Prenatal screening and diagnosis of genetic abnormalities: SEGO, SEQCML, AEDP consensus recommendations
-
Belén Prieto
, Begoña Adiego
, Javier Suela , Inmaculada Martín , Belén Santacruz , Javier García-Planells , Mar Gil , Concepción González and Eva Barrenechea
Abstract
In this paper, the scientific societies SEGO, SEQCML and AEDP provide a series of consensus-based recommendations for prenatal screening and diagnosis of genetic abnormalities. A set of evaluation indicators are also proposed as a means to improve the quality of the biochemical, ultrasound, and genetic processes involved in prenatal screening and diagnosis of genetic anomalies. Some recommendations are also proposed in relation to invasive prenatal diagnostic procedures, more specifically regarding sample collection and genetic testing. The purpose of this proposal is to unify performance criteria and quality indicators at national level, with audits performed on a regular basis. It is strongly recommended that a national prenatal screening strategy be established and provided with the resources necessary to evaluate the performance of quality indicators and diagnostic procedures under the supervision of health authorities. Protocols should be revised on a regular basis to consider the incorporation of new cost-effective technologies.
Part I. First-trimester screening for genetic abnormalities
Biochemical process
Pre-analytical recommendations
Information for pregnant women and healthcare professionals
All pregnant women must be informed of the benefits and limitations of undergoing prenatal screening for fetal aneuploidy and provide prior informed consent [1].
Informed consent must be obtained (generally orally) by the professional offering the screening test, who is also responsible for informing the patient of:
– her rights
– what fetal screening involves and its voluntary nature
– the alternatives of action in case a high-risk result is obtained.
The clinical laboratory specialist will establish:
– sample collection and transport requirements
– the data required for biochemical testing and the interpretation of results
– preanalytical criteria for sample refusal
– other data of interest (turnaround time, method of delivery of test results…)
Pregnancy details
Along with data of the patient and the date of collection, the laboratory specialist needs to know the age and weight of the patient and the estimated gestational age to identify potential critical values in biochemical markers and evaluate recruitment adequacy.
Some adjustment factors must be introduced in the risk assessment program, such as number of fetuses and chorionicity (in twin pregnancy), ethnicity, assisted reproduction, insulin-dependent diabetes, smoking, and history of previous aneuoploidy.
Sample collection
The blood sample collected by venipuncture will be identified unequivocally with at least two unequivocal identifiers.
Stability and transport
Serum must be separated and stored at 4 °C for later testing, preferably within 72 h of collection. For longer storage periods, especially if samples are received beyond the recommended timeframe (≤24 h), serum will be frozen at −20 °C. Repeated freezing and thawing must be avoided [2].
Custody
In view of analyte stability, it is recommended that an aliquot of the samples be stored at −20 °C for one year, to meet claims or requests for result verification in the future.
According to UNE-EN ISO 15189:2013 standards, test protocols, sample and test records (including calibration, quality control, and results, among others), and certificates of laboratory quality and competence in the measurement of markers must be stored for a period of five years.
Recommendations for analysis
Methods and reagents
Reagents for the determination of biochemical markers in serum, pregnancy-associated plasma protein-A (PAPP-A) and the free β-human chorionic gonadotropin (free β-hCG) must bear the CE mark of approval for testing for Down’s syndrome or trisomy 21 (T21), have proven experience and have calculated median values according to gestational age. The long-term stability of reagents reduces the impact of inter-batch variations.
There are protocols for certification of analytical platforms, reagents, and computer programs for prenatal risk assessment [2], [3], [4]. At present, the Fetal Medicine Foundation algorithm is supported by all analytical platforms in the market, except for DPC Immulite 2000 [5].
It is recommended to use the platforms with the lowest analytical imprecision to ensure that imprecision does not exceed 10% at clinical decision thresholds (1/250 or 1/270 risk) [6].
Calibration standards
It is recommended to use reagents produced in accordance with European directive IVD 98/79/EC and ISO17511:2003 that are standardized against international reference materials, with traceability to the WHO IRP 75/551 and WHO RR 99/650 standards for free βhCG and WHO IRP 78/610 for PAPP-A. Test results should be expressed as UI/L or mUI/mL.
Analytical quality assurance
It is essential to use validated internal quality control materials from suppliers other than the manufacturer of the test used in the laboratory. These control materials must have a long expiration date and long-term stability to be able to evaluate and minimize inter-batch variability.
The analytical quality control protocol must include:
– type and frequency of control measurements
– limit of tolerance
– calibration protocol and corrective measures.
In each analytical series, it is recommended to run control samples at three concentrations per analyte according to the expected concentrations for the corresponding gestational stage. Optimal analytical imprecision is attained with between-day coefficients of variation below 3.5% [5].
In Europe, the most popular cross-comparison prenatal screening program, UK-NEQAS, analyzes the data obtained on a monthly basis and provides an annual report containing not only bias values and imprecision in the measurement of biochemical markers, but also an evaluation of the estimated risk for each sample [4], [7].
Conversion of results to multiples of the median (MoM)
Results must be expressed as MoM for the gestational age and adjusted for the correction factors detailed in section Pregnancy details, as they have a significant impact on the MoM of biochemical markers [8] and on risk assessment. Therefore, it is essential that adjustment factors are detailed in the screening request form [9], and each laboratory must audit them on a regular basis, making local adjustments, where appropriate [4].
Post-analytical recommendations
Risk assessment software
The software used for risk calculation must meet some minimal specifications (Table 1), in view of the variability of results across programs [10].
Recommendations for the risk assessment program.
|
|
|
|
|
|
|
|
|
|
The software must allow to define different populations of pregnant women. In the unaffected population, the median of the MoM must be 1.00. Given that population standard deviation depends on the screening method employed, it is advisable that each laboratory calculates its own deviation values for each analyte. For that purpose, more than 1,000 screening results of the same laboratory must be available In the first trimester of gestation, deviations must be within the following limits: free βhCG [0.25–0.29]; PAPP-A [0.23–0.29]. If values are outside these intervals, the causes will be investigated and corrective actions will be adopted.
For women carrying trisomy-affected fetuses, the median and standard deviation will be collected from large studies, and the software program will be updated regularly.
As they are not completely independent, it is recommended that each laboratory calculates the coefficients of correlation between each pair of markers for their local population, which must be between 0.05 and 0.25 for PAPP-A with free βhCG.
It is advisable that the lower and upper truncation limits for MoM outliers be established at 0.2 and 5.0, respectively, both for free βhCG and PAPP-A. Software programs must allow to modify truncation limits, where appropriate.
Report of test results
Results must be reported in accordance with the needs of the local pregnant population [2], [11]. In general, it is recommended to use an online platform that allows automated data entry, which software ensures the traceability of data by the unequivocal identification of the professionals with access to the program.
Reports will include, at least, the data detailed in Table 2 and will be interpreted by the referring physician.
Minimum data required in a combined screening report.
|
|
|
|
|
|
|
|
|
|
MoM monitoring
The laboratory can use the median values provided by the manufacturer until median values have been calculated for the local population, which requires the analysis of over 100–150 samples for each gestational week. Each laboratory must regularly audit their population medians on the basis of its level of activity. Regular audits of median MoM values will enable laboratories to verify that the deviation of ±10% from the unit is met. The identification of bias will prompt laboratories to take corrective measures and update their local MoM values.
