Primary pulmonary synovial sarcoma in the bronchial cavity: A case report
-
Jianliang Li
, Jia TianJianliang LiDepartment of Thoracic Surgery, The Second People’s Hospital of Liaocheng, No. 306, Jiankang Street, Linqing City, Liaocheng, Shandong, 252600, ChinaSearch for this author in: , Lin RongJia TianDepartment of Pathology, The Second People’s Hospital of Liaocheng, No. 306, Jiankang Street, Linqing City, Liaocheng, Shandong, 252600, ChinaSearch for this author in: , Junjie MaLin RongDepartment of Thoracic Surgery, The Second People’s Hospital of Liaocheng, No. 306, Jiankang Street, Linqing City, Liaocheng, Shandong, 252600, ChinaSearch for this author in: and Qiuyue ZhangJunjie MaDepartment of Thoracic Surgery, The Second People’s Hospital of Liaocheng, No. 306, Jiankang Street, Linqing City, Liaocheng, Shandong, 252600, ChinaSearch for this author in:Qiuyue ZhangDepartment of Clinical Laboratory, The Second People’s Hospital of Liaocheng, No. 306, Jiankang Street, Linqing City, Liaocheng, Shandong, 252600, ChinaSearch for this author in:
Abstract
Synovial sarcoma, a mesenchymal spindle cell malignancy commonly seen in young and middle-aged adults, typically occurs in the soft tissues around the major joints of the extremities, with some reports of occurrences outside the joints. However, primary pulmonary cases are rare. This study reports a 52-year-old female patient who was admitted due to coughing and recurrent haemoptysis and was ultimately diagnosed with primary pulmonary synovial sarcoma (PPSS) through surgery and pathology after a series of examinations, including computed tomography scans and bronchoscopy. The tumour was located at the orifice of the dorsal segment of the right lower lobe, and she underwent thoracoscopic right lower lobectomy + lymphadenectomy. After 1 year of follow-up, the patient was in good general condition, without discomfort or signs of tumour recurrence or metastasis. PPSS grows slowly and presents insidiously, with imaging findings lacking specificity, making it easily confused with lung cancer and other pulmonary tumours. In conclusion, this case provides physicians with insights into the clinical presentation, imaging features and necessary pathological and molecular biological tests for PPSS diagnosis, which is essential for improving diagnostic accuracy.
1 Introduction
Primary pulmonary synovial sarcoma (PPSS) is a rare malignancy, accounting for only 0.3–1.3% of pulmonary sarcomas [1]. It is associated with a poor prognosis, with a 5-year survival rate of approximately 50%. The prognosis is generally poor in advanced stages because of inoperability or metastasis. PPSS can manifest with symptoms such as cough, haemoptysis, and chest pain, depending on the location and size of the tumour [2]. The definitive diagnosis of PPSS relies on pathological examination and molecular methods, particularly detecting the t(X;18) chromosomal translocation [3]. Treatment often involves surgical resection and lymph node dissection, although the rarity of the disease makes treatment protocols less established. Compared with the case reported by Malik et al., the PPSS case we present is in its early stage and has a more insidious onset [4]. This case report highlights a patient with bronchial cavity-type PPSS and details her treatment course, offering valuable insights for clinicians managing similar cases.
2 Case report
2.1 General information
A 52-year-old female was admitted to the Second People’s Hospital of Liaocheng on 26 September 2023, presenting with a 2-month history of coughing and recurrent haemoptysis. The haemoptysis involved fresh blood that filled her mouth but was not substantial in quantity; this occurred three times. A chest computed tomography (CT) scan in July 2023 revealed bilateral pulmonary nodules. Anti-inflammatory and haemostatic medications temporarily resolved the haemoptysis, but coughing persisted. A follow-up CT revealed a small nodule in the right lower lung lobe (Figure 1), with a recommendation for a contrast-enhanced scan. Throughout her illness, her mental state, appetite, sleep, and body functions remained normal, with no weight loss. She had endoscopic polypectomies 5 years and 1 year ago. Her medical history excludes hypertension, coronary heart disease, diabetes, cerebrovascular diseases, mental illnesses, hepatitis, tuberculosis, malaria, and close contact with infectious diseases. She is up to date on vaccinations and has no history of trauma, blood transfusion or allergies to medications or foods.

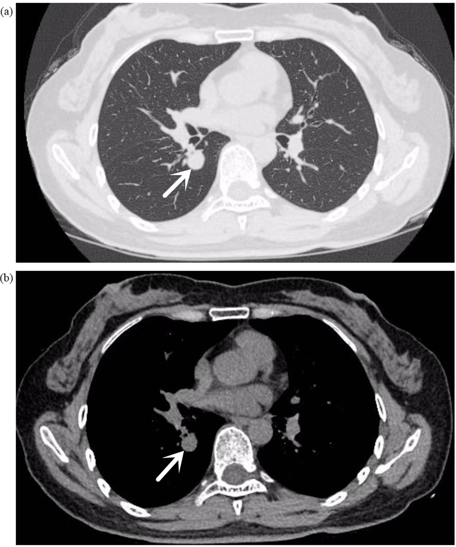
(a) (Lung window), (b) (mediastinal window) chest plain CT: small nodules in the dorsal segment of the right lower lobe, with smooth margins. The arrow indicates the location of the tumor.
-
Informed consent: Informed consent has been obtained from all individuals included in this study.
-
Ethical approval: The research related to human use has been complied with all the relevant national regulations, institutional policies and in accordance with the tenets of the Helsinki Declaration, and has been approved by the Ethics Committee of The Second People’s Hospital of Liaocheng, Approval Number: [2023] Medical Ethics Review No. (32).
2.2 Post-admission examinations
Upon admission, sputum smears revealed no acid-fast bacilli. Lung tumour marker screenings (CEA, CA125, CA-125, and CYFRA21-1) were unremarkable, and routine laboratory tests did not reveal any notable abnormalities. A low-dose CT scan of the chest with targeted enhancement on 26 September 2023 identified nodular shadows in the right lower lobe (Figure 2), raising suspicion of a tumour. Bronchoscopic biopsy or thoracic surgery was advised. Additionally, multiple ground-glass opacities were observed in both lungs, which may indicate hyperplastic or chronic inflammatory lesions, necessitating further monitoring. Linear opacities in both lungs and potential chronic inflammation were noted, with re-examinations scheduled. An abdominal CT on 27 September 2023 detected calcified lesions in the liver. Cardiac ultrasound revealed no notable structural or flow abnormalities. Ultrasound of superficial lymph nodes (neck, axilla, and groin) revealed no pathological changes. Venous ultrasound of the lower extremities was also normal, with no issues detected in deep or superficial veins. Brain magnetic resonance imaging (both plain and enhanced scans) revealed no significant lesions. Bronchoscopy on 28 September 2023 identified a smooth, pedunculated mass obstructing the airway in the dorsal segment of the right lower lobe, which moved slightly with respiration and was prone to bleeding upon contact. A biopsy was deferred to minimise the risk of bleeding (Figure 3). The ECT scan on 29 September 2023 revealed the following: (1) increased metabolic activity in the left first anterior rib, suggesting the need for follow-up in 3–6 months; (2) increased metabolic activity in both knee joints, consistent with degenerative changes; (3) similar changes in the cervical spine; and (4) no notable abnormalities in other skeletal regions, although further imaging may be considered as needed.

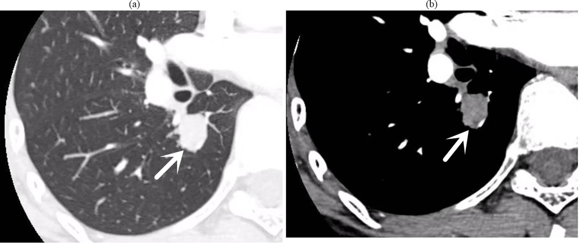
(a) (Lung window), (b) (mediastinal window) chest target-enhanced CT: small nodules in the dorsal segment of the right lower lobe, with punctate calcifications visible within it, surrounded by multiple punctate and nodular shadows; nodular growth was seen in the dorsal segment of the bronchus.

(a) Bronchoscopy reveals smooth cystic neoplasms obstructing the orifice of the dorsal segment of the right lower lobe. (b) Bronchoscopy shows neoplasms at the orifice of the dorsal segment of the right lower lobe, swinging with respiration and prone to bleeding upon touch.
