR inside the input image. After encryption, we extract the ROI and EHR from the watermarked image. To improve the efficiency of the system, we adopt two types of security level. The first one involves the encryption process and the other one involves the compression process. This hybrid algorithm has less computational complexity. Figure 8 shows the performance of the proposed segmentation method based on PSNR by varying the threshold. In our proposed methodology, for segmentation, we use the RG algorithm. In the RG algorithm, the performance is changed based on the threshold value. As per the analysis, the PSNR value is gradually increased when the threshold value continues to increase. The PSNR value is low when the threshold value is 0.16; similarly, the PSNR value is high when the threshold value is 0.19. Here, our proposed approach achieves the maximum PSNR of 42.2361 dB. In Figure 9, we compare the segmented ROI image with the extracted ROI image. Here, we obtain the maximum accuracy of 98.19% for image 1, 97.07% for image 2, 96.4% for image 3, 97.78% for image 4, and 96.24% for image 5. Figure 10 shows the performance of NC measures. Our proposed approach achieves the maximum NC. Moreover, Figure 11 shows the performance of the proposed technique using different attacks. The attacks are applied in the encryption stage. Attack 1 means we change five pixels and apply the encryption algorithm, and then we measure the result. Here, we obtain almost the same output. Thus, this attack does not properly affect our output. Similarly, we change the pixel values and test our performances. After applying the attack, our method also gives better results. Moreover, Table 4 shows the obtained EHR after applying the attacks. Table 5 shows the results of the watermarking attack for different images. In this work, we used three types of attacks: salt and pepper noise, Gaussian noise and cropping. From the results, we clearly understand that the attacks do not affect the watermarked output. Similarly, Table 6 shows the performance of the proposed approach using the PSNR value and embedding capacity (bits). From the results, we can clearly deduce that our proposed approach achieves better results.

Figure 8: Performance of Segmentation Stage Based on PSNR by Varying Thresholds.
Figure 8:

Performance of Segmentation Stage Based on PSNR by Varying Thresholds.

Figure 9: Performance of Watermark Extraction Accuracy.
Figure 9:

Performance of Watermark Extraction Accuracy.

Figure 10: Performance of Watermark Extraction NC.
Figure 10:

Performance of Watermark Extraction NC.

Figure 11: Performance of Proposed Techniques for Different Attacks.
Figure 11:

Performance of Proposed Techniques for Different Attacks.

Table 4:

Obtained Extracted EHR after Applying Attacks.

Attack-based results
Original dataThe Heart Foundation, Kolkata Patient Reference Number: 019181918 Name of the Doctor: Dr.Pratap Singh Name of the patient: Ms.Rakhi. Age in Years: 45 Date of admission: 12.08.2008
After 5-pixel change (attack 1)The Heart Foundation, Kolkata Patient Reference % Number: 019181918 Name of the Doctor: Dr.Pratap)Singh Name of the patient: Ms.Rakhi. Age i4 Years: 45 Date of admission: 12.08.2008
Attack: 10-pixel changeThe Heart Foundation, Kolkata Patient Reference Number: 019181918 Name of the Doctor: DrJPratap Singh Name of the patient: gs.Rakhi. AQe iB Years: 45 Dat# of admisi5n: 12.08.200 P/
Attack: 15-pixel changeThe Heart Foundation, Kokat’ Patient Reference Number: 0Or181918 Same of hS Do&tor Dr.Pratap Si, h Name of the patient: Ms.Rakhi. Age in Years: 45pDate of admission: 12.08.2008’
Table 5:

Watermarking Attack Results for Different Images.

AttacksPSNR
Image 1Image 2Image 3Image 4Image 5
Salt and pepper noise 10%41.4340.6541.5438.3440.53
Salt and pepper noise 10%40.539.7440.3637.6138.52
Salt and pepper noise 10%39.138.0238.2936.5337.43
Gaussian noise 20%40.4639.9941.3437.7339.45
Gaussian noise 40%39.5138.4540.3436.8338.54
Gaussian noise 60%38.1837.4738.4535.1337.63
Crop 5%40.6239.4340.6138.2338.35
Crop 10%38.5438.1238.5636.8337.45
Crop 20%37.7337.1437.8335.8236.92
Table 6:

Performance of the Proposed Approach Using PSNR Value and Embedding Capacity (Bits).

MethodImagesFile formatPSNREmbedding capacity (bits)
Proposed methodImage 1JPEG42.2372,384
Image 2JPEG41.7172,384
Image 3JPEG42.10272,384
Image 4JPEG40.2272,384
Image 5JPEG41.10572,384

6.3 Comparative Analysis

The performance of the proposed watermarking technique is analyzed with the help of the PSNR and NC. The effectiveness of the proposed technique is demonstrated by performing a comparison between the matching results of the proposed method with those of existing methods [15]. In Ref. [15], Parah et al. explained the medical image watermarking system for E-healthcare applications. They used two different watermarking algorithms. First, they embedded the digital watermark and EPRs in both the ROI and RONI. Second, they used the RONI for hiding the digital watermark and EPRs. In this proposed work, in the segmentation stage, we used the RG algorithm. This algorithm is one of the best algorithms to use for segmentation compared with other methods. Here, we compare our proposed algorithm with a k-means clustering algorithm.