Guidelines for biochemical processing are summarized in Table 3.
Summary of recommendations for biochemical processes.
|
|
|
|
|
|
|
|
|
|
Ultrasound scanning process: quality control of ultrasonographic parameters in combined first-trimester screening
The two ultrasound parameters used in first-trimester combined screening are crown-rump length (CRL) and nuchal translucency (NT).
Technical and healthcare specifications
For CRL and NT to be appropriately measured, some specifications must be met in relation to the ultrasound system (mid- to high-resolution), the duration of examination (at least 25 min), the method used, and operator’s experience, who must have received specific training in first-trimester screening [12], [13].
Training and certification
First-trimester ultrasound should be performed by sonographers experienced and trained in the technique. In Spain, ultrasound training is included in the postgraduate training curriculum (medical residency). The Spanish Society of Gynecology and Obstetrics (SEGO) grants ultrasound specialist certification to the gynecologists who complete their residency training in accredited centers.
The SEGO Section on Ultrasonography (SESEGO) and other entities offer specific ultrasonography training courses regularly, which facilitates specialist training. The 2018 SEGO first-trimester screening guidelines recommend that a quality control of prenatal screening programs be performed on a regularly basis [14].
In Spain, quality criteria for first trimester screening ultrasound are not audited or certified by any organization. First-trimester screening quality control programs have been only implanted in a few autonomous communities.
This document contains a compilation of quality procedures described in guidelines published in USA and other European countries.
In Europe, since 1992, the Fetal Medicine Foundation has conducted a thorough study of first-trimester ultrasound study that has resulted in a set of technical requirements and standards. Additionally, a UK-NEQAS-certified individual certification system has been established. In USA, the American Society for Maternal-Fetal Medicine created the Nuchal Translucency Quality Review, a training program with similar purposes [15].
CRL measurement quality monitoring
CRL measurement standards
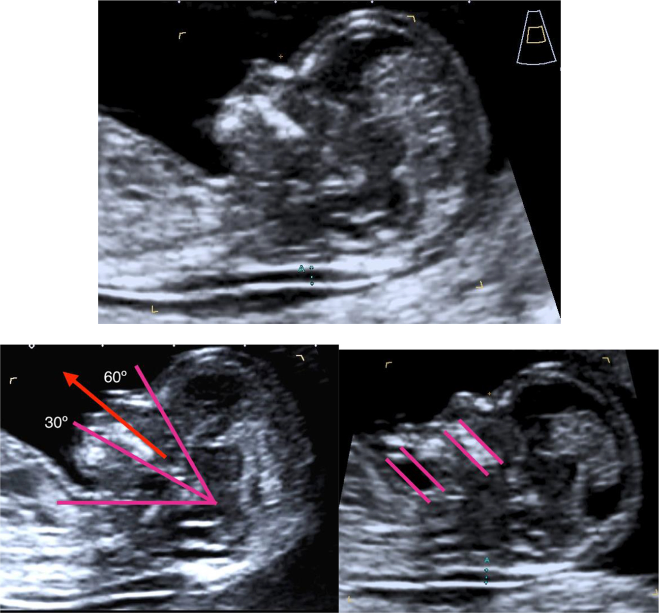
Ensuring strict adherence to international standards is crucial [12], [16], as shown in Figure 1.

CRL measurement standards.
Examination can be transvaginal or transabdominal. CRL between 45 and 84 mm. Midsagittal plane: Sagittal section of the fetus with the head in line with the body. The view must include the echogenic tip of the nose, the nasal bone if present, the diencephalon (do not include the orbit), the insertion of the umbilical cord, the bladder and the genital tubercle. The lower limbs should not be visible. Correct visualization of the cephalic and caudal pole with identification of the crown, the rump and the skin around them. Neutral fetal position, neither flexed (the pocket of amniotic fluid between the lower chin and the thorax must be equal to or greater than the width of the palate); nor extended (Fetal palate angle should be between 30° and 60° with respect to the long axis). Orientation: the plane of CRL should be 0–30° with respect to the horizontal so that the angle between the ultrasound beam and the CRL measurement line is 90°. To ensure that the fetal length is as close as possible to the horizontal, draw a line from the tip of the nose, which should be at the level of or above the abdominal wall with respect to the horizontal. Magnification: the CRL should occupy more than 60% of image space and the entire crown-rump must be seen. Correct caliper placement: place the calipers on the outer border of the skin on the fetal head and rump. Measure the CRL three times and report the mean of three acceptable measurements.
CRL measurement quality control methods
While NT measurement quality control programs have been developed by health entities worldwide, the quality of CRL measurements is rarely assessed, and quality control programs are scarce.
A qualitative Image Scoring Method (ISM) similar to that of NT [17], [18], [19] has been recently proposed. However, this program is useful for training and certification, but not for large-scale auditing.
Large-scale quantitative evaluation of CRL measurement quality based on the distribution of data is less challenging, with the drawback that reference biometric data are not available for comparative analyses, as it is the case of NT. Some authors have proposed to use specific deviations of biochemical markers (PAPP-A and βhCG), which are the result of systematic CRL measurement bias [20].
NT measurement quality assessment methods
NT measurement standards: NT is the component with the highest power for aneuploidy risk assessment. This factor is strongly dependent on the operator and is subject to considerable variability that far exceeds that of biochemical markers. Therefore, adherence to a standardized NT measurement method is essential.
This is of paramount importance, as a minimal bias can negatively affect the efficacy of the screening test. As expected, inaccurate NT measurements also have a negative impact on the detection rate (DR) and the rate of false-positive results (FP). Underestimation reduces DR from 70 to 63% and FP from 2.7 to 1.2%, with overestimation having the opposite effects [21].
Figure 2 shows the optimal criteria for a correct NT measurement [12], [13], [22]

NT measurement standards.
Examination can be performed via transvaginal or transabdominal route. CRL between 45 and 84 mm. Magnification: the image should only include the head and upper thorax. Fetus in neutral position with the head in line with the spine (hyperflexion may result in a lower NT value, whereas an extended position may increase it). Criteria for ensuring a neutral head position: 1. Fetal palate angle should be between 30° and 60° with respect to the long axis. 2. The pocket of amniotic fluid between the lower chin and the thorax must be equal to or greater than the width of the palate. Midsagittal section with the presence of the echogenic tip of the nose, the rectangular shape of the palate, the diencephalon, and the nuchal membrane. The alveolar bone should not be visible. Measure the NT at the maximum echolucent space. Calipers on-on: the cross of the calipers should be placed on the inner borders of the nuchal fold. Reduce the gain to avoid incorporating the amnion Identification of the amniotic membrane separated from the fetus and possible umbilical cord interposition. If the umbilical cord is around the fetal neck, use the average of the measurements of NT above and below the cord.
.
NT measurement quality control methods: Both, qualitative and quantitative methods are used to audit NT measurement quality.
In the qualitative method, a panel of reviewers uses an ISM scoring system based on a set of criteria to evaluate the quality of NT measurements [23], [24], [25]. The ISM scoring system is especially useful for initial training, or when re-training is needed after a systematic bias has been detected in an examiner. However, the application of the ISM system is time-consuming and has a high cost.