2.3 Pathological examination results
Following thorough examination to exclude contraindications, the patient underwent thoracoscopic right lower lobectomy and lymph node dissection under general anaesthesia on 1 October 2023. Postoperative care focused on infection prevention, expectoration, and pain relief, with the patient recovering well.
Pathological findings (202311954) indicated a 1.3 cm × 1 cm mass located in the dorsal bronchus of the right lower lobe, which appeared soft with a grey–red cut surface. Routine histological examination identified a spindle cell tumour in the right lower lobe, with immunohistochemistry suggesting a sarcoma, measuring 1.3 cm × 1 cm, with no pleural invasion. Lymph nodes from groups (2, 4), (7), (10), and (11), which represent the left cardia lymph nodes, the lymph nodes around the left gastric artery, the splenic hilum lymph nodes, and the lymph nodes around the splenic artery, respectively, exhibited no metastasis (0/5, 0/1, 0/2, and 0/1, respectively). The immunohistochemistry results were as follows: CK7 (−), TTF-1 (−), p40 (−), Syn (−), CgA (−), CD56 (+), INSM1 (−), Ki-67 (30%), D2-40 (−), CR (−), TTF-1 (−), CyclinD1 ( +), CK (−), EMA (−), p63 (−), FLI-1 ( +), CD117 (−), desmin (−), SATB2 (−), Vim (+), INI-1 (+), calponin (−), CD99 (−), NKX2.2 (minimal), Pan-Trk (−), WT1 (−), ER (−), SMA (−), and STAT6 (−) (Figure 4). Special staining for elastic fibres was negative. On 16 October 2023, a pathology consultation from Fudan University Shanghai Cancer Centre confirmed the diagnosis of SS in the right lower lobe. The immunohistochemical findings (HI23-34100) were S-100 (−), SOX10 (−), HMB45 (−), NKX2.2 (minimal+), SS18–SSX (+), AE1/AE3 (individual+), and SMARCA4 BRG1 (+, no missing).

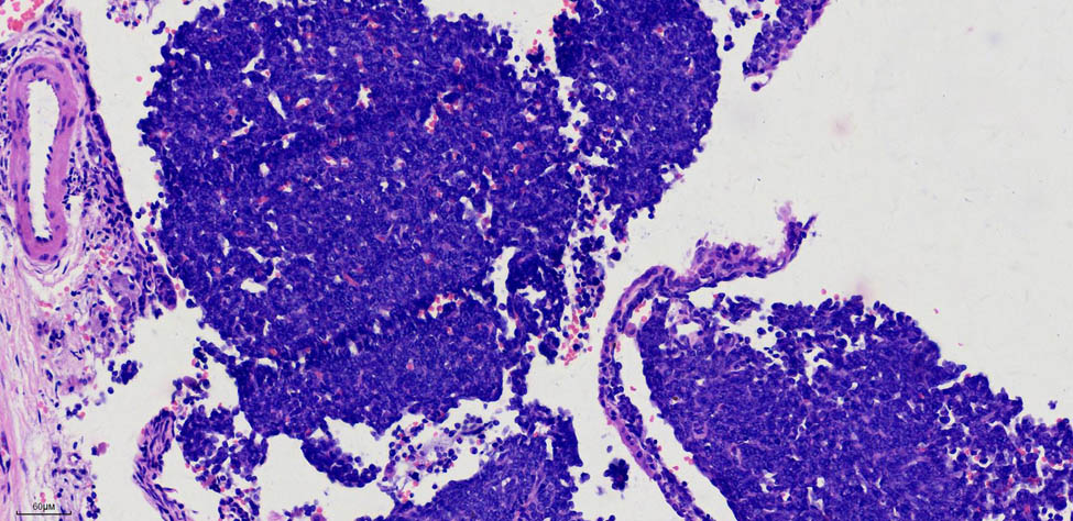
Aggregation of short spindle-shaped cells under a microscope. H&E staining, 20× magnification image.
2.4 Postoperative prognosis outcome
A positron emission tomography (PET)/CT scan conducted on 26 October 2023 revealed the following.
2.4.1 Thoracic findings
Localised soft tissue changes in the right chest wall with increased glucose metabolism, consistent with postoperative changes following thoracoscopic right lower lobectomy and lymph node dissection.
Thickening of the right interlobar pleura and right pleural effusion.
Ground-glass nodules in the anterior segment of the left upper lobe, without increased glucose metabolism, requiring follow-up.
Fibrous bands in both lungs.
Increased glucose metabolism in a band-like area on the right side of the trachea, suggesting the need for follow-up.
2.4.2 Sinus and lymphatic findings
Left maxillary sinusitis.
Bilateral small cervical lymph nodes exhibiting increased glucose metabolism, likely due to inflammation.
2.4.3 Other findings
Intracranial calcified foci.
Accessory spleen nodules.
Thickening of the left adrenal gland without increased glucose metabolism, suggesting hyperplasia.
2.4.4 Bone and soft tissue
Slightly increased glucose metabolism in the right fourth anterior rib, consistent with postoperative changes.
High-density foci in the T10, T12, L1, and L5 vertebrae, right acetabulum and left femoral head, with no increased glucose metabolism, suggesting benign changes.
Mild glucose metabolism increase in the left first sternocostal joint area, indicating inflammation.
Slight glucose metabolism increase in the soft tissue around the bilateral greater trochanters, consistent with physiological uptake.
Degenerative changes in the spine.
2.4.5 Brain and metabolism
No notable abnormalities in the brain structure or glucose metabolism.
The patient was diagnosed with right lower lung synovial sarcoma (SS), with the PET/CT revealing no abnormal fluorodeoxyglucose uptake outside the thoracic cavity, suggesting that the condition is in its early stage. No postoperative treatment was administered, and regular follow-up was planned.
An enhanced chest CT scan on 9 April 2024 revealed changes consistent with partial lung resection, along with multiple small nodules in both lungs, which were similar to previous findings and suggestive of chronic inflammatory granulomatous nodules and hyperplastic foci. Lymph nodes in the neck and supraclavicular areas on 9 April 2024 exhibited no abnormality. The patient is currently in good general condition, with no signs of tumour recurrence or metastasis.
3 Discussion
PPSS is a rare tumour, characterised by slow growth and insidious onset, often leading to misdiagnosis and delayed treatment. It predominantly occurs in middle-aged and young individuals with no history of smoking and shows no gender differences. The imaging findings of PPSS are nonspecific, with central or peripheral patterns that are easily confused with lung cancer or other types of tumours in the pleura or lung. Notably, the central pattern is rare and typically presents with obstructive pneumonia symptoms, such as fever, cough, dyspnoea, and haemoptysis. In contrast, the peripheral pattern, although initially often asymptomatic, may cause chest pain and irritation once it invades the pericardium or pleura. This can result in pleural effusion, haemothorax, or pneumothorax. Other rare symptoms include fever, shoulder or back pain, and limb swelling. The most common chest CT findings are well-defined soft tissue masses, with areas of fluid density, occasional intratumoural septa, and heterogeneous mass enhancement. Calcification may also be present, indicating the coexistence of tumour tissue with haemorrhage, necrosis, and mucus. Pleural invasion may be associated with ipsilateral pleural effusion, although lymphadenopathy is usually absent [5].
In this case, a middle-aged woman with no smoking history presented with haemoptysis as her initial symptom. The CT scan and bronchoscopy revealed a well-defined, smooth soft tissue mass in the bronchial lumen at the hilum. The mass was cystic and pedunculated. Postoperative pathology confirmed no lymph node metastasis, and the clinical and imaging findings were consistent with those reported in the literature. The lesion, located at the orifice of the bronchus in the dorsal segment of the right lower lobe, was approximately 1.0 cm in diameter, which is indeed rare for this condition.
SS grows in four patterns: poorly differentiated monophasic, biphasic, monophasic fibrous (spindle cells), and monophasic epithelial. The monophasic pattern is characterised by spindle cells with minimal cytoplasm and hyperchromatic nuclei that are round, oval, or short spindle-shaped, often without clear divisions. SS typically displays various morphological features, such as interstitial mucinous degeneration, cystic degeneration, ossification, and hemangiopericytoma. The biphasic pattern features a mix of spindle and epithelial-like cells. Focal epithelial areas can be seen amidst the spindle cells, often exhibiting cleft-like, glandular tubular, or papillary structures, with round nuclei, granular chromatin, occasional nucleoli, and mild mucin secretion [6].
