Dry Needling–Induced Pneumothorax
-
Niyati Patel
Abstract
Dry needling is a widely used alternative therapy for musculoskeletal disorders, such as myofascial pain. The procedure involves placing a solid monofilament needle into myofascial trigger points or connective tissue to relieve pain. Some of the complications secondary to this procedure include cardiac tamponade, hematoma, infection, nerve injury, and pneumothorax. Although the incidence is low, the complications can be potentially life threatening. We present the case of a 44-year-old man who had dry needling of the infraspinatus, supraspinatus, rhomboid, and paraspinal muscles with subsequent development of a left apical pneumothorax. Given that the pneumothorax was small, the patient had good recovery with supplemental oxygen. Although the incidence of pneumothorax is very low, it is an important diagnosis to consider for a patient presenting with dry cough, malaise, chest pain, or shortness of breath after a dry needling procedure. Patients should be made aware of these potential complications as part of an informed consent.
Myofascial pain arises from hyperirritable nodules that are palpable in a taut band of skeletal muscles, also known as myofascial trigger points. The pathogenesis of myofascial trigger points is not completely understood, but several theories have been proposed. According to one theory, they are a result of “muscle overload and overuse.”1 Another theory, called the Cinderella hypothesis, proposes that smaller type I fibers are recruited first and derecruited last during submaximal levels of exertion, which results in metabolic overload and renders the muscle susceptible to damage and calcium dysregulation.1 An alternative theory proposes that sustained low levels of muscle contractions, such as those required for posture and precision, result in decreased perfusion to the muscle, and lead to ischemia, hypoxia, insufficient adenosine triphosphate synthesis, and sarcomere contraction due to calcium accumulation. This cascade of reactions further decreases perfusion and aggravates the problem, thus forming a myofascial trigger point.1 Myofascial trigger points can be classified as active or latent. Active myofascial trigger points cause spontaneous pain and may result in motor dysfunction.2 Latent myofascial trigger points have similar properties, except that pain occurs with deep palpation.2
Although there is no standard of care for the management of myofascial pain, dry needling may provide symptomatic pain relief by inducing changes in the surrounding fascia.2 Dry needling procedures are performed by various professionals, such as acupuncturists, chiropractors, physical therapists, and physicians with varying levels of training. Although the risk of complications with these procedures is quite low, potential risks of dry needling include cardiac tamponade, hematoma, infection, nerve injury, and pneumothorax.3
Acupuncture, a form of traditional Chinese medicine, uses similar monofilament needles to restore the “Qi” or flow of energy by stimulating acupoints along the meridians or pathways within the body through which energy flows. According to Choi et al,4 Ashi points are “nonspecific pressure points that elicit pain upon palpation” that are also managed with acupuncture for local pain relief. Some professionals claim that dry needling is the Western version of Ashi point acupuncture.5 Unlike dry needling, acupuncture is provided by licensed physicians and acupuncturists who have undergone several years of training and passed a board examination by the National Certification Commission of Acupuncture and Oriental Medicine. However, even with this extensive training and certification, a prospective observational study involving 229,230 patients with a mean (SD) of 10.2 (3.0) acupuncture treatments showed that 19,726 patients (8.6%) reported at least 1 adverse effect of acupuncture, with 2 patients reporting a pneumothorax.6
In the present report, we describe a case in which a pneumothorax developed in a patient after dry needling of the infraspinatus, supraspinatus, rhomboid, and paraspinal muscles.
Report of Case
A 44-year-old man presented to the emergency department with nonproductive cough and malaise after a dry needling procedure the previous day. He had trigger point injections and dry needling done on the infraspinatus, supraspinatus, rhomboid, and left side paraspinal muscles. The patient reported receiving a total of 5 treatment sessions over the past 2 years. One day after the most recent treatment, he felt more sore than usual. In addition, he noted that his dry cough and malaise worsened when he attempted to exercise. He did not have any chest pain, shortness of breath, recent illness, or travel history.
The patient's initial vital signs were as follows: temperature, 98.4°F; heart rate, 86/min; respiratory rate, 20/min; blood pressure, 123/75 mm Hg; and oxygen saturation while breathing room air, 97%. He was found to be alert, oriented, and in no acute distress. There was no evidence of an injection site seen on skin examination. Cardiac examination revealed regular rate and rhythm, with S1 and S2 heart sounds present and no murmurs, rubs, or gallops. The patient's lungs were clear to auscultation bilaterally, and no rales, rhonchi, or wheezes were heard. He had tenderness to palpation at the left paraspinal muscles at T1-T4. The rest of the physical examination findings were unremarkable.