Therefore, international clinical practice guidelines recommend the use of quantitative analysis [26] or graphs, which are applicable on a large scale.
The method proposed by WIHRI (Women & Infants Hospital of Rhode Island) was successfully used in the multicenter FASTER study [27], [28]. This method is similar to the one used for biochemical markers and involves an analysis of statistical parameters such as the median MoM, and standard deviation from logarithmic MoM values (target: 0.08–0.13), or the percentage increase by gestational week (target: 15–35%). The median MoM is the best predictor, as it is not subject to the interference of outliers, and a MoM value ranging from 0.9 to 1.1 is considered acceptable.
A limitation of these methods is that deviations are only detected retrospectively, and feedback about sonographer’s performance is delayed, thereby hindering timely correction.
An alternative or complementary approach is the CUSUM method (cumulative sum) [29], [30], [31], [32]. This method is based on the assumption that a natural deviation around a target value occurs in all clinical measurements as a result of the nature of the measurement process itself, which is accepted as normal. The CUSUM method calculates the level of deviation from the expected value in each measurement process and sums it to the previous result (S + t and S − t). The highest the deviation of the mean value from the target value is, the highest the result of the cumulative sum, and the greater the deviation from the target.
The CUSUM chart is a graphical representation of the trend in the outcomes of a series of measurements over time. Sequential S + t and S − t values are represented graphically and compared against two H+ and H− thresholds (upper and lower). If the curve slopes upwards and the overestimation (or underestimation) line exceeds confidence limits, then the process is out of control. This method of ongoing evaluation has the advantage that it is a prospective method and enables early detection of bias.
Quality control boards
It is advisable that quality control boards (local, regional or national) are created to control the quality of first-trimester combined screening, to implement a NT measurement quality control system, and establish the most appropriate evaluation method for each setting.
A feedback mechanism should also be established for examiners to self-audit their performance. Significant deviations from the target value that persist over time should be reported to identify the cause.
Genetic process
Pre-analytical recommendations
Information for pregnant women and professionals
Although both the Spanish Law 41/2002 [1] and Law 14/2007 of July 3rd regulating biomedical research are applicable, it is recommended that an information sheet is provided describing:
the purpose of the genetic test to which the patient is giving consent
the laboratory where the test will be performed and the destination of the biological sample after analysis
the subjects with access to test results (in case they are not anonymized)
the possibility that incidental findings may appear and patient’s option to decide whether they want to be informed or not about them
commitment to provide genetic counseling once the results are available.
Therefore, in a pre-test visit, patients must give written informed consent to undergoing the test and be informed on the limitations of the test, the future interpretation of results, and the complementary tests required.
The prescribing professional should be familiar with the test i. e. its indications, other alternative diagnostic methods, preanalytical sample collection standards, sample transport, sample refusal criteria, and know how to interpret results and the subsequent actions to be taken.
Pregnancy data
Apart from the basic details described in section Pregnancy details, data on the clinical indication, value of combined risk estimation, ultrasound findings, and previous history are required.
It is essential to be aware of the special circumstances in which this test is not recommendable or has a limited informative value:
the mother or the father is a carrier of a Robertsonian translocation (specify the translocation)
maternal body mass index >30 [33]
exposure to low-weight heparin [34]
ART pregnancy, which is relevant to genotyping studies [35]
vanished twin. In case of a vanished twin, a circulating cell-free DNA test (cfDNA) is not recommended
the mother is a carrier of a condition to be analyzed (included in the test) [36]
blood transfusions, organ transplant receptor, generalized infection or neoplasm in a pregnant woman, plasma therapy: All these factors may influence test results as they incorporate an indeterminate amount of plasma DNA (endogenous or exogenous).
Sample collection, stability, and transport conditions
Blood will be drawn by venipuncture. The collection tube and informed consent/extraction order will be identified with at least two different identifiers. It is recommended that a minimum of 6 mL of peripheral blood be collected into a vacuum tube with caution to avoid hemolysis and the sample be mixed with the anticoagulant by gently inverting the tube.
At present, there are two types of cfDNA collection tubes (although their use should be validated against the protocol and the technology available before routine use):
EDTA tube. This tube does not contain additive agents for the preservation of cfDNA or the prevention of cell rupture. The use of this type of tube is not recommended if the sample is not expected to be processed within 4–8 h of collection. Samples must be refrigerated (4 °C) – not frozen – for storage and processing.
cfDNA collection tube. This type of tube is used for preservation of cfDNA for longer periods at the temperature indicated by the manufacturer. The maximum storage time after collection must be validated analytically and indicated in the information sheet provided to the clinician [37].
Samples not meeting the quality standards established in preanalytical requirements or showing alterations (clotted, highly hemolyzed, among others) are not suitable for cfDNA testing.
Custody
The custody of samples should meet all general laboratory certification requirements. In view of the stability of plasma at −80 °C and of the genomic library at −20 °C, it is recommended that an aliquot of the sample be stored in these conditions for one year to meet future claims or requests for result verification.
Analytical recommendations
Methods
cfDNA testing is a recent technology for which quality standards have not yet been established. It is essential that the standard operating procedures used in the laboratory are specified, including the instruments, protocols, and associated technical staff. The cfDNA test can be used in two general contexts [38]:
coverage: whole genome at low resolution or analysis of specific regions
method of analysis: count or genotyping method.
Given the wide variety of technologies currently available, a specific methodology cannot be strictly recommended. The environmental and technological conditions for cfDNA testing must be similar to those of molecular genetic testing for prenatal diagnosis.
The algorithm for testing should have been published and preferably validated at international level, including specific data for the validated series, rate of true and false positives, sensitivity, specificity, predictive values and rate of no-call results, among other data. The algorithm must include an appropriate sample of positives and negatives for each trisomy (T21, T18 and T13) that certifies that the test has been tested in the population of interest (both external and local). It is recommended that studies in the general population have been published. When a commercial algorithm is used, it must have been granted the corresponding validation and accreditation certificates, as well as the documentation certifying that the algorithm is suitable for the methodology to be employed.
Although there is no total consensus, the threshold rate of no-call results is set at 4% of the fetal fraction (FF) in most guidelines. It is recommended that the algorithm calculates the FF as a test quality control [39] and that the FF calculation method used is reported and different from the exclusive detection of chromosome Y (e. g. genotyping or fragment calculation). The limitations of the test must also be described.
The laboratories that do not perform this test must report the laboratory where the test is performed and, where appropriate, be in possession of the corresponding documentation for control purposes.
Analytical quality assurance
The laboratory must have an operating procedure validation system subject to internal and external controls. At local level, both maternal plasma (with a positive or negative result for trisomy validated by an invasive method) and artificial plasma supplied by a certified manufacturer can be used. It is recommended that an annual validation protocol is implemented on a yearly basis for each of the settings to test for (at least, a test for T21, T18 and T13).
Monitoring of protocol, technical, material, and environment quality assurance methods should be performed to optimize test quality.