In this case, the tumour was primarily composed of short spindle cells, consistent with the monophasic fibrous pattern. Immunohistochemically, SS is generally positive for vimentin, CK, CK7, CK19, EMA, BCL-2, and CD99, whereas it is only positive for SMA and calretinin in some cases. More than 30% of SS cases exhibit nuclear and cytoplasmic positivity for S-100, whereas CD34 and desmin are typically negative [7]. This patient was negative for CK, CK7, EMA, SMA, and S-100, as assessed through immunohistochemistry, which complicated the diagnosis because of the unsatisfactory expression of certain markers.
The Pathology Society of Fudan University Shanghai Cancer Center reported SS18–SSX (+), which contributed to the final diagnosis. The SS diagnosis primarily relies on pathological and molecular biological methods. Approximately 80–90% of primary SSs exhibit the characteristic chromosomal translocation t(×;18)(p11.2;q11.2) [8]. Despite its high sensitivity, molecular testing is not always required if SS is confirmed through clinical, imaging, and pathological findings.
The PPSS long-term prognosis is generally poor, akin to other types of sarcomas. The overall 5-year survival rate is estimated to be around 50%, although this can vary widely depending on factors such as tumour size, metastasis, and the completeness of surgical resection. The overall survival for patients with advanced PPSS is notably shorter, with a median survival time of 18–19.7 months in patients with advanced disease, and in many cases, survival is less than 1 year for those with inoperable tumours or metastatic disease [9]. A variety of risk factors contribute to a less favourable prognosis. These include male gender, age over 20 years, incomplete resection and the presence of neurovascular invasion, extensive tumour necrosis, and a maximum tumour diameter exceeding 5 cm. Furthermore, the presence of pathological mitotic figures greater than 9/10 high-power fields and SYT–SSX1 gene rearrangement have been identified as critical prognostic indicators.
Surgical resection remains the preferred treatment modality, and achieving negative surgical margins is essential for reducing the risk of local recurrence. However, because of the often-challenging location and advanced nature of PPSS at diagnosis, complete resection may not always be feasible. In such cases, secondary treatments, including chemotherapy and/or radiotherapy, play a pivotal role in improving survival outcomes.
Chemotherapy, particularly anthracycline-based regimens, is often used as the first-line treatment for advanced SS. A standard chemotherapy approach typically includes doxorubicin monotherapy or a combination of doxorubicin with other agents such as dacarbazine or ifosfamide. Other agents, including cyclophosphamide, cisplatin, vincristine, and dacarbazine, have also demonstrated effectiveness in preoperative and postoperative settings. Although chemotherapy has demonstrated promising results, the impact of adjuvant or neoadjuvant chemotherapy on improving long-term survival remains uncertain [10]. Although some studies report improved outcomes with chemotherapy, especially in patients with incomplete resections, the overall response rate is variable, and the survival benefit is often marginal.
Moreover, radiotherapy has been utilised in certain cases, particularly for unresectable tumours, those with positive surgical margins or in combination with chemotherapy for metastatic disease. Although radiotherapy can offer symptom relief and local control, it does not significantly improve long-term survival on its own.
Recent advancements in molecular diagnostics have shed light on the genetic underpinnings of SS. The characteristic SS18–SSX chromosomal translocation (t(X;18)), present in 80–90% of cases, is a key molecular marker for diagnosis. This translocation leads to the production of an abnormal fusion protein, which plays a critical role in the tumour’s pathogenesis. Additionally, various molecular markers, such as CD99, BCL-2, and EMA, may help differentiate SS from other soft tissue tumours.
One of the major challenges in the management of PPSS is the delay in diagnosis because of its relatively rare occurrence and the nonspecific nature of its symptoms. Imaging findings, such as well-defined masses with fluid density, are often confused with other more common lung tumours, leading to diagnostic uncertainty. Furthermore, the lack of consensus on optimal chemotherapy regimens, especially in the metastatic setting, underscores the complexity of treatment for advanced PPSS. Given the rarity and heterogeneity of PPSS, there remains a need for multidisciplinary approaches involving pathologists, oncologists, radiologists, and surgeons to improve both diagnostic accuracy and treatment outcomes.
4 Conclusion
In conclusion, PPSS is a rare disease with a relatively complex diagnosis, which largely depends on the judgement of pathologists. Comprehensive immunohistochemistry assays and genetic testing should be adopted when necessary to reduce misdiagnosis. Furthermore, because of the poor prognosis for this disease, early detection and diagnosis are crucial for patients in the early stages along with a surgery-based integrated treatment. Additionally, neoadjuvant therapy, chemotherapy, targeted therapy, immunotherapy, and radiofrequency ablation demonstrate promising treatment prospects for patients with advanced PPSS, with further exploration and improvement required for treatment protocols.
-
Funding information: Authors state no funding involved.
-
Author contributions: All authors have accepted responsibility for the entire content of this manuscript and consented to its submission to the journal, reviewed all the results and approved the final version of the manuscript. LJL and ZQY designed the work. TJ, RL, and MJJ participated in data acquisition, analysis, or interpretation. LJL prepared the manuscript with contributions from all co-authors.
-
Conflict of interest: Authors state no conflict of interest.
-
Data availability statement: The datasets generated during and/or analysed during the current study are available from the corresponding author on reasonable request.
References
[1] Sahin MF, Beyoglu MA, Kıran MM, Yekeler E. A rare lung tumor: primary pulmonary synovial sarcoma. J Cancer Res Ther. 2023 Jan;19(Suppl 2):S901–3.10.4103/jcrt.jcrt_1810_21Search in Google Scholar PubMed
[2] Corredor-Alonso GE, Lino-Silva LS, López-Flores EY, Velásquez-Tovar T, Domínguez-Malagón HR. Ultrastructural differences between synovial sarcoma and solitary fibrous tumor: comparative study in adult patients from the National Cancer Institute of Mexico. Ultrastruct Pathol. 2024 May;48(3):213–20.10.1080/01913123.2024.2313742Search in Google Scholar PubMed
[3] Landuzzi L, Manara MC, Pazzaglia L, Lollini PL, Scotlandi K. Innovative breakthroughs for the treatment of advanced and metastatic synovial sarcoma. Cancers (Basel). 2023 Jul;15(15):3887.10.3390/cancers15153887Search in Google Scholar PubMed PubMed Central
[4] Malik S, Ahluwalia C, Ahuja S. Primary pulmonary synovial sarcoma with extensive myxoid change masquerading as a lung hydatid cyst. Ann Thorac Surg Short Rep. 2024 Jun;2(4):669–71.10.1016/j.atssr.2024.06.014Search in Google Scholar PubMed PubMed Central
[5] Yin T, Liu B, Xue J, Liu X, Shang S, Wang Y. Primary pulmonary monophasic synovial sarcoma initially presenting with bloody pleural effusion: a case report and literature review. Clin Case Rep. 2024 Apr;12(5):e8841.10.1002/ccr3.8841Search in Google Scholar PubMed PubMed Central
[6] Li M, Huang M, Piao H, Wang Y, Liu K. Case report: primary cardiac synovial sarcoma invading the tricuspid valve in a pregnant woman. Front Cardiovasc Med. 2024 Oct;11:1437903. 10.3389/fcvm.2024.1437903.Search in Google Scholar PubMed PubMed Central
[7] Patton A, Oghumu S, Iwenofu OH. An SS18: NEDD4 cutaneous spindled and epithelioid sarcoma: an hitherto unclassified cutaneous sarcoma, resembling epithelioid sarcoma with aggressive clinical behavior. Genes Chromosomes Cancer. 2022 Oct;61(10):635–40.10.1002/gcc.23071Search in Google Scholar PubMed PubMed Central
[8] Lasota J, Chłopek M, Kaczorowski M, Natálie K, Ryś J, Kopczyński J, et al. Utility of immunohistochemistry with antibodies to SS18-SSX chimeric proteins and C-terminus of SSX protein for synovial sarcoma differential diagnosis. Am J Surg Pathol. 2024 Jan;48(1):97–105.10.1097/PAS.0000000000002144Search in Google Scholar PubMed PubMed Central
[9] De Rocco S, Di Biasi J, Fantasia I, Tabacco S, Ricevuto E, Palumbo P, et al. Recurrent metastatic pulmonary synovial sarcoma during pregnancy: a case report and literature review. Diagnostics (Basel). 2024 Feb;14(4):424.10.3390/diagnostics14040424Search in Google Scholar PubMed PubMed Central
[10] Kim CS, Cho HS, Lee OJ, Ahn SY, Yoo JY. Primary pulmonary synovial sarcoma with delayed diagnosis in a 69-year-old man: a case report. Medicine (Baltimore). 2023 Dec;102(51):e36620.10.1097/MD.0000000000036620Search in Google Scholar PubMed PubMed Central
© 2025 the author(s), published by De Gruyter
This work is licensed under the Creative Commons Attribution 4.0 International License.