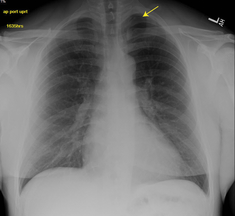
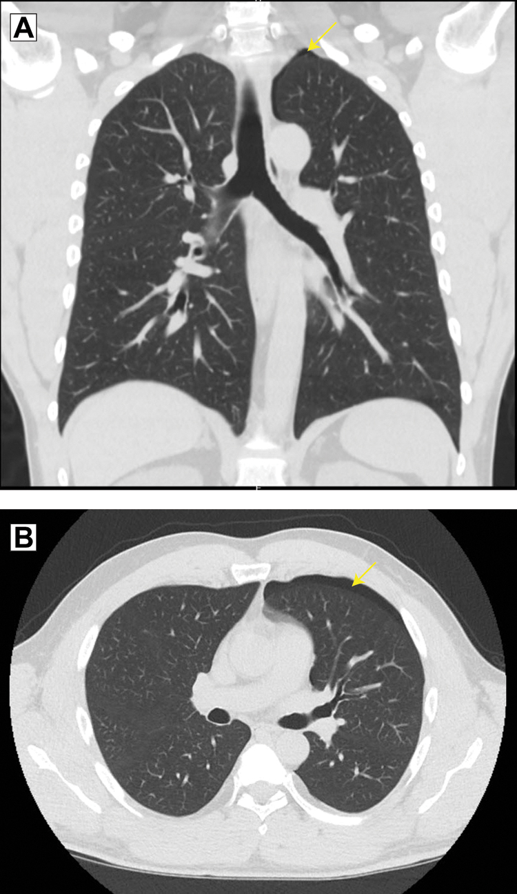
Initial evaluation in the emergency department included complete blood cell count and comprehensive metabolic panel, the results of which were unremarkable. Because of the dry cough, portable chest x-ray imaging was done. The radiograph raised concern for left apical pneumothorax (Figure 1). Subsequently, computed tomographic images of his chest without contrast revealed a small left apical pneumothorax (Figure 2).

Anterior-posterior upright chest radiograph demonstrating a small left apical pneumothorax in a 44-year-old man who had dry needling of the infraspinatus, supraspinatus, rhomboid, and paraspinal muscles.

Computed tomographic images of the chest in the (A) coronal view and (B) axial view demonstrated a small, left-sided apical pneumothorax. The patient was a 44-year-old man who had undergone dry needling of the infraspinatus, supraspinatus, rhomboid, and paraspinal muscles 1 day earlier.
Therapeutic Intervention
The patient was admitted to the general medical floor for monitoring and was evaluated by a thoracic surgeon. Because of the small size of the pneumothorax, the patient was given supplemental oxygen via nasal cannula to help reabsorb the pneumothorax. A chest radiograph obtained the following day showed a decrease in the size of the pneumothorax. Given this improvement and resolution of symptoms, the patient was discharged.
A chest radiograph obtained 1 week after discharge showed resolution of the pneumothorax. The patient was completely asymptomatic and was able to resume his normal activities.
Discussion
Dry needling is a widely used treatment modality for musculoskeletal disorders; however, it holds a small but significant risk for complications, such as pneumothorax, cardiac tamponade, and hematoma. Here we described a case of pneumothorax as a consequence of dry needling to the infraspinatus, supraspinatus, rhomboid, and paraspinal muscles. Dry needling to these muscles poses a significant risk of pneumothorax and requires a skilled practitioner with in-depth knowledge of anatomy.3 Given that these services are provided by professionals with varying levels of training and experience, patients must be cautious in selecting a provider.
Dry needling–induced pneumothorax can have variations in presentation, with some patients experiencing shortness of breath immediately after the procedure, and others having symptoms minutes to hours later.3 In the current case, the patient presented with dry cough, malaise, and pain at the needling site a day after having a dry needling procedure. According to guidelines by the American College of Chest Physicians,7 a clinically stable patient with primary spontaneous pneumothorax less than 3 cm from apex to cupola should be treated conservatively with observation; needle aspiration or chest tube placement is not indicated. Patients with a larger pneumothorax or with chest pain and dyspnea would require needle aspiration or chest tube placement. Because our patient had a small pneumothorax, we were able to manage it with supplemental oxygen.
Conclusion
Dry needling is an invasive procedure that is performed by professionals with varying levels of training and experience, including acupuncturists, chiropractors, physical therapists, and physicians. Given that it has rare but significant complications, such as pneumothorax as seen in this case, patients need to be cautious in choosing a provider. Physicians, especially in the emergency department and primary care, should also be aware of dry needling–induced pneumothorax because patients may present with varying symptoms. In this case, the patient presented with dry cough, malaise, and pain at the injection site but no dyspnea.