Entities such as GenQA (Genomics Quality Assessment, an UKNEQAS member) are conducting cross-comparison studies. It is an annual scheme involving two analyses performed using the technology available in each laboratory and the submission of a final report. The European study on cfDNA screening for aneuploidy is a pilot study, although in the light of the wide diffusion on European laboratories, it is expected to become a cross-comparison program throughout 2020.
Post-analytical recommendations
Interpretation of results
The test may yield the following results: HIGH RISK for one of the trisomies tested, LOW RISK for all the trisomies tested, UNINFORMATIVE or NO-CALL result.
Test results must always be interpreted by specialist staff.
A NO-CALL result may delay diagnosis as it may require the test to be repeated using the same initial plasma as the result did not pass quality controls; or require the collection of a new sample due to methodological problems (low FF, others). The recommended window for the new extraction must be indicated. In general, an UNINFORMATIVE result indicates that the test could not be appropriately performed at some stage or in some samples. The recommended subsequent action should be based on clinical evidence.
There are algorithms that combine different clinical datasets, including cfDNA, to calculate the likelihood ratio. In this case, the test can yield a numerical risk result, which must be reported along with a threshold value for high and low risk.
A note should be included to indicate that a low-risk result does not exclude the possibility of a false negative at all, and that test results should be always interpreted in relation to the results of other clinical tests. A low-risk result should always be consistent with the negative predictive values for each trisomy.
A high-risk result should always be accompanied by a positive predictive value for the corresponding trisomy. A note should also be included indicating that the test yielded a low risk for the remainder of trisomies. All high-risk results must be confirmed via an invasive technique.
If the test cannot detect complete triploidy, this needs to be indicated in the informed consent form and test results report.
Test results report
The test result report should include:
two sample identification numbers and date of birth
internal identification number
name of the prescribing specialist and referring center
type of sample (peripheral blood, in this case)
test and technique requested, with indication of the algorithm to be used
test results expressed as high or low risk, and actions recommended to be undertaken
FF measurement (cut-off) and, where appropriate, calculation percentage
name of the specialist(s) who issued the report
date of report
predictive values of the sample with the population of study specified.
Notification of test results must be made in a secure manner. It is recommended to use an interconnected laboratory management software, a patient portal that can be accessed by entering a username and a password or submit an anonymized and encrypted report by e-mail.
Part II. Invasive prenatal diagnosis of genetic abnormalities
Ultrasound-obstetric process: Invasive procedures quality control
Current strategies for prenatal screening for aneuploidy require the ultimate use of techniques that yield a definitive diagnosis and confirm high-risk results via the genetic testing of fetal material collected by an invasive technique.
This section provides a description of quality criteria for invasive testing derived from combined screening for chromosomal abnormalities.
Invasive prenatal testing must be performed by sonographers experienced and trained in the technique. There is solid evidence that unsuccessful procedures and fetal death are associated with operator’s experience [40], [41], [42] and the number of procedures performed in the center [43].
Since the emergence of prenatal cfDNA screening, the number of prenatal invasive procedures has decreased dramatically, what may entail a considerable impact on operators’ training and experience.
Sonographers must receive specific training in centers certified by healthcare institutions. To reduce the impact of the decreasing number of invasive procedures, healthcare institutions should consider changing the traditional training model based on the volume of procedures for a novel simulation-based training model, or on the centralization of invasive testing [44], [45], [46], [47]. These new training models have proven to improve skills and reduce the number of procedures required to complete training [48], [49]
A specific number of supervised procedures cannot be required for an optimization of results, and the range of the procedures required published in the literature is notably wide, between 45 and 300 amniocenteses (AC). However, skills are not expected to improve beyond 100 procedures performed independently [50], [51]. The learning curve for lowest-risk chorionic villus sampling (CVS) stabilizes from 175 procedures [52].
There is no scientific evidence supporting the establishment of a minimum number of procedures per year for an operator to maintain the acquired skills, although some institutions have arbitrarily set this number at 30 [50].
It is essential that a local, and specially an individual training and audit plan is implemented. Both, operators and patients must have easy access to these results.
Monitoring of results must be based on a set of parameters to ensure that skills and quality standards are met [50], [53]. The indicators summarized in Table 4 should be revised on a yearly basis.
Record proposal for the annual evaluation of invasive procedure indicators.
|
|
|
|
|
|
|
|
|
|
|
|
Operator’s skills have been proposed to be reevaluated when the rate of fetal loss exceeds 4/100 or the rate of failure exceeds 8/100 consecutive procedures for AC or 8/100 and 5/100 respectively for CVS [50].
The indication of an invasive procedure must be considered, as a higher rate of spontaneous miscarriages unrelated to the invasive procedure is expected in the presence of certain fetal abnormalities. Regardless of the evaluation method used, the objective should be that 100% of procedures are monitored. A lower percentage is likely to result in an underestimation of the rate of pregnancy losses, as they tend to concentrate in cases lost to follow-up [54].
According to the latest systematic study published [55], the weighted risk of miscarriage after an AC is 0.91% (confidence interval of 95%, 95% CI: 0.73–1.09%). The weighted risk of AC-related fetal loss is 0.30% (95% CI: 0.11–0.49%; I2 = 70.1%).
The weighted risk of miscarriage after a CVS is 1.39% (95% CI: 0.76–2.02%). The weighted risk of losses attributable to CVS is 0.20% (95% CI: −0.13 to 0.52%; I2 = 52.7%).
Genetic process
Pre-analytical considerations
Type of sample
All high-risk cfDNA test results should be confirmed by the analysis of free amniocytes in amniotic fluid, since this material is exclusively fetal (unlike cfDNA), which makes it possible to exclude placental confinement mosaicism. However, CVS can be an alternative in some clinical settings, as it can be performed at an earlier stage of pregnancy, despite the risk that embryonic material is analyzed (trophoblast). Thus, the type of sample will be [56]:
Amniotic fluid from week 16 (never before week 15), for all confirmation settings. A total of 5–20 mL of amniotic fluid stored in a sterilized Falcon tube (conical). Collection syringes will not be sent to the laboratory for the risk of loss of material during transport
Chorionic villi, from week 11 (never before week 10), only in cases of high risk of T21. In cases of high risk of T18 and T13, the presence of ultrasound markers suggestive of the syndrome is required because of the possibility of a placental confinement mosaicism. It is recommended that at least 2 μL of clean chorial material are collected into a sterilized Eppendorf tube containing a minimum of 1 mL of saline, phosphate-buffered saline, or a sterile culture medium to prevent tissue degradation. For CVS karyotyping, a higher volume of starting material may be required.
It is recommended that a source of maternal DNA is available (saliva, blood) to exclude, where appropriate, prenatal sample contamination with maternal material. This test is always recommended in case of CVS (at least, in female fetuses) and when hematic amniotic fluid is analyzed.
Stability and transport
Sample transportation using a rigid container is recommended to reduce the risk of sample tubes being crushed. If samples are shipped within 24 h of collection, they can be transported at room temperature. Otherwise, samples must be refrigerated (4–8 °C). Do not accept fetal material if it is not received within 72 h of collection for the risk of obtaining non-analyzable DNA. Do not freeze the material.
Genetic test indicated. Prioritization protocol
The pregnant woman must be informed on the technique that will be employed in the laboratory and provide informed consent.