Articles in the same Issue
- Biomedical Sciences
- Mechanism of triptolide regulating proliferation and apoptosis of hepatoma cells by inhibiting JAK/STAT pathway
- Maslinic acid improves mitochondrial function and inhibits oxidative stress and autophagy in human gastric smooth muscle cells
- Comparative analysis of inflammatory biomarkers for the diagnosis of neonatal sepsis: IL-6, IL-8, SAA, CRP, and PCT
- Post-pandemic insights on COVID-19 and premature ovarian insufficiency
- Proteome differences of dental stem cells between permanent and deciduous teeth by data-independent acquisition proteomics
- Optimizing a modified cetyltrimethylammonium bromide protocol for fungal DNA extraction: Insights from multilocus gene amplification
- Preliminary analysis of the role of small hepatitis B surface proteins mutations in the pathogenesis of occult hepatitis B infection via the endoplasmic reticulum stress-induced UPR-ERAD pathway
- Efficacy of alginate-coated gold nanoparticles against antibiotics-resistant Staphylococcus and Streptococcus pathogens of acne origins
- Battling COVID-19 leveraging nanobiotechnology: Gold and silver nanoparticle–B-escin conjugates as SARS-CoV-2 inhibitors
- Neurodegenerative diseases and neuroinflammation-induced apoptosis
- Impact of fracture fixation surgery on cognitive function and the gut microbiota in mice with a history of stroke
- COLEC10: A potential tumor suppressor and prognostic biomarker in hepatocellular carcinoma through modulation of EMT and PI3K-AKT pathways
- High-temperature requirement serine protease A2 inhibitor UCF-101 ameliorates damaged neurons in traumatic brain-injured rats by the AMPK/NF-κB pathway
- SIK1 inhibits IL-1β-stimulated cartilage apoptosis and inflammation in vitro through the CRTC2/CREB1 signaling
- Rutin–chitooligosaccharide complex: Comprehensive evaluation of its anti-inflammatory and analgesic properties in vitro and in vivo
- Knockdown of Aurora kinase B alleviates high glucose-triggered trophoblast cells damage and inflammation during gestational diabetes
- Calcium-sensing receptors promoted Homer1 expression and osteogenic differentiation in bone marrow mesenchymal stem cells
- ABI3BP can inhibit the proliferation, invasion, and epithelial–mesenchymal transition of non-small-cell lung cancer cells
- Changes in blood glucose and metabolism in hyperuricemia mice
- Rapid detection of the GJB2 c.235delC mutation based on CRISPR-Cas13a combined with lateral flow dipstick
- IL-11 promotes Ang II-induced autophagy inhibition and mitochondrial dysfunction in atrial fibroblasts
- Short-chain fatty acid attenuates intestinal inflammation by regulation of gut microbial composition in antibiotic-associated diarrhea
- Application of metagenomic next-generation sequencing in the diagnosis of pathogens in patients with diabetes complicated by community-acquired pneumonia
- NAT10 promotes radiotherapy resistance in non-small cell lung cancer by regulating KPNB1-mediated PD-L1 nuclear translocation
- Phytol-mixed micelles alleviate dexamethasone-induced osteoporosis in zebrafish: Activation of the MMP3–OPN–MAPK pathway-mediating bone remodeling
- Association between TGF-β1 and β-catenin expression in the vaginal wall of patients with pelvic organ prolapse
- Primary pleomorphic liposarcoma involving bilateral ovaries: Case report and literature review
- Effects of de novo donor-specific Class I and II antibodies on graft outcomes after liver transplantation: A pilot cohort study
- Sleep architecture in Alzheimer’s disease continuum: The deep sleep question
- Ephedra fragilis plant extract: A groundbreaking corrosion inhibitor for mild steel in acidic environments – electrochemical, EDX, DFT, and Monte Carlo studies
- Langerhans cell histiocytosis in an adult patient with upper jaw and pulmonary involvement: A case report
- Inhibition of mast cell activation by Jaranol-targeted Pirin ameliorates allergic responses in mouse allergic rhinitis
- Aeromonas veronii-induced septic arthritis of the hip in a child with acute lymphoblastic leukemia
- Clusterin activates the heat shock response via the PI3K/Akt pathway to protect cardiomyocytes from high-temperature-induced apoptosis
- Research progress on fecal microbiota transplantation in tumor prevention and treatment
- Low-pressure exposure influences the development of HAPE
- Stigmasterol alleviates endplate chondrocyte degeneration through inducing mitophagy by enhancing PINK1 mRNA acetylation via the ESR1/NAT10 axis
- AKAP12, mediated by transcription factor 21, inhibits cell proliferation, metastasis, and glycolysis in lung squamous cell carcinoma
- Association between PAX9 or MSX1 gene polymorphism and tooth agenesis risk: A meta-analysis
- A case of bloodstream infection caused by Neisseria gonorrhoeae
- Case of nasopharyngeal tuberculosis complicated with cervical lymph node and pulmonary tuberculosis
- p-Cymene inhibits pro-fibrotic and inflammatory mediators to prevent hepatic dysfunction
- GFPT2 promotes paclitaxel resistance in epithelial ovarian cancer cells via activating NF-κB signaling pathway
- Transfer RNA-derived fragment tRF-36 modulates varicose vein progression via human vascular smooth muscle cell Notch signaling
- RTA-408 attenuates the hepatic ischemia reperfusion injury in mice possibly by activating the Nrf2/HO-1 signaling pathway
- Decreased serum TIMP4 levels in patients with rheumatoid arthritis
- Sirt1 protects lupus nephritis by inhibiting the NLRP3 signaling pathway in human glomerular mesangial cells
- Sodium butyrate aids brain injury repair in neonatal rats
- Interaction of MTHFR polymorphism with PAX1 methylation in cervical cancer
- Convallatoxin inhibits proliferation and angiogenesis of glioma cells via regulating JAK/STAT3 pathway
- The effect of the PKR inhibitor, 2-aminopurine, on the replication of influenza A virus, and segment 8 mRNA splicing
- Effects of Ire1 gene on virulence and pathogenicity of Candida albicans
- Small cell lung cancer with small intestinal metastasis: Case report and literature review
- GRB14: A prognostic biomarker driving tumor progression in gastric cancer through the PI3K/AKT signaling pathway by interacting with COBLL1
- 15-Lipoxygenase-2 deficiency induces foam cell formation that can be restored by salidroside through the inhibition of arachidonic acid effects
- FTO alleviated the diabetic nephropathy progression by regulating the N6-methyladenosine levels of DACT1
- Clinical relevance of inflammatory markers in the evaluation of severity of ulcerative colitis: A retrospective study
- Zinc valproic acid complex promotes osteoblast differentiation and exhibits anti-osteoporotic potential
- Primary pulmonary synovial sarcoma in the bronchial cavity: A case report
- Metagenomic next-generation sequencing of alveolar lavage fluid improves the detection of pulmonary infection
- Uterine tumor resembling ovarian sex cord tumor with extensive rhabdoid differentiation: A case report
- Genomic analysis of a novel ST11(PR34365) Clostridioides difficile strain isolated from the human fecal of a CDI patient in Guizhou, China
- Effects of tiered cardiac rehabilitation on CRP, TNF-α, and physical endurance in older adults with coronary heart disease
- Changes in T-lymphocyte subpopulations in patients with colorectal cancer before and after acupoint catgut embedding acupuncture observation
- Modulating the tumor microenvironment: The role of traditional Chinese medicine in improving lung cancer treatment
- Alterations of metabolites related to microbiota–gut–brain axis in plasma of colon cancer, esophageal cancer, stomach cancer, and lung cancer patients
- Research on individualized drug sensitivity detection technology based on bio-3D printing technology for precision treatment of gastrointestinal stromal tumors
- CEBPB promotes ulcerative colitis-associated colorectal cancer by stimulating tumor growth and activating the NF-κB/STAT3 signaling pathway
- Oncolytic bacteria: A revolutionary approach to cancer therapy
- A de novo meningioma with rapid growth: A possible malignancy imposter?