Figure 12 shows the performance analysis based on segmentation accuracy. We compare our proposed RG algorithm with a k-means clustering algorithm. This is also one of the segmentation algorithms used to separate the ROI and RONI. Figure 12 shows that our proposed approach achieves the maximum accuracy of 95.3% for image 1, 97.1% for image 2, 92.54% for image 3, 93.62% for image 4, and 94.67% for image 5. Similarly, using a k-means clustering algorithm, we obtain the maximum PSNRs of 80.34%, 81.43%, 83.54%, 81.54% and 82.9%, respectively. From the outcome, we conclude that the proposed segmentation algorithm is better than the k-means algorithm. Moreover, Figure 13 shows the comparative analysis of the proposed approach against the existing PSNR measure. Figure 13 shows that our proposed approach achieves the maximum PSNR of 42.23 dB, which is 38.53 dB for the existing algorithm. From the results, our proposed approach is better than other methods. Figure 14 shows a comparative analysis between the proposed and the existing NC measure. Our proposed approach achieves the maximum NC value compared to any other approach.

Figure 12: Performance Analysis Based on Segmentation Accuracy.
Figure 12:

Performance Analysis Based on Segmentation Accuracy.

Figure 13: Comparative Analysis of the Proposed Method against the Existing PSNR Measure.
Figure 13:

Comparative Analysis of the Proposed Method against the Existing PSNR Measure.

Figure 14: Comparative Analysis of the Proposed Method against the Existing NC Measure.
Figure 14:

Comparative Analysis of the Proposed Method against the Existing NC Measure.

7 Conclusion

We have formulated an innovative watermarking approach in digital image processing. In this paper, we analyzed the RG, SHA-256, ECC, and AC algorithms. The computational complexity of the proposed method is less, as it uses simple mathematical calculations for generating authentication and recovery data and for recovering the original ROI. The proposed scheme maintains the watermarked image quality with an average PSNR value of 42.23 dB, embedding capacity of 72,384 bits, extracted accuracy of 98%, and NC of 1. The experimental results also indicate that the proposed method provides better watermarked image quality and increases the embedding performance. As a future work, the proposed technique can practically be included within the medical information systems to provide medical image integrity, system authentication and confidentiality.

Bibliography

[1] H.-M. Chao, C.-M. Hsu and S.-G. Miaou, A data-hiding technique with authentication, integration, and confidentiality for electronic patient records, IEEE Trans. Inform. Technol. Biomed.6 (2002), 46–53.10.1109/4233.992161Search in Google Scholar

[2] G. Coatrieux, H. Maitre and B. Sankur, Strict integrity control of biomedical images, in: Proceedings of SPIE Security Watermarking Multimedia Contents III, pp. 229–240, San Jose, CA, 2001.10.1117/12.435403Search in Google Scholar

[3] G. Coatrieux, M. Lamard, W. Daccache, W. Puentes and C. Roux, A low distortion and reversible watermark: application to angiographic images of the retina, in: 27th Annual International Conference of the Engineering in Medicine and Biology Society, pp. 2224–2227, 2006.Search in Google Scholar

[4] M. Hasnaoui and M. Mitrea, Multi-symbol QIM video watermarking, Signal Process. Image Commun.29 (2014), 107–127.10.1016/j.image.2013.07.007Search in Google Scholar

[5] HEMA, DICOM: Digital Imaging and Communication in Medicine, [Online], Available: http://medical.nema.org/.Search in Google Scholar

[6] L.-Y. Hsu and H.-T. Hu, Blind image watermarking via exploitation of inter-block prediction and visibility threshold in DCT domain, Int. J. Sci. Direct32 (2015), 130–143.10.1016/j.jvcir.2015.07.017Search in Google Scholar

[7] S. Kaihara, Realisation of the computerised patient record; relevance and unsolved problems, Int. J. Med. Inform.49 (1998), 1–8.10.1016/S1386-5056(98)00004-5Search in Google Scholar

[8] H. K. Lee, H. J. Kim, K. R. Kwon and J. K. Lee, Digital watermarking of medical image using ROI information, in: Proceedings of 7th International Workshop on Enterprise networking and Computing in Healthcare Industry, pp. 404–407, 2005.Search in Google Scholar

[9] B. Lei, T. E.-L. Tan, S. Chen, D. Ni, T. Wang and H. Lei, Reversible watermarking scheme for medical image based on differential evolution, Exp. Syst. Appl.41 (2014), 3178–3188.10.1016/j.eswa.2013.11.019Search in Google Scholar

[10] M. Li, S. Narayanan and R. Poovendran, Tracing medical images using multi-band watermarks, Conf. Proc. IEEE Eng. Med. Biol. Soc.5 (2004), 3233–3236.Search in Google Scholar