Rapid techniques (QF-PCR/FISH)
Initially, the QF-PCR technique is recommended (fluorescence-based quantitative PCR), as it enables, where appropriate, to test for maternal contamination by a second QF-PCR on the maternal sample. It is recommended that the test covers all aneuploidies: T13, T18, T21, X and Y to confirm the risk for the three trisomies and know the fetal gender, including a maternal contamination test where appropriate. In general, a QF-PCR result should be sufficient as a diagnostic method. The recommended maximum turnaround time are 2–3 working days [57].
On suspicion of low-grade fetal mosaicism, a FISH (fluorescence in situ hybridization) analysis will be performed, as this technique can detect levels of mosaicisms below 20%. QF-PCR can detect mosaicism levels of 40% at most.
Genomic microarrays
It is recommended to use an array specific for prenatal diagnosis [58] with a maximum turnoaround time of 5–10 working days. A microarray result confirmatory for a trisomy is considered sufficient as a diagnostic method, regardless of the available ultrasound findings. In case that a specific trisomy is not confirmed, tests for other alterations will be performed as authorized by the informed consent, especially if the technique can detect variants of uncertain significance. Regarding mosaicisms, the rate of detection is 20–30% for comparative genomic hybridization arrays, and 10–20% for single nucleotide polymorphisms arrays.
G-banding
Current recommendations include a combination of QF-PCR and long-term cytogenetic culture (two weeks). In the absence of QF-PCR, long-term culture will be performed. It is recommended to carry out 2–3 separate cultures at least in two separate incubators under different conditions and culture media to prevent contamination. If an abnormal behaviour is observed within 10 natural days (7 working days), the referring specialist should be informed of a possible culture failure. If abnormality persists in the following 14 natural days (10 working days), culture failure should be reported. Ninety-five percent of karyotypes should be informed within 10 working days.
Prenatal G-banding must have a resolution of at least 400 bands for analysis. It is recommended that a minimum of 10 metaphases are revised (or more in the presence of a mosaicism-related genetic finding).
Prioritization protocol
First-line QF-PCR
In CVS, if the result is female and normal, a QF-PCR of maternal material will be performed. If the result is pathologic, it can be considered as a definitive diagnosis. In case a normal result not consistent with ultrasound findings is obtained, a second-line technique is recommended.
Second-line microarray/karyotype
The two techniques are equally useful in the detection of trisomies, with microarray having the advantage of a shorter turnaround time and karyotyping being able to detect rearrangements (Robertsonian translocation).
Genetic counseling, option to study parental DNA
Analytical quality control
The laboratory must have an operating procedure validation system, with the recommendation that both internal and external controls are performed. Entities such as GenQA provide cross-comparison studies. These studies are performed on a yearly basis for prenatal karyotype (in amniotic fluid and CVS), QF-PCR for aneuploidies and prenatal microarray.
The issuing laboratory must have proven experience in performing the election technique for prenatal use. The three techniques must yield a result in >99% of measurements.
Interpretation of results
The results must indicate the DETECTION or NO DETECTION, along with their clinical interpretation, given that the invasive test is diagnostic. According to best practice guidelines of genetics laboratories, the report must be provided in a specific post-test genetic counseling visit.
The implications that genetic abnormalities have for the offspring must be informed. For example, if a test is positive for T21 and T13, it is recommended that a fetal karyotype is obtained to detect the potential presence of a Robertsonian translocation and, in case of positivity, perform a parental study. Fetal karyotype analysis is not necessary if it is directly carried out in the parents to perform a heritability study.
Delivery of test results
The test report must include:
two sample identification numbers and date of birth
internal laboratory identification number
name of the prescribing specialist and referring center
type of sample
test and technique requested, with their limitations described
test result (including the ISCN cytogenetic formula)
interpretation of the test and recommendations on subsequent action
name of the specialist(s) who issued the report
date of report.
Notification of test results must be made in the most secure manner. It is recommended to use interconnected laboratory management software, a patient portal that can be accessed by entering a username and a password, or to submit an anonymized and encrypted report by e-mail.
Follow-up of results
Discordant results must be immediately reported for an audit to be performed where all supplementary documentation must be made available (whether they are false negatives or positives). For such purpose, the proposal of this consensus group is to create a national (or regional) database that includes all cases analyzed in public hospitals (an in private hospital willing to join the program) containing the following details:
test identification
record date and date of issue of the report
clinical indication, remarks
test used (indicate type: whole genome/ specific regions and counting/genotyping/other methods used)
FF measurement (YES/NO, %, genotyping method/size of fragments/other)
production model: local/outsourced
test result (low, T21, T18, T13)
laboratory-confirmed result (CVS/amniotic fluid, YES/NO)
prenatal findings (e. g. suspicion of false-negative, miscarriage, …)
date of delivery
revision of the newborn: healthy, affected
resolution and description of incidences.
Conclusions
This consensus document aims to unify performance criteria and quality indicators (Supplementary Material, Tables 1 to 3) for the different processes of prenatal screening for aneuploidy. It is strongly recommended that a national prenatal screening strategy is established and supervised by healthcare authorities, which indicators and diagnostic procedures are regularly evaluated. Protocols should be evaluated on a regular basis to adapt to novel cost-effective technologies.
-
Research funding: None declared.
-
Author contributions: All authors have accepted responsibility for the entire content of this manuscript and approved its submission.
-
Competing interests: Authors state no conflict of interest.