- Diagnosis of secondary tuberculosis infection in an asymptomatic elderly with cancer using next-generation sequencing: Case report
- Hesperidin and its zinc(ii) complex enhance osteoblast differentiation and bone formation: In vitro and in vivo evaluations
- Research progress on the regulation of autophagy in cardiovascular diseases by chemokines
- Anti-arthritic, immunomodulatory, and inflammatory regulation by the benzimidazole derivative BMZ-AD: Insights from an FCA-induced rat model
- Immunoassay for pyruvate kinase M1/2 as an Alzheimer’s biomarker in CSF
- The role of HDAC11 in age-related hearing loss: Mechanisms and therapeutic implications
- Evaluation and application analysis of animal models of PIPNP based on data mining
- Therapeutic approaches for liver fibrosis/cirrhosis by targeting pyroptosis
- Fabrication of zinc oxide nanoparticles using Ruellia tuberosa leaf extract induces apoptosis through P53 and STAT3 signalling pathways in prostate cancer cells
- Haplo-hematopoietic stem cell transplantation and immunoradiotherapy for severe aplastic anemia complicated with nasopharyngeal carcinoma: A case report
- Modulation of the KEAP1-NRF2 pathway by Erianin: A novel approach to reduce psoriasiform inflammation and inflammatory signaling
- The expression of epidermal growth factor receptor 2 and its relationship with tumor-infiltrating lymphocytes and clinical pathological features in breast cancer patients
- Innovations in MALDI-TOF Mass Spectrometry: Bridging modern diagnostics and historical insights
- BAP1 complexes with YY1 and RBBP7 and its downstream targets in ccRCC cells
- Hypereosinophilic syndrome with elevated IgG4 and T-cell clonality: A report of two cases
- Electroacupuncture alleviates sciatic nerve injury in sciatica rats by regulating BDNF and NGF levels, myelin sheath degradation, and autophagy
- Polydatin prevents cholesterol gallstone formation by regulating cholesterol metabolism via PPAR-γ signaling
- RNF144A and RNF144B: Important molecules for health
- Analysis of the detection rate and related factors of thyroid nodules in the healthy population
- Artesunate inhibits hepatocellular carcinoma cell migration and invasion through OGA-mediated O-GlcNAcylation of ZEB1
- Endovascular management of post-pancreatectomy hemorrhage caused by a hepatic artery pseudoaneurysm: Case report and review of the literature
- Efficacy and safety of anti-PD-1/PD-L1 antibodies in patients with relapsed refractory diffuse large B-cell lymphoma: A meta-analysis
- SATB2 promotes humeral fracture healing in rats by activating the PI3K/AKT pathway
- Overexpression of the ferroptosis-related gene, NFS1, corresponds to gastric cancer growth and tumor immune infiltration
- Understanding risk factors and prognosis in diabetic foot ulcers
- Atractylenolide I alleviates the experimental allergic response in mice by suppressing TLR4/NF-kB/NLRP3 signalling
- FBXO31 inhibits the stemness characteristics of CD147 (+) melanoma stem cells
- Immune molecule diagnostics in colorectal cancer: CCL2 and CXCL11
- Inhibiting CXCR6 promotes senescence of activated hepatic stellate cells with limited proinflammatory SASP to attenuate hepatic fibrosis
- Cadmium toxicity, health risk and its remediation using low-cost biochar adsorbents
- Pulmonary cryptococcosis with headache as the first presentation: A case report
- Solitary pulmonary metastasis with cystic airspaces in colon cancer: A rare case report
- RUNX1 promotes denervation-induced muscle atrophy by activating the JUNB/NF-κB pathway and driving M1 macrophage polarization
- Morphometric analysis and immunobiological investigation of Indigofera oblongifolia on the infected lung with Plasmodium chabaudi
- The NuA4/TIP60 histone-modifying complex and Hr78 modulate the Lobe2 mutant eye phenotype
- Experimental study on salmon demineralized bone matrix loaded with recombinant human bone morphogenetic protein-2: In vitro and in vivo study
- A case of IgA nephropathy treated with a combination of telitacicept and half-dose glucocorticoids
- Analgesic and toxicological evaluation of cannabidiol-rich Moroccan Cannabis sativa L. (Khardala variety) extract: Evidence from an in vivo and in silico study
- Wound healing and signaling pathways
- Combination of immunotherapy and whole-brain radiotherapy on prognosis of patients with multiple brain metastases: A retrospective cohort study
- To explore the relationship between endometrial hyperemia and polycystic ovary syndrome
- Research progress on the impact of curcumin on immune responses in breast cancer
- Biogenic Cu/Ni nanotherapeutics from Descurainia sophia (L.) Webb ex Prantl seeds for the treatment of lung cancer
- Dapagliflozin attenuates atrial fibrosis via the HMGB1/RAGE pathway in atrial fibrillation rats
- Glycitein alleviates inflammation and apoptosis in keratinocytes via ROS-associated PI3K–Akt signalling pathway
- ADH5 inhibits proliferation but promotes EMT in non-small cell lung cancer cell through activating Smad2/Smad3
- Apoptotic efficacies of AgNPs formulated by Syzygium aromaticum leaf extract on 32D-FLT3-ITD human leukemia cell line with PI3K/AKT/mTOR signaling pathway
- Novel cuproptosis-related genes C1QBP and PFKP identified as prognostic and therapeutic targets in lung adenocarcinoma
- Bee venom promotes exosome secretion and alters miRNA cargo in T cells
- Treatment of pure red cell aplasia in a chronic kidney disease patient with roxadustat: A case report
- Comparative bioinformatics analysis of the Wnt pathway in breast cancer: Selection of novel biomarker panels associated with ER status
- Kynurenine facilitates renal cell carcinoma progression by suppressing M2 macrophage pyroptosis through inhibition of CASP1 cleavage
- RFX5 promotes the growth, motility, and inhibits apoptosis of gastric adenocarcinoma cells through the SIRT1/AMPK axis
- ALKBH5 exacerbates early cardiac damage after radiotherapy for breast cancer via m6A demethylation of TLR4
- Phytochemicals of Roman chamomile: Antioxidant, anti-aging, and whitening activities of distillation residues
- Circadian gene Cry1 inhibits the tumorigenicity of hepatocellular carcinoma by the BAX/BCL2-mediated apoptosis pathway
- The TNFR-RIPK1/RIPK3 signalling pathway mediates the effect of lanthanum on necroptosis of nerve cells
- Longitudinal monitoring of autoantibody dynamics in patients with early-stage non-small-cell lung cancer undergoing surgery
- The potential role of rutin, a flavonoid, in the management of cancer through modulation of cell signaling pathways
- Construction of pectinase gene engineering microbe and its application in tobacco sheets
- Construction of a microbial abundance prognostic scoring model based on intratumoral microbial data for predicting the prognosis of lung squamous cell carcinoma
- Sepsis complicated by haemophagocytic lymphohistiocytosis triggered by methicillin-resistant Staphylococcus aureus and human herpesvirus 8 in an immunocompromised elderly patient: A case report
- Sarcopenia in liver transplantation: A comprehensive bibliometric study of current research trends and future directions
- Advances in cancer immunotherapy and future directions in personalized medicine
- Can coronavirus disease 2019 affect male fertility or cause spontaneous abortion? A two-sample Mendelian randomization analysis
- Heat stroke associated with novel leukaemia inhibitory factor receptor gene variant in a Chinese infant
- PSME2 exacerbates ulcerative colitis by disrupting intestinal barrier function and promoting autophagy-dependent inflammation
- Hyperosmolar hyperglycemic state with severe hypernatremia coexisting with central diabetes insipidus: A case report and literature review
- Efficacy and mechanism of escin in improving the tissue microenvironment of blood vessel walls via anti-inflammatory and anticoagulant effects: Implications for clinical practice
- 10.1515/biol-2025-1168
- Ecology and Environmental Science
- Optimization and comparative study of Bacillus consortia for cellulolytic potential and cellulase enzyme activity
- The complete mitochondrial genome analysis of Haemaphysalis hystricis Supino, 1897 (Ixodida: Ixodidae) and its phylogenetic implications
- Epidemiological characteristics and risk factors analysis of multidrug-resistant tuberculosis among tuberculosis population in Huzhou City, Eastern China
- Indices of human impacts on landscapes: How do they reflect the proportions of natural habitats?