[11] E. Maiorana, P. Campisi and A. Neri, Biometric signature authentication using randon transform-based watermarking techniques, in: IEEE Biometric Symposium, pp. 1–6, 2007.10.1109/BCC.2007.4430543Search in Google Scholar

[12] V. Mehan, R. Dhir and Y. S. Brar, Watermarking for health management system, Int. J. Adv. Res. Comput. Sci. Softw. Eng.3 (2013), 224–228.Search in Google Scholar

[13] R. Pandey, A. K. Singh, B. Kumar and A. Mohan, Iris based secure NROI multiple eye image watermarking for teleophthalmology, J. Multimed. Tools Appl.75 (2016), 14381–14397.10.1007/s11042-016-3536-6Search in Google Scholar

[14] S. A. Parah, J. A. Sheikh and G. M. Bhat, Fragility evaluation of intermediate significant bit embedding (ISBE) based digital image watermarking scheme for content authentication, in: International Conference on Advances in Electronics, Computers and Communications (ICAECC), pp. 1–6, 2014.10.1109/ICAECC.2014.7002424Search in Google Scholar

[15] S. A. Parah, J. A. Sheikh, F. Ahad, N. A. Loan and G. M. Bhat, Information hiding in medical images: a robust medical image watermarking system for E-healthcare, J. Multimed. Tools Appl.76 (2017), 10599–10633.10.1007/s11042-015-3127-ySearch in Google Scholar

[16] F. A. P. Petitcolas, R. J. Anderson and M. G. Kuhn, Information hiding – a survey, in: Proceedings of IEEE Special Issue on Protection of Multimedia Content, vol. 87, pp. 1062–1078, 1999.10.1109/5.771065Search in Google Scholar

[17] C. Qin, H. Wang, X. Zhang and X. Sun, Self-embedding fragile watermarking based on reference-data interleaving and adaptive selection of embedding mode, Int. J. Sci.373 (2016), 233–250.10.1016/j.ins.2016.09.001Search in Google Scholar

[18] P. Rasti, S. Samiei and M. Agoyi, Robust non-blind color video watermarking using QR decomposition and entropy analysis, Int. J. Sci. Direct38 (2016), 838–847.10.1016/j.jvcir.2016.05.001Search in Google Scholar

[19] R. Rodriguez-Colin, F.-U. Claudia and G. d. J. Trinidad-Blas, Data hiding scheme for medical image, in: IEEE 17th International Conference on Electronics Communications and Computers (CONIELECOMP’07), 2007.10.1109/CONIELECOMP.2007.14Search in Google Scholar

[20] A. Sharma, A. K. Singh and S. P. Ghrera, Robust and secure multiple watermarking technique for medical images, Wireless Pers. Commun.92 (2017), 1611–1624.10.1007/s11277-016-3625-xSearch in Google Scholar

[21] A. K. Singh, Improved hybrid technique for robust and imperceptible multiple watermarking using medical images, J. Multimed. Tools Appl.75 (2016), 8381–8401.10.1007/s11042-015-2754-7Search in Google Scholar

[22] A. K. Singh, M. Dave and A. Mohan, Multilevel encrypted text watermarking on medical images using spread-spectrum in DWT domain, Wireless Pers. Commun.83 (2015), 2133–2150.10.1007/s11277-015-2505-0Search in Google Scholar

[23] A. K. Singh, M. Dave and A. Mohan, Multiple watermarking on medical images using selective DWT coefficients, J. Med. Imaging Health Inform.5 (2015), 607–614.10.1166/jmihi.2015.1432Search in Google Scholar

[24] A. K. Singh, M. Dave and A. Mohan, Robust and secure multiple watermarking in wavelet domain, J. Med. Imaging Health Inform.5 (2015), 406–414.10.1166/jmihi.2015.1407Search in Google Scholar

[25] A. K. Singh, B. Kumar, S. K. Singh, S. P. Ghrera and A. Mohand, Multiple watermarking technique for securing online social network contents using back propagation neural network, J. Future Gen. Comput. Syst.25 (2016).10.1016/j.future.2016.11.023Search in Google Scholar

[26] United States Department of Health and Human Services, HIPAA: Medical Privacy – National Standards to Protect the Privacy of Personal Health Information, Available at http://www.hhs.gov/ocr/hipaa/.Search in Google Scholar

[27] A. Zear, A. K. Singh and P. Kumar, A proposed secure multiple watermarking technique based on DWT, DCT and SVD for application in medicine, Multimed. Tools Appl. (2016), 1–20.10.1007/s11042-016-3862-8Search in Google Scholar

Received: 2017-04-08
Published Online: 2017-09-26
Published in Print: 2018-01-26

©2018 Walter de Gruyter GmbH, Berlin/Boston

This article is distributed under the terms of the Creative Commons Attribution Non-Commercial License, which permits unrestricted non-commercial use, distribution, and reproduction in any medium, provided the original work is properly cited.

Downloaded on 17.12.2025 from https://www.degruyterbrill.com/document/doi/10.1515/jisys-2017-0266/html
Scroll to top button