-
Article Note: The original submission can be found here: https://doi.org/10.1515/almed-2019-0040
References
1. Ley básica reguladora de la autonomía del paciente y de derechos y obligaciones en materia de información y documentación clínica. Ley 41/2002 de 14 de noviembre. Boletín Oficial del Estado no 274, 15 noviembre 2002.Search in Google Scholar
2. Palomaki, GE, Lee, JE, Canick, JA, McDowell, GA, Donnenfeld, AE. For the ACMG Laboratory Quality Assurance Committee. Technical standards and guidelines: prenatal screening for down syndrome that includes first-trimester biochemistry and/or ultrasound measurements. Genet Med 2009;11:669–81. https://doi.org/10.1097/gim.0b013e3181ad5246.Search in Google Scholar PubMed
3. Public Health England. Programme specific operating model for quality assurance of antenatal and newborn screening programmes. PHE Publications; 2107, pp. 1–25. Available at: www.gov.uk/topic/population-screening-programmes. Date of consultation: 27 Ene 2020.Search in Google Scholar
4. FMF certification of biochemical laboratories. Available at: https://fetalmedicine.com/synced/fmf/FMF%20Certification%20of%20Biochemical%20Laboratories.pdf. Date of consultation: 27 Ene 2020.Search in Google Scholar
5. Spencer, K. First trimester maternal serum screening for down’s syndrome: an evaluation of the DPC Immulite 2000 free beta-hCG and pregnancy-associated plasma protein-A assays. Ann Clin Biochem 2005;42:30–40. https://doi.org/10.1258/0004563053026880.Search in Google Scholar PubMed
6. Benn, PA, Collins, R. Evaluation of effect of analytical imprecision in maternal serum screening for Down’s syndrome. Ann Clin Biochem 2001;38:28–36. https://doi.org/10.1258/0004563011900254.Search in Google Scholar PubMed
7. NHS fetal anomaly screening programme – screening for down’s, Edward’s and patau’s syndromes (trisomies 21,18 & 13). NHS public health functions agreement 2018–2019. Available at: https://www.england.nhs.uk/wp-content/uploads/2017/04/Gateway-ref-07837-180913-Service-specification-No.-16-NHS-FASP-Trisomy-screening-2018-19.pdf. Date of consultation: 27 Ene 2020.Search in Google Scholar
8. Cuckle, HS, Wald, NJ, Thompson, SG. Estimating a woman’s risk of having a pregnancy associated wih Down’s syndrome using her age and serum alpha-fetoprotein level. Br J Obstet Gynecol 1987;94:387–402. https://doi.org/10.1111/j.1471-0528.1987.tb03115.x.Search in Google Scholar PubMed
9. Chitayat, D, Langlois, S, Wilson, RD. Prenatal screening for fetal aneuploidy in singleton pregnancies. J Obstet Gynaecol Can 2011;33:736–50. https://doi.org/10.1016/s1701-2163(16)34961-1.Search in Google Scholar PubMed
10. National, NHS. Down’s Syndrome Screening Programme for England. Down’s syndrome screening: risk calculation software requirements. Available at: https://www.gov.uk/government/publications/downs-syndrome-screening-risk-calculation-software-requirements. Date of consultation: 27 Ene 2020.Search in Google Scholar
11. Palomaki, GE, Bradley, LA, McDowell, GA. Down Syndrome Working Group, ACMG laboratory quality assurance Committee. Technical standards and guidelines: prenatal screening for Down syndrome. Gen Med 2005;7:344–54. https://doi.org/10.1097/01.gim.0000167808.96439.f3.Search in Google Scholar PubMed
12. Salomon, LJ, Alfirevic, Z, Bilardo, CM, Chalouhi, GE, Ghi, T, Kagan, KO, et al. ISUOG practice guidelines: performance of first-trimester fetal ultrasound scan. Ultrasound Obstet Gynecol 2013;41:102–13. https://doi.org/10.1002/uog.12342.Search in Google Scholar PubMed
13. GAP Exploración ecográfica del primer trimestre; 2015. https://www.sego.es. Date of consultation: 27 Ene 2020.Search in Google Scholar
14. GAP Cribado y Diagnóstico precoz de anomalías genéticas; 2018. www.sego.es. Date of consultation: 27 Ene 2020.Search in Google Scholar
15. Cuckle, H, Platt, LD, Thornburg, LL, Bromley, B, Fuchs, K, Abuhamad, A, et al.. Nuchal Translucency Quality Review (NTQR) program: first one and half million results. Ultrasound Obstet Gynecol 2015;45:199–204. https://doi.org/10.1002/uog.13390.Search in Google Scholar PubMed
16. NHSISUOG-Salomon. NHS Fetal Screening Programme (NHS FASP). Recomended criteria for measurement of fetal crown rump length (CRL) as part of combined screening for Trisomy 21 within the NHS in England; 2013. Available at: www.fetalanomaly.screening.nhs.uk/standardsandpolicies. Date of consultation: 27 Ene 2020.Search in Google Scholar
17. Fries, N, Althuser, M, Fontanges, M, Talmant, C, Jouk, PS, Tindel, M, et al.. Quality control of an image-scoring method for nuchal translucency ultrasonography. Am J Obstet Gynecol 2007;196:e1–5. https://doi.org/10.1016/j.ajog.2006.10.866.Search in Google Scholar PubMed
18. Wanyonyi, SZ, Napolitano, R, Ohuma, EO, Salomon, LJ, Papageorghiou, AT. Image-scoring system for crown-rump length measurement. Ultrasound Obstet Gynecol 2014;44:649–54. https://doi.org/10.1002/uog.13376.Search in Google Scholar PubMed
19. Dhombres, F, Roux, N, Friszer, S, Bessis, R, Khoshnood, B, Jouannic, JM. Relation between the quality of the ultrasound image acquisition and the precision of the measurement of the crown-rump length in the late first trimester: what are the consequences? Eur J Obstet Gynecol Reprod Biol 2016;207:37–44. https://doi.org/10.1016/j.ejogrb.2016.10.019.Search in Google Scholar PubMed
20. Sabria, J, Guirado, L, Miro, I, Gomez-Roig, MD, Borrell, A. Crown-rump length audit plots with the use of operator-specific PAPP-A and beta-hCG median MoM. Prenat Diagn 2017;37:229–34. https://doi.org/10.1002/pd.4996.Search in Google Scholar PubMed
21. Cuckle, H. Monitoring quality control of nuchal translucency. Clin Lab Med 2010;30:593–604. https://doi.org/10.1016/j.cll.2010.04.012.Search in Google Scholar PubMed
22. Fetal Medicine Foundation. https://fetalmedicine.org/education/the-11-13-weeks-scan. Available at: Date of consultation: 27 Ene 2020.Search in Google Scholar
23. Herman, A, Dreazen, E, Maymon, R, Tovbin, Y, Bukovsky, I, Weinraub, Z. Implementation of nuchal translucency image-scoring method during ongoing audit. Ultrasound Obstet Gynecol 1999;14:388–92. https://doi.org/10.1046/j.1469-0705.1999.14060388.x.Search in Google Scholar PubMed
24. Herman, A, Maymon, R, Dreazen, E, Caspi, E, Bukovsky, I, Weinraub, Z. Nuchal translucency audit: a novel image-scoring method. Ultrasound Obstet Gynecol 1998;12:398–403. https://doi.org/10.1046/j.1469-0705.1998.12060398.x.Search in Google Scholar PubMed
25. Snijders, RJ, Thom, EA, Zachary, JM, Platt, LD, Greene, N, Jackson, LG, et al.. First-trimester trisomy screening: nuchal translucency measurement training and quality assurance to correct and unify technique. Ultrasound Obstet Gynecol 2002;19:353–9. https://doi.org/10.1046/j.1469-0705.2002.00637.x.Search in Google Scholar PubMed