- Genetic analysis of the Siberian flying squirrel population in the northern Changbai Mountains, Northeast China: Insights into population status and conservation
- Diversity and environmental drivers of Suillus communities in Pinus sylvestris var. mongolica forests of Inner Mongolia
- Global assessment of the fate of nitrogen deposition in forest ecosystems: Insights from 15N tracer studies
- Fungal and bacterial pathogenic co-infections mainly lead to the assembly of microbial community in tobacco stems
- Influencing of coal industry related airborne particulate matter on ocular surface tear film injury and inflammatory factor expression in Sprague-Dawley rats
- Temperature-dependent development, predation, and life table of Sphaerophoria macrogaster (Thomson) (Diptera: Syrphidae) feeding on Myzus persicae (Sulzer) (Homoptera: Aphididae)
- Eleonora’s falcon trophic interactions with insects within its breeding range: A systematic review
- Agriculture
- Integrated analysis of transcriptome, sRNAome, and degradome involved in the drought-response of maize Zhengdan958
- Variation in flower frost tolerance among seven apple cultivars and transcriptome response patterns in two contrastingly frost-tolerant selected cultivars
- Heritability of durable resistance to stripe rust in bread wheat (Triticum aestivum L.)
- Molecular mechanism of follicular development in laying hens based on the regulation of water metabolism
- Animal Science
- Effect of sex ratio on the life history traits of an important invasive species, Spodoptera frugiperda
- Plant Sciences
- Hairpin in a haystack: In silico identification and characterization of plant-conserved microRNA in Rafflesiaceae
- Widely targeted metabolomics of different tissues in Rubus corchorifolius
- The complete chloroplast genome of Gerbera piloselloides (L.) Cass., 1820 (Carduoideae, Asteraceae) and its phylogenetic analysis
- Field trial to correlate mineral solubilization activity of Pseudomonas aeruginosa and biochemical content of groundnut plants
- Correlation analysis between semen routine parameters and sperm DNA fragmentation index in patients with semen non-liquefaction: A retrospective study
- Plasticity of the anatomical traits of Rhododendron L. (Ericaceae) leaves and its implications in adaptation to the plateau environment
- Effects of Piriformospora indica and arbuscular mycorrhizal fungus on growth and physiology of Moringa oleifera under low-temperature stress
- Effects of different sources of potassium fertiliser on yield, fruit quality and nutrient absorption in “Harward” kiwifruit (Actinidia deliciosa)
- Comparative efficiency and residue levels of spraying programs against powdery mildew in grape varieties
- The DREB7 transcription factor enhances salt tolerance in soybean plants under salt stress
- Using plant electrical signals of water hyacinth (Eichhornia crassipes) for water pollution monitoring
- Food Science
- Phytochemical analysis of Stachys iva: Discovering the optimal extract conditions and its bioactive compounds
- Review on role of honey in disease prevention and treatment through modulation of biological activities
- Computational analysis of polymorphic residues in maltose and maltotriose transporters of a wild Saccharomyces cerevisiae strain
- Optimization of phenolic compound extraction from Tunisian squash by-products: A sustainable approach for antioxidant and antibacterial applications
- Liupao tea aqueous extract alleviates dextran sulfate sodium-induced ulcerative colitis in rats by modulating the gut microbiota
- Toxicological qualities and detoxification trends of fruit by-products for valorization: A review
- Polyphenolic spectrum of cornelian cherry fruits and their health-promoting effect
- Optimizing the encapsulation of the refined extract of squash peels for functional food applications: A sustainable approach to reduce food waste
- Advancements in curcuminoid formulations: An update on bioavailability enhancement strategies curcuminoid bioavailability and formulations
- Impact of saline sprouting on antioxidant properties and bioactive compounds in chia seeds
- The dilemma of food genetics and improvement
- Bioengineering and Biotechnology
- Impact of hyaluronic acid-modified hafnium metalorganic frameworks containing rhynchophylline on Alzheimer’s disease
- Emerging patterns in nanoparticle-based therapeutic approaches for rheumatoid arthritis: A comprehensive bibliometric and visual analysis spanning two decades
- Application of CRISPR/Cas gene editing for infectious disease control in poultry
- Preparation of hafnium nitride-coated titanium implants by magnetron sputtering technology and evaluation of their antibacterial properties and biocompatibility
- Preparation and characterization of lemongrass oil nanoemulsion: Antimicrobial, antibiofilm, antioxidant, and anticancer activities
- Corrigendum
- Corrigendum to “Utilization of convolutional neural networks to analyze microscopic images for high-throughput screening of mesenchymal stem cells”
- Corrigendum to “Effects of Ire1 gene on virulence and pathogenicity of Candida albicans”
Articles in the same Issue
- Biomedical Sciences
- Mechanism of triptolide regulating proliferation and apoptosis of hepatoma cells by inhibiting JAK/STAT pathway
- Maslinic acid improves mitochondrial function and inhibits oxidative stress and autophagy in human gastric smooth muscle cells
- Comparative analysis of inflammatory biomarkers for the diagnosis of neonatal sepsis: IL-6, IL-8, SAA, CRP, and PCT
- Post-pandemic insights on COVID-19 and premature ovarian insufficiency
- Proteome differences of dental stem cells between permanent and deciduous teeth by data-independent acquisition proteomics
- Optimizing a modified cetyltrimethylammonium bromide protocol for fungal DNA extraction: Insights from multilocus gene amplification
- Preliminary analysis of the role of small hepatitis B surface proteins mutations in the pathogenesis of occult hepatitis B infection via the endoplasmic reticulum stress-induced UPR-ERAD pathway
- Efficacy of alginate-coated gold nanoparticles against antibiotics-resistant Staphylococcus and Streptococcus pathogens of acne origins
- Battling COVID-19 leveraging nanobiotechnology: Gold and silver nanoparticle–B-escin conjugates as SARS-CoV-2 inhibitors
- Neurodegenerative diseases and neuroinflammation-induced apoptosis
- Impact of fracture fixation surgery on cognitive function and the gut microbiota in mice with a history of stroke
- COLEC10: A potential tumor suppressor and prognostic biomarker in hepatocellular carcinoma through modulation of EMT and PI3K-AKT pathways
- High-temperature requirement serine protease A2 inhibitor UCF-101 ameliorates damaged neurons in traumatic brain-injured rats by the AMPK/NF-κB pathway
- SIK1 inhibits IL-1β-stimulated cartilage apoptosis and inflammation in vitro through the CRTC2/CREB1 signaling
- Rutin–chitooligosaccharide complex: Comprehensive evaluation of its anti-inflammatory and analgesic properties in vitro and in vivo
- Knockdown of Aurora kinase B alleviates high glucose-triggered trophoblast cells damage and inflammation during gestational diabetes
- Calcium-sensing receptors promoted Homer1 expression and osteogenic differentiation in bone marrow mesenchymal stem cells
- ABI3BP can inhibit the proliferation, invasion, and epithelial–mesenchymal transition of non-small-cell lung cancer cells
- Changes in blood glucose and metabolism in hyperuricemia mice
- Rapid detection of the GJB2 c.235delC mutation based on CRISPR-Cas13a combined with lateral flow dipstick
- IL-11 promotes Ang II-induced autophagy inhibition and mitochondrial dysfunction in atrial fibroblasts
- Short-chain fatty acid attenuates intestinal inflammation by regulation of gut microbial composition in antibiotic-associated diarrhea
- Application of metagenomic next-generation sequencing in the diagnosis of pathogens in patients with diabetes complicated by community-acquired pneumonia
- NAT10 promotes radiotherapy resistance in non-small cell lung cancer by regulating KPNB1-mediated PD-L1 nuclear translocation
- Phytol-mixed micelles alleviate dexamethasone-induced osteoporosis in zebrafish: Activation of the MMP3–OPN–MAPK pathway-mediating bone remodeling
- Association between TGF-β1 and β-catenin expression in the vaginal wall of patients with pelvic organ prolapse
- Primary pleomorphic liposarcoma involving bilateral ovaries: Case report and literature review
- Effects of de novo donor-specific Class I and II antibodies on graft outcomes after liver transplantation: A pilot cohort study
- Sleep architecture in Alzheimer’s disease continuum: The deep sleep question
- Ephedra fragilis plant extract: A groundbreaking corrosion inhibitor for mild steel in acidic environments – electrochemical, EDX, DFT, and Monte Carlo studies
- Langerhans cell histiocytosis in an adult patient with upper jaw and pulmonary involvement: A case report