References
1. Shah JP , ThakerN, HeimurJ, AredoJV, SikdarS, GerberL. Myofascial trigger points then and now: a historical and scientific perspective. PM R. 2015;7(7):746-761. doi:10.1016/j.pmrj.2015.01.024Search in Google Scholar PubMed PubMed Central
2. Shah JP , GilliamsEA. Uncovering the biochemical milieu of myofascial trigger points using in vivo microdialysis: an application of muscle pain concepts to myofascial pain syndrome. J Bodyw Mov Ther. 2008;12(4):371-384. doi:10.1016/j.jbmt.2008.06.006Search in Google Scholar PubMed
3. Halle JS , HalleRJ. Pertinent dry needling considerations for minimizing adverse effects—part one. Int J Sports Phys Ther. 2016;11(4):651-662.Search in Google Scholar
4. Choi EM , JiangF, LonghurstJC. Point specificity in acupuncture. Chin Med. 2012;7:4. doi:10.1186/1749-8546-7-4Search in Google Scholar PubMed PubMed Central
5. Fan AY , XuJ, LiYM. Evidence and expert opinions: dry needling versus acupuncture (I): the American Alliance for Professional Acupuncture Safety (AAPAS) white paper 2016.Chin J Integr Med.2017;23(1):3-9. doi:10.1007/s11655-016-2630-ySearch in Google Scholar PubMed
6. Witt CM 1, PachD, BrinkhausB, et al.Safety of acupuncture: results of a prospective observational study with 229,230 patients and introduction of a medical information and consent form. Forsch Komplementmed. 2009;16(2):91-97. doi:10.1159/000209315Search in Google Scholar PubMed
7. Baumann MH , StrangeC, HeffnerJE, et al; AACP Pneumothorax Consensus Group. Management of spontaneous pneumothorax: an American College of Chest Physicians Delphi consensus statement. Chest. 2001;119(2):590-602.10.1378/chest.119.2.590Search in Google Scholar PubMed
© 2019 American Osteopathic Association
This work is licensed under the Creative Commons Attribution-NonCommercial-NoDerivatives 4.0 International License.
Articles in the same Issue
- EDITORIAL
- Driving Progress and Innovation Through Research
- STILL RELEVANT?
- Jeanette “Nettie” Bolles: The First Female DO
- ORIGINAL CONTRIBUTION
- Correlation Between Physiologic and Osteopathic Measures of Sympathetic Activity in Women With Polycystic Ovary Syndrome
- BRIEF REPORT
- Tolerance of Rib Raising Among Hospitalized Patients: A Pilot Study
- REVIEW
- Nonpharmacologic Management of Symptoms in Females With Polycystic Ovary Syndrome: A Narrative Review
- Structural and Functional Aberrations of the Auditory Brainstem in Autism Spectrum Disorder
- JAOA/AACOM MEDICAL EDUCATION
- First-Year Experience Implementing an Adaptive Learning Platform for First- and Second-Year Medical Students at the Lake Erie College of Osteopathic Medicine
- CASE REPORT
- Dry Needling–Induced Pneumothorax
- CLINICAL IMAGES
- Creutzfeldt-Jakob Disease
- Streptococcus gallolyticus Group Bacteremia and Colonic Adenocarcinoma
Articles in the same Issue
- EDITORIAL
- Driving Progress and Innovation Through Research
- STILL RELEVANT?
- Jeanette “Nettie” Bolles: The First Female DO
- ORIGINAL CONTRIBUTION
- Correlation Between Physiologic and Osteopathic Measures of Sympathetic Activity in Women With Polycystic Ovary Syndrome
- BRIEF REPORT
- Tolerance of Rib Raising Among Hospitalized Patients: A Pilot Study
- REVIEW
- Nonpharmacologic Management of Symptoms in Females With Polycystic Ovary Syndrome: A Narrative Review
- Structural and Functional Aberrations of the Auditory Brainstem in Autism Spectrum Disorder
- JAOA/AACOM MEDICAL EDUCATION
- First-Year Experience Implementing an Adaptive Learning Platform for First- and Second-Year Medical Students at the Lake Erie College of Osteopathic Medicine
- CASE REPORT
- Dry Needling–Induced Pneumothorax
- CLINICAL IMAGES
- Creutzfeldt-Jakob Disease
- Streptococcus gallolyticus Group Bacteremia and Colonic Adenocarcinoma