26. Palomaki, GE, Lee, JE, Canick, JA, McDowell, GA, Donnenfeld, AE, ACMG Laboratory Quality Assurance Committee. Technical standards and guidelines: prenatal screening for Down syndrome that includes first-trimester biochemistry and/or ultrasound measurements. Genet Med 2009;11:669–81. https://doi.org/10.1097/gim.0b013e3181ad5246.Search in Google Scholar
27. Malone, FD, Canick, JA, Ball, RH, Nyberg, DA, Comstock, CH, Bukowski, R, et al.. First-trimester or second-trimester screening, or both, for Down’s syndrome. N Engl J Med 2005;353:2001–11. https://doi.org/10.1056/nejmoa043693.Search in Google Scholar PubMed
28. Palomaki, GE, Neveux, LM, Donnenfeld, A, Lee, JE, McDowell, G, Canick, JA, et al.. Quality assessment of routine nuchal translucency measurements: a North American laboratory perspective. Genet Med 2008;10:131–8. https://doi.org/10.1097/gim.0b013e3181616bf8.Search in Google Scholar
29. Biau, DJ, Porcher, R, Salomon, LJ. CUSUM: a tool for ongoing assessment of performance. Ultrasound Obstet Gynecol 2008;31:252–5. https://doi.org/10.1002/uog.5270.Search in Google Scholar PubMed
30. Sabria, J, Barcelo-Vidal, C, Arigita, M, Jimenez, JM, Puerto, B, Borrell, A. The CUSUM test applied in prospective nuchal translucency quality review. Ultrasound Obstet Gynecol 2011;37:582–7. https://doi.org/10.1002/uog.8860.Search in Google Scholar PubMed
31. Hynek, M, Smetanova, D, Stejskal, D, Zvarova, J. Exponentially weighted moving average chart as a suitable tool for nuchal translucency quality review. Prenat Diagn 2014;34:367–76. https://doi.org/10.1002/pd.4314.Search in Google Scholar PubMed
32. Chang, WR, McLean, IP. CUSUM: a tool for early feedback about performance?. BMC Med Res Methodol 2006;6:8. https://doi.org/10.1186/1471-2288-6-8.Search in Google Scholar PubMed PubMed Central
33. Grömminger, S, Erkan, S, Schöck, U, Stangier, K, Bonnet, J, Schloo, R, et al.. The influence of low molecular weight heparin medication on plasma DNA in pregnant women. Prenat Diagn 2015;35:1155–57. https://doi.org/10.1002/pd.4668.Search in Google Scholar PubMed
34. Ashoor, G, Syngelaki, A, Poon, LC, Rezende, JC, Nicolaides, KH. Fetal fraction in maternal plasma cell-free DNA at 11–13 weeks’ gestation: relation to maternal and fetal characteristics. Obstet Gynecol 2012;41:26–32. https://doi.org/10.1002/uog.12331.Search in Google Scholar PubMed
35. Gil, MM, Accurti, V, Santacruz, B, Plana, MN, Nicolaides, KH. Analysis of cell-free DNA in maternal blood in screening for aneuploidies: updated meta-analysis. Ultrasound Obstet Gynecol 2017;50:302–14. https://doi.org/10.1002/uog.17484.Search in Google Scholar PubMed
36. Grömminger, S, Yagmur, E, Erkan, S, Nagy, S, Schöck, U, Bonnet, J, et al. Fetal aneuploidy detection by cell-free DNA sequencing for multiple pregnancies and quality issues with vanishing twins. J Clin Med 2014;3:679–92. https://doi.org/10.3390/jcm3030679.Search in Google Scholar PubMed PubMed Central
37. Wong, D, Moturi, S, Angkachatchai, V, Mueller, R, DeSantis, G, van den Boom, D, Ehrich, M. Optimizing blood collection, transport and storage conditions for cell free DNA increases access to prenatal testing. Clin Biochem 2013;46:1099–104. https://doi.org/10.1016/j.clinbiochem.2013.04.023.Search in Google Scholar PubMed
38. Vermeesch, JR, Voet, T, Devriendt, K. Prenatal and pre-implantation genetic diagnosis. Nat Rev Genet 2016;17:643–5. https://doi.org/10.1038/nrg.2016.97.Search in Google Scholar PubMed
39. Gregg, AR, Skotko, BG, Benkendorf, JL, Monaghan, KG, Bajaj, K, Best, RG, et al.. Noninvasive prenatal screening for fetal aneuploidy, 2016 update: a position statement of the American College of Medical Genetics and Genomics. Genet Med 2016;18:1056–65. https://doi.org/10.1038/gim.2016.97.Search in Google Scholar PubMed
40. Wijnberger, LDE, van der Schouw, YT, Christiaens, GCML. Learning in medicine: chorionic villus sampling. Prenat Diagn 2000;20:241–6. https://doi.org/10.1002/(sici)1097-0223(200003)20:3<241::aid-pd793>3.0.co;2-x.10.1002/(SICI)1097-0223(200003)20:3<241::AID-PD793>3.0.CO;2-XSearch in Google Scholar
41. Mungen, E, Tutuncu, L, Muhcu, M, Yergok, YK. Pregnancy outcome following second-trimester amniocentesis: a case-control study. Am J Perinatol 2006;23:25–30. https://doi.org/10.1055/s-2005-923432.Search in Google Scholar
42. Alfirevic, Z. Who should be allowed to perform amniocentesis and chorionic villus sampling?. Ultrasound Obstet Gynecol 2009;34:12–3. https://doi.org/10.1002/uog.6424.Search in Google Scholar
43. Tabor, A, Vestergaard, CHF, Lidegaard, O. Fetal loss rate after chorionic villus sampling and amniocentesis: an 11-year national registry study. Ultrasound Obstet Gynecol 2009;34:19–24. https://doi.org/10.1002/uog.6377.Search in Google Scholar
44. McWeeney, DT, Schwendemann, WD, Nitsche, JF, Rose, CH, Davies, NP, Watson, WJ, et al.. Transabdominal and transcervical chorionic villus sampling models to teach maternal–fetal medicine fellows. Am J Perinatol 2012;29:497–502. https://doi.org/10.1055/s-0032-1310518.Search in Google Scholar
45. Nizard, J, Duyme, M, Ville, Y. Teaching ultrasound-guided invasive procedures in fetal medicine: learning curves with and without an electronic guidance system. Ultrasound Obstet Gynecol 2002;19:274–7. https://doi.org/10.1046/j.1469-0705.2002.00647.x.Search in Google Scholar
46. Karasahin, E, Alanbay, I, Ercan, M, Yenen, MC, Dede, M, Baser, I. Simple, cheap, practical and efficient amniocentesis training model made with materials found in every obstetrics clinic. Prenat Diagn 2009;29:1069–70. https://doi.org/10.1002/pd.2341.Search in Google Scholar
47. Wax, JR, Cartin, A, Pinette, MG. The birds and the beans: a low-fidelity simulator for chorionic villus sampling skill acquisition. J Ultrasound Med 2012;31:1271–5. https://doi.org/10.7863/jum.2012.31.8.1271.Search in Google Scholar
48. Pittini, R, Oepkes, D, Macrury, K, Reznick, R, Beyene, J, Windrim, R. Teaching invasive perinatal procedures: assessment of a high fidelity simulator-based curriculum. Ultrasound Obstet Gynecol 2002;19:478–83. https://doi.org/10.1046/j.1469-0705.2002.00701.x.Search in Google Scholar
49. Khurshid, N, Trampe, B, Heiser, T, Birkeland, L, Duris, E, Stewart, K, et al.. Impact of an amniocentesis simulation curriculum for training in MFM fellowship program. Am J Obstet Gynecol 2014:S212. https://doi.org/10.1016/j.ajog.2013.10.453.Search in Google Scholar
50. Royal College of Obstetricians and Gynaecologists. Amniocentesis and chorionic villus sampling. Green-top Guideline No. 8. London: RCOG Press; 2010. Available at: https://www.rcog.org.uk/en/guidelines-research-services/guidelines/gtg8/. Date of consultation: 27 Ene 2020.Search in Google Scholar
51. Royal Australian and New Zealand College of Obstetricians and Gynaecologists Certification in Maternal fetal Medicine training program handbook; 2020. Available at: https://ranzcog.edu.au/training/subspecialist-training/current-trainees-(4)/training-program-handbooks. Date of consultation: 27 Ene 2020.Search in Google Scholar