- Inhibition of mast cell activation by Jaranol-targeted Pirin ameliorates allergic responses in mouse allergic rhinitis
- Aeromonas veronii-induced septic arthritis of the hip in a child with acute lymphoblastic leukemia
- Clusterin activates the heat shock response via the PI3K/Akt pathway to protect cardiomyocytes from high-temperature-induced apoptosis
- Research progress on fecal microbiota transplantation in tumor prevention and treatment
- Low-pressure exposure influences the development of HAPE
- Stigmasterol alleviates endplate chondrocyte degeneration through inducing mitophagy by enhancing PINK1 mRNA acetylation via the ESR1/NAT10 axis
- AKAP12, mediated by transcription factor 21, inhibits cell proliferation, metastasis, and glycolysis in lung squamous cell carcinoma
- Association between PAX9 or MSX1 gene polymorphism and tooth agenesis risk: A meta-analysis
- A case of bloodstream infection caused by Neisseria gonorrhoeae
- Case of nasopharyngeal tuberculosis complicated with cervical lymph node and pulmonary tuberculosis
- p-Cymene inhibits pro-fibrotic and inflammatory mediators to prevent hepatic dysfunction
- GFPT2 promotes paclitaxel resistance in epithelial ovarian cancer cells via activating NF-κB signaling pathway
- Transfer RNA-derived fragment tRF-36 modulates varicose vein progression via human vascular smooth muscle cell Notch signaling
- RTA-408 attenuates the hepatic ischemia reperfusion injury in mice possibly by activating the Nrf2/HO-1 signaling pathway
- Decreased serum TIMP4 levels in patients with rheumatoid arthritis
- Sirt1 protects lupus nephritis by inhibiting the NLRP3 signaling pathway in human glomerular mesangial cells
- Sodium butyrate aids brain injury repair in neonatal rats
- Interaction of MTHFR polymorphism with PAX1 methylation in cervical cancer
- Convallatoxin inhibits proliferation and angiogenesis of glioma cells via regulating JAK/STAT3 pathway
- The effect of the PKR inhibitor, 2-aminopurine, on the replication of influenza A virus, and segment 8 mRNA splicing
- Effects of Ire1 gene on virulence and pathogenicity of Candida albicans
- Small cell lung cancer with small intestinal metastasis: Case report and literature review
- GRB14: A prognostic biomarker driving tumor progression in gastric cancer through the PI3K/AKT signaling pathway by interacting with COBLL1
- 15-Lipoxygenase-2 deficiency induces foam cell formation that can be restored by salidroside through the inhibition of arachidonic acid effects
- FTO alleviated the diabetic nephropathy progression by regulating the N6-methyladenosine levels of DACT1
- Clinical relevance of inflammatory markers in the evaluation of severity of ulcerative colitis: A retrospective study
- Zinc valproic acid complex promotes osteoblast differentiation and exhibits anti-osteoporotic potential
- Primary pulmonary synovial sarcoma in the bronchial cavity: A case report
- Metagenomic next-generation sequencing of alveolar lavage fluid improves the detection of pulmonary infection
- Uterine tumor resembling ovarian sex cord tumor with extensive rhabdoid differentiation: A case report
- Genomic analysis of a novel ST11(PR34365) Clostridioides difficile strain isolated from the human fecal of a CDI patient in Guizhou, China
- Effects of tiered cardiac rehabilitation on CRP, TNF-α, and physical endurance in older adults with coronary heart disease
- Changes in T-lymphocyte subpopulations in patients with colorectal cancer before and after acupoint catgut embedding acupuncture observation
- Modulating the tumor microenvironment: The role of traditional Chinese medicine in improving lung cancer treatment
- Alterations of metabolites related to microbiota–gut–brain axis in plasma of colon cancer, esophageal cancer, stomach cancer, and lung cancer patients
- Research on individualized drug sensitivity detection technology based on bio-3D printing technology for precision treatment of gastrointestinal stromal tumors
- CEBPB promotes ulcerative colitis-associated colorectal cancer by stimulating tumor growth and activating the NF-κB/STAT3 signaling pathway
- Oncolytic bacteria: A revolutionary approach to cancer therapy
- A de novo meningioma with rapid growth: A possible malignancy imposter?
- Diagnosis of secondary tuberculosis infection in an asymptomatic elderly with cancer using next-generation sequencing: Case report
- Hesperidin and its zinc(ii) complex enhance osteoblast differentiation and bone formation: In vitro and in vivo evaluations
- Research progress on the regulation of autophagy in cardiovascular diseases by chemokines
- Anti-arthritic, immunomodulatory, and inflammatory regulation by the benzimidazole derivative BMZ-AD: Insights from an FCA-induced rat model
- Immunoassay for pyruvate kinase M1/2 as an Alzheimer’s biomarker in CSF
- The role of HDAC11 in age-related hearing loss: Mechanisms and therapeutic implications
- Evaluation and application analysis of animal models of PIPNP based on data mining
- Therapeutic approaches for liver fibrosis/cirrhosis by targeting pyroptosis
- Fabrication of zinc oxide nanoparticles using Ruellia tuberosa leaf extract induces apoptosis through P53 and STAT3 signalling pathways in prostate cancer cells
- Haplo-hematopoietic stem cell transplantation and immunoradiotherapy for severe aplastic anemia complicated with nasopharyngeal carcinoma: A case report
- Modulation of the KEAP1-NRF2 pathway by Erianin: A novel approach to reduce psoriasiform inflammation and inflammatory signaling
- The expression of epidermal growth factor receptor 2 and its relationship with tumor-infiltrating lymphocytes and clinical pathological features in breast cancer patients
- Innovations in MALDI-TOF Mass Spectrometry: Bridging modern diagnostics and historical insights
- BAP1 complexes with YY1 and RBBP7 and its downstream targets in ccRCC cells
- Hypereosinophilic syndrome with elevated IgG4 and T-cell clonality: A report of two cases
- Electroacupuncture alleviates sciatic nerve injury in sciatica rats by regulating BDNF and NGF levels, myelin sheath degradation, and autophagy
- Polydatin prevents cholesterol gallstone formation by regulating cholesterol metabolism via PPAR-γ signaling
- RNF144A and RNF144B: Important molecules for health
- Analysis of the detection rate and related factors of thyroid nodules in the healthy population
- Artesunate inhibits hepatocellular carcinoma cell migration and invasion through OGA-mediated O-GlcNAcylation of ZEB1
- Endovascular management of post-pancreatectomy hemorrhage caused by a hepatic artery pseudoaneurysm: Case report and review of the literature
- Efficacy and safety of anti-PD-1/PD-L1 antibodies in patients with relapsed refractory diffuse large B-cell lymphoma: A meta-analysis
- SATB2 promotes humeral fracture healing in rats by activating the PI3K/AKT pathway
- Overexpression of the ferroptosis-related gene, NFS1, corresponds to gastric cancer growth and tumor immune infiltration
- Understanding risk factors and prognosis in diabetic foot ulcers
- Atractylenolide I alleviates the experimental allergic response in mice by suppressing TLR4/NF-kB/NLRP3 signalling
- FBXO31 inhibits the stemness characteristics of CD147 (+) melanoma stem cells
- Immune molecule diagnostics in colorectal cancer: CCL2 and CXCL11
- Inhibiting CXCR6 promotes senescence of activated hepatic stellate cells with limited proinflammatory SASP to attenuate hepatic fibrosis
- Cadmium toxicity, health risk and its remediation using low-cost biochar adsorbents
- Pulmonary cryptococcosis with headache as the first presentation: A case report
- Solitary pulmonary metastasis with cystic airspaces in colon cancer: A rare case report
- RUNX1 promotes denervation-induced muscle atrophy by activating the JUNB/NF-κB pathway and driving M1 macrophage polarization
- Morphometric analysis and immunobiological investigation of Indigofera oblongifolia on the infected lung with Plasmodium chabaudi
- The NuA4/TIP60 histone-modifying complex and Hr78 modulate the Lobe2 mutant eye phenotype
- Experimental study on salmon demineralized bone matrix loaded with recombinant human bone morphogenetic protein-2: In vitro and in vivo study
- A case of IgA nephropathy treated with a combination of telitacicept and half-dose glucocorticoids
- Analgesic and toxicological evaluation of cannabidiol-rich Moroccan Cannabis sativa L. (Khardala variety) extract: Evidence from an in vivo and in silico study
- Wound healing and signaling pathways
- Combination of immunotherapy and whole-brain radiotherapy on prognosis of patients with multiple brain metastases: A retrospective cohort study
- To explore the relationship between endometrial hyperemia and polycystic ovary syndrome
- Research progress on the impact of curcumin on immune responses in breast cancer
- Biogenic Cu/Ni nanotherapeutics from Descurainia sophia (L.) Webb ex Prantl seeds for the treatment of lung cancer