52. Saura, R, Gauthier, B, Taine, L, Wen, ZQ, Horovitz, J, Roux, D, et al.. Operator experience and fetal loss rate in transabdominal CVS. Prenat Diagn 1994;14:70–1. https://doi.org/10.1002/pd.1970140115.Search in Google Scholar PubMed
53. ISUOG Practice Guidelines. Invasive procedures for prenatal diagnosis. Ultrasound Obstet Gynecol 2016;48:256–8. https://doi.org/10.1002/uog.15945.Search in Google Scholar PubMed
54. Halliday, JL, Sheffield, LJ, Danks, D, Lumley, J. Complete follow-up in assessing fetal losses after chorionic villus sampling. Lancet 1990;335:1156. https://doi.org/10.1016/0140-6736(90)91157-6.Search in Google Scholar PubMed
55. Salomon, LJ, Sotiriadis, A, Wulff, CB, Odibos, A, Akolekar, R. Risk of miscarriage following amniocentesis or chorionic villus sampling: systematic review of literature and updated meta-analysis. Ultrasound Obstet Gynecol 2019;54:442–51. https://doi.org/10.1002/uog.20353.Search in Google Scholar PubMed
56. Cherry, AM, Akkari, YM, Barr, KM, Kearney, HM, Rose, NC, South, ST, et al.. Diagnostic cytogenetic testing following positive noninvasive prenatal screening results: a clinical laboratory practice resource of the American College of Medical Genetics and Genomics (ACMG). Genet Med 2017;19:845–85. https://doi.org/10.1038/gim.2017.91.Search in Google Scholar PubMed
57. Association for Clinical Cytogenetics. Prenatal diagnosis best practice guidelines; 2009. Available at: https://www.acgs.uk.com/quality/best-practice-guidelines/. Date of consultation: 27 Ene 2020.Search in Google Scholar
58. Suela, J, López-Expósito, I, Querejeta, ME, Martorell, R, Cuatrecasas, E, Armengol, L, et al.. Recommendations for the use of microarrays in prenatal diagnosis. Med Clin (Barc) 2017;148:328.e1–8. https://doi.org/10.1016/j.medcle.2016.12.065.Search in Google Scholar
Supplementary Material
The online version of this article offers supplementary material (https://doi.org/10.1515/almed-2020-0043).
© 2020 Belén Prieto et al., published by De Gruyter, Berlin/Boston
This work is licensed under the Creative Commons Attribution 4.0 International License.
Articles in the same Issue
- Obiturary / Obituario
- In memoriam Dr. Josep Maria Queraltó, esteemed member of the SEQCML for 35 years
- In memoriam Dr. Josep María Queraltó, destacado miembro de la SEQCM L desde hace 35 años
- Editorial
- Biological variation: a still maturing aspect of laboratory medicine
- Variación biológica: un aspecto de la medicina de laboratorio aún en desarrollo
- Liquid biopsy. A challenge for clinical laboratories
- Biopsia líquida: un reto para el laboratorio de diagnóstico clínico
- Review / Artículo de Revisión
- Big data and artificial intelligence in future patient management. How is it all started? Where are we at now? Quo tendimus?
- Big data e inteligencia artificial en el futuro manejo de pacientes. ¿Por dónde empezar? ¿En qué punto nos encontramos? ¿Quo tendimus?
- Liquid biopsy for cancer management: a revolutionary but still limited new tool for precision medicine
- La biopsia líquida en el manejo del cáncer: una nueva herramienta revolucionaria de la medicina de precisión, aún con limitaciones
- Mini Review / Mini-Revisión
- Models to estimate biological variation components and interpretation of serial results: strengths and limitations
- Modelos para estimar la variación biológica y la interpretación de resultados seriados: bondades y limitaciones
- Guidelines and Recommendations / Guias y Recomendaciones
- Prenatal screening and diagnosis of genetic abnormalities: SEGO, SEQCML, AEDP consensus recommendations
- Cribado y diagnóstico prenatal de anomalías genéticas: recomendaciones de consenso SEGO, SEQCML, AEDP
- Original Article / Artículo Original
- Optimization of workflow and screening panels for the detection of malignant monoclonal gammopathies
- Optimización de flujos de trabajo y paneles de cribado para la detección de gammapatias monoclonales malignas
- Critical appraisal and meta-analysis of biological variation studies on glycosylated albumin, glucose and HbA1c
- Evaluación crítica y meta-análisis de estudios de variación biológica para albúmina glicosilada, glucosa y HbA1c
- Case Report / Caso Clínico
- Mulberry bodies in the urine sediment of a patient with chronic kidney disease
- Cuerpos de mora en sedimento urinario de una paciente con enfermedad renal crónica
- Letter to the Editor / Carta al Editor
- An app for mycetism in emergency care
- Una aplicación App para micetismos en urgencias
Articles in the same Issue
- Obiturary / Obituario
- In memoriam Dr. Josep Maria Queraltó, esteemed member of the SEQCML for 35 years
- In memoriam Dr. Josep María Queraltó, destacado miembro de la SEQCM L desde hace 35 años
- Editorial
- Biological variation: a still maturing aspect of laboratory medicine
- Variación biológica: un aspecto de la medicina de laboratorio aún en desarrollo
- Liquid biopsy. A challenge for clinical laboratories
- Biopsia líquida: un reto para el laboratorio de diagnóstico clínico
- Review / Artículo de Revisión
- Big data and artificial intelligence in future patient management. How is it all started? Where are we at now? Quo tendimus?
- Big data e inteligencia artificial en el futuro manejo de pacientes. ¿Por dónde empezar? ¿En qué punto nos encontramos? ¿Quo tendimus?
- Liquid biopsy for cancer management: a revolutionary but still limited new tool for precision medicine
- La biopsia líquida en el manejo del cáncer: una nueva herramienta revolucionaria de la medicina de precisión, aún con limitaciones
- Mini Review / Mini-Revisión
- Models to estimate biological variation components and interpretation of serial results: strengths and limitations
- Modelos para estimar la variación biológica y la interpretación de resultados seriados: bondades y limitaciones
- Guidelines and Recommendations / Guias y Recomendaciones
- Prenatal screening and diagnosis of genetic abnormalities: SEGO, SEQCML, AEDP consensus recommendations
- Cribado y diagnóstico prenatal de anomalías genéticas: recomendaciones de consenso SEGO, SEQCML, AEDP
- Original Article / Artículo Original
- Optimization of workflow and screening panels for the detection of malignant monoclonal gammopathies
- Optimización de flujos de trabajo y paneles de cribado para la detección de gammapatias monoclonales malignas
- Critical appraisal and meta-analysis of biological variation studies on glycosylated albumin, glucose and HbA1c
- Evaluación crítica y meta-análisis de estudios de variación biológica para albúmina glicosilada, glucosa y HbA1c
- Case Report / Caso Clínico
- Mulberry bodies in the urine sediment of a patient with chronic kidney disease
- Cuerpos de mora en sedimento urinario de una paciente con enfermedad renal crónica
- Letter to the Editor / Carta al Editor
- An app for mycetism in emergency care
- Una aplicación App para micetismos en urgencias