- Dapagliflozin attenuates atrial fibrosis via the HMGB1/RAGE pathway in atrial fibrillation rats
- Glycitein alleviates inflammation and apoptosis in keratinocytes via ROS-associated PI3K–Akt signalling pathway
- ADH5 inhibits proliferation but promotes EMT in non-small cell lung cancer cell through activating Smad2/Smad3
- Apoptotic efficacies of AgNPs formulated by Syzygium aromaticum leaf extract on 32D-FLT3-ITD human leukemia cell line with PI3K/AKT/mTOR signaling pathway
- Novel cuproptosis-related genes C1QBP and PFKP identified as prognostic and therapeutic targets in lung adenocarcinoma
- Bee venom promotes exosome secretion and alters miRNA cargo in T cells
- Treatment of pure red cell aplasia in a chronic kidney disease patient with roxadustat: A case report
- Comparative bioinformatics analysis of the Wnt pathway in breast cancer: Selection of novel biomarker panels associated with ER status
- Kynurenine facilitates renal cell carcinoma progression by suppressing M2 macrophage pyroptosis through inhibition of CASP1 cleavage
- RFX5 promotes the growth, motility, and inhibits apoptosis of gastric adenocarcinoma cells through the SIRT1/AMPK axis
- ALKBH5 exacerbates early cardiac damage after radiotherapy for breast cancer via m6A demethylation of TLR4
- Phytochemicals of Roman chamomile: Antioxidant, anti-aging, and whitening activities of distillation residues
- Circadian gene Cry1 inhibits the tumorigenicity of hepatocellular carcinoma by the BAX/BCL2-mediated apoptosis pathway
- The TNFR-RIPK1/RIPK3 signalling pathway mediates the effect of lanthanum on necroptosis of nerve cells
- Longitudinal monitoring of autoantibody dynamics in patients with early-stage non-small-cell lung cancer undergoing surgery
- The potential role of rutin, a flavonoid, in the management of cancer through modulation of cell signaling pathways
- Construction of pectinase gene engineering microbe and its application in tobacco sheets
- Construction of a microbial abundance prognostic scoring model based on intratumoral microbial data for predicting the prognosis of lung squamous cell carcinoma
- Sepsis complicated by haemophagocytic lymphohistiocytosis triggered by methicillin-resistant Staphylococcus aureus and human herpesvirus 8 in an immunocompromised elderly patient: A case report
- Sarcopenia in liver transplantation: A comprehensive bibliometric study of current research trends and future directions
- Advances in cancer immunotherapy and future directions in personalized medicine
- Can coronavirus disease 2019 affect male fertility or cause spontaneous abortion? A two-sample Mendelian randomization analysis
- Heat stroke associated with novel leukaemia inhibitory factor receptor gene variant in a Chinese infant
- PSME2 exacerbates ulcerative colitis by disrupting intestinal barrier function and promoting autophagy-dependent inflammation
- Hyperosmolar hyperglycemic state with severe hypernatremia coexisting with central diabetes insipidus: A case report and literature review
- Efficacy and mechanism of escin in improving the tissue microenvironment of blood vessel walls via anti-inflammatory and anticoagulant effects: Implications for clinical practice
- 10.1515/biol-2025-1168
- Ecology and Environmental Science
- Optimization and comparative study of Bacillus consortia for cellulolytic potential and cellulase enzyme activity
- The complete mitochondrial genome analysis of Haemaphysalis hystricis Supino, 1897 (Ixodida: Ixodidae) and its phylogenetic implications
- Epidemiological characteristics and risk factors analysis of multidrug-resistant tuberculosis among tuberculosis population in Huzhou City, Eastern China
- Indices of human impacts on landscapes: How do they reflect the proportions of natural habitats?
- Genetic analysis of the Siberian flying squirrel population in the northern Changbai Mountains, Northeast China: Insights into population status and conservation
- Diversity and environmental drivers of Suillus communities in Pinus sylvestris var. mongolica forests of Inner Mongolia
- Global assessment of the fate of nitrogen deposition in forest ecosystems: Insights from 15N tracer studies
- Fungal and bacterial pathogenic co-infections mainly lead to the assembly of microbial community in tobacco stems
- Influencing of coal industry related airborne particulate matter on ocular surface tear film injury and inflammatory factor expression in Sprague-Dawley rats
- Temperature-dependent development, predation, and life table of Sphaerophoria macrogaster (Thomson) (Diptera: Syrphidae) feeding on Myzus persicae (Sulzer) (Homoptera: Aphididae)
- Eleonora’s falcon trophic interactions with insects within its breeding range: A systematic review
- Agriculture
- Integrated analysis of transcriptome, sRNAome, and degradome involved in the drought-response of maize Zhengdan958
- Variation in flower frost tolerance among seven apple cultivars and transcriptome response patterns in two contrastingly frost-tolerant selected cultivars
- Heritability of durable resistance to stripe rust in bread wheat (Triticum aestivum L.)
- Molecular mechanism of follicular development in laying hens based on the regulation of water metabolism
- Animal Science
- Effect of sex ratio on the life history traits of an important invasive species, Spodoptera frugiperda
- Plant Sciences
- Hairpin in a haystack: In silico identification and characterization of plant-conserved microRNA in Rafflesiaceae
- Widely targeted metabolomics of different tissues in Rubus corchorifolius
- The complete chloroplast genome of Gerbera piloselloides (L.) Cass., 1820 (Carduoideae, Asteraceae) and its phylogenetic analysis
- Field trial to correlate mineral solubilization activity of Pseudomonas aeruginosa and biochemical content of groundnut plants
- Correlation analysis between semen routine parameters and sperm DNA fragmentation index in patients with semen non-liquefaction: A retrospective study
- Plasticity of the anatomical traits of Rhododendron L. (Ericaceae) leaves and its implications in adaptation to the plateau environment
- Effects of Piriformospora indica and arbuscular mycorrhizal fungus on growth and physiology of Moringa oleifera under low-temperature stress
- Effects of different sources of potassium fertiliser on yield, fruit quality and nutrient absorption in “Harward” kiwifruit (Actinidia deliciosa)
- Comparative efficiency and residue levels of spraying programs against powdery mildew in grape varieties
- The DREB7 transcription factor enhances salt tolerance in soybean plants under salt stress
- Using plant electrical signals of water hyacinth (Eichhornia crassipes) for water pollution monitoring
- Food Science
- Phytochemical analysis of Stachys iva: Discovering the optimal extract conditions and its bioactive compounds
- Review on role of honey in disease prevention and treatment through modulation of biological activities
- Computational analysis of polymorphic residues in maltose and maltotriose transporters of a wild Saccharomyces cerevisiae strain
- Optimization of phenolic compound extraction from Tunisian squash by-products: A sustainable approach for antioxidant and antibacterial applications
- Liupao tea aqueous extract alleviates dextran sulfate sodium-induced ulcerative colitis in rats by modulating the gut microbiota
- Toxicological qualities and detoxification trends of fruit by-products for valorization: A review
- Polyphenolic spectrum of cornelian cherry fruits and their health-promoting effect
- Optimizing the encapsulation of the refined extract of squash peels for functional food applications: A sustainable approach to reduce food waste
- Advancements in curcuminoid formulations: An update on bioavailability enhancement strategies curcuminoid bioavailability and formulations
- Impact of saline sprouting on antioxidant properties and bioactive compounds in chia seeds
- The dilemma of food genetics and improvement
- Bioengineering and Biotechnology
- Impact of hyaluronic acid-modified hafnium metalorganic frameworks containing rhynchophylline on Alzheimer’s disease
- Emerging patterns in nanoparticle-based therapeutic approaches for rheumatoid arthritis: A comprehensive bibliometric and visual analysis spanning two decades
- Application of CRISPR/Cas gene editing for infectious disease control in poultry
- Preparation of hafnium nitride-coated titanium implants by magnetron sputtering technology and evaluation of their antibacterial properties and biocompatibility
- Preparation and characterization of lemongrass oil nanoemulsion: Antimicrobial, antibiofilm, antioxidant, and anticancer activities
- Corrigendum
- Corrigendum to “Utilization of convolutional neural networks to analyze microscopic images for high-throughput screening of mesenchymal stem cells”
- Corrigendum to “Effects of Ire1 gene on virulence and pathogenicity of Candida albicans”